HD EOYS10 Flashcards

(74 cards)

1
Q

What are microcalcifcations found in breast tissue usually made from? [1]

A

Calcium oxalate

How well did you know this?
1
Not at all
2
3
4
5
Perfectly
2
Q

The majority of breast disease originates from which part of the breast? [1]

Terminal ductal lobular unit
Intralobular duct
Lactiferous duct
Interlobular duct

A

The majority of breast disease originates from which part of the breast? [1]

Terminal ductal lobular unit
Intralobular duct
Lactiferous duct
Interlobular duct

How well did you know this?
1
Not at all
2
3
4
5
Perfectly
3
Q

The nipple has a core of which two tissues mainly? [2]

A

Smooth muscle
Dense irregular loose CT

How well did you know this?
1
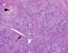
Not at all
2
3
4
5
Perfectly
4
Q

During pregnancy there is a drastic [increase / decrease] in adipose tissue in breast

During pregnancy there is a drastic [increase / decrease] in connective tissue in breast

A

During pregnancy there is a drastic decrease in adipose tissue in breast

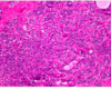
During pregnancy there is a drastic decrease in connective tissue in breast

How well did you know this?
1
Not at all
2
3
4
5
Perfectly
5
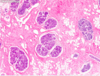
Q

Pregnancy and breast tissue

[] secretion is also known as exocytosis

Apocrine
Merocrine
Exocrine
Endocrine

A

[] secretion is also known as exocytosis

Apocrine
Merocrine
Exocrine
Endocrine

How well did you know this?
1
Not at all
2
3
4
5
Perfectly
6
Q
A

TL: invasive ductal
TR: insitu ductal
BL: invasive lobu
BR: insitu lobular

How well did you know this?
1
Not at all
2
3
4
5
Perfectly
7
Q
A

BR; invasive ductal
BL: dcis
TR: invasive lobular
TL: insitu loblar

How well did you know this?
1
Not at all
2
3
4
5
Perfectly
8
Q

When should the cranial sutures close?

After 6 months
After 8 months
After 12 months
After 18 months

A

When should the cranial sutures close?

After 6 months
After 8 months
After 12 months
After 18 months

How well did you know this?
1
Not at all
2
3
4
5
Perfectly
9
Q

When should the cranial sutures close? [1]

A

After 18 months

How well did you know this?
1
Not at all
2
3
4
5
Perfectly
10
Q

What stimulates the release of GH? [3]

When is GH released? [3]

A

Sleep, exercise and hypoglycaemia

Release peaks during deep sleep, 3hrs after a meal and after exercise

How well did you know this?
1
Not at all
2
3
4
5
Perfectly
11
Q

Growth hormone deficiency characterised by? [3]

A

Growth hormone deficiency characterised by:

  • decreased growth velocity
  • delayed skeletal maturation
  • in the absence of other explanations

**Normal birth weight and only slighly reduced length **

Normal growth: but after 7 / 8 years growth plateaus (regains after GH treatment)

How well did you know this?
1
Not at all
2
3
4
5
Perfectly
12
Q

Why does GH deficiency suggest that GH is only a minor contributor to intrauterine growth? [1]

A

Children with GHD have normal birth weight and only slightly reduced length

How well did you know this?
1
Not at all
2
3
4
5
Perfectly
13
Q

If you have short stature or decreased growth rate - what would screening studies try and rule out / discover? [2]

If no findings were found for ^, what would you diagnose? [1]

A

Growth Hormone Deficiency
Another underlying disease

No findings of GHD: Idiopathic short stature

How well did you know this?
1
Not at all
2
3
4
5
Perfectly
14
Q

What type of drug is oxandrolone and what does it help to treat? [1]

A

Androgen anoblic steroid: can improve height in Tuner syndrome; but not for ISS

How well did you know this?
1
Not at all
2
3
4
5
Perfectly
15
Q

Name two types of ISS [2]

A

constitutional growth delay
familial short stature

How well did you know this?
1
Not at all
2
3
4
5
Perfectly
16
Q

When does puberty begin in boys [1] and girls [1]

A

Puberty starts in 95%:
Girls between 8 -13 years
Boys between 9-14 years

How well did you know this?
1
Not at all
2
3
4
5
Perfectly
17
Q

What are the 5 stages of James Tanner puberty?

