Tp 10 Flashcards

(23 cards)

1
Q

donne tous les constituants de la coloration de papanicolaou

A

Hématoxyline: lie les a.n
Vert lumière: lie des structures basiques cytoplasmiques
OG-6 : lie les structures basiques comme globules rouge et kératine
Éosine: lie les structures basiques cytoplasmiques

How well did you know this?
1
Not at all
2
3
4
5
Perfectly
2
Q

Voici une coloration spéciale papanicolaou, indique quel type de cell est indiqué par les flèches et quel colorant est utilisé

A

Noyau coloré par hematoxyline

Cellules intermédiaires colorées par vert lumière

Cellules superficielles (plus grosses) colorées par l’éosine

How well did you know this?
1
Not at all
2
3
4
5
Perfectly
3
Q

identifie les structures du néphron

A

Le néphron est l’unité de base du rein

How well did you know this?
1
Not at all
2
3
4
5
Perfectly
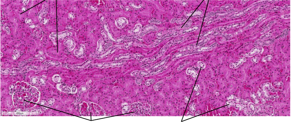
4
Q
A

lame de rein HES

  • capsule (tissu conjonctif)
  • cortex (plus foncé, contient corpuscule rénale, tube contourné, tube collecteur)
  • calice (fait d’urothélium)
  • artéfact (une autre partie du rein dans le calice)
  • Médullaire (plus pale, contient tube collecteur, Anse de henle, vasa recta)

Truc***

Beaucoup plus clair vers la medullaire

Elle forme une pointe vers le calice

How well did you know this?
1
Not at all
2
3
4
5
Perfectly
5
Q
A

Lame du rein, niveau du cortex HES

Tube contourné proximal (plus foncé parce qu’il a des microvillosité pour réabsorption)

Tube collecteur (moyen foncé)

Corpuscule rénal

tube contourné distal (absence de microvilosité) le moins foncé

How well did you know this?
1
Not at all
2
3
4
5
Perfectly
6
Q

quelle est cette structure du rein

A

corpuscule rénal:

capsule de bowman (epithelium simple pavimenteux avec une membrane basale)

Pole vasculaire (artère afferente et efferente)

Tube contourné distale (aucune microvillosité)

Glomérule

Espace de Bowman (ou on envoie l’urine)

How well did you know this?
1
Not at all
2
3
4
5
Perfectly
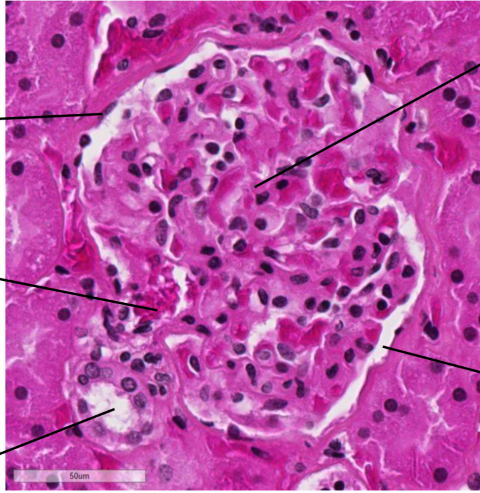
7
Q

Quelle cell on retrouve dans le glomérule

A

Cellules endothéliales (des capillaires)

Cellules mesangiales

podocytes

membrane basale aussi présente**

How well did you know this?
1
Not at all
2
3
4
5
Perfectly
8
Q

identifie la lame, les lettres et les flèchez

A

Lame de rein HES au niveau de la médullaire

L et g font parti de l’anse de Henle

L est la branche large (épithélium simple cubique)

g est la branche grêle (épithélium pavimenteux simple)

