BB EOYS14 Flashcards

(44 cards)

1
Q

The middle meningeal artery provides blood supply to the meninges. Through which foramen does it enter the skull?

Foramen ovale
Foramen rotundum
Foramen spinosum
Foramen magnum

A

Foramen spinosum

How well did you know this?
1
Not at all
2
3
4
5
Perfectly
2
Q

The largest dural fold is the

Tentorium cerebelli
Tentorial notch
Falx cerebelli

A

The largest dural fold is the

Tentorium cerebelli
Tentorial notch
Falx cerebelli

How well did you know this?
1
Not at all
2
3
4
5
Perfectly
3
Q

Which dural fold is the arrow pointing to

Tentorium cerebelli
Tentorial notch
Falx cerebelli

A

Tentorium cerebelli

How well did you know this?
1
Not at all
2
3
4
5
Perfectly
4
Q

Which dural fold is the arrow pointing to

Tentorium cerebelli
Tentorial notch
Falx cerebelli

A

Falx cerebelli

How well did you know this?
1
Not at all
2
3
4
5
Perfectly
5
Q

Which dural fold is found between the left and right cerebral hemisphere? [1]

A

Acceptable responses: falx cerebri, cerebral falx

How well did you know this?
1
Not at all
2
3
4
5
Perfectly
6
Q
A
How well did you know this?
1
Not at all
2
3
4
5
Perfectly
7
Q

Which of the following is the periosteum

A
B
C
D
E

A

E

How well did you know this?
1
Not at all
2
3
4
5
Perfectly
8
Q

Which of the following is the middle meningeal vessel

A
B
C
D
E

A

A

How well did you know this?
1
Not at all
2
3
4
5
Perfectly
9
Q

Which of the following is the arachnoid mater

A
B
C
D
E

A

C

How well did you know this?
1
Not at all
2
3
4
5
Perfectly
10
Q

Which circle is the pia mater

A
How well did you know this?
1
Not at all
2
3
4
5
Perfectly
11
Q

Which is the subarachnoid space?

A
How well did you know this?
1
Not at all
2
3
4
5
Perfectly
12
Q

Where is lumbar puncture performed?

Between T12 & L1
Between L1 & L2
Between L3 & L4
Below L5

A

Between L3 & L4

The spinal cord ends at the vertebral level L1/2 so lumbar punctures are performed below this level.

How well did you know this?
1
Not at all
2
3
4
5
Perfectly
13
Q

Where is the danger triangle of the face? [1]

Explain why this region is called the danger triangle [2]

A

The angular and ethmoidal veins drain this region of the face into the opthalmic veins which drain into the cavernous sinus.

This provides a potential route of infection from the nasal area to the brain, causing cavernous sinus thrombosis, meningitis or brain abscess.

How well did you know this?
1
Not at all
2
3
4
5
Perfectly
14
Q

SAH can lead to which pathology? [1]

A

Frank blood in the subarachnoid space is irritating and can cause (aseptic) meningitis.

How well did you know this?
1
Not at all
2
3
4
5
Perfectly
15
Q

Which of the following is principally caused by movement of the brain, not impact

Epidural
Sub dural
Sub arachnoid
Intracranial

A

Sub dural

When the head is accelerated, the inertia of the brain causes its movement to lag behind that of the skull. This leads to traction on bridging veins running between brain and dura mater, which get torn.

How well did you know this?
1
Not at all
2
3
4
5
Perfectly
16
Q

Which of the following commonly causes damage to axons in the underlying brain

Epidural
Sub dural
Sub arachnoid
Intracranial

A

Sub dural

Blood from the ruptured vessels spreads freely through the subdural space and can envelop the entire hemisphere. Because of the forces involved in producing a subdural haemorrhage, there is very often damage to axons in the underlying brain as well

How well did you know this?
1
Not at all
2
3
4
5
Perfectly
17
Q

Which of the following commonly accumlates over a period of hours

Epidural
Sub dural
Sub arachnoid
Intracranial

A

Which of the following commonly accumlates over a period of hours

Epidural
Sub dural
Sub arachnoid
Intracranial

How well did you know this?
1
Not at all
2
3
4
5
Perfectly
18
Q

Because there is so little reserve volume inside the skull, haematomas of >[] ml are usually fata

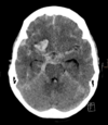
19
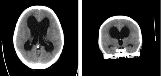
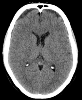
Q

Based off of the imaging, what is the most likely diagnosis?