A

Tanner stage 1 = pre-puberty
Tanner stage 2 = start of puberty
Tanner stage 5 = sexual maturity

How well did you know this?
1
Not at all
2
3
4
5
Perfectly
18
Q

Roughly how long after pubarche begins does axillary hair growth begin in boys?

2 weeks

2 years

5 years

6 months

A

Roughly how long after pubarche begins does axillary hair growth begin in boys?

2 weeks

2 years

5 years

6 months

How well did you know this?
1
Not at all
2
3
4
5
Perfectly
19
Q

Which of these stages occurs last in female puberty?

Pubarche

Thelarche

Menarche

Growth spurt begins

A

Which of these stages occurs last in female puberty?

Pubarche

Thelarche

Menarche

Growth spurt begins

How well did you know this?
1
Not at all
2
3
4
5
Perfectly
20
Q

Which cells does FSH act on in males to stimulate sperm production?

Leydig cells

Spermatozoa

Oocytes

Sertoli cells

A

Which cells does FSH act on in males to stimulate sperm production?

Leydig cells

Spermatozoa

Oocytes

Sertoli cells

How well did you know this?
1
Not at all
2
3
4
5
Perfectly
21
Q

You are posted in a Paediatric endocrinology placement where you are seeing multiple cases of girls being diagnosed with precocious puberty by your consultant. Precocious puberty is defined as the onset of secondary sexual characteristics before what age?

5 years

7 years

8 years

9 years

A

You are posted in a Paediatric endocrinology placement where you are seeing multiple cases of girls being diagnosed with precocious puberty by your consultant. Precocious puberty is defined as the onset of secondary sexual characteristics before what age?

5 years

7 years

8 years

9 years

How well did you know this?
1
Not at all
2
3
4
5
Perfectly
22
Q

What would the precocious puberty be classified as in girls [1] and boys? [1]

What is most common cause? [1]

A

Reach Tanner stage 2 before age of 8 (female) or 9 (male)

Most common cause is premature production of GnRH (stage 2)

How well did you know this?
1
Not at all
2
3
4
5
Perfectly
23
Q

How do you treat precocious puberty? [1]

A

Give GnRH to overstimulate pituitary and desensitised and stops producing gonadotrophins

How well did you know this?
1
Not at all
2
3
4
5
Perfectly
24
Q

At what stage of James Tanner puberty is irreversible to treatment for precocious puberty? [1]

