Tp7 Flashcards

(22 cards)

1
Q

donne les 3 couches de cette lame qui forment la musculeuse de la vessie

A

lame muscle vessie HES

musculeuse est formée de..

droite

  1. coupe longitudinale (banc de poisson noyau allongé)
  2. coupe oblique (entre transversale et longi)
  3. coupe transversale

entre tout ca on trouve les cellules de muscle lisse = leiomyocyte

How well did you know this?
1
Not at all
2
3
4
5
Perfectly
2
Q

quelle lame, identifie les structures

A

lame du muscle strié cardiaque

épicarde (adventice) avec tissus conjonctif et mésothélium

Myocarde

Endocarde (intima) avec endothélium et tissus conjonctif

How well did you know this?
1
Not at all
2
3
4
5
Perfectly
3
Q

Quelle lame, identifie les structures

A

Lame du coeur (muscle strié cardiaque myocarde) coupe longitudinale

Disque intercalaire

bifurcation

striations

noyau central (parfois 2)

How well did you know this?
1
Not at all
2
3
4
5
Perfectly
4
Q

Quelle lame, identifie les structures

A

Lame coeur muscle strié myocarde (coupe transversale)

Noyau central (parfois 2)

cellule musculaire cardiaque (cardiomyocyte)

capillaires sanguins

How well did you know this?
1
Not at all
2
3
4
5
Perfectly
5
Q

Quelle lame et quel type de cellule on retrouve

A

Lame d’un muscle long (muscle squelettique strié longitudinal)

Rhabdomyocytes constitués d’1 cellule avec des centaines de noyaux et des striations

How well did you know this?
1
Not at all
2
3
4
5
Perfectly
6
Q
A

muscle strié squelettique gracile

le carré= fuseau neuromusculaire

How well did you know this?
1
Not at all
2
3
4
5
Perfectly
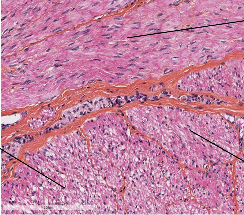
7
Q
A

Lame = muscle strié du gracile en coupe transversale

Fuseau neuromusculaire : capsule conjonctive et fibre musculaire plus mince

périmysium

endomysium

Rhabdomyocyte (fibre muscu)

How well did you know this?
1
Not at all
2
3
4
5
Perfectly
8
Q

Qu’est ce qui colore la myéline autour des tissus nerveux

A

le luxol fast blue (colorant spécial ajouté au HES) colore la myéline en bleu parce qu’ilest capté par les radicaux anioniques des lipides de la gaine de myéline

How well did you know this?
1
Not at all
2
3
4
5
Perfectly
9
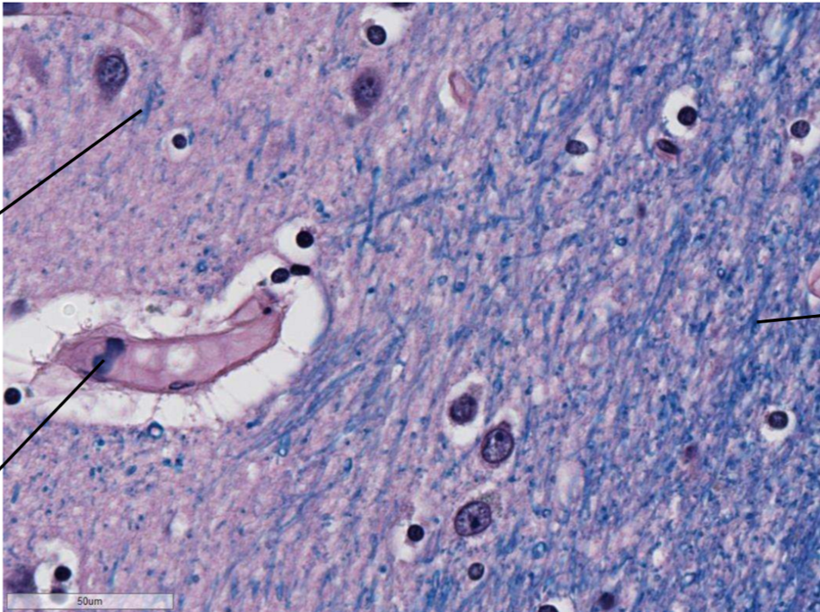
Q

lame de cerveau décrit les flèches et le colorant

A

colorant =luxol

Myéline de la substance grise (peu donc pas beaucoup de bleu)

globules rouges

Myéline de la substance blanche (abondante donc bdp de bleu)

