Tp4 Flashcards

(18 cards)

1
Q

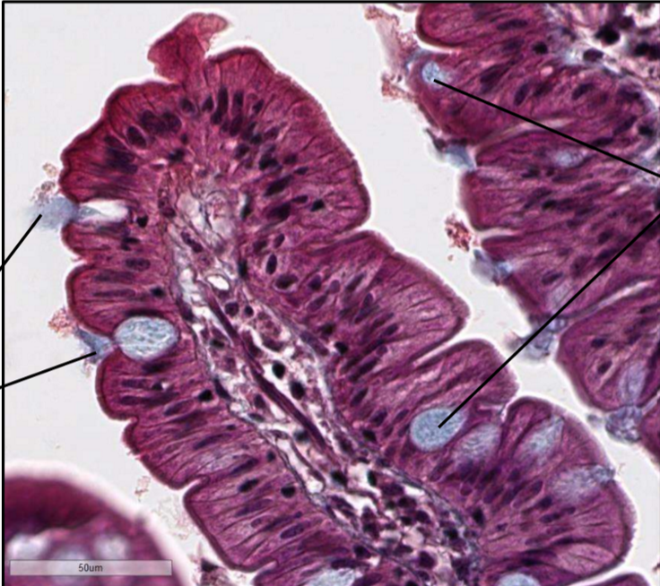
Quelle est cette lame (structure)

quelle sont les cellules sécrétrices ici et leurs caractéristiques

quelle coloration

A

Lame de jéjunum

cellules caliciformes (glande intraépithéliale)

  • en forme en goblet (calice)
  • isolées les unes des autres
  • noyau et organites au pole basal de la cellule
  • au sein d’un épithélium de revêtement ***
  • sécrétion merocrine

coloration trichrome de masson bleu (on le sait entre autre parce que le mucus est coloré en bleu!)

How well did you know this?
1
Not at all
2
3
4
5
Perfectly
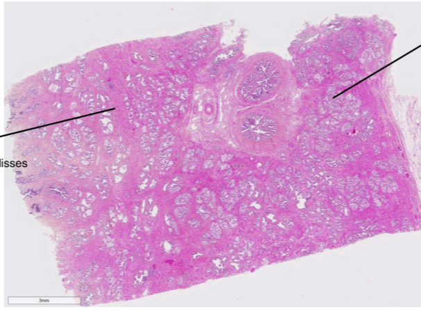
2
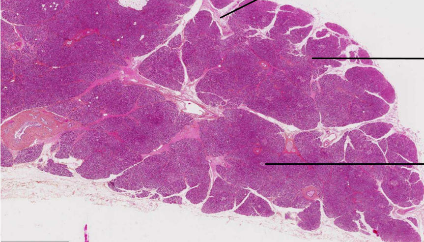
Q

Quelle est cette lame (structure)

nomme les 3 choses délimités par les flèches

quelle coloration

A

Lame de pancréas (glande amphicrine)

Travées conjonctives, glande exocrine, glande endocrine

HES (très rose)

How well did you know this?
1
Not at all
2
3
4
5
Perfectly
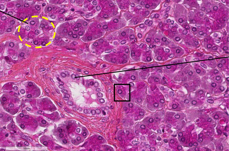
3
Q

Comment on reconnait une glande endocrine vs exocrine dans le pancréas ?

A

endocrine (ilot de langheran) les cellules sont plus claires que les cellules exocrines

on ne retrouve pas d’acinus sereux et de canal excréteur pour les glandes endocrines du pancréas

How well did you know this?
1
Not at all
2
3
4
5
Perfectly
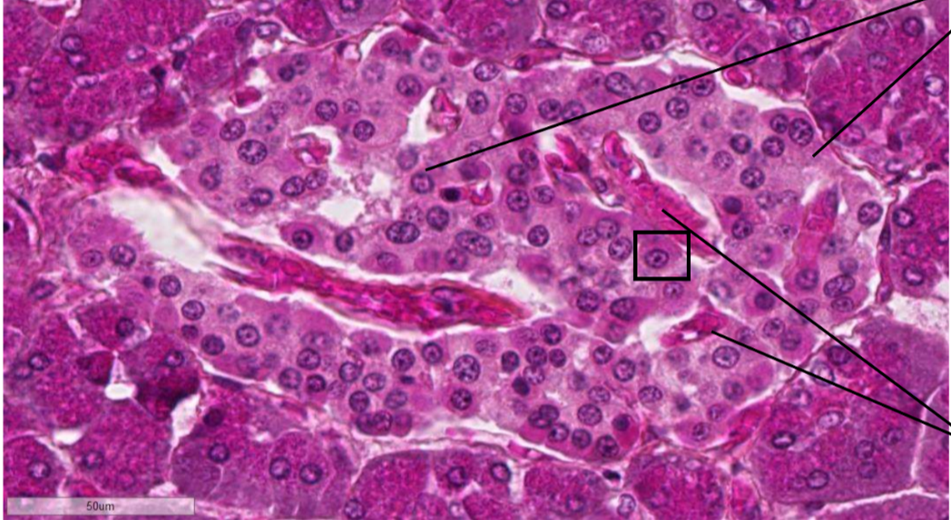
4
Q

