Tp3 Flashcards

(13 cards)

1
Q

Quelle coloration colore le mucus

  1. Trichrome de masson
  2. PAS
A

trichrome de masson
C’est le bleu d’anilline qui colore le mucus

How well did you know this?
1
Not at all
2
3
4
5
Perfectly
2
Q

Pour quelle structure on utilise la coloration pas et pk?

A

on utilise la coloration PAS surtout pour le rein et l’intestin pour voir le glycocalyx des microvilosités du plateau strié (pour l’intestin) et des microvilosités de la bordure en brosse (pour le rein)

How well did you know this?
1
Not at all
2
3
4
5
Perfectly
3
Q

Quelle coloration pour voir les structures contenant glucose

A

PAS formé d’hematotoxyline et de réactif de shiff (c’est lui qui s’accroche aux glucides)

How well did you know this?
1
Not at all
2
3
4
5
Perfectly
4
Q

Différencie epithelium

  • cylindrique/prismatique
  • pavimenteux
  • cubique
A
Cell plus haute que large , noyau basal
Cell aplatie (plus large que haute)
Cell cubique (forme de cube)
How well did you know this?
1
Not at all
2
3
4
5
Perfectly
5
Q

Dans la lame du rein, on retrouve epithelium … À …

A

cubique a bordure en brosse

How well did you know this?
1
Not at all
2
3
4
5
Perfectly
6
Q

Dans la lame de l’intestin on retrouve epithelium … A …

A

Cylindrique a plateau strié

How well did you know this?
1
Not at all
2
3
4
5
Perfectly
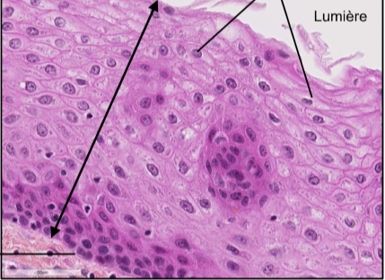
7
Q

Decrit l’epithlium de l’oesophage

A

Epithelium stratifié pavimenteux malpigien non keratinisé reposant sur une lame basale

How well did you know this?
1
Not at all
2
3
4
5
Perfectly
8
Q

Malpigien?

A

Contient des crêtes epitheliales au niveau de la lumiere

How well did you know this?
1
Not at all
2
3
4
5
Perfectly
9
Q

Pour la coloration hes, quelle est la couleur de la keratine

A

Orangé

How well did you know this?
1
Not at all
2
3
4
5
Perfectly
10
Q

Decrit l’épithelium de la lAme de peau acrale

A

epithelium stratifié pavimenteux malpighien keratinisé

How well did you know this?
1
Not at all
2
3
4
5
Perfectly
11
Q

Decrit lepithelium sur cette lame et d’où elle provient

A

Epithelium pseudostratifié (une seule couche de cellule mais les noyaux sont a une hauteur differente) cylindrique cillié

La trachée!

How well did you know this?
1
Not at all
2
3
4
5
Perfectly
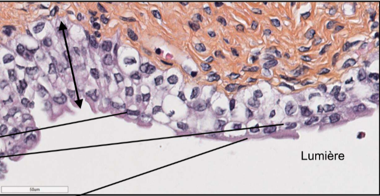
12
Q

Decrit dou vient cette lame, le type depithelium et les structures identifiees

A

urothelium (vessie)

Cellule globuleuse (plutôt ronde) deviennent pavimenteuse lorsque la vessie est pleine

On voit une plaque membranaire qui estun epaississement de la membrane plasmique au pole apical qui permet letirement des cellules **caractéristique spécifique a lurothelium**

How well did you know this?
1
Not at all
2
3
4
5
Perfectly
13
Q

Quest ce qu’on retrouve jamais dans lurothelium

A

Vs

How well did you know this?
1
Not at all
2
3
4
5
Perfectly