What type of collagen is found in the papillary layer [1] and reticular layer [1] of the dermis?
Papillary: Type 3
Reticular: Type 1
Mast cells are found whhere in the skin? [1]
Function? [2]
Dermis
Immune response: secretes histamine
State two functions of homeostatic COX-1 [2]
. Protect the lining of the stomach & increase bloodflow of the kidney
Describe the mechanism of action of COX enzymes in joint pathology [2]
COX2 mRNA and protein is increased in joints with osteo or rheumatoid arthritis:
* IL1, TNF and IL17: stimulates iNOS, which induces COX2
* Mechanical stress may directly activate production of PGE2
Which COX enzyme is mainly present in the stomach? [1]
Which prostaglandin does this make? [1]
Explain the affect of NSAIDs on the stomach [1]
Mainly COX1 isoform: normal PGE2 helps gastric mucosa
But NSAIDS inhibit COX-1 and and induce COX-2: reduce the protection of the stomach and can lead to the development of gastric ulcers, gastritis
Increases chance of gastric ulcer
Describe the affects of COX enzymes in CV system [2]
PGI2 (prostacyclin) from COX2 in endothelial cells prevents platelet aggregation and vasodilation
Thromboxane A2 from COX1 in platelets promotes aggregation and vasoconstriction
Describe the normal MoA of aspirin [2]
Describe the DDI of aspirin and ibupofren in CV system [2]
Aspirin binds to COX-1 and binds to serine; produces irreversible covalent chain. Stops the platelet from producing thromboxane A2; which is an anti-coagulant effect.
Ibuprofen; binds to same serine chain; but is reversible; which is why is not an anti-coagulant.
When ibuprofen is given, aspirin cant bind to COX-1 and produce anti-coagulant affect
Role of COX-1 [2] and COX-2 [1] in the kidney?
Via which prostaglandins? [2]
COX1: produces PGE2 and PGI2
* PGE2: regulates sodium reabsoprtion
* PGI2 regulates potassium excretion
COX2:
* present in small amounts in macula densa but increases in salt deprivation
Which prostaglandin causes inhibits platelet aggregation?
PGE2
PGD2
PGI2
PGF2α
TXA2
PGI2
Which prostaglandin causes induces platelet aggregation?
PGE2
PGD2
PGI2
PGF2α
TXA2
TXA2
In the stomach, NSAIDs for long periods blocks which prostaglandin generation?
PGE2
PGD2
PGI2
PGF2α
TXA2
PGE2
Describe the process of aseptic loosening
Tendon transfer for wrist extension (radial nerve palsy)? [2]
PT (pronator teres) to ECRB (extensor carpi radialis brevis)
Tendon transfer for finger MCP extension? (radial nerve palsy)? [2]
FCU to EDC (extensor digitorum communis)
Tendon transfer for thumb extension? [2]
PL (palmaris longus) to rerouted EPL (extensor pollicis longus)
What type of fracture occurs from an object dropping on you and breaking the bone
burst fracture
transverse fracture
impacted fracture
spiral fracture
greenstick fracture
transverse fracture
Describe characteristics of torus fracture [2]
In children
Children have lots of woven bone
Axial loading causing trabecular compression; bulging of the cortex
Incomplete fractures of the shaft of a long bone that is characterised by bulging of the cortex. They result from trabecular compression due to an axial loading force along the long axis of the bone
Describe the mechanism of bone healing after a fracture [5]
Fracture hematoma:
* Blood from broken vessels forms a clot 6-8 hours after injury
* Creates hypoxia; low pH
* Dead cells present cause pro-inflam cytokines
* Swelling
Fibrocartilaginous callus
* Angiogensis occurs (due to previous hypoxia)
* Fibroblasts and osteogenic precursors invade procallus
* Chondroblasts makes fibrocartilage
Inflammatory, granulation and soft callus
* Organisation and resorption of clot as new capillaries form
* Fibroblasts enter and differentiate as chondrocytes
* Chondrocytes produce collagen that bridges fracture site cartilage and trabecular bone laid down
Bony callus
* osteoblasts make woven bone
* Excess bone can form and create a bridge or a pseudo-arthrosis especially in the foot
Bone remodelling
* Osteoclasts remodel woven bone into compact bone and trabecular bone
* Often no trace of fracture line on X-rays.
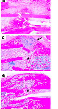
State what is represented by blue, the dot and the hashtage in this bone remodelling
= remodelling
Blue = calcified cartilage
dot = woven bone
hashtag = remodelling