Identifie les différentes structures, la lame, la coloration et le type de glande

A

acinus SEREUX (sécrète des prot/sérum) en forme de sphère, canal excréteur (tube formé d’un épithélium cubique ou cylindrique simple avec membrane basale)

lame glande exocrine de pancréas coloré au HES

How well did you know this?
1
Not at all
2
3
4
5
Perfectly
5
Q

Identifie les différentes structures, la lame, la coloration et le type de glande

A

Cordon (sécrétion des hormones produites par exocytose merocrinedans la circulation sanguine), capillaires sanguins

lame de pancréas glande endocrine coloration HES

How well did you know this?
1
Not at all
2
3
4
5
Perfectly
6
Q

Qu’est ce qu’on retrouve en général dans les cellules des glandes du pancréas et ce quon retrouve de différent dans les exocrines vs endocrines

A

en général: noyau, ReR

endocrine: hormones
exocrines: enzymes

How well did you know this?
1
Not at all
2
3
4
5
Perfectly
7
Q

Les acinus sont des unités qui sécr

A
How well did you know this?
1
Not at all
2
3
4
5
Perfectly
8
Q

les glandes salivaires sont des glandes de type… tandis que les glandes du pancréas sont des glandes …

A

mixte (sero-muqueuse) (tubulo-acineuses)

endocrine sereuse et exocrine sereuses

How well did you know this?
1
Not at all
2
3
4
5
Perfectly
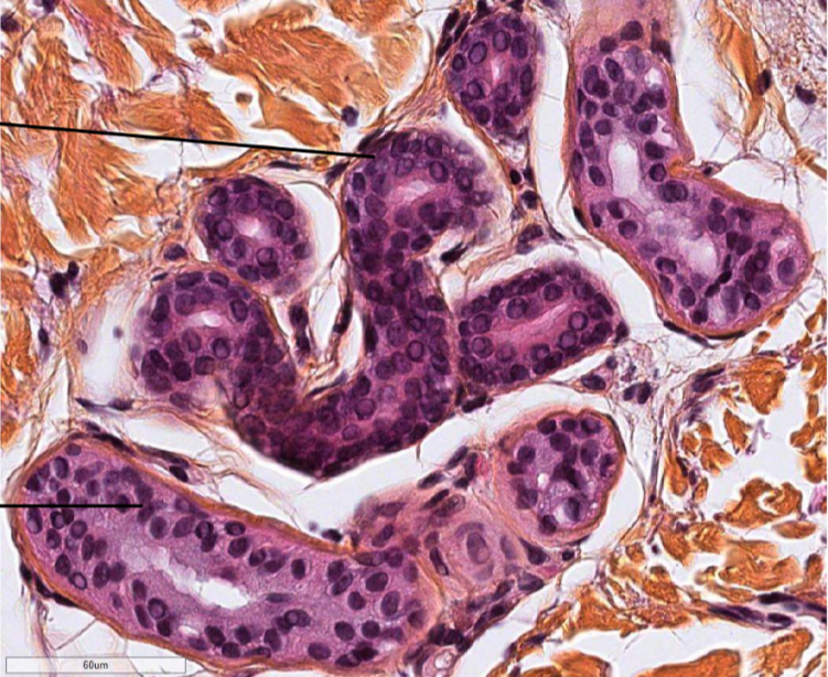
9
Q

Identifie les différentes structures, la lame, la coloration et le type de glande

A

Lame de glande salivaire mixte (tubulo-acineuse) coloration HES (on sait pcq le collagène est orangé)

tubule muqueux: sécrète du mucus (merocrine), plus pale puisque le HES colore pas le mucus