C sont les tubes collecteurs qui ont un épithélium simple cylindrique

flèches= VS (on les reconnait avec les globules rouges

How well did you know this?
1
Not at all
2
3
4
5
Perfectly
9
Q

quelle est cette lame, identifie les fleches

A

lame de rein au niveau du calice

Urothélium (épithélium stratifié avec une membrane basale qui présente aussi des plaques membranaires)

tissus conjonctif

VS

How well did you know this?
1
Not at all
2
3
4
5
Perfectly
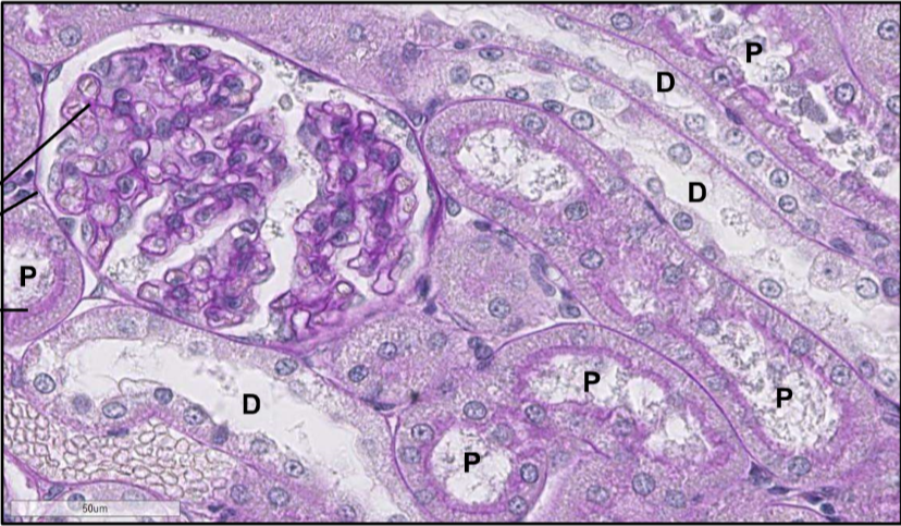
10
Q

Quelle est cette lame, la coloration utilisée et ce qu’elle met en valeur, les structures

A

Coloration PAS pour la lame du rein, met vrm en évidence les microvillosité de la bordure en brosse des tubes contournés proximaux et les membranes basales

P: tube contournés proximaux (ils ont des microvillosités)

D: tube contourné distal (pas de microvilo)

deux premiere fleches: membranes basale

derniere fleche: MV

How well did you know this?
1
Not at all
2
3
4
5
Perfectly
11
Q

quelle est cette lame, dit les structures

A

Lame de l’uretère en HE (pas de safran) notre collagène est pas jaune

En mauve, urothélium (épithélium stratifié avec une membrane basale et des plaques membranaires face externe)

Chorion = partie pas mauve qui contient des vaisseaux sanguins et du collagène (rose pcq pas de safran)

How well did you know this?
1
Not at all
2
3
4
5
Perfectly
12
Q
A

de l’Ext vers l’intérieur dans cette lame de l’uretère en HE

  • adventice(rose)
  • musculeuse (mauve)
  • muqueuse (violet=urothélium)
How well did you know this?
1
Not at all
2
3
4
5
Perfectly
13
Q

Nomme les couches de la musculeuse dans la lame d’uretère si on part de sous l’adventice

A
  • Couche longitudinale externe
  • couche circulaire externe
  • couche longitudinale interne
How well did you know this?
1
Not at all
2
3
4
5
Perfectly
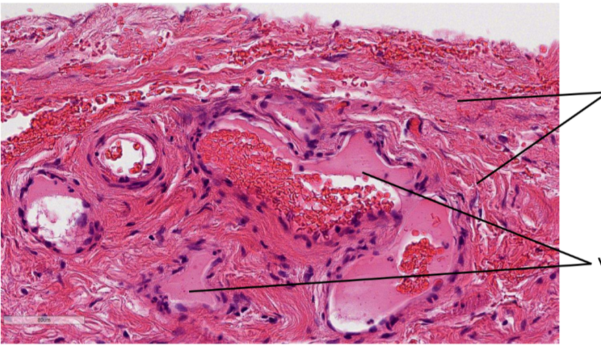
14
Q
A

Lame de l’uretère au HE, au niveau de l’adventice

on le sait parce que fleche du haut= collagène (HE donc pas orange)

fleche en bas= VS

How well did you know this?
1
Not at all
2
3
4
5
Perfectly
15
Q

On est dans quelle lame et les fleches

A

Lame de vessie en HES

de haut en bas:

  • adventice
  • sous-muqueuse
  • muqueuse
How well did you know this?
1
Not at all
2
3
4
5
Perfectly
16
Q

