Adenoitis Flashcards

(9 cards)

1
Q

Q ES

A

Infeccion de las amigdalas faringeas o adenoides

How well did you know this?
1
Not at all
2
3
4
5
Perfectly
2
Q

amigdalas palatinas

A

anginasss

How well did you know this?
1
Not at all
2
3
4
5
Perfectly
3
Q

q es comun q pase en niños

A

obstruccion via aerea

How well did you know this?
1
Not at all
2
3
4
5
Perfectly
4
Q

causas

A

complicacion IVAS
Viral
Bacteriana: h.influenzae, strep, staph aureus

How well did you know this?
1
Not at all
2
3
4
5
Perfectly
5
Q

clx

A

facie adenoide:
Boca abierta
Cara alargada
Mordida abierta
Hundimiento de pomulos
Respiracion oral
Ronquido
Cuadro infeccioso x IVAS

How well did you know this?
1
Not at all
2
3
4
5
Perfectly
6
Q

Como se pide rx

A

RX LATERAL DEL CUELLO CON TECNICA BLANDA

How well did you know this?
1
Not at all
2
3
4
5
Perfectly
7
Q

q se ve en rx

A

obstruccion nasofaringea
Angrosamiento adenoidea

How well did you know this?
1
Not at all
2
3
4
5
Perfectly
8
Q

Foto examennnnnnnn

A
How well did you know this?
1
Not at all
2
3
4
5
Perfectly
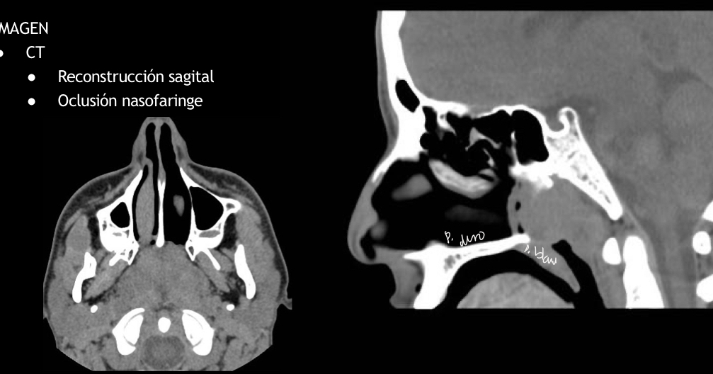
9
Q

Q se ve en tc

A

oclusion nasofaringe
Hay reconstruccion sagital

How well did you know this?
1
Not at all
2
3
4
5
Perfectly