BB EOYS13 Flashcards

(54 cards)

1
Q

Which part of the brain has decreased activation in schizophrenia?

Orbitofrontal prefrontal
Dorsolateral prefrontal
Medial prefrontal
Posterior parietal

A

Which part of the brain has decreased activation in schizophrenia?

Orbitofrontal prefrontal
Dorsolateral prefrontal
Medial prefrontal
Posterior parietal

How well did you know this?
1
Not at all
2
3
4
5
Perfectly
2
Q

Patients with schizophrenia have reduced number of which cells

Microglial
Astrocytes
Ependymal
Oligodendrocytes
Schwann cells

A

Oligodendrocytes:

Key molecules regulating myelination are differentially expressed in SCH (e.g. neuregulin 1 – which is also a genetic hit)

How well did you know this?
1
Not at all
2
3
4
5
Perfectly
3
Q

Describe the histopathological changes that occur in MS [3]

A
  • Perivenular inflammation
  • Demyelination: ingested by macrophages
  • Gliosis (axons replaced by scar tissue)
How well did you know this?
1
Not at all
2
3
4
5
Perfectly
4
Q

Describe the signs and symptoms of MS [8]

A

Motor - spasticity, weakness and gait abnormalities.
Sensory - positive (pins & needles) and negative sensory phenomena (loss of sensation).

Cerebellum - inco-ordination and unsteady gait.

Brain Stem - diplopia, vertigo, nystagmus, dysarthria

Optic Nerves - optic neuritis (blurred vision)

Bladder and Bowel - incontinence

Higher Functions - depression, poor concentration, forgetfulness, etc.

Fatigue

All patients present differently. Not going to be all of them

How well did you know this?
1
Not at all
2
3
4
5
Perfectly
5
Q

Describe the different clinical subtypes of MS [3]

A

Primary progressive MS:
* Steady increase in disability without attacks

Relapsing-remitting MS
* Unpredicatable attacks which may or maynot leave permanent deficits followed by periods of remission

Secondary progressive MS
* Initial relapsing-remitting MS that suddenly begins to have a decline without periods of remission

How well did you know this?
1
Not at all
2
3
4
5
Perfectly
6
Q

Describe the approaches of treatment for MS [2]

A

Immunomodulatory/immunosuppressant:
* Mainstay of traditional treatment
* dampens down the immune system

Induction therapy
* “Reset” the immune system
* Higher risk (in the short term)
* Long-lasting disease remission off treatment

How well did you know this?
1
Not at all
2
3
4
5
Perfectly
7
Q

genetic pathophysiology of schizophrenia

Name three genes that are strongly implicated with schizophrenia [3]

A

Schizophrenia is a complex polygenic disorder:
- Dysbindin
- Neuregelin I
- DISC 1
- BDNF (brain derived neurotrophic factor)
- COMT (catechol-O –methyltransferase)
- DAOA (D-amino acid oxidase activator)

How well did you know this?
1
Not at all
2
3
4
5
Perfectly
8
Q

genes associated with schizophrenia

Describe the role of neuregulin 1, DISC 1 and dysbindin [3]

A

Neuregulin 1 – involved in synaptic plasticity and myelination

Dysbindin – may affect dopamine D2 receptor levels and glutamate and GABA transmission

DISC1 – associated with neurodevelopment and also signalling in corticolimbic areas

How well did you know this?
1
Not at all
2
3
4
5
Perfectly
9
Q

Describe the structural changes of brain in schizophrenia patients [3]

A

Larger ventricles and
smaller mesial temporal lobe structures:

  • Ventricular enlargement is around 25%
  • Overall reduction in brain volume of around 2%
  • Greater reduction in grey matter compared to normal populations
How well did you know this?
1
Not at all
2
3
4
5
Perfectly
10
Q

Schizophrenic patients often have a decreased activation in which part of the brain? [1]

A

Decreased activation mainly in dorsolateral prefrontal area

How well did you know this?
1
Not at all
2
3
4
5
Perfectly
11
Q

What is the name of this test [1]

A

Wisconsin Card Sorting Test

How well did you know this?
1
Not at all
2
3
4
5
Perfectly
12
Q

Failure to properly pass the Wisconsin Card Sorting Test would indicate dysfunction of which brain lobe? [1]

What does Wisconsin Card Sorting Test test? [1]

A

Frontal lobe dysfunction

assess preservation and abstract thinking in subjects

How well did you know this?
1
Not at all
2
3
4
5
Perfectly
13
Q

Pathophysiology of schizophrenia

Describe the impact of schizophrenia on synaptic pathways [2]

