Tp 9 Flashcards

(39 cards)

1
Q

Donne les caractéristiques et le role de la coloration spéciale Mucicarmine

A

Mise en évidence des mucines acides au niveau du tube digestif (PAS ESTOMAC, les mucines y sont neutres) et les voies respiratoires

Carmine est le seul colorant qui provient d’un insecte rouge vif

How well did you know this?
1
Not at all
2
3
4
5
Perfectly
2
Q

Donne le nom de cette coloration et les différentes colorations impliquées

A

Mucicarmine donne l’apect rose/rouge et on a un contre colorant jaune appelé metanil yellow qui colore tout. C’est pour cette raison que les noyaux colorés par l’hématoxyline sont mis en vert meme si l’hématox est habituellement en bleu

How well did you know this?
1
Not at all
2
3
4
5
Perfectly
3
Q

La mucicarmine permet égaslement de colorer

A

les cell caliciformes

How well did you know this?
1
Not at all
2
3
4
5
Perfectly
4
Q

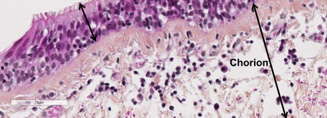
On regarde quelle lame, indique les fleches

A

lame de la trachée,en HES, on regarde ici la muqueuse

La muqueuse est composé du chorion (vs et tissus conjonctifs) et de l’épithélium de revêtement (respiratoire)

How well did you know this?
1
Not at all
2
3
4
5
Perfectly
5
Q

donne les caractéristiques de l’épithélium de reveptement respiratoire de la tracheé

A

cellules cylindriques, pseudostratifié, cilié, qui présente une membrane basale

How well did you know this?
1
Not at all
2
3
4
5
Perfectly
6
Q
A

lame de la trachée en HES ici on observe la sous-muqueuse

fleches: tissus conjonctif, vs, amas lymphocytaire

composé de glandes sero-muqueuses

How well did you know this?
1
Not at all
2
3
4
5
Perfectly
7
Q

De quelles couches est faite la paroi externe de la trachée

A
How well did you know this?
1
Not at all
2
3
4
5
Perfectly
8
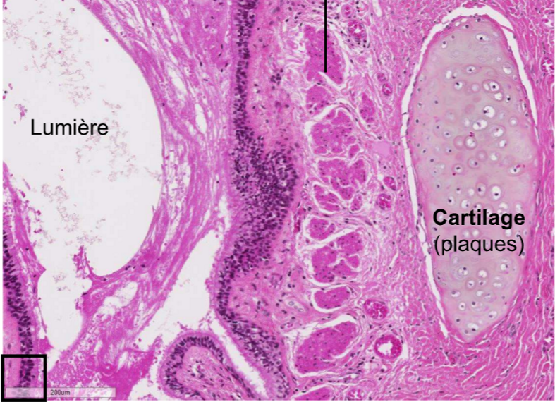
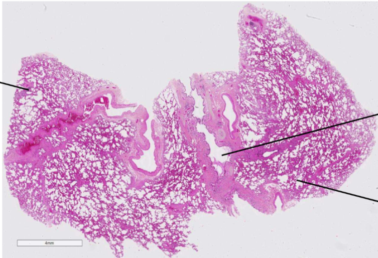
Q

dans la lame suivante , décrit c’est quoi et comment on différencie les structures

A

il sagit de la lame du poumon

à droite, c’est des bronchioles qu’on peut différencier parceque c’est cilié et pas de cartilage hyalin

à gauche en haut, c’est une bronche ultra pulmo (on le sait parce que petites plaques blanhes de cartilage)

à gauche en bas, c’est le parenchyme pulmonaire qui contient beaucuop d’alvéole

How well did you know this?
1
Not at all
2
3
4
5
Perfectly
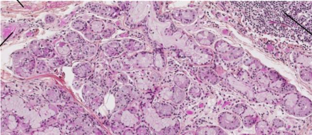
9
Q
A