Epilepsy
Haemorrhage
Hydrocephalus
Normal

A

Hydrocephalus

20
Q

Describe the difference between a communicating and non-communicating hydrocephalus [2]

A

Communicating hydrocephalus occurs once CSF has left the ventricular system - hence the CSF can still ‘communicate’ or flow between the ventricles.

Non-communicating hydrocephalus (also known as obstructive hydrocephalus) occurs where there is a blockage at one point within the ventricular system (normally where there is a narrower region) so flow cannot occur leading to a proximal build-up of CSF and ventricular enlargement.

21
Q

What is the name of the structure that resorbs CSF? [1]

A

Arachnoid granulations

22
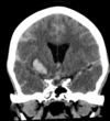
Q

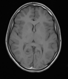
What type of clinical imaging has been used in this case?

X-ray
CT
MRI T1
MRI T2
Ultrasound

A

MRI T2

T2 is generally the more commonly used, but T1 can be used as a reference for anatomical structures or to distinguish between fat vs. water bright signals.

T2 – TWO tissues are bright: fat and water (WW2 – Water is White in T2)

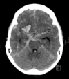
23
Q

What type of clinical imaging has been used in this case?

X-ray
CT
MRI T1
MRI T2
Ultrasound

24
Q

What type of clinical imaging has been used in this case?

X-ray
CT
MRI T1
MRI T2
Ultrasound

25
**Cerebral aquaduct**
26
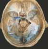
Acute blood shows up brighter on which type of scan. X-ray CT MRI T1 MRI T2 Ultrasound
**CT**
27
Which vessel is most likely to have ruptured? Left anterior cerebral artery Right anterior cerebral artery Left middle cerebral artery Right middle cerebral artery
The **right middle cerebral artery** is the most likely to have ruptured in this scenario, as this travels out laterally to supply the lateral region of the cortex.
28
What symptoms might the patient experience? [2]
The haemorrhage is in the region of the right middle cerebral artery **Left-sided upper limb paraesthesia** and **left-sided upper limb weakness.** Aphasia is less likely in this case, as Broca’s area (responsible for expressive speech) is most commonly found on the left hemisphere, along with Wernicke’s area (responsible for receptive speech).
29
The pterion is an anatomically weak point bound by the **frontal, parietal, temporal and sphenoid** bones.
30
# Skull fractures Infection is a possible consequence of compound skull fracture linear closed fractures depressed fracture diastatic skull fracture
Infection is a possible consequence of **compound skull fracture** in which the scalp is torn
31
This shows a compound skull fracture linear closed fractures depressed fracture diastatic skull fracture
**depressed fracture**
32
This shows a compound skull fracture linear closed fractures depressed fracture diastatic skull fracture
**Linear parietal fracture**
33
This shows a compound skull fracture linear closed fractures depressed fracture diastatic skull fracture
Comminuted depressed skull fracture
34
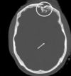
Which bone is fractured Zygomatic Temporal Parietal Frontal
**Temporal**
35
Look at the radiographs below and decide if they show depressed or linear fractures.
36
After Adam hits his head he regains consciousness before losing consciousness once more. What is the name of this phenomenon? [1]
Acceptable responses: *Lucid, Lucid interval*
37
Lucid intervals are typical of which type of bleeds? Epidural Subdural Subarachnoid Intracranial
**Epidural**
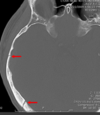
38
Which bone is fractured? [1]
Acceptable responses: *temporal bone, right temporal bone, temporal, right temporal*
39
After CSF, which of the following is forced out of the skull if there is an increase of pressure? Venous blood Lymph Arterial blood Brain
Venous blood
40
The arrow indicates the **[]** nerve running in the tentorial notch.
**oculomotor nerve**
41
An uncal herniation of the brain involves the uncus of the **[] lobe** herniating inferiorly around the tentorial notch Parietal Occipital Temporal Frontal
Parietal Occipital **Temporal** Frontal
42
An uncul herniation commonly compresses which cranial nerve? [1]
**Oculomotor nerve**
43
In tonsillar herniation/coning the tonsils of the cerebellum are forced through the foramen magnum. What structure can this compress? [1]
Acceptable responses: *medulla, medulla oblongata*
44
Which is the most severe type of herniation? [1] Explain your answer [1]
**Tonsillar herniation** Compresses the medulla oblongata: **contains the respiratory and cardiac centers** & can result in death