How well did you know this?
1
Not at all
2
3
4
5
Perfectly
10
Q

Quelle lame, colorant, flèche

A

Lame cerveau HES cortex frontal

  • subst grise
  • leptoméninges
  • subst blanche
How well did you know this?
1
Not at all
2
3
4
5
Perfectly
11
Q

lame, structures

A

Lame de cerveau au niveau des leptoméninges

arachnoide

espace sous arachnoidien avec vaisseau sanguin

pie mère

espace entre la pie-mère et le cortex = artéfact

cortex cérébral

How well did you know this?
1
Not at all
2
3
4
5
Perfectly
12
Q

En HES qu’est ce qui est plus foncé

subst grise ou subst blanche

A

subst blanche

How well did you know this?
1
Not at all
2
3
4
5
Perfectly
13
Q

Sur la figure suivante, place les elements suivants et dit dans quelle subst on les retrouve :

Neurones:

prolongements

nucléole proéminent

corps de Nissel (rer)

lipofuscine (lysosome)

neuropiles

Cellules gliales:

à quoi elles servent et les nomme les

A

DANS LA SUBST GRISE

cell gliales: cellules de soutien qu’on appelle aussi la nevroglie

on y retrouve des astrocytes (forment la charpente), oligodendrocytes (forment la myéline), microgliocytes (deviendront macrophages)

How well did you know this?
1
Not at all
2
3
4
5
Perfectly
14
Q

lame c’est quoi et les cellules foncées c’est quoi

A

Substance blanche du cortex

On retrouve aucun corps cellulaire des neurones, JUSTE DES AXONES

Toutes les cellules visibles sont des cellules gliales :

  • astrocytes
  • oligodendrocytes
  • microgliocytes

On voit aussi très bien la neuropile

How well did you know this?
1
Not at all
2
3
4
5
Perfectly
15
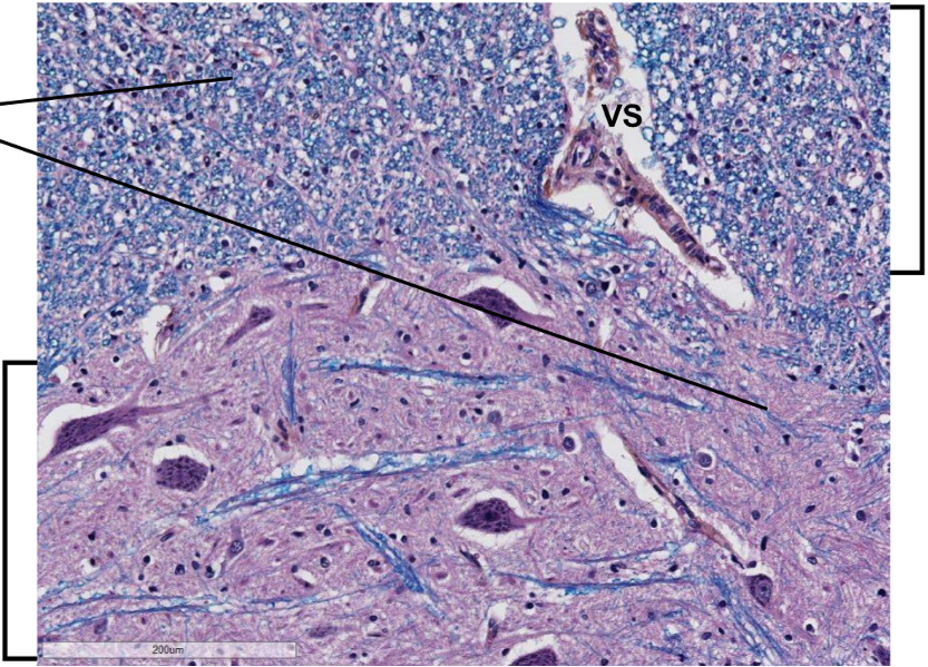
Q

