UP5 - Micro Flashcards

(16 cards)

1
Q
  1. Sobre las micobacterias:
  2. Clasifique
  3. Como es su pared celular?
  4. Cual es su pH ideal?
  5. Cuales son sus especies?
  6. A que son resistentes?
  7. Que infectan?
A
  1. Son bacilos delgados, recto o curvados, grampositivos (aunque no se tiñen con GRAM) y aerobios estrictos.
  2. Presenta ácidos micólicos, lípidos complejos, proteínas (activan la respuesta inmunitaria celular), peptidoglicano, periplasma, membrana plasmática interna.
  3. pH ideal 6 a 7,6 (30-60 días de cultivo)
  4. Hay varias especies: tuberculosis (de crecimiento de tipo rápido y otras de tipo lento), bovis, africanun y leprae.
  5. Son resistentes a desecación, ácido-alcohol, desinfectantes, detergentes, antibióticos frecuentes y a la respuesta inmune del huésped.
  6. Tienen capacidad de crecimiento intracelular en los macrófagos alveolares.
How well did you know this?
1
Not at all
2
3
4
5
Perfectly
2
Q

Cuales son los factores de virulencia de las micobacterias?

A

Presentan:
*Catalasa: cataliza el peróxido de hidrógeno
*Micobactinas y exoquelinas: captan Fe++
*Sulfolípidos: inhiben la fusión lisosoma-fagosoma
*Cord Factor: tóxico para los leucocitos, lesiona las membranas mitocondriales
*Capaz de crecimiento intracelular en los macrófagos alveolares inactivados.

How well did you know this?
1
Not at all
2
3
4
5
Perfectly
3
Q

Como se da el contagio por micobacteria tuberculosis?

A
  1. La persona infectada tose o estornudada liberando gotitas que son inhaladas por otra.
  2. La bacteria penetra en los macrófagos alveolares inactivados.
  3. Inhibe la acidificación del fagosoma y la fusión del fagosoma-lisosoma
  4. Replicase libremente
  5. Generan granuloma en el tejido pulmonar (necrosis caseosa).
How well did you know this?
1
Not at all
2
3
4
5
Perfectly
4
Q

Que pacientes son más vulnerables para contagiarse de la tuberculosis?

A

*Que viven en hacinamiento
*Malnutridos
*Que padecen de otras enfermedades (diabetis, inmunodeficientes…)
*Pacientes que están en tratamiento inmunosupresor

