HD EOYS9 Flashcards

(61 cards)

1
Q

What pathology causes this slide from testis [1]

Explain your answer [1]

A

The seminiferous tubules contain Sertoli cells, but none of the characteristic cells of spermatogenesis. Abundant Leydig cells remain in the interstitium.

How well did you know this?
1
Not at all
2
3
4
5
Perfectly
2
Q

What is the name for this surgery? [1]

A

Orchiectomy

How well did you know this?
1
Not at all
2
3
4
5
Perfectly
3
Q

What is the name for this surgery? [1]

A

Orchidopexy

How well did you know this?
1
Not at all
2
3
4
5
Perfectly
4
Q

What is the name for this surgery? [1]

A

Orchidopexy

How well did you know this?
1
Not at all
2
3
4
5
Perfectly
5
Q

Which hormone has the following role:

inhibits the synthesis and release of the follicle-stimulating hormone in the pituitary gland and reduces the hypothalamic LH - releasing hormone content [1]

A

Inhibin

How well did you know this?
1
Not at all
2
3
4
5
Perfectly
6
Q

Which of the following type of Nonseminomatous Testicular Tumors causes high hCG

Choriocarcinoma
Teratoma
Yolk Sac Tumor
Embryonal Carcinoma

A

Which of the following type of Nonseminomatous Testicular Tumors causes high hCG

Choriocarcinoma
Teratoma
Yolk Sac Tumor
Embryonal Carcinoma

How well did you know this?
1
Not at all
2
3
4
5
Perfectly
7
Q

A 16-year-old patient presents with increasing testicular pain of 1-month duration. On exam, a left testicular mass is identified. A radical orchiectomy was performed, and the testicular mass was found to have a stroma that was infiltrated with numerous lymphocytes along with extensive hemorrhage and necrosis. Light microscopy reveals a diffuse sheet-like pattern of cells. Which of the following diagnoses is the most likely given this description?

A. Seminoma
B. Embryonal carcinoma
C. Leydig cell tumor
D. Choriocarcinoma

A

A. Seminoma

Seminoma is the most common pure germ cell tumor and is predominantly found in white populations.

How well did you know this?
1
Not at all
2
3
4
5
Perfectly
8
Q

Which two markers are rasied in non-seminoma cancers? [2]

A

AFP (alpha-fetoprotein) and/or beta-hCG are elevated in 80-85%

How well did you know this?
1
Not at all
2
3
4
5
Perfectly
9
Q

Label A-C

A

A: Semineferous tubules
B: Tunica albuginea
C: Epididymis

How well did you know this?
1
Not at all
2
3
4
5
Perfectly
10
Q
A
How well did you know this?
1
Not at all
2
3
4
5
Perfectly
11
Q

Describe the process of spermatogenesis [5]

A

Spermatogenesis:
* Division of spermatognia into more spermatogonia and primary spermatocytes via meiosis
* Spermatogonia remain in the basal compartment
* Primary spermatocytes migrate away from the basement membrane and cross in the adjuminal comparment towards the lumen of the ST
* Primary spermatocytes then enter meiosis (prolonged prophase) - which faciliates the exchange of genetic material between homologous chromosomes
* First division creates secondary spermatocytes with 23 pairs of chromosomes
* Secondary spermatocytes divide into haploid spermatids

How well did you know this?
1
Not at all
2
3
4
5
Perfectly
12
Q

Name the two stages of spermatogenesis [2]

A

Spermatogenesis (Spermatogenesis is the process by which an undifferentiated spermatogonium develops into a spermatid)
Spermiogenesis (Spermiogenesis is the process by which a spermatid matures into a spermatozoan)

How well did you know this?
1
Not at all
2
3
4
5
Perfectly
13
Q

What is the final product of spermatogenesis? [1]

A

Haploid spermatid

How well did you know this?
1
Not at all
2
3
4
5
Perfectly
14
Q

Describe the role of sertoli cells:

