MET EOYS9 Flashcards

(50 cards)

1
Q

Which of the following raises serum calcium levels if infection (for example of sarcoidosis or TB) occurs?

A
B
C

A

Which of the following raises serum calcium levels if infection (for example of sarcoidosis or TB) occurs?

A: macrophage
B: neutrophil
C: lymphocyte

How well did you know this?
1
Not at all
2
3
4
5
Perfectly
2
Q

The most important regulator of serum phosphate levels is

OPG
RANKL
FGF23
1,25(OH)D

A

The most important regulator of serum phosphate levels is

OPG
RANKL
FGF23
1,25(OH)D

How well did you know this?
1
Not at all
2
3
4
5
Perfectly
3
Q

What effect does increasing FGF23 have on:

Serum phosphate levels [1]
Phosphate excretion [1]
1a hydroxylase activity [1]

A

High FGF23:
* increase fractional phosphate excretion
* Reduce serum phosphate levels
* Reduce 1α-hydroxylase activity

How well did you know this?
1
Not at all
2
3
4
5
Perfectly
4
Q
A

Elevated FGF-23 levels increase fractional phosphate excretion, reduce serum phosphate levels, and reduce 1α-hydroxylase activity

which reduces 1,25(OH)₂D₃ formation thereby increasing parathyroid hormone (PTH) secretion

How well did you know this?
1
Not at all
2
3
4
5
Perfectly
5
Q

Which of the following secretes FGF-23

osteoblast
osteoclast
chondrocyte
osteocyte

A

Which of the following secretes FGF-23

osteoblast
osteoclast
chondrocyte
osteocyte

How well did you know this?
1
Not at all
2
3
4
5
Perfectly
6
Q

Explain what happens when have hypercalcemia and diabetes? [2]

A

Nephrogenic Diabetes Insipidus:
* Ca2+ binds to CaSR in nephrone, which down regulates NaKCL2 symporter
* Renal stones & Renal failure due to XS Ca2+ in urine

How well did you know this?
1
Not at all
2
3
4
5
Perfectly
7
Q

Primary hyperparathyroidism can lead to the development of

Osteomalacia
Osteoarthirtis
Osteoporosis
Osteosarcoma

A

Primary hyperparathyroidism can lead to the development of

Osteomalacia
Osteoarthirtis
Osteoporosis
Osteosarcoma

(PTH) removes calcium from bones (that is what it does), all patients with a parathyroid problem will eventually develop thin bones. Bones with osteoporosis due to parathyroid problems can ache and hurt because the PTH is actively destroying the bone. Bones with osteoporosis are fragile bones which are much more susceptible to fractures and breaks.

How well did you know this?
1
Not at all
2
3
4
5
Perfectly
8
Q

Parathyrodism diagnosis

Explain the mechanism of a MIBI scan [1]

A

The parathyroid scan uses the radioisotope, technetium-99m sestamibi (or MIBI), which is injected into the body and absorbed by the overactive parathyroid mitochondria.

How well did you know this?
1
Not at all
2
3
4
5
Perfectly
9
Q

State the vertebral levels for each of the following:

Iliohypogastric [1]
Ilioinguinal [1]
Genitofemoral [1]

A

Iliohypogastric: L1
Ilioinguinal: L1
Genitofemoral; L1 & L2

How well did you know this?
1
Not at all
2
3
4
5
Perfectly
10
Q

Which type of diuretic may be used to treat kidney stones?

Loop diuretics
Thiazide like diuretics
K sparing diuretics
Carbonic anhydrase inhibitors

A

Which type of diuretic may be used to treat kidney stones?

Loop diuretics
Thiazide like diuretics: cause hypercalcemia
K sparing diuretics
Carbonic anhydrase inhibitors

How well did you know this?
1
Not at all
2
3
4
5
Perfectly
11
Q

Explain the importance of Ca2+ in cardiac AP [1]

How does low

A

Calcium is involved in maintaining the plateau phase:
- Na in
- Ca out.

Extracellular Ca2+: blocks the voltage gated Na channels in the cardiac cell membrane.

Low Ca2+ levels: less blockade of VGNaCs = tachyarrhythmias

How well did you know this?
1
Not at all
2
3
4
5
Perfectly
12
Q

What is the effect of Ca2+ binding to Ca2+ sensing receptor on parathyroid? [3]

A

Ca2+ binds to Ca2+ sensing receptor on parathyroid. Causes:
* Reduces PTH secretion
* Increases breakdown of stored PTH in vesicles
* Suppresses transcription of PTH gene.

How well did you know this?
1
Not at all
2
3
4
5
Perfectly
13
Q

Why does PTH cause an increase in phosphate excretion?