A

Stage 3

How well did you know this?
1
Not at all
2
3
4
5
Perfectly
25
What would an individual with low or normal serum LH and FSH levels but a normal growth rate be likely to suffering from? [1]
GnRH deficiency or Constitutional delay of growth and puberty (CDGP)
26
What would an individual with low or normal serum LH and FSH levels but a slow growth rate be likely to suffering from? [1]
Functional hypogonadotropic hypogonadism
27
What would an individual with elevated serum LH and FSH levels after 13 /14 years be suffering from? [1]
Primary hypogonadism
28
What are the 3 potential causes of functional hypogonadotropic hypogonadism? If have a low BMI? [1] If have a normal BMI? [3] If have a high BMI? [1]
What are the 3 potential causes of functional hypogonadotropic hypogonadism? If have a low BMI: **GI disorder (underfeeding)** If have a normal BMI: **hypothyroidsm; hyper-PRL; GHD** If have a high BMI: **Iatrogenic (corticoids)**
29
Define impairment, disability and handicap [3]
**Impairment**: any loss or abnormality of psychological, physiological or anatomical structure or function. ( e.g. paralysis of the legs) **Disability**: any restriction or lack (resulting from impairment) of ability to perform an activity in the manner or within the range considered normal for a human being. (e.g. Inability to walk) **Handicap**: the impact of the impairment or disability on the person’s pursuit or achievement of the goals which are desired by him/her or expected of him/her by society. (e.g. unable to work in a job that requires mobility)
30
What do you need to take into account when assessing disablity and developmental delay in pre-term children? [1]
Preterm birth: need to ensure have a **corrected age vs chronological age** for **developmental purposes** up to **2yrs age** (e.g. Born at 28/40weeks at 1 year age is actually like a 9month old developmentally)
31
Which developmental areas do you assess in an assessment? [5]
* **Gross motor** * **Fine motor** * **Vision** * **Hearing** * **Speech**: Expressive/Receptive/Gestular * **Social**
32
How would you diagnose a suspected Down's syndrome patient? [2]
**Fluorescence in situ hybridization (FISH)** may be used for rapid diagnosis of trisomy 21 (prenatal diagnosis and postnatal confirmation) Does not provide information about whether trisomy 21 is secondary to a translocation. Therefore, a FISH test must be **confirmed by a complete karyotype analysis**
33
Explain the tests you would conduct for a newly diagnosed Downs Syndrome baby and why [4]
**Cardiac assessment (echocardiogram)**: Between 40 and 60% of babies with Down syndrome have congenital heart defects **Hearing tests**: sensorineural hearing loss identified at newborn hearing screening in children with Down syndrome is higher than in the general population at 4-6%. **Ophthalmology**: increase in congenital cataract AND infantile glaucoma **Ensure feeding established and no vomiting**: congenital malformations of their gastrointestinal tract
34
Specifically, what type of congenital heart defects do Downs Syndrome children have an increased risk of? [1]
atrioventricular septal defects (AVSD)
35
Autistic spectrum disorder refers to the full range of people affected by a deficit in []? [3]
Autistic spectrum disorder refers to the full range of people affected by a deficit in **social interaction**, **communication** and **flexible behaviour.**
36
A mutation in which gene can cause bilateral progressive sensorineural hearing loss?
Bilateral progressive sensorineural hearing loss with **A1555G** mutation.
37
What would a mother with **A1555G** mutation, causing Bilateral progressive sensorineural hearing loss in their child, be be advised to avoid? [1]
Mother advised to avoid **aminoglycosides**
38
Describe the glandular architecture of the breast [4]
**Secretory alveoli** * Cells in lobules of tubuloalveolar glands release milk **Intralobular ducts** * Collect alveolar secretions and convey them to: **Interlobular ducts** * Coalesce into about 15-25 **Lactiferous ducts** * Drain milk toward the nipple
39
What are the components of milk? [2]
**Merocrine** proteins (exocytotic release of protein) **Apocrine** proteins / fatty component released in membrane enclosed droplets
40
How does breast tissue change during early infant [1], puberty [1] to pregnancy [1]
**In early infant:** breast tissue is just ducts (lobules at end) **Puberty**: lobules grow a bit and divide into 10/12 acini at end found interminal duct lovular unit **Pregnancy:** further development of TDLU: grow bigger. cells undergrow hypertrophy and produce merocrine and apocrine proteins
41