  • Structurally [1]
  • Which molecules does it produce? [2]
A
  • synthesize androgen-binding protein: keeps testosterone levels high in the ST
  • Structural and chemical support to the developing spermatogonia, spermatocytes and spermatids: forms barrier stopping sperm
  • produce inhibin: controls amount of FSH produced
How well did you know this?
1
Not at all
2
3
4
5
Perfectly
15
Q

Why is there no testosterone produced in prepuberty testis? [1]

A

No FSH produced so no testosterone produced

How well did you know this?
1
Not at all
2
3
4
5
Perfectly
16
Q

Where in the testis do sperm become mobile? [1]

A

Epididymis

How well did you know this?
1
Not at all
2
3
4
5
Perfectly
17
Q

Describe the structure of the ducuts / vas deferens

A
  • Muscular wall comprised of: Inner longitudinal, middle circular, and outer longitudinal
  • Pseudostratified cells bearing stereocilia
How well did you know this?
1
Not at all
2
3
4
5
Perfectly
18
Q

Seminal vesicles are glandular sacs that produce a secretion that composes 80% of the seminal fluid. Name three productst that are in the secretion produced by the seminal vesicles

A

Contains fructose, fibrinogen, and prostaglandins (energy for sperm; keeps seminal fluid liquid)

How well did you know this?
1
Not at all
2
3
4
5
Perfectly
19
Q

The prostate produces a secretory product containing what? [2]

A

Citric acid and proteolytic enzymes that prevent coagulation of semen and break down female mucus

How well did you know this?
1
Not at all
2
3
4
5
Perfectly
20
Q

In which condition would you see atrophic testis? [1]

A

Atrophic testes occur in cryptorchidism, when testis fail to descend into the scrotum

How well did you know this?
1
Not at all
2
3
4
5
Perfectly
21
Q

Nodular hyperplasia of the prostate: which part of the prostate does it occur in? [1]

A

Transitional zone has proliferation and hypertrophy

How well did you know this?
1
Not at all
2
3
4
5
Perfectly
22
Q

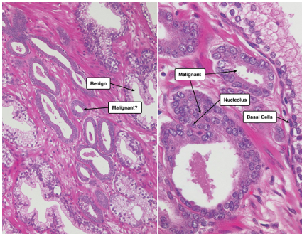
Adenocarcinoma prostate:

Occurs in which zone of the prostate? [1]
How does is it present histopathologically/ [1]

A

peripheral zone w/ adenocarnioma

Note the malignant glands are generally smaller than benign glands

Benign: L; Malignant: R

How well did you know this?
1
Not at all
2
3
4
5
Perfectly
23
Q

Treatment of testicular torsion? [3]

A

Treatment
* Detorsion
* Orchidopexy (surgical procedure that moves an undescended testicle into the scrotum). Plus contralateral side check
* Orchiectomy (a surgical procedure to remove one or both testicles) 42% during surgical evaluation

How well did you know this?
1
Not at all
2
3
4
5
Perfectly
24
Q

What are the two types of testicular cancer & where do they originate? [2]

Which is more common? [1]

Which is more likely to metastasise? [1]

A

Seminomas:
* Originate in germinal epithelium of seminiferous tubules (germ cells)
* More common

Non-seminmomas
* Yolk sac, embryonal cell, choriocarcinoma and teratomas
* More likely to metastasise