Bronche intrapulmo du poumon en HE

carré: diminution de la hauteur de l’épithélium respiratoire, diminution du nombre de cellule caliciforme, présence d’un chorion avec fibres élastiques

la fleche indique une couche de muscle lisse entre le chorion et la sous-muqueuse, ce qu’on observe pas dans la trachée

How well did you know this?
1
Not at all
2
3
4
5
Perfectly
10
Q

qu’est cde qui nous permet de différencier une bronche d’une bronchiole

A

la bronchiole ne presente pas de cartilage

How well did you know this?
1
Not at all
2
3
4
5
Perfectly
11
Q
A

Lame du poumon qui montre les bronchioles

on le sait parceque pas de cartilage, epithélium simple cylindrique strié, une couche de muscle lisse entoure chaque bronchiole (circonférentielle)

How well did you know this?
1
Not at all
2
3
4
5
Perfectly
12
Q

Les cellules caliciformes sont remplacé par les cellules de … dans les bronchioles

A

Clara

How well did you know this?
1
Not at all
2
3
4
5
Perfectly
13
Q

dans quelle structure plus importante du poumon on retrouve ce qui est sur cette lame et donne également les parties en noir

A

on retrouve les alvéoles et les sac alvéolaires au niveau du parenchyme pulmonaire

En noir du plus haut au plus bas :

capillaire (on y percoit les globules rouges)

paroi alvéolaire (faite de fibre élastique)

Pneumocyte de type 2 (les cellules un peu plus grosses)

cellules endothéliales ou pneumocytes de type 1 (plus petites)

How well did you know this?
1
Not at all
2
3
4
5
Perfectly
14
Q

voici une representation générale du tube digestif, indique les couches et ce qu’elles contiennent en général

A

mauve: muqueuse (épithélium, chorionm musculaire muqueuse)

Jaune: sous-muqueuse (tissus conjonctif comme collagène, VS ,Vlymphatique, plexus sous-muqueux)

Rose: musculeuse (circulaire interne, longitudinale interne,plexus myentérique

beige: séreuse (mésothélium + tissus conjonctif)

How well did you know this?
1
Not at all
2
3
4
5
Perfectly
15
Q
A

Lame de l’oesophage

vers l’ext: muqueuse, sous muqueuse, musculeuse, adventice

How well did you know this?
1
Not at all
2
3
4
5
Perfectly
17
Q

on est ou, nomme les 3 couches et la fleche

A

oesophage au niveau de la muqueuse

à partir de la lumière:

1.épithélium de revêtement

pluristrat,pavimenteus,malpughien (crêtes),non-keratinisé

2.Chorion

collagène,VS, lymphocytes

3.Musculaire muqueuse

muscle lisse

18
Q

nous sommes dans la lame de l’oesophage mais ou exactement ? et détermine les structures pointées

A

au niveau de l’adventice (attention au niveau de l’oesophage on ne retrouvera pas de mesothelium donc il n’y a pas de fin précise)

en orange: fibres de collagène

en rond: les nerfs amyéliniques

à gauche en bas: les VS

19
Q
A

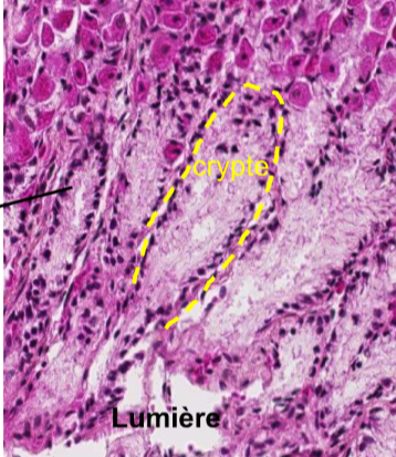
Lame de l’estomac

de gauche à droite:

  1. muqueuse (deux premieres fleches)

épithélium (contient les cryptes), glandes, chorion, musculaire muqueuse

  1. sous-muqueuse
  2. musculeuse à 3 couches
  3. séreuse
20
Q
A

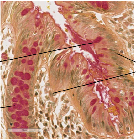
lame de l’estomac, niveau de la muqueuse

carré gauche: cell pariétales qui produisent le HCL (plus proche des crètes )

carré droit: cell principales qui produisent la pepsine (plus loin des cr^tes)

flèches= chorion entre les glandes

21
Q

Qu’est ce quon peut retrouver entre les 3 couches de la musculeuse ?