Voici une lame de la vessie en HES, quelle partie on regarde grossièrement et qu’Est ce que les fleches representes

A

on regarde la muqueuse, constitué de l’urothélium et du chorion (tissus conjonctif et vs)

Les flèches:

gauche: éléments du chorion (VS et tissu conjonctif)

droite : urothélium et par dessus on a la plaque membranaire qu’on appelle les cell parapluies

17
Q

La plupart du temps sur une lame de vessie au niveau de la muqueuse, est ce que les cellules parapluies sont ouvertes ou fermées? explique

A

la plupart du temps fermé parceque pas d’urine dans la vessie donc pas besoin de se distendre

18
Q

on est ou, identifie les structures

A

lame de vessie HES la musculeuse

petit carré: des nerfs entre les couches de muscle lisse

fleche de haut en bas:

  • longitudinale externe
  • circulaire externe
  • longitudinale interne
19
Q
A

lame de vessie HES on est dans l’adventice

VS

nerfs

collagène+fibroblaste

20
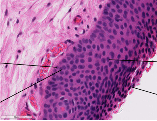
Q

indique la lame, les flèches et ce que chaque structure des fleches bordent

A

lame de l’utérus en HE

à gauche, c’est l’endocol (fait d’un épithélium glandulaire)

L’endocol borde l’intérieur de l’utéris

à droite, c’est l’exocol (épithélium strat pavimenteux)

L’exocole borde la cavité vaginale

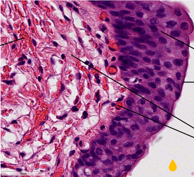
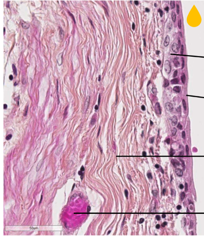
21
Q

nomme les flèches de gauche a droite et la lame

A

lame de l’utérus en HE, au niveau de l’exocol

gauche: cellule de la couche basale (toujours cubiqu) et cell de la couche parabasale (juste en haut de la couche basale)
droite: cell des couches intermédiaire, cell des couches superficielles

22
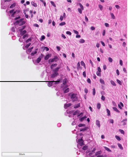
Q

nomme la lame, la fleche et ou on se trouve

A

lame de l’utérus en HE, on est dans l’endocol parce qu’on voit des cellules glandulaire

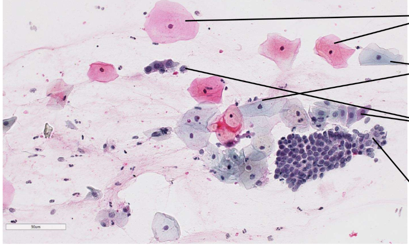
23
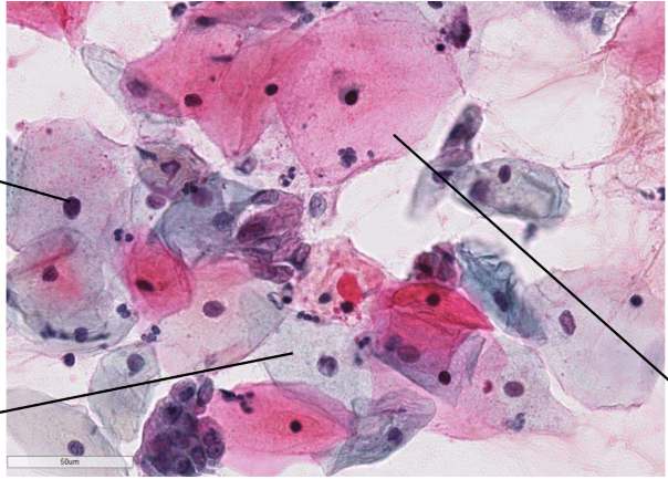
Q

Voici un frotti du col utérin, dit c’est avec quel colorant et quel cellules sont dans l’endocol et l’exocol

A

coloration papanicolaou

grosses cellules roses: cell superficielles de l’exocol

moyennes cellules bleu verte: cell intermédiaires de l’exocol

Plus petite cell plus foncées : cell parabasale et basale de l’exocol

mini cell collées bleues : cell glandulaire de l’endocol