Tp 6 Flashcards

(18 cards)

1
Q

donne les caractéristiques de l’orcéine

A

colorant utilisé en immunohistochimie (COLORATION SPÉCIALE) pour mettre en évidence les fibres élastique des tissus conjonctifs

ex:
- derme
- poumon
- pavillon de l’oreille
- artères
- épiglotte

donne un aspect brunatre
provenait initialement du lichen

How well did you know this?
1
Not at all
2
3
4
5
Perfectly
2
Q

donne les caractéristiques de l’imprégnation argentique

A

coloration SPÉCIALE en histochimie pour colorée les fibres réticulées du tissus conjonctif

ex:

  • lame basale
  • vaisseaux
  • cellules musculaires lisses
  • adipocytes
  • organes lymphoides
  • rate et foie

Les fibres réticulées sont des fibres de collagène de type III qui contiennent plus de glucide que les autres fibres de collagène (raison pourquoi elles sont colorées par l’argent)

How well did you know this?
1
Not at all
2
3
4
5
Perfectly
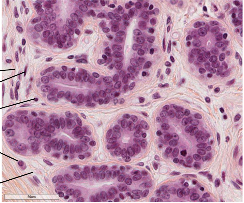
3
Q

Voici une lame de glande mammaire en HES

Determine: quel type de collagène il d’agit et pk

ce que les fleches pointent

A

collagène de type I : petite fibres très denses et enchevêtrées (vont dans toutes les directions)

donc collagène de type I dense enchevètré

flèches: fibroblastes qui sécrètent la matrice extracellulaire (puisqu’on en voit peu dans le tissus conjonctif, on peut dire que celui-ci est dense)

How well did you know this?
1
Not at all
2
3
4
5
Perfectly
4
Q

théoriquement, qu’est ce qui différencie le collagène de type 1 dense vs lache

A

dense: peu de cellules et de subst fondamentale, beaucoup de fibres de collagène

Lache: autant de cellules que de subst fondamentale et fibre de collagene

How well did you know this?
1
Not at all
2
3
4
5
Perfectly
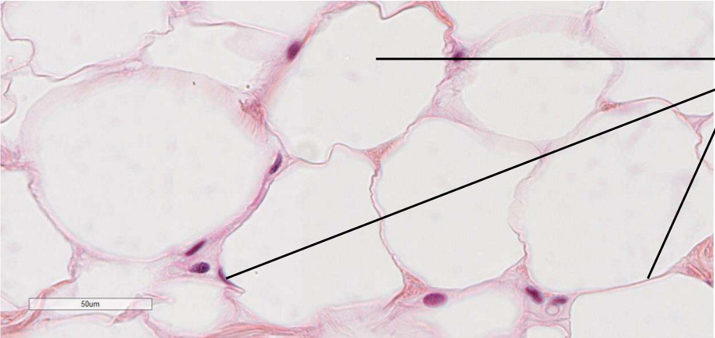
5
Q

quel est cette lame, nomme les fleches

A

lame glande mammaire HES contenant collagène de type 1 lache (contient un qté égale de susbt fondamentale, cell et fibre)

  • fibroblaste=cell allongée
  • lymphocyte=petite cell ronde foncée
  • plasmocytes= cell avec noyau excentré
  • subst fondamentale (invisible)

***ATTENTION l’épithélium glandulaire ne fais pas partie du tissu conjonctif

How well did you know this?
1
Not at all
2
3
4
5
Perfectly
6
Q

Les fibres élastiques dans les artères musculaires sont visibles en

  1. HES
  2. Orcéine
A
  1. orcéine

Avec le HES, la coloration des fibres musculaires cache les fibres élastiques

How well did you know this?
1
Not at all
2
3
4
5
Perfectly
7
Q

De quel type de cellule il s’agit et pourquoi on observe cette couleur

A

adipocytes (cellules qui contiennent des lipides avec noyau écrasé)

on voit rien a l’intérieur parce que lorsqu’on prépare la lame, on élimine les lipides

How well did you know this?
1
Not at all
2
3
4
5
Perfectly
8
Q

quelle lame, quelle coloration, les flèches

A

Artère musculaire HES

la partie rose= lame élastique faite d’elastine

flèche du haut: limitante elastique externe

Flèche du bas: limitante elastique interne

How well did you know this?
1
Not at all
2
3
4
5
Perfectly
9
Q

Dans cette lame, ou sont les fibres d’elastine et quest ce quon peut leur attribuer comme caractéristique

A

elles sont en brun et elles sont isolées (minifil)

How well did you know this?
1
Not at all
2
3
4
5
Perfectly
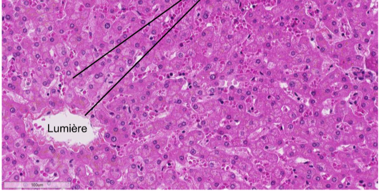
10
Q

De quelle lame il s’agit et qu’est ce que les flèches montrent

A

Lame du foie au HES

on y retrouve des fibres réticulés (collagene type 3) peu visible dans cette coloration surtout autout du vaisseau et au niveau de la charpente

