HD EOYS7 Flashcards

(55 cards)

1
Q

This tumour is from a 4 year old child contains a lobulated tan-white mass. What is the most likely name of the cancer? [1]

A

Wilms tumour

How well did you know this?
1
Not at all
2
3
4
5
Perfectly
2
Q

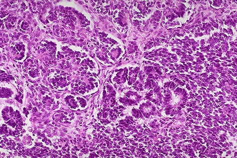
How does Wilms tumour present histologically? [1]

A

tumor shows attempts to form primitive glomerular and tubular structures. Pediatric neoplasms are often composed of cells that resemble primitive embryonic counterparts: -blasts. In this case the cells are reminiscent of developing nephroblasts.

How well did you know this?
1
Not at all
2
3
4
5
Perfectly
3
Q

Which is the main gene involved in high risk patients of neuroblastoma?

MYCN
WT1
ALK
PHOX2B

A

Which is the main gene involved in high risk patients of neuroblastoma?

MYCN
WT1
ALK
PHOX2B

How well did you know this?
1
Not at all
2
3
4
5
Perfectly
4
Q

Which is the main gene involved in hereditary patients of neuroblastoma?

MYCN
WT1
ALK
PHOX2B

A

Which is the main gene involved in hereditary patients of neuroblastoma?

MYCN
WT1
ALK
PHOX2B

How well did you know this?
1
Not at all
2
3
4
5
Perfectly
5
Q

Endometrial cancer is caused by an excess of which hormone?

progesterone
oestrogen
LH
FSH

A

Endometrial cancer is caused by an excess of which hormone?

progesterone
oestrogen
LH
FSH

How well did you know this?
1
Not at all
2
3
4
5
Perfectly
6
Q

What are oncogenes activated by? [4]

A

Activated by gain of function mutations:

  • mutation
  • chromosome translocation
  • gene amplification
  • retroviral insertion
How well did you know this?
1
Not at all
2
3
4
5
Perfectly
7
Q

What are tumour suppressor genes inactivated by? [3]

A

Inactivated by:
* mutations
* deletions
* DNA methylation (epigenetic)

How well did you know this?
1
Not at all
2
3
4
5
Perfectly
8
Q

How does Wilm tumour present? [3]

A
  • Tumour of the kidney (aka nephroblastoma)
  • Mostly children under 5
  • asymptomatic abdominal mass without metastasis
  • Often bilateral
How well did you know this?
1
Not at all
2
3
4
5
Perfectly
9
Q

Explain pathophysiology of retinoblastoma

  • Which gene is mutated?
  • Which cells are effected?
  • Overview of mechanism?
A

germline mutation of RB1 gene usually present in patients

Occurs in cone precursor cells

Signalling pathways promote cell survival after loss of RB1

How well did you know this?
1
Not at all
2
3
4
5
Perfectly
10
Q

Describe the molecular pathology of Wilms tumour

Which genes are affected if somatic gene alterations occur [3]
Which genes are affected if germline alterations occur? [2]

A

Somatic gene alterations:
* In WT1, WTX and TP53 genes
* Inactivated CTNNB1 (beta catenin gene
* Epigenetic changes at IGF2/H19 locus

Germline alterations:
* In WT1 genes
* Inactivated CTNNB1 (beta catenin gene

How well did you know this?
1
Not at all
2
3
4
5
Perfectly
11
Q

What is the key role of WT1 gene? [1]

A

Ureteric branching - has key role in the epithelial induct of the metanephric mesenchyme
WT1 is critical in the key pathways for the developing kidney!