A

fibre nerveuses

22
Q
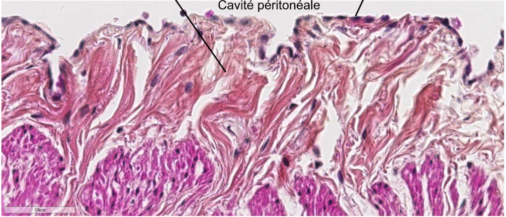
A

sereuse de l’estomac, on reconnait parcequ’il y a présence d’un mesothélium (deuxième flexhe) donc une délimitation précise, pas comme dans l’adventice. on retrouve aussi des fibres de collagène dans la sereuse

23
Q

Quelle partie du tube digestif ne présente pas une sereuse mais plutot une adventice?

A

l’oesophage

24
Q

quelle partie du tube digestif presente 3 couches de muscle dans la musculeuse

25
est ce que l'oesophage est cilié?
non, seulement intestin grêle qu'il y a des MV
26
Qu'est ce quon retrouve dans la muqueuse de l'intestin grêle quon ne retrouve pas dans les muqueuses du tube digestif en général?
valvule connivente villosités Microvillosités (plateau strié)
27
Comment on reconnait la lame du colon non zoomé de celle des autres lames du tube digestif
la musculeuse est vrm plus épaisse
28
lame du colon gauche haut en bas: épithélium revêtement enterocyte \* cell caliciforme cryptes de lieberkunh (glandes tubuleuses droites) Droite: chorion musculaire muqueuse
29
sous muqueuse du colon fibre nerveuse(plexus sous-muqueux) fibre de collagene amas lymphocytaire VS
30
dans la musculeuse du colon, identifie les fleches et les carrés
fleches= fibres nerveuses (plexus myentérique) en haut: couche circulaire interne en bas: couche longitudinale externe
31
Est ce que la mucicarmine peut colorer le mucus dans l'estomac
Non parce que c'est acide et les mucines acides du colorant mucicarmine sont acides eux aussi (s'\<3 pas)
32
Donc la mucine acide au niveau du colon va venir colorer quoi
mucus et cell caliciformes
33
Majeure différence entre lame de l'appendice et du colon
dans celle de l'appendice, on retrouve des follicules lymphoides dans la muqueuse et la sous muqueuse (centre germinatif et lymphocytes) c'Est les petits ronds
34
Muqueuse de l'appendice en HES Chorion Musculaire musculeuse épith.lium de revetement avec enterocytes cell caliciformes cryptes de lieberkuh (glande tubuleuse droite)
35
un moyen de reconnaitre l'appendice en HES
Beaucoup plus foncé
36
follicule lymphoide de l'appendice, nomme les structures
centre germinatif (avec lympho B en prolifération) manteau (lymphocytes B inactifs) zone intermédiaire (lymphocytes T)
37
triade du foie (dans l'espace porte) en haut à gauche:branche du canal biliaire (épithélium simple cubique à cylindrique) en bas è gauche: branche de l'artère hépatique (cell musculaire, endothélium) è droite - hépatocytes - branche de la veine porte (grande lumière, paroi fine, endothélium) - sinusoide
38
**Veine centrolobulaire du foie** sinusoides (globules rouges + cellules macrophagique de Kupffer) Veine centrolobulaire (vers la veine sus-hépatique, grande lumière, paroi fine, globule rouges ) Hépatocytes (canalicule biliaire entre ces cellules)
39
la bile dans les canalicules s'en va vers ... en provenance de l'artère hépatique et de la veine porte, le sang traverse les ... pour atteindre la veine... qui se divisera en veine...
le canal biliaire sinusoides centrolobulaire sus-hépatique