How well did you know this?
1
Not at all
2
3
4
5
Perfectly
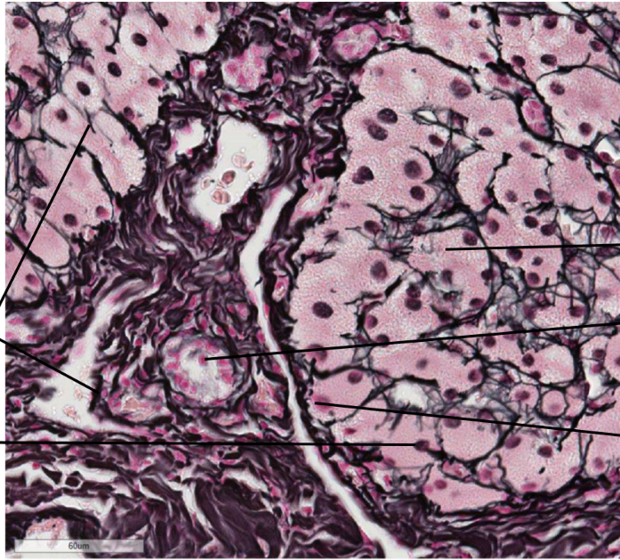
11
Q

avec quelle coloration on peut mieux voir les fibres réticulé et a quel type de collagene ca correspond

A

fibres réticulés = coll de type 3

on les voit mieux avec la technique imprégnation argentique

elles sont de couleur noir au niveau de la charpente et autour du vaisseau

How well did you know this?
1
Not at all
2
3
4
5
Perfectly
12
Q

Quelle lame, les flèches, nomme un artéfact présent

A

lame de la trachée en HES montrant du cartilage hyalin

on voit l’arceau cartilagineux

artéfact=plis

How well did you know this?
1
Not at all
2
3
4
5
Perfectly
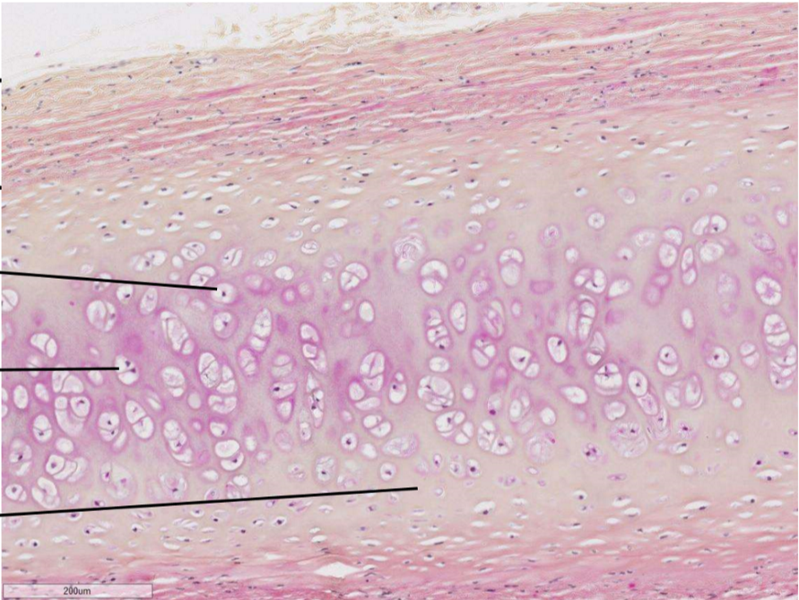
13
Q

Au niveau de la lame de la trachée, on retrouve du cartilage hyalin qui a plusieurs couches

nomme les couches

A

Enhaut : périchondre

il contient fibres de coll type 1, vs, fibroblastes, cell condrogéniques et chondroblastes

  • chondrocytes (à l’intérieur d’un chondroplaste)
  • groupe isogénique (plusieurs chondrocytes dans un chondroplaste)
  • matrice extracellulaire (collagène de type 2 et subst fondamentale)
How well did you know this?
1
Not at all
2
3
4
5
Perfectly
14
Q

Donne le but de la décalcification et les deux méthodes avec leurs avantages/inconvénients

A

On veut retirer le minéraux des os pour le couper au microtome

-protocole urgent :

acide fort

dissolution du calcium

rapide

affecte la morphologie du tissus

-protocole recherche :

acide chélateur

diminue la taillle du calcium

préserve la morphologie du tissus

processus très long

How well did you know this?
1
Not at all
2
3
4
5
Perfectly
15
Q

Voici une lame d’os CALCIFIÉ

A

canal de havers

canal de volkman

ostéon

petites cell noires=ostéoplastes

How well did you know this?
1
Not at all
2
3
4
5
Perfectly
16
Q

identifie la lame et les structures

A

lame de diaphyse décalcifiée OS COMPACT trans HPO

ostéocyte dans un ostéoplaste

ostéone (lame concentrique autour dun canal de havers)

Périoste fait de collagène

canal de havers qui comprend

  1. l’endoste : ostéoblaste, cellule ostéogénique
  2. VS qui contiennent globules rouges
17
Q

identifie le type d’os

A

os DÉCALCIFIÉ SPONGIEUX

  • moelle osseuse
  • endoste (tapisse la cavité médullaire)
  • travées (structures lamellaire)
  • ostéocyte (à l’intérieur d’un ostéoplaste)
18
Q

identifie les deux types d’os dans cette image

A

au centre : os spongieux

externe: os compact