Cistitis Flashcards

(8 cards)

1
Q

Q es la cistitis

A

infeccion bacteriana de la vejiga

How well did you know this?
1
Not at all
2
3
4
5
Perfectly
2
Q

en quien es mas comun la cistitis y por que?

A

mas comun en mujeres: uretra mas corta

How well did you know this?
1
Not at all
2
3
4
5
Perfectly
3
Q

dx de la cistitis

A

clinico mas EGO
Disuria, hematuria

How well did you know this?
1
Not at all
2
3
4
5
Perfectly
4
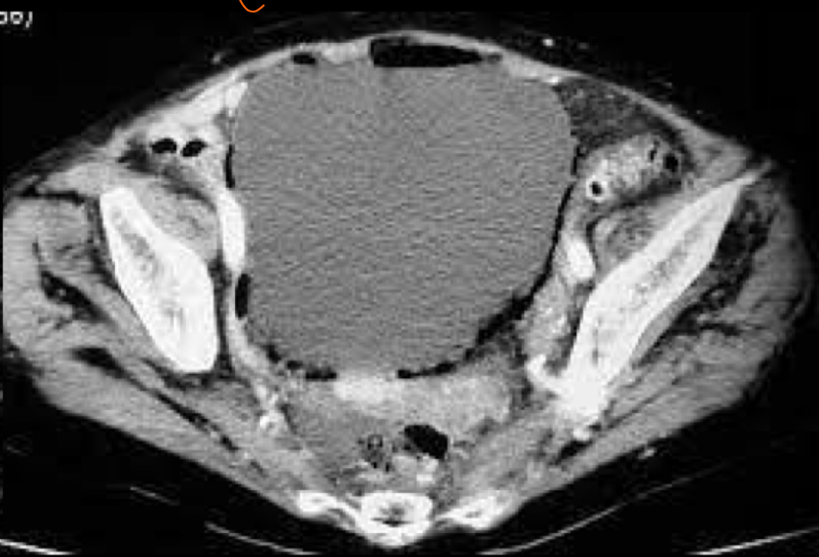
Q

la cistitis tmb es inflamacion de la pared vesical?

A

siii mas de 4mm no es normal

How well did you know this?
1
Not at all
2
3
4
5
Perfectly
5
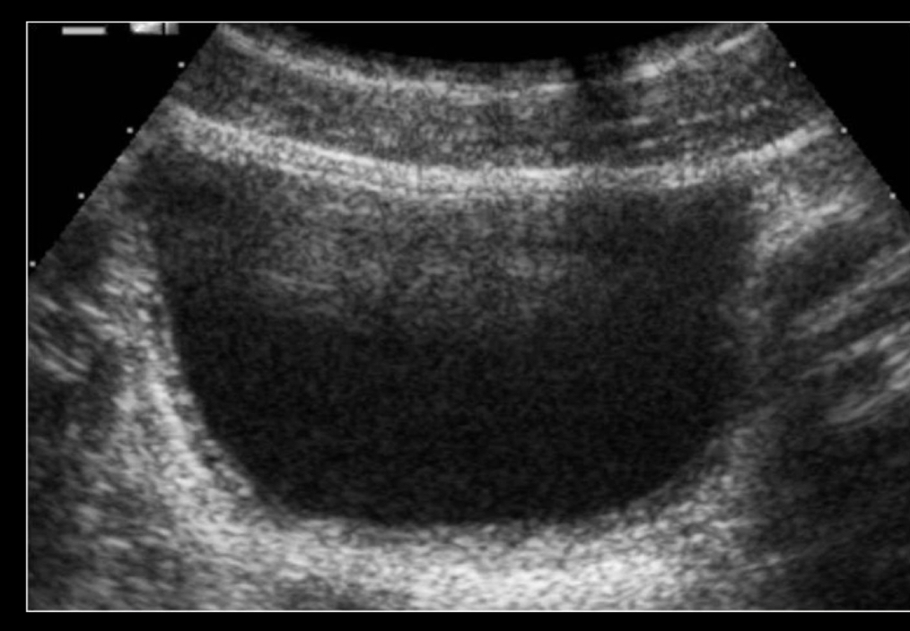
Q

q se ve en US de la cistitis

A
  • siempre con vejiga llena
  • Paredes engrosadas
  • Orina turbia
  • Se ve ecos puntiformes: sedimiento urinario
How well did you know this?
1
Not at all
2
3
4
5
Perfectly
6
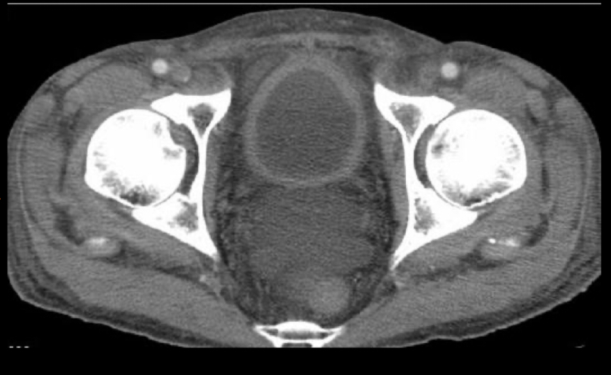
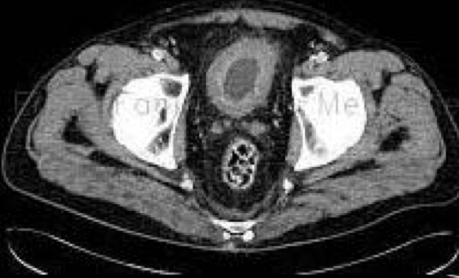
Q

Que se ve en tc de la cistitis

A
  • paredes engrosadas
  • Burbujas en pared: cistitis enfisematosa: DM2. Xq bacterias anaerobias llenas de gas
  • Capta contraste
How well did you know this?
1
Not at all
2
3
4
5
Perfectly
7
Q

Agudo o cronico

A

cistitis aguda

How well did you know this?
1
Not at all
2
3
4
5
Perfectly
8
Q

Agudo o cronico

A

cistitis cronico

How well did you know this?
1
Not at all
2
3
4
5
Perfectly