Tp1 Flashcards

(11 cards)

1
Q

Quelle est l’étape après la mise en cassette d’un échantillon

A

on le place dans la formaline 10% tamponnée afin de préserver la morphologie cellulaire du tissus le plus près de son état vivant et on l’envoie en circulation (machine)

How well did you know this?
1
Not at all
2
3
4
5
Perfectly
2
Q

Apres avoir fixé les tissus dans la formaline, qu’elles sont les étapes de circulation

A

Fixation
Déshydratation (éthanol entre 70 et 100%)
Éclaircissement (on place dans toluène ou xylène)
Infiltration dans la paraffine (sous-vide 60 deg)

How well did you know this?
1
Not at all
2
3
4
5
Perfectly
3
Q

Après la circulation, qu’est ce qu’on fait

A

Enrobage dans la paraffine avec la paraffine chaude et Démoulage lorsque froid (0 deg)
Coupe au microtome
Ramassage de la coupe dans le bain d’étalement sur une lame de verre
Four (24h, 42 deg): adhésion coupe-lame
Coloration et montage
Visualisation : virtuelle(écran) ou optique (microscope)

How well did you know this?
1
Not at all
2
3
4
5
Perfectly
4
Q

Nomme ce que colore le colorant HES (hematoxyline, eosine, safran) et l’aspect général du colorant

A

Aspect général rose

Hématoxyline: acides nucléiques (noyaux)

Eosine: structures basiques cytoplasmiques (muscle, cytoplasme, globules rouges)

Safran: collagène (matrice extracellulaire)

How well did you know this?
1
Not at all
2
3
4
5
Perfectly
5
Q

Nomme ce que le colorant Trichrome de Masson colore et son aspect général

A

Aspect général bleu

Hématox toujours pour nos noyaux
Bleu d’aniline (aspect plus bleu) : collagène et mucus

Briebich écarlate/fuchsine acide (aspect plus mauve) : structures basiques cytoplasmiques (muscles, cyto)

How well did you know this?
1
Not at all
2
3
4
5
Perfectly
6
Q

Nomme et situe sur l’image les artéfacts les plus fréquents

A

Globules rouges

espacement vide

plis

bulles

déchirure

adipocyte vide

*strie (plus net que la déchirure, pas sur l’image)

How well did you know this?
1
Not at all
2
3
4
5
Perfectly
7
Q

Nomme les artéfacts de cette lame du pancréas et la coloration

A

Coloration HES

Strie

espacement vide

dépot

déchirure

plis

How well did you know this?
1
Not at all
2
3
4
5
Perfectly
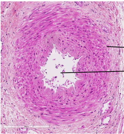
8
Q

coupe transversale, longitudinale ou oblique et coloration

A

Transversale HES

How well did you know this?
1
Not at all
2
3
4
5
Perfectly
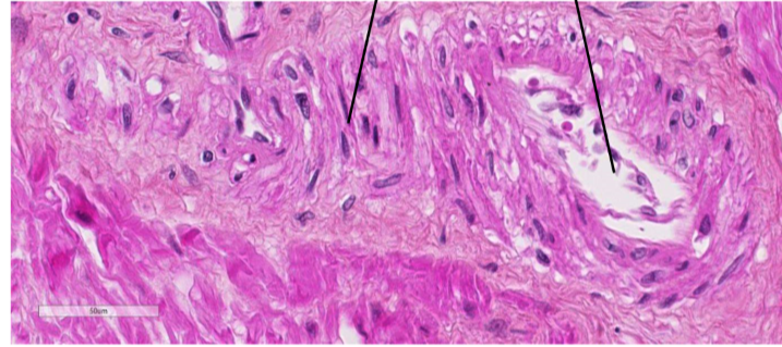
9
Q

type de coupe

A

Longitudinale

How well did you know this?
1
Not at all
2
3
4
5
Perfectly
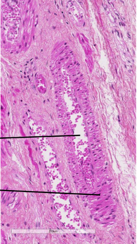
10
Q

type de coupe

A

oblique

How well did you know this?
1
Not at all
2
3
4
5
Perfectly
11
Q
A
How well did you know this?
1
Not at all
2
3
4
5
Perfectly