How well did you know this?
1
Not at all
2
3
4
5
Perfectly
25
Which part of the testis changes during testicular cancer and how does it present? [1]
**Seminiferous tubule** becomes full of **proliferating spermatogonia**
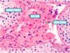
26
Label A-F
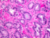
27
Label A-C
28
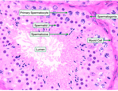
Identify A, B, C, and D in this image of the germinal epithelium.
A = **Leydig cell,** B = **spermatozoa**, C = **primary spermatocyte**, D = **spermatogonium**
29
Label A-D out of: BPE Adenocarcinoma Normal prostatic intraepithelial (PIN)
A: adenocarcinoma B: normal C: PIN D: BPH: Histological studies have demonstrated both glandular and stromal proliferation.
30
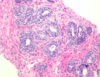
What does this slide depict? A: adenocarcinoma B: normal C: prostatic intraepithelial (PIN) D: BPH
**A: adenocarcinoma** The malignant glands in the lower left show macronucleoli in contrast to the benign glands on the upper right side. However, one has to be cautious.
31
What does this slide depict? A: adenocarcinoma B: normal C: prostatic intraepithelial (PIN) D: BPH
**Adenocarcinoma** This focus of prostate cancer has all the essential histologic features - **small crowded glands lined by a single layer of cells, nuclear enlargement and hyperchromasia, prominent nucleoli, and intraluminal blue mucin**. A benign gland is partially visible at the lower right side of the image. Contrast its nuclear size to those of adjacent malignant glands.
32
What does this slide depict? A: adenocarcinoma B: normal C: prostatic intraepithelial (PIN) D: BPH
**A: adenocarcinoma** **Glomerulations are an architectural feature that are usually associated with carcinoma in a prostate needle biopsy**. Similar structures may rarely be seen in benign prostate glands. They consist of an aggregate of tumor cells that projects into the lumen of a larger malignant gland creating a superficial resemblance to a renal glomerulus.
33
What does this slide depict? A: adenocarcinoma B: normal C: prostatic intraepithelial (PIN) D: BPH
What does this slide depict? A: adenocarcinoma B: normal C: prostatic intraepithelial (PIN) **D: BPH**
34
What does this slide depict? A: adenocarcinoma B: normal C: prostatic intraepithelial (PIN) D: BPH
What does this slide depict? A: adenocarcinoma B: normal C: prostatic intraepithelial (PIN) **D: BPH**
35
TL: BPE TR: Adenomcarcinoma BL: Normal BR: PIN
36
Put these in order of their gleason score [3]
C: Gleason score 3 B: Gleason score 2 A: Gleason score 1
37
what are the layers of fascia found in the urogenital triangle?
(pelvic floor muscles) perineal membrane deep perineal pouch superficial perineal pouch deep perineal fascia superficial perineal fascia | (fascia of pelvic floor)
38
which of the following prevents the prolapse of heavy organs such as bladder and uterus? perineal membrane deep perineal pouch superficial perineal pouch ​deep perineal fascia superficial perineal fascia
which of the following prevents the prolapse of heavy organs such as bladder and uterus? **​perineal membrane** deep perineal pouch superficial perineal pouch ​deep perineal fascia superficial perineal fascia
39
which of the following contains the external genitalia? ​perineal membrane deep perineal pouch superficial perineal pouch ​deep perineal fascia superficial perineal fascia
which of the following contains the external genitalia? ​perineal membrane deep perineal pouch **superficial perineal pouch** ​deep perineal fascia superficial perineal fascia
40
which of the following is most superficial? ​deep perineal fascia ​ perineal membrane superficial perineal fascia superficial perineal pouch deep perineal pouch
which of the following is most superficial? ​deep perineal fascia ​ ​perineal membrane **superficial perineal fascia** superficial perineal pouch deep perineal pouch
41
42
which of the following is the space in the urogenital triangle found between the fascia of the pelvic floor muscles and perineal membrane? ​deep perineal fascia ​ perineal membrane superficial perineal fascia superficial perineal pouch deep perineal pouch