A

Neurodevelopmental link:

Associated with decreased synaptic spines and decreased dendritic complexity in the cortex

This occurs due to abnormalities in the formation and maturation of brain circuits

C

How well did you know this?
1
Not at all
2
3
4
5
Perfectly
14
Q

Pathophysiology of schizophrenia

Describe the link between schizophrenia and neuroinflammation:

  • During pregnancy? [2]
  • In specific areas of the brain? [1]
  • Which cell types become activated in SCH patients? [1]
A

During pregnancy:
* Prenatal viral infection and increased level of cytokines during pregenacny increase risk of SCH in offspring

  • Pro-inflammatory cytokines are elevated in the prefrontal cortex of SCH patients
  • Activated microglia are present in the brains of SCH patients within a few years of the disease onset
How well did you know this?
1
Not at all
2
3
4
5
Perfectly
15
Q

Schizophrenia, white matter and myelination

Describe the relationship between SCH and white matter myelination in the brain [2]

A

Reduced oligodendrocyte density in SCH

Key molecules regulating myelination are differentially expressed in SCH (e.g. neuregulin 1 – which is also a genetic hit)

How well did you know this?
1
Not at all
2
3
4
5
Perfectly
16
Q

Dopaminergic pathways in the central nervous system

Describe the effect of SCH on mesocortical and mesolimbic patients

A

Mesolimbic is hyperactive
Mesocortical is hypoactive

How well did you know this?
1
Not at all
2
3
4
5
Perfectly
17
Q

A 30-year-old female presents to the clinic complaining of irregular menses. She has been having irregular menstrual cycles for the past two years. The patient has a history of schizophrenia but has been stable on her current antipsychotic medication. She discontinued oral contraceptives and has abstained from both alcohol and nicotine for approximately one year as she and her husband are planning to start a family. The physical exam is unremarkable and the patient denies suicidal or homicidal ideations, denies auditory or visual hallucinations, cognition and judgment are intact. What is the most likely hormonal abnormality causing this patient’s symptoms?

A. Increased gonadotropin hormone secretion
B. Decreased human growth hormone secretion
C. Increased prolactin secretion
D. Decreased thyroid hormone production

A

A 30-year-old female presents to the clinic complaining of irregular menses. She has been having irregular menstrual cycles for the past two years. The patient has a history of schizophrenia but has been stable on her current antipsychotic medication. She discontinued oral contraceptives and has abstained from both alcohol and nicotine for approximately one year as she and her husband are planning to start a family. The physical exam is unremarkable and the patient denies suicidal or homicidal ideations, denies auditory or visual hallucinations, cognition and judgment are intact. What is the most likely hormonal abnormality causing this patient’s symptoms?

A. Increased gonadotropin hormone secretion
B. Decreased human growth hormone secretion
C. Increased prolactin secretion
D. Decreased thyroid hormone production

How well did you know this?
1
Not at all
2
3
4
5
Perfectly
18
Q

Which area of the brain sets the urgency with which a movement is chosen and executed?

Prefrontal cortex

Premotor cortex

Posterior parietal cortex

Primary motor cortex

Supplementary motor area

A

Which area of the brain sets the urgency with which a movement is chosen and executed?

Prefrontal cortex

Premotor cortex

Posterior parietal cortex

Primary motor cortex

Supplementary motor area

How well did you know this?
1
Not at all
2
3
4
5
Perfectly
19
Q

Parkinson’s Disease sees a particular degeneration of which of the following:

locus coeruleus
raphe nucleus
thalamus
periaqueductal gray

A

locus coeruleus

Hallmark of PD !

How well did you know this?
1
Not at all
2
3
4
5
Perfectly
20
Q

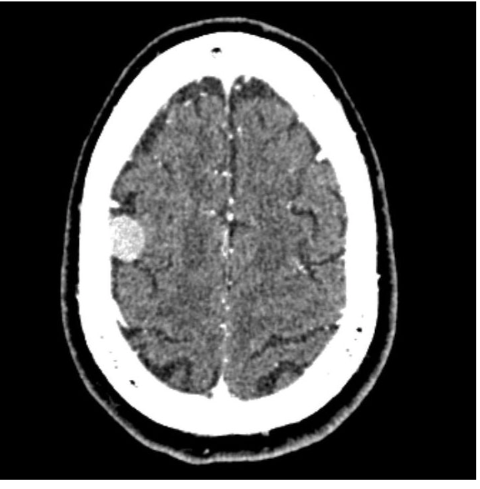
Looking at the axial CT images carefully, you see mass which has taken up the contrast and appears bright. Which of these cerebral cortical regions does this mass overlie?

