Penfigo Flashcards

(14 cards)

1
Q

Introducción: Definición, 3 formas de la enfermedad, patología, edad, sexo

A
How well did you know this?
1
Not at all
2
3
4
5
Perfectly
2
Q

Cáncer más común del penfigo paraneoplásico

A

EL PRIMERO LNH
LLC

How well did you know this?
1
Not at all
2
3
4
5
Perfectly
3
Q

Patogenia

A

Ampollas IIIIINTRAEPIDERMICAS

How well did you know this?
1
Not at all
2
3
4
5
Perfectly
4
Q

Clínica del pénfigo vulgar

A
How well did you know this?
1
Not at all
2
3
4
5
Perfectly
5
Q
A

A . Pénfigo vulgar. B . Pénfigo, signo de Nikolsky. C . Pénfigo, lesiones orales. D . Pénfigo, úlceras orales. E . Pénfigo, úlceras incipientes en las encías.

How well did you know this?
1
Not at all
2
3
4
5
Perfectly
6
Q

CASI 90% LESIONES CUTÁNEAS

A

ZONAS SEBORREICAS, EN PENFIGOIDE TAMBIEN PERO AQUI MAS COMÚN

How well did you know this?
1
Not at all
2
3
4
5
Perfectly
7
Q

Clínica penfigo foliáceo

A

Solo piel
Lesiones exactamente iguales
Buscar en libro

How well did you know this?
1
Not at all
2
3
4
5
Perfectly
8
Q

Pénfigo paraneoplásico

A

Bronquiolitis obliterante por daño alveolar extenso, de esto mueren los pacientes

How well did you know this?
1
Not at all
2
3
4
5
Perfectly
9
Q

Penfigo por IgA

A

Muy común edad pediátrica

How well did you know this?
1
Not at all
2
3
4
5
Perfectly
10
Q

DX

A

exactamente igual que penfigoide
IFD: PIEL E INDIRECTA EN CIRCULACIÓN

How well did you know this?
1
Not at all
2
3
4
5
Perfectly
11
Q

A TODOS TENEMOS QUE SOLICITARLES

A

ESTUDIOS COMPLEMENTARIOS TAMBIEN EN PENFIGOIDE

How well did you know this?
1
Not at all
2
3
4
5
Perfectly
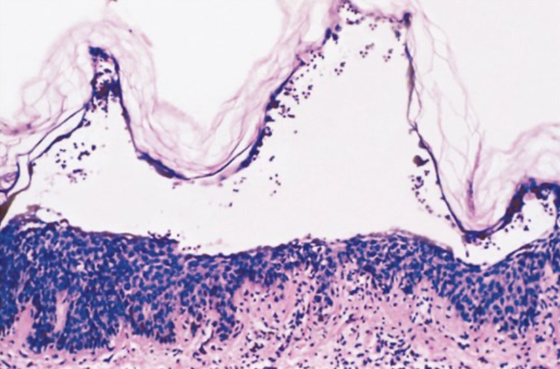
12
Q
A

ACANTOLISIS INTRAEPIDERMICA
PV ES SUPRABASAL, SOLO 1 LINEA DE QUERATINOCITOS
EN FIOLACEO SE VE MAS DE 1 LINEA DE QUERATINOCITOS

How well did you know this?
1
Not at all
2
3
4
5
Perfectly
13
Q

TX

A

lo mismooo

How well did you know this?
1
Not at all
2
3
4
5
Perfectly
14
Q
A

LO PRIMERO QUE BAJAMOS DE LA DOSIS ES DE ESTEROIDES, PERO ESTO DIFICIL EN VIDA REAL

How well did you know this?
1
Not at all
2
3
4
5
Perfectly