How well did you know this?
1
Not at all
2
3
4
5
Perfectly
12
Q

What type of genes are WT1, WTX & TP53? [1]

A

WT1, WTX & TP53 are Tumour Suppressor Genes

How well did you know this?
1
Not at all
2
3
4
5
Perfectly
13
Q

How does Rb gene work under normal function? [2]

Explain how mutation to Rb gene causes cancer [1]

A

Normal:
* pRb restricts the cell’s ability to replicate DNA by preventing its progression from the G1 (first gap phase) to S (synthesis phase) phase of the cell division cycle

  • pRb binds and inhibits E2 promoter-binding–protein-dimerization partner (E2F-DP) dimers, which are transcription factors of the E2F family that push the cell into S phase.
  • By keeping E2F-DP inactivated, RB1 maintains the cell in the G1 phase, preventing progression through the cell cycle and acting as a growth suppressor.

Pathology:
* Mutation causes no Rb1 hyperphosphorylation due to lack of binding to E2F

How well did you know this?
1
Not at all
2
3
4
5
Perfectly
14
Q

Which other genes are implicated in retinoblastoma? [4]

A

MYCN activation
MDM2 or MDM4 over-expression or amplification - leads to inactivation of TP53

How well did you know this?
1
Not at all
2
3
4
5
Perfectly
15
Q

Tx of retinoblastoma:

  • Small tumour? [3]
  • Advanced tumours [3]
A

Small tumours: cryotherapy, laser therapy or thermotherapy

More advanced tumours or distant disease: chemotherapy, surgery &/or radiation

How well did you know this?
1
Not at all
2
3
4
5
Perfectly
16
Q

Neuroblastoma:
how does it often present at diagnosis? [1]

A

Metastatic disease in >50% cases at diagnosis; spreads via lymphatics and blood stream

How well did you know this?
1
Not at all
2
3
4
5
Perfectly
17
Q

Neuroblastoma is a tumour of which body system? [1]

Which organs does it usually occur in? [2]

A

Tumour of the sympathetic nervous system, usually arising in the adrenal gland or sympathetic ganglia

How well did you know this?
1
Not at all
2
3
4
5
Perfectly
18
Q

Which oncogenes are involved with neuroblastoma? [3]

A

MYCN amplification, ALK & PHOX2B

How well did you know this?
1
Not at all
2
3
4
5
Perfectly
19
Q

What is the difference betwen molecular pathology of neuroblastoma between high risk, low risk and hereditary patients? [3]

A

High risk patients
* Have high MYCN amplification; ATRX & ALK mutations
* Near-diploid/near-tetraploid karyotype, complex chromosome aberrations
* Deletions in 1p and 11q

Low risk:
* Numerical chromosome gains (e.g. spontaneous chromosomes)

Hereditary
* Germline ALK mutations

How well did you know this?
1
Not at all
2
3
4
5
Perfectly
20
Q

How do patients with Acute Lymphoblastic Leukaemia (ALL) present [3]

Where does infiltration of ALL usually occur? [4]

A
  • bruising or bleeding due to thrombocytopaenia
  • pallor and fatigue due to anaemia
  • infection due to neutropenia
  • Infiltratration to the liver, spleen, lymph nodes and mediastinum common at diagnosis
How well did you know this?
1
Not at all
2
3
4
5
Perfectly
21
Q

In children, what are the three major types of ALL? [3]

A

In children ~80% are CD19+, CD10+ “B-cell precursor ALL”

How well did you know this?
1
Not at all
2
3
4
5
Perfectly
22
Q

Which comes first Pro-B or Pre-B? [1]

What are Pro-B and Pre-B cells characterised by on their cell surfaces? [3]

A

Pro-B then Pre-B

ProB cells are characterized by cell surface marker CD19+

PreB cells are characterized by cell surface markers CD19+ and CD10+

How well did you know this?
1
Not at all
2
3
4
5
Perfectly
23
Q

What are the distinctive cell abnormalites that often occur in Pro-B cells and Pre-B cells? [2]

A

There are distinctive cell abnormalities:
Pro-B (CD19+, CD10-) always have translocation of MLL gene translocated

Pre-B always have translocation of chromosomes 12 & 22

24
Q

How do Pro-B ALL cells appear histologically? [1]