Prefrontal cortex
Auditory cortex
Primary motor cortex
Visual cortex

A

Looking at the axial CT images carefully, you see mass which has taken up the contrast and appears bright. Which of these cerebral cortical regions does this mass overlie?

Prefrontal cortex
Auditory cortex
Primary motor cortex
Visual cortex

How well did you know this?
1
Not at all
2
3
4
5
Perfectly
21
Q

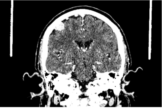
According to a colleague of Marina - Lydia - who witnessed the event, the seizure was preceded by abnormal, repetitive movements. Looking again at the coronal view of the CT brain (below) and recalling the motor homunculus, in which body part would these abnormal movements most likely be observed:

Right face
Left face
Right upper limb
Left upper limb
RIght lower limb
Left lower limb

A

According to a colleague of Marina - Lydia - who witnessed the event, the seizure was preceded by abnormal, repetitive movements. Looking again at the coronal view of the CT brain (below) and recalling the motor homunculus, in which body part would these abnormal movements most likely be observed:

Right face
Left face
Right upper limb
Left upper limb
RIght lower limb
Left lower limb

The mass is probably closest to the upper limb region of the primary motor cortex. The lower limb is represented more medially and the face is represented more laterally.

Of course, the problem is in the right hemisphere, so this will manifest on the left side peripherally.

Clinically, this phenomenon of abnormal, unprovoked sensorimotor activity is known as a focal or partial seizure, and reflects involvement of distinct funtional areas of cortex.

