Asma Flashcards

(13 cards)

1
Q

Que es el asma

A

broncoespasmo paroxístico reversible

How well did you know this?
1
Not at all
2
3
4
5
Perfectly
2
Q

que hay en el asma

A

contracción muscular
Edema
Infiltración mucosa bronquial
Mayor secreción

How well did you know this?
1
Not at all
2
3
4
5
Perfectly
3
Q

para q sirve la imagen aquí

A

no hace Dx solo apoya

How well did you know this?
1
Not at all
2
3
4
5
Perfectly
4
Q

como sale en las RX de 75% de px

A

normales

How well did you know this?
1
Not at all
2
3
4
5
Perfectly
5
Q

q se ve en RX

A

patrón hiperclaridad e hiperinsuflacion
Engrosamiento bronquial

How well did you know this?
1
Not at all
2
3
4
5
Perfectly
6
Q

complicaciones

A

consolidación
Derrame pleural
Reacción alérgica a aspergilus
Signo de corazón peludo
Líneas kerly

How well did you know this?
1
Not at all
2
3
4
5
Perfectly
7
Q

si hay complicación de consolidación cual seria su causante

A

bacteria o virus

How well did you know this?
1
Not at all
2
3
4
5
Perfectly
8
Q

porq habría la complicación de derrame pleural

A

mucho tiempo sin broncodilatador

How well did you know this?
1
Not at all
2
3
4
5
Perfectly
9
Q

porq hay signo del corazón peludo y q es

A

x edema pulmonar en NIÑOS
Es el engrosamiento de septos parailiares

How well did you know this?
1
Not at all
2
3
4
5
Perfectly
10
Q

De que nos hablan las líneas de kerly

A

edema pulmonar ADULTOS
Patrón reticular

How well did you know this?
1
Not at all
2
3
4
5
Perfectly
11
Q

Para q nos sirve la TC

A

ver enf asociadas como neumonía y aspergilosis

How well did you know this?
1
Not at all
2
3
4
5
Perfectly
12
Q

q se vería en una TC

A

engrosamiento bronquial
Atrapamiento de aire: en espiración mas evidente
Hiperclaridad

How well did you know this?
1
Not at all
2
3
4
5
Perfectly
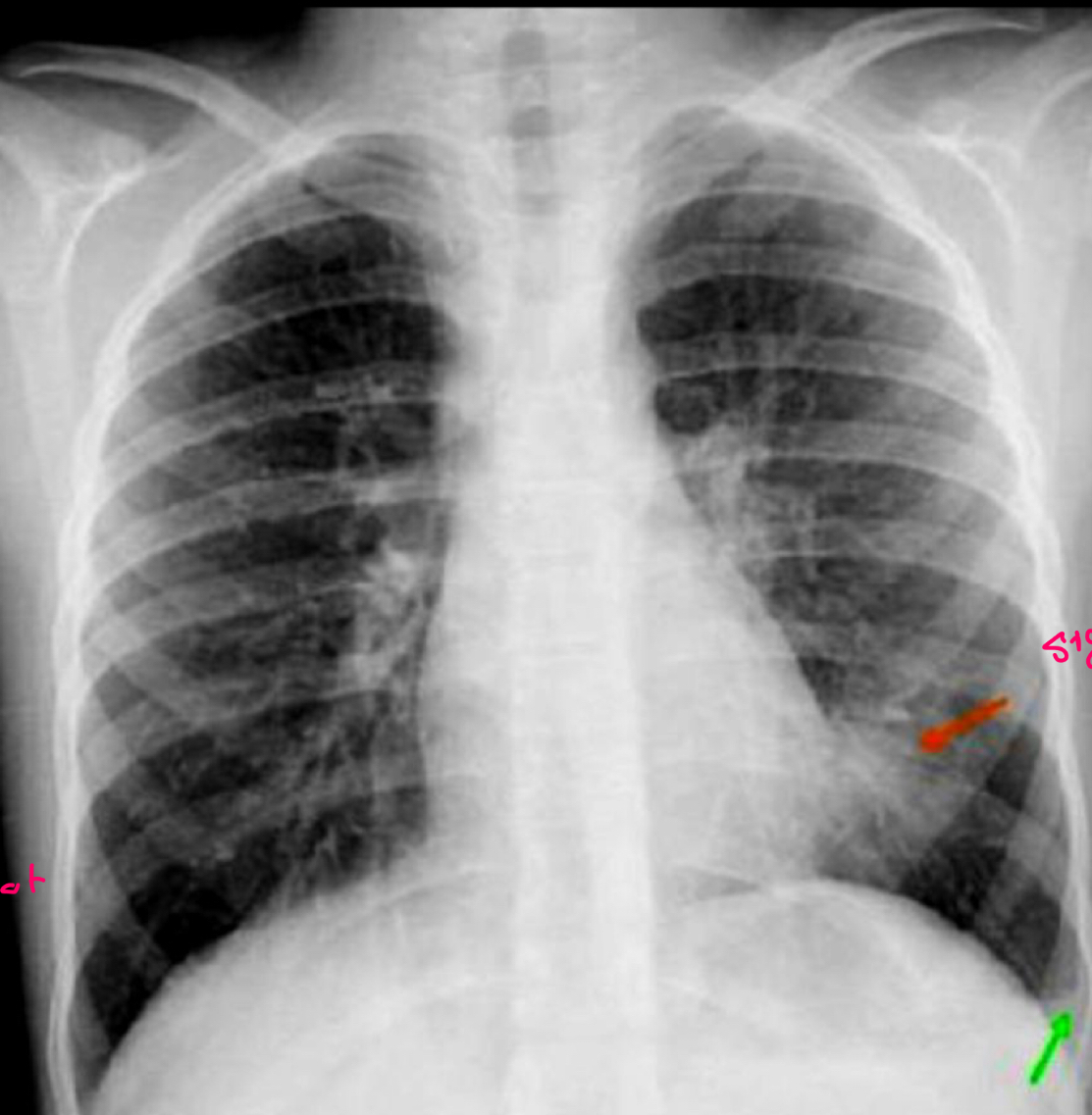
13
Q

Q se ve

A

Rojo: signo de corazón peludo
Verde: líneas kerly

How well did you know this?
1
Not at all
2
3
4
5
Perfectly