HD EOYS2 Flashcards

(28 cards)

1
Q

Name this sign of late congenital syphilis [1]

A

Clutton joint

How well did you know this?
1
Not at all
2
3
4
5
Perfectly
2
Q

Name this sign of late congenital syphilis [1]

A

Saddle nose

How well did you know this?
1
Not at all
2
3
4
5
Perfectly
3
Q

What is this diagnosis of a premature baby? [1]

A

Interventricular haemorrhage

How well did you know this?
1
Not at all
2
3
4
5
Perfectly
4
Q

What is macrosomic birthweight? [1]

A

above 4,200g

How well did you know this?
1
Not at all
2
3
4
5
Perfectly
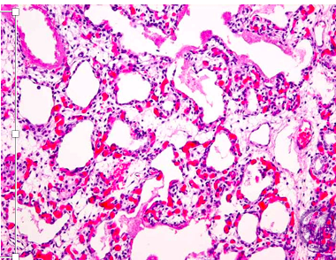
5
Q

A baby is born at 26 weeks and this slide is taken from their lungs.

What has caused this?

A lack of surfactant
An infection
High oxygen tension
Pulmonary hypertension
Mechanical ventilation

A

A lack of surfactant

How well did you know this?
1
Not at all
2
3
4
5
Perfectly
6
Q

When during gestation is surfactant started to be made? [1]

By how many weeks gestation is it that babies produce enough to breathe normally by? [1]

A

Starts between weeks 24 and 28 of pregnancy.

By 34 weeks babies produce enough to breathe normally by.

How well did you know this?
1
Not at all
2
3
4
5
Perfectly
7
Q

A fetal ultrasound identifies a congenital defect.

What is this defect?

Gastroschisis
Myelomeningocele
Omphalocele
Placental abruption
Spina bifida occulta

A

A fetal ultrasound identifies a congenital defect.

What is this defect?

Gastroschisis
Myelomeningocele
Omphalocele
Placental abruption
Spina bifida occulta

How well did you know this?
1
Not at all
2
3
4
5
Perfectly
8
Q

Brexanolone is the medication version of a naturally occurring neurosteroid. What is this neurosteroid?

Allopregnanolone
Dehydroepiandrosterone (DHEA)
Oestradiol
Prostergerone
Testosterone

A

Brexanolone is the medication version of a naturally occurring neurosteroid. What is this neurosteroid?

Allopregnanolone
Dehydroepiandrosterone (DHEA)
Oestradiol
Prostergerone
Testosterone

How well did you know this?
1
Not at all
2
3
4
5
Perfectly
9
Q

Below the a schematic of an abnormal fundal height measurement at 28 weeks, prior to this the fundal height was within normal parameters. What is a possible explanation for this result?

Gestational diabetes
Intrauterine growth restriction type 1
Intrauterine growth restriction type 2
Polyhydramnios
Pre-eclampsia

A

Below the a schematic of an abnormal fundal height measurement at 28 weeks, prior to this the fundal height was within normal parameters. What is a possible explanation for this result?

Gestational diabetes
Intrauterine growth restriction type 1
Intrauterine growth restriction type 2
Polyhydramnios
Pre-eclampsia

How well did you know this?
1
Not at all
2
3
4
5
Perfectly
10
Q

Which of the following does parvovirus B19 attack? [1]

What condition does this cause? [1]

A

Red blood cell: fetal anaemia

How well did you know this?
1
Not at all
2
3
4
5
Perfectly
11
Q

Which pathogen has infected this child?

Syphilis
CMV
Parvovirus B19
Listeria
Measles

A

Parvovirus B19

Image: Erythema infectiosum

Symptoms include a mild fever, slapped-cheek red rash on the face, and a lacy rash on the arms, legs, and trunk.

Erythema infectiosum, often referred to as fifth disease, is caused by human parvovirus B19 and occurs most often during the spring months, often in geographically limited outbreaks among children, particularly school age children.