How well did you know this?
1
Not at all
2
3
4
5
Perfectly
22
Q

Which of the following is the right common carotid artery

A
B
C
D
E
F

A

Which of the following is the right common carotid artery

A
B
C
D
E
F

23
Q

Which of the following is the left internal carotid artery

A
B
C
D
E
F

A

Which of the following is the left internal carotid artery

A
B
C
D
E
F

24
Q

Which of the following is the left vertebral artery

A
B
C
D
E
F

A

Which of the following is the left vertebral artery

A
B
C
D
E
F

25
A 70-year-old male presented to the emergency department complaining of blurred vision on his right eye. CT angiogram shows an embolus on the right ophthalmic artery. By which route would an embolus most likely reach the ophthalmic artery? A. Internal carotid canal – foramen rotundum – cavernous sinus to medial anterior clinoid process B. Internal carotid canal – foramen lacerum – cavernous sinus to medial anterior clinoid process C. Internal carotid canal – foramen lacerum – cavernous sinus lateral to anterior clinoid process D. Internal carotid canal – foramen spinosum – cavernous sinus medial to anterior clinoid process
A 70-year-old male presented to the emergency department complaining of blurred vision on his right eye. CT angiogram shows an embolus on the right ophthalmic artery. By which route would an embolus most likely reach the ophthalmic artery? A. Internal carotid canal – foramen rotundum – cavernous sinus to medial anterior clinoid process **B. Internal carotid canal – foramen lacerum – cavernous sinus to medial anterior clinoid process** C. Internal carotid canal – foramen lacerum – cavernous sinus lateral to anterior clinoid process D. Internal carotid canal – foramen spinosum – cavernous sinus medial to anterior clinoid process
26
A 58-year-old man presents to the clinic with three months of progressively worsening headaches and balance problems. An MRI reveals a circumscribed extra-axial homogenous mass compressing the foramen shown in the image (red arrow). Which one of the following nerves passes through this foramen? A. Glossopharyngeal B. Vagus C. Accessory D. Hypoglossal
A 58-year-old man presents to the clinic with three months of progressively worsening headaches and balance problems. An MRI reveals a circumscribed extra-axial homogenous mass compressing the foramen shown in the image (red arrow). Which one of the following nerves passes through this foramen? A. Glossopharyngeal B. Vagus **C. Accessory** D. Hypoglossal
27
Thalamus: lies either side of the []
Thalamus: lies either side of the **lateral ventricles**
28
The only sensory information to bypass the thalamus is [] information, Olfactory Oplthalmic Proprioception Audiology
The only sensory information to bypass the thalamus is [] information, **which travels directly to olfactory cortex** **Olfactory** Oplthalmic Proprioception Audiology
29
Which of the following thalamic nuclei is involved with hearing Lateral geniculate nucleus (LGN) Medial geniculate nucleus (MGN) Ventral posterior lateral nucleus (VPL) Anterior nucleus (A) Ventral lateral nucleus (VL) Ventral anterior nucleus (VA)
Which of the following thalamic nuclei is involved with hearing Lateral geniculate nucleus (LGN) **Medial geniculate nucleus (MGN)** Ventral posterior lateral nucleus (VPL) Anterior nucleus (A) Ventral lateral nucleus (VL) Ventral anterior nucleus (VA)
30
Which of the following thalamic nuclei is involved with memory Lateral geniculate nucleus (LGN) Medial geniculate nucleus (MGN) Ventral posterior lateral nucleus (VPL) Anterior nucleus (A) Ventral lateral nucleus (VL) Ventral anterior nucleus (VA)
Which of the following thalamic nuclei is involved with memory Lateral geniculate nucleus (LGN) Medial geniculate nucleus (MGN) Ventral posterior lateral nucleus (VPL) **Anterior nucleus (A)** Ventral lateral nucleus (VL) Ventral anterior nucleus (VA)
31
Which of the following thalamic nuclei is involved with motor input from cerebellum Lateral geniculate nucleus (LGN) Medial geniculate nucleus (MGN) Ventral posterior lateral nucleus (VPL) Anterior nucleus (A) Ventral lateral nucleus (VL) Ventral anterior nucleus (VA)
Which of the following thalamic nuclei is involved with motor input from cerebellum Lateral geniculate nucleus (LGN) Medial geniculate nucleus (MGN) Ventral posterior lateral nucleus (VPL) Anterior nucleus (A) **Ventral lateral nucleus (VL)** Ventral anterior nucleus (VA)
32
Which of the following thalamic nuclei is involved with motor input from basal ganglia Lateral geniculate nucleus (LGN) Medial geniculate nucleus (MGN) Ventral posterior lateral nucleus (VPL) Anterior nucleus (A) Ventral lateral nucleus (VL) Ventral anterior nucleus (VA)
Which of the following thalamic nuclei is involved with motor input from basal ganglia Lateral geniculate nucleus (LGN) Medial geniculate nucleus (MGN) Ventral posterior lateral nucleus (VPL) Anterior nucleus (A) Ventral lateral nucleus (VL) **Ventral anterior nucleus (VA)**
33
Which of the following thalamic nuclei is involved with vision Lateral geniculate nucleus (LGN) Medial geniculate nucleus (MGN) Ventral posterior lateral nucleus (VPL) Anterior nucleus (A) Ventral lateral nucleus (VL) Ventral anterior nucleus (VA)
Which of the following thalamic nuclei is involved with vision **Lateral geniculate nucleus (LGN)** Medial geniculate nucleus (MGN) Ventral posterior lateral nucleus (VPL) Anterior nucleus (A) Ventral lateral nucleus (VL) Ventral anterior nucleus (VA)
34
Which of the following thalamic nuclei is involved with touch, pain, pressure & proprioception Lateral geniculate nucleus (LGN) Medial geniculate nucleus (MGN) Ventral posterior lateral nucleus (VPL) Anterior nucleus (A) Ventral lateral nucleus (VL) Ventral anterior nucleus (VA)
Which of the following thalamic nuclei is involved with touch, pain, pressure & proprioception Lateral geniculate nucleus (LGN) Medial geniculate nucleus (MGN) **Ventral posterior lateral nucleus (VPL)** Anterior nucleus (A) Ventral lateral nucleus (VL) Ventral anterior nucleus (VA)
35
The epithalamus has two main components. What are they? [2]