Acinus sereux: sécrète des protéines (merocrine), plus foncé parceque HES colore prot

croissant sereux

canal excréteur: tube avec epithelium pluristrat (2 couches) cellules cubiques/cylindriques avec membrane basale

How well did you know this?
1
Not at all
2
3
4
5
Perfectly
10
Q

au niveau du cuir chevelu on retrouve deux types de sécrétion

identifie les et ou les glandes sont sur l’image

A

Glande sébacée (alvéolaire) à gauche

Glande sudoripore (tubulaire) à droite

How well did you know this?
1
Not at all
2
3
4
5
Perfectly
11
Q

Identifie la lame, la coloration et les deux structures pointés avec leurs caractéristiques

A

Lame du cuir chevelu en coloration HES

Structure en haut: portion excrétrice de la glande sudoripare eccrine (on la reconnait par son épithélium pluristrat cubique et parce qu’elle est plus foncé)

Structure en bas : portion sécrétrice de la glande sudoripare eccrine (on la reconnait par epithelium simple cubique en tube contourné, cellules plus pales (parce que bcp d’eau, c’est de la sueur qu’on sécrète) et plus grosses que celles de la portion excrétrice)

How well did you know this?
1
Not at all
2
3
4
5
Perfectly
12
Q

Cette lame est encore une lame de la peau du cuir chevelu au HES, identifie les structures

A

gauche: sécrétion eccrine (canaux qui deversent directement à la surface de la peau la sueur

en haut à droite: crête épidermique

en bas à droite : papille dermique

carré en haut : derme

Carré en bas :épiderme

How well did you know this?
1
Not at all
2
3
4
5
Perfectly
13
Q

on voit quoi sur cette lame, identifie les structures

A

Lame du cuir chevelu qui montre les glanddes alvéolaires ou sébacées en HES

  1. capsule de tissus conjonctif
  2. cellules balsales (cubiques, permettent la regénération)
  3. (carré): cellule de la glande alvéolaire qui présente une accumulation de vacuoles lipidiques
  4. canal (sécrétion holocrine (on détruit la cellule))
  5. follicule pilleux (par ou sort le sébum)
How well did you know this?
1
Not at all
2
3
4
5
Perfectly
14
Q

On voit quoi sur cette lame, coloration, flèches

A

gauche : corps amylacés (masse glycoprotéique lamellaire)

Droite: épithélium glandulaire (cellule luminale sécrétoire cylindrique, cellule basale aplatie)

How well did you know this?
1
Not at all
2
3
4
5
Perfectly
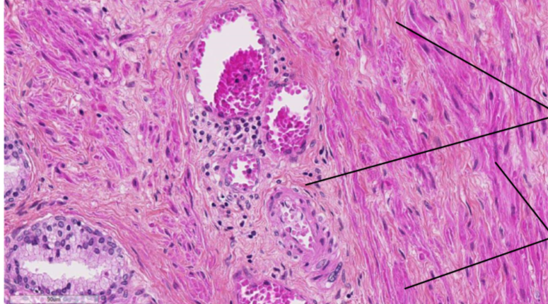
15
Q

identifie cette lame, la coloration et les flèches

A

lame de prostate coloration HES

gauche: stroma (fibres musculaires lisses et collagène)
droite: glande (contenant les corps amylacés)

How well did you know this?
1
Not at all
2
3
4
5
Perfectly
16
Q

différencie immunohistochimie de immunofluorescence

A

Immunohistochimie (avec hematoxyline et eosine): avec le microscope optique, on observe un anticorsp primaire qui se lie à une protéine et un anticorps secondaire contenant le colorant se lie à l’anticorps primaire, ce qui fait en sorte que la protéine de départ semble colorée

(colore la cell basale de la prostate)

Immunofluorescence : meme principe sauf que sur l’anticorps secondaire on a des fluorophores

(colore cell epitheliale

et lymphocytes dans la prostate)

17
Q

Identifie cette lame, coloration, flèches

A

lame de prostate, HES

On voit bien ici le stroma fibreux composé de :

haut- fibres de collagène

bas- fibre de muscle lisse

18
Q

quelle technique on utilise, identifie la lame et les fleches

A

immunohistochimie de la lame de la prostate

Les fleches representent les constituants de l’épithélium glandulaire:

haut: cell luminale
bas: cellule basale