A

Bone is broken down to release Ca2+, but also P is released

Therefore the kidney needs to excrete P to compensate

How well did you know this?
1
Not at all
2
3
4
5
Perfectly
14
Q

Which areas of nephron cause reabsorbtion of Ca2+ dependently / independently of PTH? [3]

A

PCT: independent
LoH: independent
DCT: PTH dependent

How well did you know this?
1
Not at all
2
3
4
5
Perfectly
15
Q

Explain how Ca2+ is reabsorbed at PCT [2]

A

At PCT:
- independent of PTH
- Driven by NaKCl2 channel causing a voltage gradient paracellularly which Ca2+ flows (coupled with Na+ reabsorbtion)

How well did you know this?
1
Not at all
2
3
4
5
Perfectly
16
Q

Explain how Ca2+ is reabsorbed at LoH [2]

A

Driven by voltage gradient: Para/transcellular
Coupled with Na+ reabsorbtion: NKCC2 channel

How well did you know this?
1
Not at all
2
3
4
5
Perfectly
17
Q

Why do thiazide diuretics raise serum calcium?

A

Increase Ca2+ reabsorbtion into the blood / raises Ca2+ serum levels:

  • Blocks Na/Cl symporter on luminal side
  • This drops the Na conc. In tubular cell
  • This creates Na diffusion gradient
  • Na diffusion increases from capillary into tubular
    cell - across Na/Ca exchanger -> takes Na into cell and transports Ca2+ into blood. -> increase in blood Ca levels.
How well did you know this?
1
Not at all
2
3
4
5
Perfectly
18
Q

Effect of PTH on:

  • NaPi transporters (and therefore P reabsorbtion)? [1]
  • Vit. D activation? [1]
  • PCT GNG? [1]
  • Na/H20/HCO3- reabsorbtion? [1]
A
  • Down-regulation of NaPi transporters: Reduced phosphate reabsorption
  • Vitamin D Activation Stimulation of 25(OH) D3 –> 1,25(OH)2 D3 (inactivates 1,25-dihydroxyvitamin D)
  • Proximal tubule gluconeogenesis
  • Inhibits sodium/water/bicarbonate reabsorption via effects on Na/H exchanger and Na/K ATPase
How well did you know this?
1
Not at all
2
3
4
5
Perfectly
19
Q

The conversion of vit. D to WHAT is regulated? [1]

The conversion of vit. D to WHAT is unregulated? [1]

What are the enzymes used for each? [2]

A

Conversion of vit D to 25(OH)D in the liver is an unregulated process, under the action of p450 enzymes. The half life of 25(OH)D is 2-3 weeks.

The conversion of vit D to 1,25(OH)D is highly regulated, via 1αhydroxylase

How well did you know this?
1
Not at all
2
3
4
5
Perfectly
20
Q

How does negative feedback of activation of vitamin D receptor work?

A

In most cells there is a negative feedback inhibition: activation of the VDR inhibits the action of 1α hydroxylase (which converts vit D to active form), therefore reducing the amount of activated vitamin D able to bind to the VDR.

How well did you know this?
1
Not at all
2
3
4
5
Perfectly
21
Q

Why would chronic infection (e.g from sarcoidosis / TB granuloma) cause hypercalcemia?

A
  • Macrophages produce vitamin D
  • Release of vitamin D is converted to 1 25 dihydroxyvitamin dby 1α hydroxylase
  • Causes increase in serum calcium
22
Q

The major role of calcitriol (1,25 (OH) D) is [2]?

A

The major role of calcitriol is in increasing gut calcium and phosphate absorption.

23
Q

What does the hormone FGF23 do? [1]
Which cells are they secreted from? [1]
What does FGF23 do to 1-a-hydroxylase? [1]

A

What does the hormone FGF23 do? [1]
Reduces serum P levels USED FOR WHEN GET P EXCRETED FROM FROM BONE BUT NEED TO EXCRETE VIA RENAL SYSTEM
It inhibits renal tubular reabsorption of phosphate

Which cells are they secreted from? [1]
Secreted by osteocytes

What does FGF23 do to 1-a-hydroxylase? [1]
reduces 1-a-hydroxylase: less activated vit. D

24
Q

FYI

A

Activating mutation in FGF23 - Autosomal dominant hypophosphataemic rickets
Tumour induced osteomalacia - paraneoplastic FGF23
Familial tumoral calcinosis - low levels FGF23

