Apendicitis Flashcards

(20 cards)

1
Q

Que es apendicitis

A

inflamación del apéndice x osbtruccion de su lumen e infección añadido

How well did you know this?
1
Not at all
2
3
4
5
Perfectly
2
Q

en quien es comun la apendicitis y en quienes hay que descartarlo

A

comun en jovenes
Descartarla en niños

How well did you know this?
1
Not at all
2
3
4
5
Perfectly
3
Q

como se hace el dx de apendicitis

A

clínico mas labs mas imagen

How well did you know this?
1
Not at all
2
3
4
5
Perfectly
4
Q

Cuanto mide el apendice normal en niños y en adultos

A

niños -6mm
Adultos -7mm

How well did you know this?
1
Not at all
2
3
4
5
Perfectly
5
Q

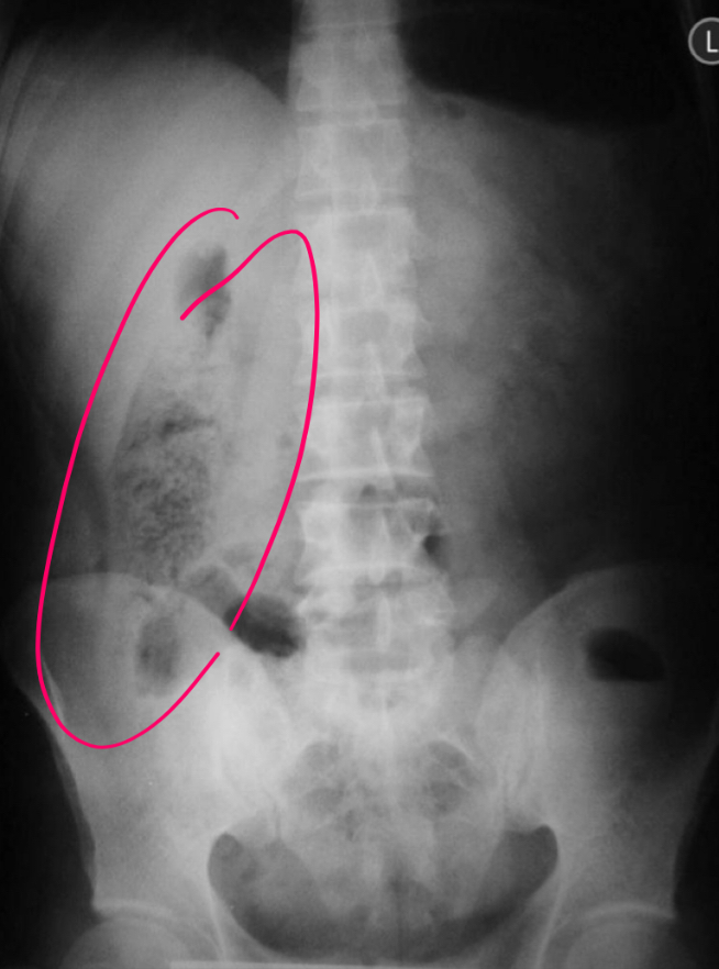
Signos de rx apendicitis q se ven son muchos

A
  • apendicolito -5%
  • Borramiento psoas
  • Niveles hidroaereos
  • Asa centinela
  • Hiperdensidad articulación sacroiliaca drch
  • Borramiento grasa preperitoneal
  • Radioopacidad difusa en FID
  • Curvatura antialgica
How well did you know this?
1
Not at all
2
3
4
5
Perfectly
6
Q

Que es eso

A

hiperdensidad articulación sacroiliaca drch

How well did you know this?
1
Not at all
2
3
4
5
Perfectly
7
Q

ABCDE de apendicitis

A

A: apendicolito
B: boraamiento
C: centinela
D: densidad
E: escoliosis

How well did you know this?
1
Not at all
2
3
4
5
Perfectly
8
Q

Que es eso

A

apendicolito

How well did you know this?
1
Not at all
2
3
4
5
Perfectly
9
Q

que es eso

A

Patron migas de pan: carga fecal en colon ascendente
DATO 2rio apendicitis

How well did you know this?
1
Not at all
2
3
4
5
Perfectly
10
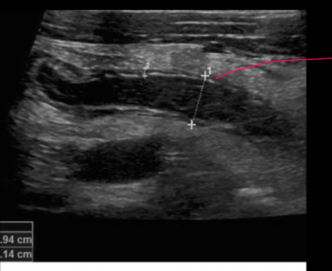
Q

El us es util en quienes

A

niños en adutos es poco util

How well did you know this?
1
Not at all
2
3
4
5
Perfectly
11
Q

que es el dedo de guante

A

apendice distendida >7mm q se ve en US

How well did you know this?
1
Not at all
2
3
4
5
Perfectly
12
Q

Que signos se ven en US

A

dedo guante
Apendicolito
Liquido libre
Anillo de fuesgo: doppler

How well did you know this?
1
Not at all
2
3
4
5
Perfectly
13
Q

Que es

A

signo del guante

How well did you know this?
1
Not at all
2
3
4
5
Perfectly
14
Q

es casi imposible ver una apendice sana con US

A

verdad

How well did you know this?
1
Not at all
2
3
4
5
Perfectly
15
Q

US normal descarta patologia

A

NOO

How well did you know this?
1
Not at all
2
3
4
5
Perfectly
16
Q

Lo mejor para apendicitis x imagen

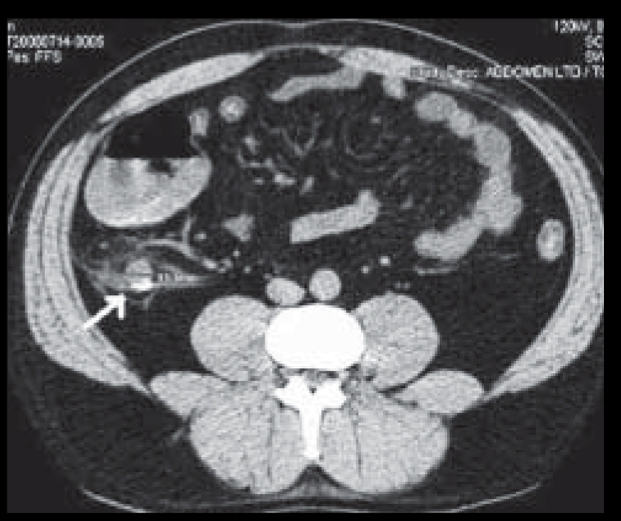
17
Q

la tc es mejor en

A

adultos
Apendice retrocecal

18
Q

que se ve en tc

A

apendice distendida
Grasa sucia
Apendicolito
Realce con contraste

19
Q

que otra cosa nos permite ver tc

A

absceso
Perforacion

20
Q

En quienes se usa rm para dx

A

embarazadas
Niños