How well did you know this?
1
Not at all
2
3
4
5
Perfectly
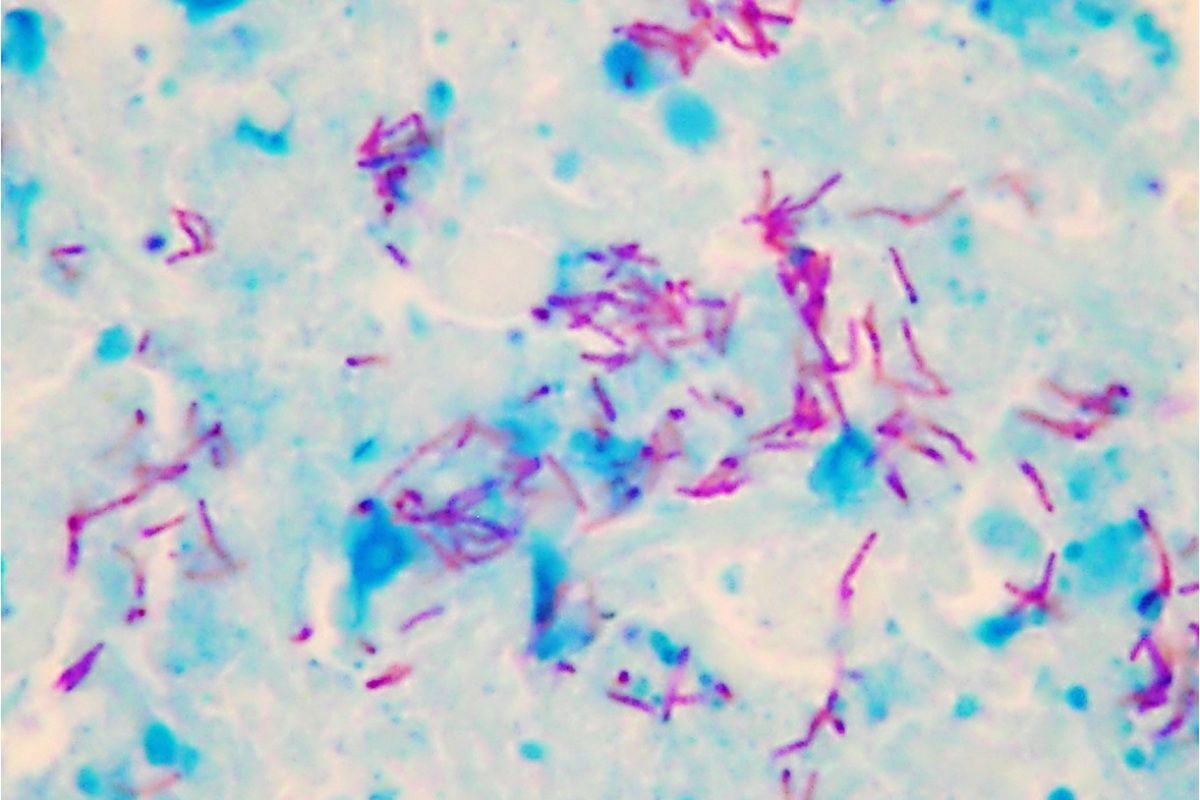
5
Q

Como se diagnostica la micobacteria tuberculosis?

A

Se toma muestras de esputo, lavado bronquioalviolar, punción de pleura, orina, LCR.
-Se observa con la tinción de Ziehl-Neelsen o auramina (positivo si se oberva de 1-10 BAAR en 100 campos).
-Se puede cultivar (tienen crecimiento lento, 60 días)
-Se puede buscar antígenos
-Se puede identificar el genoma
-No se puede identificar por anticuerpos, pero sí de inmunidad celular (prueba de tuberculina).

How well did you know this?
1
Not at all
2
3
4
5
Perfectly
6
Q

Cuantas muestras de esputo son necesarias para diagnosticar micobacterium tuberculosis? Cuales son las indicaciones para tomar la muestra?

A

1º muestra: en la consulta
2º muestra: al día siguiente, preferentemente por la mañana (así se acumula secreción durante toda la noche), evitando escupir en el frasco.
Esa muestra debe ser almacenada en una bolsa negra o envuelto en papel madera en la puerta de la heladera (pues el bacilo es termosensible).
3º muestra: al próximo día, llevando cuanto antes al laboratorio.

How well did you know this?
1
Not at all
2
3
4
5
Perfectly
7
Q

Cuanto tarda el diagnóstico de tuberculosis?

A

-Baciloscopia tarda 48 horas (Ziehl Neelesen)
-Cultivo en Lowenstein Jensen y PSA tarda 45-60 días

How well did you know this?
1
Not at all
2
3
4
5
Perfectly
8
Q

Explique como es la prueba de tuberculina.

A

Se inocula antígenos proteicos del bacilo en la piel del paciente y se espera que en 48-72 horas se genere una respuesta inflamatoria exudativa con eritema e induración de la zona (en caso de tener tuberculosis o por la vacuna).
-La respuesta negativa no descarta enfermedad, ya que en pacientes inmunodeficientes pueden no tener una respuesta.
En 72 h se mide la pápula:
> 5 mm se considera positivo en pacientes inmunocomprometidos
>10 mm paciente vacunado
> 15 mm puede estar cursando una TBC activa

How well did you know this?
1
Not at all
2
3
4
5
Perfectly
9
Q

Una vez que el diagnóstico para tuberculosis sea positivo, que se hace?

