Tp 5 Flashcards

(7 cards)

1
Q

Quelle coloration on utilise pour différencier les cellules en hématologie et explique quel image représente quelle cellule et pk?

A

La coloration de Wright

image 1: il s’agit de basophile car bleu de méthylène colore ses granules ainsi que les acides nucléiques

image 2: il s’agit d’un neutrophile (ses grnules sont peu colorés)

image 3: il s’agit d’un oesinophile parce que ces granules sont colorés par l’eosine (plus rosé)

How well did you know this?
1
Not at all
2
3
4
5
Perfectly
2
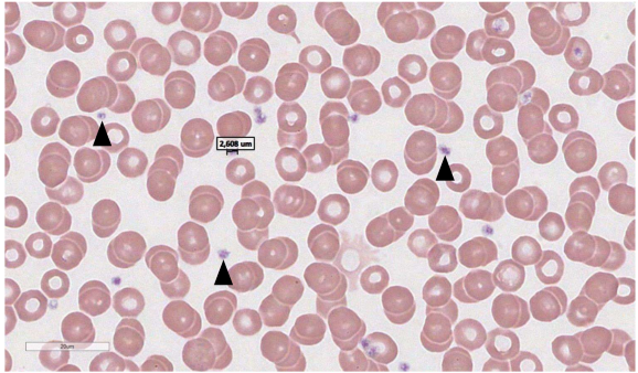
Q

identifie les structures avec les flèches et les cellules en arrière plan et donne leur caractéristiques

A

Cellule en arrière plan : globules rouges

-pas de noyau, disque biconcave, cytoplasme homogène (sans granule)

Flèches: thrombocytes (plaquettes)

-les plus petits dans le frotti, fragments cellulaires, disque biconvexe, cytoplasme avec granules

How well did you know this?
1
Not at all
2
3
4
5
Perfectly
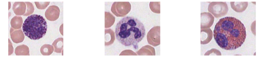
3
Q

identifie la plus grosse cellule et ses caractéristiques

A

Neutrophile

  • 45 à 70% des leucocytes
  • noyau polylobé (2à5)
  • chromatine condensée (hétérochromatine)
  • cytoplasme clair (on se rappelle que les granules des neutrophiles sont peu colorés )
How well did you know this?
1
Not at all
2
3
4
5
Perfectly
4
Q

identifie la plus grosse cellule et ses caractéristiques

A

éosinophile

  • peu abondant (2-5% des leucocytes)
  • npyau bilobé
  • chromatine condensée
  • cytoplasme avec granules rouges (acidophile)
How well did you know this?
1
Not at all
2
3
4
5
Perfectly
5
Q

identifie la plus grosse cellule et ses caractéristiques

A

basophile

  • 0-1% des leucocytes
  • noyau bilobé
  • chromatine condensée
  • granules violet du cytoplasme cache le noyau
How well did you know this?
1
Not at all
2
3
4
5
Perfectly
6
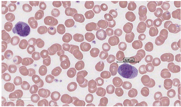
Q

identifie la cellule foncée et ses caractéristiques

A

Lymphocyte

  • 20-40% des leucocytes
  • grand noyau rond, très peu de cytoplasme
  • pas de granule
  • chroma condensée
How well did you know this?
1
Not at all
2
3
4
5
Perfectly
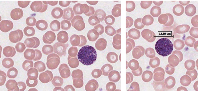
7
Q

identifie la plus grosse cellule et ses caractéristiques

A

Monocytes (futurs macrophages)

  • 3à7% des leucocytes
  • noyau en forme de U
  • chromatine mitée (condensée et decondensée)
  • cytoplasme avec lysosome
How well did you know this?
1
Not at all
2
3
4
5
Perfectly