How well did you know this?
1
Not at all
2
3
4
5
Perfectly
12
Q

What is typically the first symptom of an ectopic pregnancy?

lower abdominal pain
vaginal bleeding
dizziness
breast tenderness
syncope

A

What is typically the first symptom of an ectopic pregnancy?

lower abdominal pain
vaginal bleeding
dizziness
breast tenderness
syncope

How well did you know this?
1
Not at all
2
3
4
5
Perfectly
13
Q

If a baby suffers from these symptoms, they are most likely to be suffering from:

Toxoplama gondii
CMV
Parvovirus B19
Listeria
Measles

A

Toxoplama gondii

Intracranial calcification
Hydrocephalus
Chorioretinitis

How well did you know this?
1
Not at all
2
3
4
5
Perfectly
14
Q

Hyperemesis gravidarum is associated with a peak in

Progesterone
Oestrogen
bHCG
FSH
LH

A

Hyperemesis gravidarum is associated with a peak in

Progesterone
Oestrogen
bHCG
FSH
LH

hCG may stimulate oestrogen production from ovary causing vomiting and nausea

How well did you know this?
1
Not at all
2
3
4
5
Perfectly
15
Q

A patient is suspect as suffering from toxoplamosis gondii

What is the most appropriate management for this patient?

A. Ceftriaxone and ampicillin
B. Aciclovir
C. Voriconazole
D. Pyrimethamine and sulfadiazine

A

A patient is suspect as suffering from toxoplamosis gondii

What is the most appropriate management for this patient?

A. Ceftriaxone and ampicillin
B. Aciclovir
C. Voriconazole
D. Pyrimethamine and sulfadiazine

How well did you know this?
1
Not at all
2
3
4
5
Perfectly
16
Q

How do you treat congenitial Listeria? [2]

A

Ampicillin plus an aminoglycoside

17
Q

The inferior hypogastric plexuses lies eitherside of which organ? [1]

What is the source of inferior hypogastric plexus? [2]

A

Rectum

Formed from hypogastric nerve (from superior hypogastric plexus) and pelvic splachnic nerve

18
Q

Label A-F

19
Q

Which structures pass through the greater sciatic foramen? [4]

A

Above piriformis:
* superior gluteal artery, vein and nerve

Below piriformis:
* Sciatic nerve
* Pudendal nerve
* Inferior gluteal artery, nerve and vein

20
Q

Which structures pass through the lesser sciatic foramen? [4]

A

Internal pudendal artery and vein
Pudendal nerve again

21
Q

Which artery does the ovarian artery branch from? [1]

A

Abdominal aorta

22
Q

Label A-E

A

A: vagina
B: crus of clitoris
C: labia minoria
D: glands of clitoris
E: cervix

23
Q

Label A

A

Vesico-uterine pouch

24
Q

Label: 2, 3, 7, 8 and 10 [5]

A

2: uterine tube
3: ovarian ligament
7: ureter
8: rectum
10: bladder

25
Label A-D
A: Perineal branches of pudendal nerve B: Levator ani muscle C: Inferior rectal nerves D: Gluteus maximus muscle
26
Label the nerves of External female genital organs highlighted [4]
5:Dorsal nerve of clitoris 8 Perineal branches of pudendal nerve: 15: Pudendal nerve and internal pudendal artery 16: Inferior rectal nerves
27
Label arteries highlighted in green
29 Superior gluteal artery 30 Obturator artery 31 Inferior gluteal artery 17 uterine artery 20 Internal pudendal artery
28
Label 1-3 & 6-9
1 **Body of clitoris** 2 **Crus of clitoris** 3 **Bulb of vestibule** 4 Prepuce of clitoris 5 Glans of clitoris 6 Frenulum of clitoris 7 **Labium minus** 8 **Vaginal orifice** 9 **Greater vestibular gland**