A

Lots of pre-cursor cells

25
Explain the two step model that causes ALL
Step 1: **developmental error in utero** Step 2: **Dysregulated immune response to infection** (This occurs in patients who carry a covert pre- leukaemic clone and have a deficit of infectious exposures in infancy; children who are born by C-section may not be exposed to microbes during the birth canal)
26
What is the prognosis for patients with: Pro-B ALL? [1] Pre-B ALL [1]
Pro-B ALL / **MLL translocation**: **unfavourable for children** Pre-B ALL: **ETV6-RUNX1 translocation**: **more favourable**
27
Why are there less treatment options for viruses than bacterial infections?
28
Which vaccines are given in the 6 in 1 vaccine? [6] At what ages is it given to children? [3] Describe the vaccination plan so that th full course is given [:)]
Diptheria, tetanus, pertusis, polio, *Haemophilus influezae* type B (Hib) and hep B All given at: 8 weeks; 12 weeks; 16 weeks **Diphtheria, tetanus, pertussis and polio** given again at 3 years 4 months **Tetanus, diphtheria and polio** at 14 years
29
When is rotavirus vaccine given? [2]
8 weeks 12 weeks
30
The HPV vaccine protects agaisnt which strains? [4] Which strains cause HPV? [2] Which strains cause genital warts? [2]
Protects agaisnt: 6, 11, 16, 18, 31, 33, 45, 52, and 58 Human papillomavirus (HPV) **types 16 and 18** Genital warts: caused by **type 6 and 11**
31
Which antibody takes over as the main antibody response to an infection? [1]
IgG
32
What does immune memory of a pathogen depend upon? [1]
Whether immune memory can protect against a future pathogen encounter **depends on the incubation time of the infection,** the quality of the memory response and the level of antibodies induced by memory B cells Greater incubation: greater immune memory
33
What is the difference between Strep throat and scarlet fever? [1] Name a symptom of scarlet fever not in strep throat
Both caused by **Streptococcus pyogenes / group A Streptococcus** When Group A strep just infects throat: **strep throat** * fever and an inflamed, painful throat with swelling of the tonsils. When Group A strep becomes more systemic: **scarlett fever**: * Rash and strawberry tongue presentation
34
At which stage is first meiotic division complete by 1. Primordial follicle 2. Early Primary Follicle 3. Late Primary Follicle 4. Secondary Follicle 5. Tertiary / Graffian Follicle 6. Corpus luteum 7. Corpus albican
At which stage is first meiotic division complete by 1. Primordial follicle 2. Early Primary Follicle 3. Late Primary Follicle 4. **Secondary Follicle** 5. Terteriay / Graffian Follicle 6. Corpus luteum 7. Corpus albican
35
What level of development are primordial follicles in? [1] When do they develop further? [1]
They remain in the **first meiotic division** At puberty they begin to develop further
36
# Follicle development: What changes in structure occur from early primary folllicle to a late primary follicle? [2]
- Follicular cells **proliferate into stratified epithelium** called **zona granulosa** - Development of **zona pellucida occurs**: layer that **seperates** **oocyte** from the **follicular cells** -
37
Which two structural layers are created whe the late primary follicle develops? [2]
Zona pellucida Zona granulosa
38
# Follicle development: What development occurs from late primary follicle to secondary follicle? [3]
* **Follicular antrum** within granulosa layer * **Thicker** **zona** **pellucida** * Larger zona granulosa * **Larger** **oocyte** * **Thecal cells outside of follicle** proliferate
39
Describe how the formation of oestrogen occurs in oocyte
- Cholesterol from blood stream goes to **thecal cells** (both located on outside of follicle) - **Theca** cells **catalyse** **cholesterol** into **androgens**, but **lack aromatase** to finalise conversion into oestrogen - Androgens move to **granulosa cells,** which have **aromatose**; granulosa cells are **stimulated by FSH** to make **oestrogen**
40
At which stage in follicle development is the oocyte a 2N haploid? [1]