A

-Se notifica a todos los individuos que estuvieron en contacto con el paciente tuberculoso (+6 horas en ambiente cerrado).
-Iniciar inmediatamente el tratamiento y garantizar que se cumpla hasta la curación.

How well did you know this?
1
Not at all
2
3
4
5
Perfectly
10
Q

Hay como prevenir la micobacteria tuberculosis?

A

Hay la vacuna, llamada BCG, es una vacuna celular de la micobacteria bovis atenuada.
Previene las infecciones graves/mortales de tuberculosis.

How well did you know this?
1
Not at all
2
3
4
5
Perfectly
11
Q

Sobre la micobacteria leprae:
1. Clasifique
2. Como se da el contagio?
3. Cuanto dura el período de incubación?
4. Cual es su reservorio?
5. Como se previene?

A
  1. Es un bacilo recto o curvado (en forma de N, V o L), aerobios estrictos, inmóviles. Es un parasito intracelular obligado que puede vivir fuera el organismo durante 7-42 días.
  2. Su forma de contagio se da por contacto reiterado de una persona con otra por aerosoles en contacto directo con la piel.
  3. El período de incubación es largo (9 meses a 20 años)
  4. El armadillo es un reservatorio de la infección.
  5. Se previene con la vacuna BCG y es de denuncia obligatoria.
How well did you know this?
1
Not at all
2
3
4
5
Perfectly
12
Q

Como se presenta la lepra en el paciente?

A

El paciente presenta una mancha en la piel (hipocromina, hipercromica), bordes sobreelevados, crónica, se pierde la sensibilidad.
Puede presentar engrosamiento de la piel.

How well did you know this?
1
Not at all
2
3
4
5
Perfectly
13
Q

Como se diagnostica la micobacteria leprae?

A

El diagnóstico tiene 4 pilares:
-Clínico: anamnesis y examen físico dirigido a las lesiones
-Microbiológico: tinción de Ziehel Neelsen
-Inmunológico: reacción ante a la inyección de lepromina
-Anatomopatológico: biopsia de lesiones cutáneas.

How well did you know this?
1
Not at all
2
3
4
5
Perfectly
14
Q

Como es el diagnóstico microbiológico de lepra?

A

Se toman 5 muestras por frotis directo del tabique nasal con un escobillón humedecido con agua o con solución salina.
Puede ser también por 5 muestras de linfa (se pincha la oreja, codo, lesiones sospechosas).
-NO se reproduce en medios sintéticos.
-Se puede teñir con la tinción de Ziehl Neelsen (resultado negativo si no se observa BAAR en 10 campos, positivo si se observa al menos 1 en 100 campos de gran aumento).

How well did you know this?
1
Not at all
2
3
4
5
Perfectly
15
Q

Como se hace el diagnóstico inmunológico de lepra?

A

Se inyecta lepromina o reacción de Mitsuda-Fernandéz, la lectura se hace a las 48 horas y en caso de ser positiva se observa una pápula eritematosa.
Luego a los 21-30 días, en caso de ser positiva se observa un nódulo o ulceración.
La positividad de la reacción a lepromina evidencia una respuesta inmune adecuada frente al bacilo de Hansen, diagnosticando la forma tuberculoide y no lepromatosa.

How well did you know this?
1
Not at all
2
3
4
5
Perfectly
16
Q

Cual la diferencia de lepra tuberculoide y lepromatosa?

A

El agente causador es la misma bacteria, lo que cambia es:
*En la lepra tuberculoide el organismo genera una infección granulomatosa crónica y logra circunscribir la bacteria y esa no se disemina.
*En la lepra lepromatosa la inmunidad celular no actúa con eficiencia y esa se disemina por todo el organismo.