which of the following is the space in the urogenital triangle found between the fascia of the pelvic floor muscles and perineal membrane? ​deep perineal fascia ​ perineal membrane superficial perineal fascia superficial perineal pouch **deep perineal pouch**
43
the clitoris is analagous to which part of the penis? corpus spongiosum corpus cavernersa bulbospongiosus ischiocavernosus
the clitoris is analagous to which part of the penis? corpus spongiosum **corpus cavernersa** bulbospongiosus ischiocavernosus
44
what are the 3 nerve branches of the perineum? [3] what do they supply [3]
**Inferior rectal -** supplies the external anal sphincter and inferior anal canal **Perineal** - supplies the anterior perineum **Dorsal nerve of penis/clitoris** - supplies the external genitalia
45
The pudendal nerve can be located clinically by palpating for the WHAT? [1]
The pudendal nerve can be located clinically by palpating for the **ischial spine**, as the nerve loops around it posteriorly.
46
Atherosclerosis of which artery is most likely to cause erectile dysfunction? Superior gluteal artery Inferior gluteal artery Inferior rectal artery Internal iliac artery Perineal artery
Atherosclerosis of which artery is most likely to cause erectile dysfunction? Superior gluteal artery Inferior gluteal artery Inferior rectal artery **Internal iliac artery** ​Perineal artery ## Footnote **The penile artery arises from the internal pudendal artery, which. arises from the internal iliac artery.**
47
Spermatozoa are produced in the: vas (ductus) deferens. rete testis epididymis tunica albuginea seminiferous tubules
Spermatozoa are produced in the: vas (ductus) deferens. rete testis epididymis tunica albuginea **​seminiferous tubules**
48
label A & B [2]
A: **gubernaculum** B: **processus vaginalis**
49
which of the following is the Tunica vaginalis 1 2 3 4 5 6
which of the following is the Tunica vaginalis 1 2 3 4 5 ​**6 The tunica vaginalis is the remnant of the processus vaginalis, which was the outpouching of parietal peritoneum. It is a serous covering of the testis in the scrotum​**
50
which of the following is the Vas deferens 1 2 3 4 5 6
which of the following is the Vas deferens 1 **2** 3 4 5 6
51
which of the following is the testicular artery 1 2 3 4 5 6
which of the following is the 1 2 **3** 4 5 6
52
which of the following is the tunica albuginea 1 2 3 4 5 6
which of the following is the tunica albuginea 1 2 3 4 **5** 6
53
Which ligaments comprise the borders of the greater and lesser sciatic foramen? [2]
Acceptable responses: **sacrospinous and sacrotuberous ligaments**
54
Which of branches of the internal iliac artery leave the pelvis? [3]
Which of branches of the internal iliac artery leave the pelvis? [3] ## Footnote **Obturator artery Inferior gluteal artery Superior gluteal artery**
55
relaxed detrusor muscle visceral afferents sympathetic parasympathetic somatomotor
relaxed detrusor muscle ​ visceral afferents **sympathetic** parasympathetic somatomotor
56
contracts the detrusor muscle visceral afferents sympathetic parasympathetic somatomotor
contracts the detrusor muscle ​visceral afferents sympathetic **parasympathetic** somatomotor
57
contracts the internal urethral sphincter ​visceral afferents sympathetic parasympathetic somatomotor
contracts the internal urethral sphincter ​visceral afferents **sympathetic** parasympathetic somatomotor
58
relaxes the internal urethral sphincter ​visceral afferents sympathetic parasympathetic somatomotor
relaxes the internal urethral sphincter ​visceral afferents sympathetic **parasympathetic** somatomotor
59
contracts the external urethral sphincter ​visceral afferents sympathetic parasympathetic somatomotor
contracts the external urethral sphincter ​visceral afferents sympathetic parasympathetic **somatomotor**
60
contracts the detrusor muscle ​visceral afferents sympathetic parasympathetic somatomotor
contracts the detrusor muscle ​ ​visceral afferents sympathetic **parasympathetic** somatomotor
61
Deficits in which of these fibres may cause urinary retention? ​visceral afferents sympathetic parasympathetic somatomotor
Deficits in which of these fibres may cause urinary retention? ​​visceral afferents sympathetic **parasympathetic** somatomotor