Pineal gland Habenular nuclei | Habenular
36
Which hormone does the pineal gland secrete and what is its function? [2]
secretes**melatonin**; which **regulates circadian rhythm**.
37
Which thalamic nucleus receives input from the optic tract? Lateral geniculate nucleus (LGN) Medial geniculate nucleus (MGN) Ventral posterior lateral nucleus (VPL) Anterior nucleus (A) Ventral lateral nucleus (VL) Ventral anterior nucleus (VA)
**Lateral geniculate nucleus (LGN)** Medial geniculate nucleus (MGN) Ventral posterior lateral nucleus (VPL) Anterior nucleus (A) Ventral lateral nucleus (VL) Ventral anterior nucleus (VA)
38
After completing your full examination, you think that Christina's hands are larger than you would expect for her size. You also agree that her facial features have changed slightly compared to pictures from a year ago. Excess of which pituitary hormone may be responsible for these changes? [1]
Acceptable responses: **growth hormone, GH, Somatotropin** The description of the wedding band no longer fitting is classic for a history of acromegaly
39
Which structure is the arrow pointing? Thalamus Global pallidus Internal capsule Caudate nucleus Putamen
Which structure is the arrow pointing? Thalamus **Global pallidus** Internal capsule Caudate nucleus Putamen
40
Which structure is the arrow pointing? Thalamus Global pallidus Internal capsule Caudate nucleus Putamen
Which structure is the arrow pointing? **Thalamus** Global pallidus Internal capsule Caudate nucleus Putamen
41
The reticular formation filters out sensory information via which system? [1]
Due to its many connections, it has many functions, including regulation of skeletal muscle, regulation of autonomic function, 'filtering' of sensory information and even maintenance of consciousness. The latter is particularly controlled by the **ascending reticular activating system (aRAS)** which relays sensory information to the cerebral cortex.
42
A 76-year old male in a senior facility was brought to his provider due to difficulty sleeping for 6 months. His wife died two months ago and aggravated further his sleep problem. Regulation of his sleep cycle and control of consciousness is a function of which of the following? A. Reticular formation B. Hypothalamus C. Basal ganglia D. Pineal gland
A 76-year old male in a senior facility was brought to his provider due to difficulty sleeping for 6 months. His wife died two months ago and aggravated further his sleep problem. Regulation of his sleep cycle and control of consciousness is a function of which of the following? **A. Reticular formation** B. Hypothalamus C. Basal ganglia D. Pineal gland
43
Describe the link between PD and the RF [1]
Patients with both **Parkinson disease** have been shown to have **degeneration of the reticular activating system**, particularly decreased density of neurons in the locus coeruleus, contributing to the progression of Parkinson disease.
44
After the olfactory nerve rootlets have passed through the cribiform plate and synapsed in the olfactory bulb, which olfactory tracts does olfactory information travel in? Where do these tracts travel to? [2]
Olfactory tracts divide into into **lateral and medial striae** The **lateral stria** continues to the **primary olfactory cortex**, which resides within the **uncus**. The **medial stria** carries fibres to the **contralateral** **olfactory bulb** via the **anterior commissure**
45
The hippocampus is associated with what type of memory? [3]
**episodic memory**: autobigraphical memory of past events **new memory formation** **spatial navigation**
46
# Hippocampal associations Label A & B [2]
A: **Dentate gyrus** B: **parahippocampal gyrus**
47
Label A-C
A: Amygdala B: Hippocampus C: Parahippocampal cortex
48
Label A-J
a, cingulum; b, cingulum fibres entering parietal cortex; c, corpus callosum; d, head of caudate nucleus; e, body of the fornix; f, columns of the fornix; g, mammillary body; h, mammillothalamic tract; i, anterior nucleus of the thalamus; j parahippocampus
49
Which of the following structures looks atrophied Thalamus Brainstem Amygdala Hippocampal formation Pituitary
Which of the following structures looks atrophied Thalamus Brainstem Amygdala **Hippocampal formation** Pituitary
50
Which of the following would most likely be cause from damage to the hippocampus? Loss of procedural memory Anterograde amnesia Impaired spatial cognition Retrograde amnesia Imparied attention
Which of the following would most likely be cause from damage to the hippocampus? Loss of procedural memory Anterograde amnesia **Impaired spatial cognition** Hippocampus is vital for navigation in space and for forming 'mental maps' - this explains why patients with Alzheimer's Disease commonly get lost even in familiar environments Retrograde amnesia Imparied attention
51
Lorraine describes her father's recent behavioural changes in more detail: he seems uninterested in doing things, is missing bills, and does not seem to enjoy playing with his great grandchildren as he usually did. Wich part of the brain is most likely affected? Cingulate cortex Hypothalamus Thalamus Hippocampus Mamillary bodies
**Cingulate cortex** Many types of behavioural changes are common in Alzheimer's Disease, but this picture suggests apathy, characterised by poor motivation and altered affect (this also commonly coexists with depression). This suggests involvement of the cingulate cortex (probably anterior cingulate cortex) as well as the prefrontal and orbital frontal cortex.
52
Which of the following is the tonsil A B C D E
Which of the following is the tonsil A B C D **E**
53
Which of the following is the floccus A B C D E
Which of the following is the floccus A B C **D** E
54
There are two kinds of motor symptoms after cerebellar injury. Explain what they are [2]
1. **HYPOTONIA** –manifests as muscle weakness and loss of motor tone. It results in a floppy, loose-jointed, rag-doll like appearance with pendular reflexes and the patient appears “drunk”. 2. **ATAXIA** - which manifests as “errors in the rate, range or force of movement”