Which hormones drive each stage of breast development?: Young adult [1] Adult [1] Lactating adult [2]
Young adult: **oestrogen** stimulates **duct** growth Adult: **Progesterone**: stimulates **secretory alveoli** Lacating: **Prolactin** stimulates milk protein & fat synthesis, **oxytocin**: milk let down
42
The lactiferous duct is lined by what type of epithelial cell & is supported which type of cell? [2]
Lactiferous duct: * **Columnar epithelial cells** * Supported by **myoepithelial cells**
43
What might mammograpy reveal on breast tissue? [1] What could they be? [2]
**Microcalcifications**: calcium deposits - usually calcium oxalate Could be usual **duct hyperplasia** (benign) OR **neoplastic**
44
Young women often find palpable lumps, which turn out to be fibrocystic changes. Name 4 ways the fibrocystic changes may occur [4]
**Fibrosis**: dense pink collagen among the lobules **Cysts**: often visible without a microscope – thin walled and full of clear fluid (arrow) **Usual duct hyperplasia** **Adenosis**: too many glands or lobules (proliferation of acini, with 2 layers (inner epithelial and outer myoepithelial), surrounded by basement membrane, without distortion of lobular architecture)
45
What is sclerosing adenosis of breast tissue & is it pathological. Explain your answer [3]
Sclerosing adenosis: * proliferating lobules are squeezed together: makes them appear small and infiltrating * BUT: cuboidal epithelial, myoepithelial cells and basement membrane remain * Therefore: **Benign**
46
Define apocrine metaplasia [1] Describe cell structure of Apocrine metaplasia [2]
**Apocrine metaplasia**: is a benign **fibrocystic** change characterized by dilated acini lined by columnar cells with **apocrine features.**: the transformation of breast epithelial cells into an apocrine or sweat‐gland type of cells Single layer of **cuboidal to columnar cells** that have lumpy / scalloped appearance with **enlarged nuclei with prominent nucleoli** Secretions are common in the apocrine metaplasia
47
What is the definition of fibroadenomas? [1]
**Benign breast tumours** characterized by **proliferation of ducts (adenoma) and stroma (fibro)**
48
Describe histological changes in fibroadenomas
**Ducts** & **Stroma** proliferating: * Proliferating stoma compressed ducts to slits * Old fibroadenomas become hyalinized and calcified | **Arrowhead**: stroma, **Arrow**: compressed ducts
49
What is the most common type of breast cancer? [1]
**Invasive ductal carcinoma**
50
What is the structure highlighted? [1] Describe the cells surrounding it [2]
**Lactiferous Duct** - each lobe is drained by a single lactiferous duct that opens into the nipple. It is lined by a double layer of **cuboidal** or columnar cells surrounded by a sheath of connective tissue with **myoid cells.**
51
Difference between lactating and non-lactating mammory glands histoligically
R: Lactating
52
What type of breast cancer is depicted? [1]
classic invasive lobular carcinoma
53
What type of breast cancer is depicted? [1]
ductal carcinoma in situ (DCIS)
54
What type of breast cancer is depicted? [1]
DCIS
55
What alteration to the breast tissue has occured? [1]
Figure 2 – Histology showing ductal carcinoma in-situ (DCIS), demonstrating the malignant cells confined to the mammary ducts
56
What type of pathology is depicted in this breast tissue? Invasive ductal carcinoma DCIS Invasive lobular carnicoma
What type of pathology is depicted in this breast tissue? **Invasive ductal carcinoma** DCIS Invasive lobular carnicoma
57
What type of pathology is depicted in this breast tissue? Invasive ductal carcinoma DCIS Invasive lobular carnicoma
What type of pathology is depicted in this breast tissue? Invasive ductal carcinoma **DCIS** Invasive lobular carnicoma
58
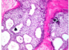
Which change to breast tissue is depicted here Cysts DCIS Fibroadenoma Sclerosing adenosis Apocrine metaplasia
Which change to breast tissue is depicted here Cysts DCIS Fibroadenoma Sclerosing adenosis **Apocrine metaplasia** Apocrine metaplasia with eosinophilic cytoplasm and apical snouts involving dilated cysts. Notice the transition from single to multiple layered epithelium to true papillary configuration in the same cystic space.
59
Which change to breast tissue is depicted here Cysts DCIS Fibroadenoma Sclerosing adenosis Apocrine metaplasia
Which change to breast tissue is depicted here Cysts DCIS Fibroadenoma Sclerosing adenosis **Apocrine metaplasia** - abundant eosinophilic granular cytoplasm, prominent nucleolus and apocrine snouts.
60
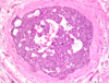
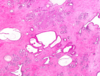
