What is this bone? [1]
Label A-F
Temporal bone
A: Zygomatic process
B: External auditory meatus
C: mastoid process
D: squamous part
E: styloid process
F: petrous part
Label the fontanelles [2]
What do each of them turn into later in life? [2]
1: Sphenoid fontanelle. Becomes the pterion
2: Mastoid fontanelle. Becomes the asteroin
Label 1 & 2 [2]
1: metopic suture
2: Anterior fontanelle
Label this structure [1]
Bregma
How many bones contribute to the orbit?
6
7
8
9
How many bones contribute to the orbit?
6
7
8
9
The internal carotid artery enters the skull via the [] this is an oblique channel through the skull base.
It then emerges above foramen [].
The internal carotid artery enters the skull via the carotid canal, this is an oblique channel through the skull base.
It then emerges above foramen lacerum.
The middle meningeal artery is a small artery which enters the skull through foramen [] and travels inside the skull passing deep the [].
The middle meningeal artery is a small artery which enters the skull through foramen spinosum and travels inside the skull passing deep the pterion.
the spinal cord terminates at the:
cauda equina
filum terminale
conus medullaris
foramen magnum
1st coccygeal vert
the spinal cord terminates at the:
cauda equina
filum terminale
conus medullaris
foramen magnum
1st coccygeal vert
which verebtral level do u go below to do lumbar puncture?
L2
Why might lumbar puncture be more challenging in a young child? [1]
Why might lumbar puncture be more challenging in a young child? [1]
Acceptable responses: spinal cord lower, the spinal cord ends lower down, the spinal cord travels further down the vertebral column
spinal accessory nerves leave the skull via which foramen?
formen spinosum
carotid canal
jugular foramen
foramen lacerum
foreman magnum
spinal accessory nerves leave the skull via which foramen?
formen spinosum
carotid canal
jugular foramen
foramen lacerum
foreman magnum
which foramen is this?
foramen ovale
foramen spinosum
Internal acoustic meatus
Foramen lacerum
Carotid canal

which foramen is this?
foramen ovale
foramen spinosum
Internal acoustic meatus
Foramen lacerum
Carotid canal
Which one of the following pairings of foramina and their contents is not correct?
Superior orbital fissue and oculomotor nerve
Foramina rotundum and maxillary nerve
Jugular foramen and hypoglossal nerve
Foramine spinosum and middle meningeal artery
Carotid canal and internal carotid artery
Which one of the following pairings of foramina and their contents is not correct?
Superior orbital fissue and oculomotor nerve
Foramina rotundum and maxillary nerve
Jugular foramen and hypoglossal nerve: The hypoglossal nerve passes through the hypoglossal canal.
Foramine spinosum and middle meningeal artery
Carotid canal and internal carotid artery
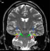
Which part of the brainstem is this?
Midbrain
Medulla (Superior)
Medulla (Inferior)
Pons
Which part of the brainstem is this?
Midbrain
Medulla (Superior)
Medulla (Inferior)
Pons Anteriorly the pons bulges forwards,
Which part of the brainstem is this?
Midbrain
Medulla (Open / Superior)
Medulla (Closed / Inferior)
Pons
Which part of the brainstem is this?
Midbrain
Medulla (Open / Superior)
Medulla (Closed / Inferior)
Pons
Which part of the brainstem is this?
Midbrain
Medulla (Open / Superior)
Medulla (Closed / Inferior)
Pons
Which part of the brainstem is this?
Midbrain This can be identified by the large cerebral peduncles anteriorly
Medulla (Open / Superior)
Medulla (Closed / Inferior)
Pons
Which part of the brainstem is this?
Midbrain
Medulla (Open / Superior)
Medulla (Closed / Inferior)
Pons
Which part of the brainstem is this?
Midbrain
Medulla (Open / Superior)
Medulla (Closed / Inferior)
Pons
Which part of the brainstem is this? [1]
Label A & B [2]
Pons
A: 4th ventricle
B: Pons
The [] is the innermost layer of the eye
The retina is the innermost layer of the eye
The optic disc is where which two structures join together? [2]
The optic disc is where the optic nerve joins the retina
The [] is the location of maximal photoreceptor density
The macula is the location of maximal photoreceptor density
Label A-C
A: Fovea
B: Macula
C: Optic disc
Optic radiation
The paired optic tracts sweep posteriorly and send most axons to synapse in the [], in the [] nucleus.
The paired optic tracts sweep posteriorly and send most axons to synapse in the thalamus, in the lateral geniculate nucleus of the thalamus.