Tp2 Flashcards

(9 cards)

1
Q
A

Colonne

Camera

Oculaires

Porte specimen

Ordinateur

Écran du microscope

How well did you know this?
1
Not at all
2
3
4
5
Perfectly
2
Q

Nomme la structure et les sous structure et avec quelle technique

A

au met

Structure= cellule

Cytoplasme

Globule rouge

Vs

Cell

Noyau

Memb plasmique

How well did you know this?
1
Not at all
2
3
4
5
Perfectly
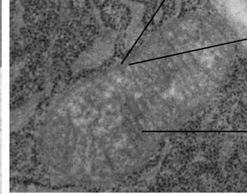
3
Q

Nomme structure et sous structure

A

Memb externe

Memb interne

Crete

How well did you know this?
1
Not at all
2
3
4
5
Perfectly
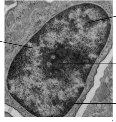
4
Q

Nomme structure et sous structure

A

Euchromatine (peu condensée peu colorée)

Hétérochromatine (tres condensée tres colorée)

Nucléole

Envelope nucleaire

How well did you know this?
1
Not at all
2
3
4
5
Perfectly
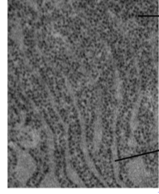
5
Q

Nomme la structure et les sous structures

A

reticulum endo

Ribosome(juste chez rugueux)

Citerne (en continuité avec memb nucléaire)

How well did you know this?
1
Not at all
2
3
4
5
Perfectly
6
Q
A

Jonction adherens (desmosome / macula adherens)

Jonction adherens (zonula adherens)

Jonction serrée (zonula occludens)

Complexe de jonction on commence du pole apical par jonction serrée (se rappeler de l’ordre)

How well did you know this?
1
Not at all
2
3
4
5
Perfectly
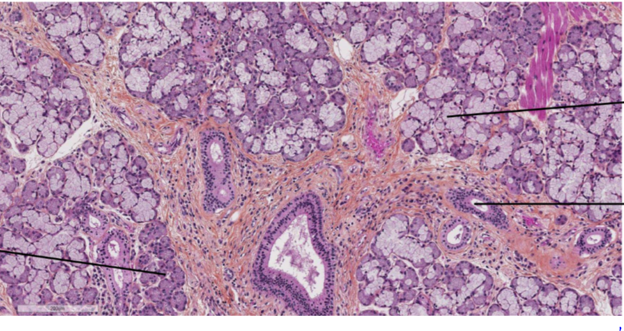
7
Q
A

Glade sero muqueuse

Coloration hes

Cell au contenu fonce

(noyau pole basal, nucleole proeminent, bcp de ribosome rer)

Cell au contenu clair

(contient mucus qui ecrase le noyau au pole basal, mucus pas coloré par hes donc cytoplasme clair)

Jonction intercell

How well did you know this?
1
Not at all
2
3
4
5
Perfectly
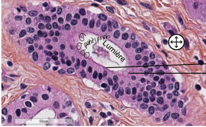
8
Q

Quest ce qui permet de reconnaître un complexe de jonction en hes

A

petits points

Nids d’abeille

How well did you know this?
1
Not at all
2
3
4
5
Perfectly
9
Q

Explique la difference entre la visualisation du MET sur l’écran du MET ou sur ordinateur

A

écran met:

Vert=fluorescent

Gris =speciment

Noir= grille

Ordi:

Clair: Structures peu colorées (ex:euchromatine, cytoplasme)

Foncé: Structure condensé ( ex: Heterochromatine, ribosome)

Lignes noires :grilles

How well did you know this?
1
Not at all
2
3
4
5
Perfectly