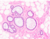
What change to breast tissue is depicted here? [1]
**Microcalcifications** tend to be less common in fibrocystic change than in carcinoma. They tend to be coarse and irregular.
61
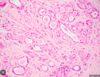
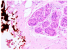
Which change to breast tissue is depicted here Cysts DCIS Fibroadenoma Sclerosing adenosis Apocrine metaplasia
Which change to breast tissue is depicted here **Cysts** DCIS Fibroadenoma Sclerosing adenosis Apocrine metaplasia Some of the larger cysts in fibrocystic change may have a bluish appearance from outside (blue-domed cysts). The cyst lining is flattened or absent in some cases. In the center of this image, cysts are lined by apocrine epithelium. Note the focus of adenosis above it.
62
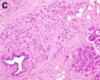
Which change to breast tissue is depicted here Cysts DCIS Fibroadenoma Sclerosing adenosis Apocrine metaplasia
Which change to breast tissue is depicted here Cysts DCIS Fibroadenoma **Sclerosing adenosis** Apocrine metaplasia Sclerosing adenosis is a benign hyperplastic process that may be mistaken for carcinoma. The average age at presentation is about 30 yrs. The lesion retains is lobular configuration and is more cellular centrally.
63
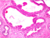
Which change to breast tissue is depicted here Cysts DCIS Fibroadenoma Sclerosing adenosis Apocrine metaplasia
Which change to breast tissue is depicted here Cysts DCIS Fibroadenoma **Sclerosing adenosis** Apocrine metaplasia **The proliferating tubules may be elongated and have attenuated lumens. There is preferential preservation of myoepithelial cells in the tubules and epithelial cells are less conspicuous. Some degree of lobular fibrosis is usually present.**
64
Which change to breast tissue is depicted here Cysts DCIS Fibroadenoma Sclerosing adenosis Apocrine metaplasia
Which change to breast tissue is depicted here Cysts DCIS **Fibroadenoma** The tubules and glands in a fibroadenoma are lined by cuboidal or low columnar epithelium with uniform nuclei and surrounded by a myoepithelial layer. The stroma is made up of loose connective tissue. If the stroma is hypercellular, the diagnosis of phyllodes tumor should be excluded. Sclerosing adenosis Apocrine metaplasia
65
Which change to breast tissue is depicted here Cysts DCIS Fibroadenoma Sclerosing adenosis Apocrine metaplasia
Which change to breast tissue is depicted here Cysts DCIS **Fibroadenoma** Sclerosing adenosis Apocrine metaplasia Higher magnification view of intracanalicular pattern in a fibroadenoma. The stromal connective tissue invaginates into the glandular epithelium and appears to be contained within it.
66
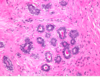
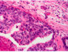
Which breast pathology is depicted here? [1]
**Lobular carcinoma-in-situ (LCIS)** is a non-palpable lesion which is usually an incidental finding in breasts removed for other reasons. It is multicentric in 70% of cases and bilateral in 30% to 40% of cases. The lobules are distended with uniform round or oval, medium sized cells. The nuclei are uniform and normochromatic. This image shows LCIS involving several lobules. A few uninvolved lobules can be seen on the right.
67
What is this breast pathology depicted? [1]
**Ductal carcinoma in situ** The tumor cells with high nuclear grade nearly fill the lumen in this example of DCIS. The cytoplasmic borders are sharply demarcated.
68
What breast pathology is depicted here [1]
High power view of cribriform **DCIS** showing microcalcifications.
69
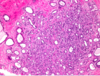
What breast pathology is depicted here? [1]
This case of **high-grade invasive ductal carcinoma** was composed mostly of solid areas, showed no evidence of tubule formation and was assigned score of 3 for tubule formation.
70
Which of the these photos is invasive ductal or invasive lobular breast cancer? [2]
L: invasive ductal carcinoma showed tubule formation R: Invasive lobular carcinoma The tumor cells are arranged in slender linear strands one to two cells across
71
Which of the these photos is invasive ductal or invasive lobular breast cancer? [2]
R: invasive ductal carcinoma showed tubule formation L: Invasive lobular carcinoma
72
Which of the following best describes the slide Stromal fibrosis Cysts Adenosis Apocrine metaplasia
**Cysts** (apocrine are more eosinophilic)
73
Which of the following best describes the slide Stromal fibrosis Cysts Adenosis Apocrine metaplasia
**Apocrine metaplasia**
74
Label the folllowing with Stromal fibrosis Cysts Adenosis Apocrine metaplasia