Dans cette lame de cerveau coloré au lugol, indique quelle partie est la subst blanche et laquelle est la subst grise et explique le raisonnement

A

plus bleu= subst blanche parce que plus de lipide parce que plus de gaine de myéline

subst grise = plus mauve

How well did you know this?
1
Not at all
2
3
4
5
Perfectly
16
Q

Les lames de cerveau vs de la moelle épinière

est ce qu’on observe les meme choses dans les substance blanche et grise de ces deux lames

A

oui, ce qui se retrouve dans une lame subst blanche du cerveau se retrouve dans la lame moelle epi et meme chose pour la subst grise

17
Q

les cellules superficielles à l’urothélium sont surnommées des cellules…

A

parapluie (elle s’étirent!!)

18
Q

Quelle est cette lame, coloration et caractéristiques

la flèche pointe quoi

A

Lame représentant le canal épendymaire de la moelle épiniere en HES

Il s’agit d’un PSEUDOépithélium parce que

aucune membrane basale

formé de cellule gliale de la nevroglie

cubique/cylindrique, simple, cilié

Aucune jonction intercell

La flèche pointe le liquide céphalorachidien

19
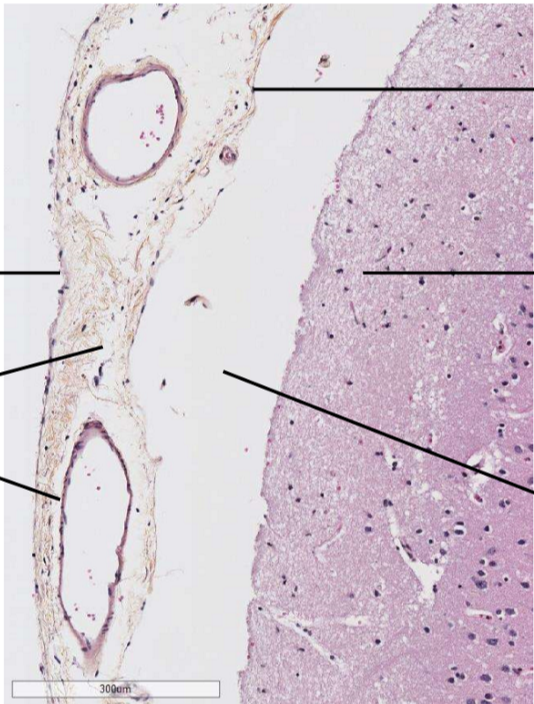
Q

Dans cette lame de la moelle épinière dit la coloration et indique les structures pointées

A

Colorant= Luxol (colore les lipides de la myéline)

flèche: myéline autour des axones

Rectangle du haut: substance blanche

Rectangle du bas: substance grise

20
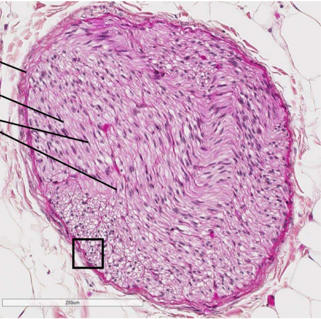
Q

Nomme les structures de cette lame

A

Lame de nerf amyélique en HES

les nerfs amyéliques sont les gros ronds

les cell sont les cell adipeuses

les ronds foncés sont les vaisseaux coronaires

21
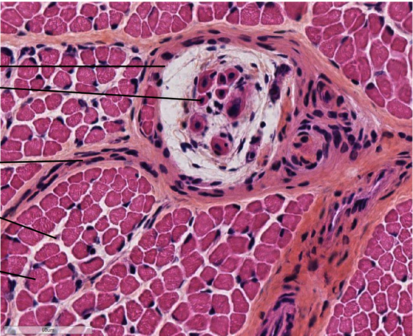
Q

Donne les structures indiqueés par les fleches

A

périnevre

endonevre

cell de schwann non myélinisantes

22
Q

on voit ici des fibres d’axone

un type est myélinisé et l’autre est amyélinique indique quel est quel

A

gauche: myélinisé
droite: amyélinique