Sinusitis Flashcards

(14 cards)

1
Q

Q es

A

inflamacion aguda de senos paranasales

How well did you know this?
1
Not at all
2
3
4
5
Perfectly
2
Q

asociada a

A

rinitis

How well did you know this?
1
Not at all
2
3
4
5
Perfectly
3
Q

causas

A

complicacion IVAS: resfriado comun x sobreinfeccion o s.pneumonie. H.infuenzae. M.catarrhalis
Caries
Absceso periapical
Fistula oroantral
Desviacion septum nasal

How well did you know this?
1
Not at all
2
3
4
5
Perfectly
4
Q

clx

A

secrecion nasal purulenta
Obstruccion nasal
Fiebre
Anosmia,ageusia,disgeusia
Presion y dolor en cara y dientes
Cefalea
Dolor digitopresion

How well did you know this?
1
Not at all
2
3
4
5
Perfectly
5
Q

caracteristica de cefalea

A

no responde a aspirina

How well did you know this?
1
Not at all
2
3
4
5
Perfectly
6
Q

q se ve en imagen

A

nivel hidroaereo
Opacificacion

How well did you know this?
1
Not at all
2
3
4
5
Perfectly
7
Q

Q se pide en rx

A

serie SPN ap, lateral waters boca abierta

How well did you know this?
1
Not at all
2
3
4
5
Perfectly
8
Q

Mejor metodo imagen

A

tc

How well did you know this?
1
Not at all
2
3
4
5
Perfectly
9
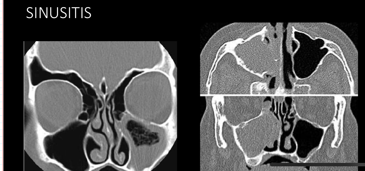
Q

q se ve en tc

A

engrosamiento mucosa periferica
Niveles hidroaereos
Permite evaluar oclusion osteomeatal
Desviacion septum
Engrosamiento cornetes:rinitis

How well did you know this?
1
Not at all
2
3
4
5
Perfectly
10
Q

Con el tiempo se puede hacer mucocele

A

si

How well did you know this?
1
Not at all
2
3
4
5
Perfectly
11
Q

Para q se usa rm

A

descartar neoplasia

How well did you know this?
1
Not at all
2
3
4
5
Perfectly
12
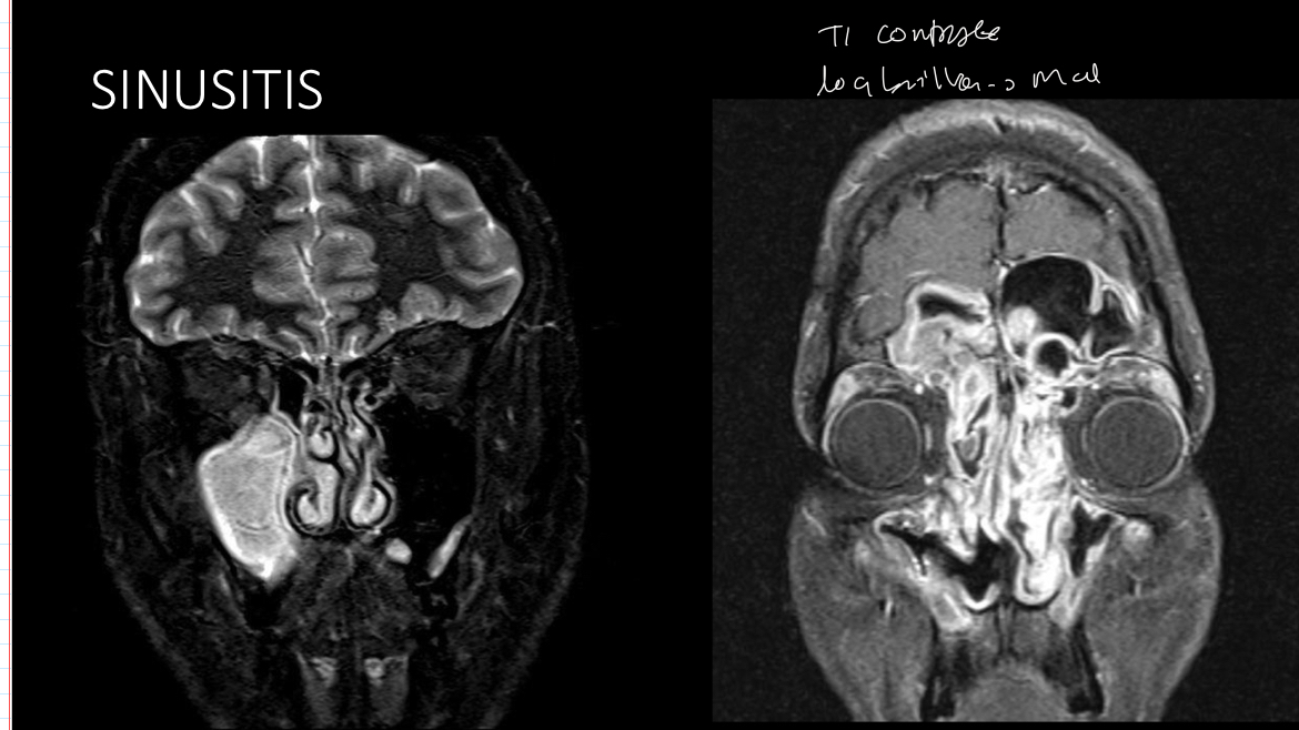
Q

Q se ve en rm

A

t2: hiperintenso
Dwi
T1 mas contraste: la mucosa inflamada relaza mientras q el liquido no

How well did you know this?
1
Not at all
2
3
4
5
Perfectly
13
Q
A
How well did you know this?
1
Not at all
2
3
4
5
Perfectly
14
Q
A
How well did you know this?
1
Not at all
2
3
4
5
Perfectly