25
Explain 3 classes of symptoms seen in hypercalcemia
Hypercalcemia Symptoms **Neuropsychiatric disorders**: due to reduced membrane excitibility causing reduced nerve transmisison in the brain **GI abnormalities:** * Constipation / pancreatitis: reduced membrane excitibility causes less muscle contraction **Renal dysfunction:** * Nephrogenic Diabetes Insipidus: Ca2+ binds to CaSR in nephrone, which down regulates NaKCL2 symporter Renal stones & Renal failure due to XS Ca2+ in urine
26
What is primary cause of hypercalcemia? [1]
**Malignancy** in **parathyroid** **gland** is main cause, usually from bone metastasis
27
How do you treat hypercalcemia?
Expand plasma volume **IV saline**: reduces voltage gradient in tubular cells -> less Ca ++ reabsorbed Reduce Ca release from bone Treat underlying cause
28
What pathology can primary hyperparathyroidism lead to and why? [2]
**hypercalcaemia** + **excess** **PTH** -> **osteoporosis**. (PTH) removes calcium from bones all patients with a parathyroid problem will eventually develop thin bones. Bones with osteoporosis due to parathyroid problems can ache and hurt because the PTH is actively destroying the bone. Bones with osteoporosis are fragile bones which are much more susceptible to fractures and breaks.
29
What are primary, secondary and tertiary causes of hyperparathyroidism?
**Primary**: Parathyroid adenoma/carcinoma/hyperplasia **Secondary**: Physiological compensation for hypocalcemia or Vitamin D deficiency. Can create tertiary **Tertiary**: Autonomous PTH production following chronic secondary.
30
How can you ID if have primary Hyperparathyroidism? [4]
Neck USS **MIBI scan** CT scan Parathyroid Venous Sampling
31
How do you treat hypoparathyroidism acutely and chronically? [2]
**Acutely**: give Ca2+ **Chronically**: Give activated vit D: increased gut absorb
32
How would a patient with hyperparathyroidism present? [4]
Neuromuscular Excitability: **Cardiac tachyarrhythmia** **Tetany** **Seizures** **Psychiatric manifestations**
33
kidney, [] converts 25-hydroxyvitamin-D into 1,25-dihydroxyvitamin-D
kidney, **1-α-hydroxylase** converts 25-hydroxyvitamin-D into 1,25-dihydroxyvitamin-D
34
Label A-E
A: Renal artery B: Segmental arteries C: Interlobar arteries D: Arcuate arteries E: Interlobal arteries
35
Hepatorenal recess can have fluid accumulate because of? [3]
**haemoperitoneum** (is the presence of blood in the peritoneal cavity) [1] **ascites** [1] **pancreatitis** [1]
36
What are the 3 main nerves associated with the kidney? [3]
Iliohypogastric Ilioinguinal Genitofemoral
37
Which is the only nerve of the lumbar plexus that passes through the psoas major? [1] Iliohypogastric Ilioinguinal Genitofemoral Lateral femoral cutaneous nerve Femoral nerve
Which is the only nerve of the lumbar plexus that passes through the psoas major? [1] Iliohypogastric Ilioinguinal **Genitofemoral** Lateral femoral cutaneous nerve Femoral nerve
38
Label each colour
Purple: **psoas major** Green: **Quadratus lumborum m** Red: **Transversus abdominis m.** Blue: **diaphragm**
39
At which structure in the kidney is waste is drained into renal pelvis?
renal papilla
40
Which veins drain into the left renal vein? [3]
left gonadal (ovarian/testicular) vein, left inferior phrenic vein left adrenal veins.
41
Where are the 3 places that kidney stones get stuck in the ureters? [3]
Uteropelvic junction Pelvic inlet (and iliac vessels) Uterovesical junction
42
Ureter nerve supply: Which nerves are nerve due to kidney stones referred along? [2] Where is the pain common felt? [1] Why does the referred pain change? [1]
The loin pain is referred along the **ilioinguinal** and the **iliohypogastric** **nerves** (L1) As the stone descends the patient may start to feel pain descend over the groin and scrotum/labium majora **(“from loin to groin”)** This is because of the changing nerve segments and the pain is now referred through the **genitofemoral** **nerve** (L1,2)
43
Different role of internal and external urethral sphincter in males? [2]
**Internal urethral sphincter (males):** involuntary sphincter at the bladder-urethra junction (preventing retrograde ejaculation) **External urethral sphincter:** voluntary sphincter surrounding the urethra as it passes through the urogenital diaphragm
44
What is sympathetic innervation of bladder from? [1] What is the effect? [1] What is parasympathetic innervation of bladder from? [1] What is the effect? [1] What is somatic innervation of bladder from? [1] What is the effect? [1]
**Sympathetic** (hypogastric n; T12-L2) Stimulate contraction (closure) of the internal urethral sphincter Inhibit the detrusor muscle (prevents contraction and bladder emptying) **Parasympathetic** (S2-S4) Stimulate the detrusor muscle to contract Inhibits (opens) the internal urethral sphincters **Somatic** - external urethral sphincter (Pudendal n.S2-S4
45
Vit D ---(1)---> X ---(2)---> Y Name 1, 2 and X and Y [4]
Vit D---> **25(OH)D (25-hydroxyvitamin D₃)** ----> **1,25-dihydroxvitamin D(3)** 1: **P450** enyzmes (In the liver) 2: **1 alpha hydroxylase**
46
Label the blue and green arrows [2]
Blue arrows: segmental arteries Green arrows: interlobar arteries
47
Label the arteries
48
49
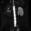
Where is a kidney stone in theis imaging? Uteropelvic junction Pelvic inlet Uterovesical junction
Where is a kidney stone in theis imaging? **Uteropelvic junction** Pelvic inlet Uterovesical junction
50
Why might a non-contrast CT not show a kidney stone despite symptoms? [1]
When we do not find a shadow of a ureteral stone on the x-ray, this does not mean that there is no stone, as it depends on the **percentage of the presence of calcium in the composition of this stone**, as some types of stones do not give a shadow on the x-ray.