Tertiary / Graffian
41
# Follicle development Which structural changes occur when the oocyte develops into a tertiary oocyte?
- Large follicular **antrum** makes up most of follicle - **Corona radiata develops:** layer of cells that surrounds the **zona pellucida** Corona radiatia
42
# Corpus luteum: Which hormone do granulosa cells make before ovulation? [1] Which hormone do granulosa cells make after ovulation? [1]
**granulosa cells**: switch from making oestrogen to making **progesterone**
43
How long does the corpus luteum stay active before turning into a corpus albicans if oocyte is not fertilised? [1] What happens to the corpus albican when it degenerates? [1] The decrease of which hormone causes this to happen? [1]
14 days Secretory cells degenerate and are phagocytosed by macrophages and replaced by fibrous material Due to drop in **LH**
44
Describe what atretic follicles are and why they are formed [2] Which hormone decreasing creates atretic follicles? [1]
Atretic follicles: * Several primordial follicles are stimulated to develop - but only one completes the development to become the ovum * The rest undergo a process called **atresia** which can occur at any stage – become scar tissue and break down: **look like little corpus albucans** * **Triggered by decrease if FSH**
45
Describe the cell structure of the oviduct / uterine tube [2] What are the two types of epithelium found? [2]
Structure: * **wall of smooth muscle** * elaborate **mucosa**: appears like a **labyrinth** Epithelium consists of: - **Ciliated** **cells** (move ovum along) - **Non-ciliated cells**: secrete lubricating secretions to nourish & protect ovum
46
Name the three stages in the uterine cycle and which hormones drive each phase [6]
**Proliferative phase**: driven by **oestrogen** **Secretory phase:** Driven by **progesterone** **Menstrual phase**: driven by **progesterone levels falling**
47
Describe each stage of the uterine cycle [3]
**Proliferative stage**: * Robust growth of epithelial cells in stratum functionalis * Formation of coiled and densely packed glands **Secretory phase**: * Glands become more complexly coiled & filled with **secretions** (appears pink) rich in **glycogen** and **glycoproteins** * **Endometrium** is maximum **thickness** **Menstrual phase:** * If fertilisation occurs - **nohCG** and **corpus luteum degenerates** * Spiral arteries in endometrium **constrict** and tissue becomes ischemic * Cells die and this causes sloughing of stratum functionalis * Forms the menstrual flow
48
What is a big risk factor for endometrial cancer? [1]
Obesity (40% cases are linked)
49
How does endometrial cancer appear histologically? [1]
They can grow as **polypoid masses** that project into endometrial cavity: * Irregular crowded glands lined by columnar epithelium with pseudostratified nuclei and mild atypical cytologic
50
Leiomyoma are proliferations of which cell type? [1] Driven by XS of which hormone? [1] Which part of the vagina are fibroids found? [1]
* **SMC** proliferations * Driven by **oestrogen** rise * In **myometrium**
51
Where do ovarian cancers predominately arise from? [3]
**Ovary** **Fallopian tubes** **Peritoneum**
52
Which cell types are the predominate type that cause ovarian cancer? [1]
**Serous ovarian cancer:** **2/3rds of cases epithelial ovarian cancer** (outer coating of ovary and peritoneum – CT around the ovary, not the cyst itself)
53
Ovarian cancer - describe the histopathology of serous cystadenoma [2]
**Multi-cystic** with fine papillary projections from cyst wall Thin walled cysts lined with c**iliated pseudostratified cuboidal** pr columnar epithelium
54
Which genes increase the liklihood of ovarian cancer? [2]
RCA1 and BRCA2 gene mutations are likely causes of ovarian and breast cancer. 10 to 15% of ovarian cancers have a genetic predisposition listed as the main risk factor.
55
Why does taking oral contraceptive pills cause a protective effect for ovarian cancer? [1]
**Suppresses ovulation**