Hidrocefalia Flashcards

(24 cards)

1
Q

Que es

A

aumento volumen LCR

How well did you know this?
1
Not at all
2
3
4
5
Perfectly
2
Q

Causas

A

x obstrucción
X sobreproducción
X falta de absorción

How well did you know this?
1
Not at all
2
3
4
5
Perfectly
3
Q

causa mas comun

A

x obstrucción

How well did you know this?
1
Not at all
2
3
4
5
Perfectly
4
Q

xq hay sobreproducción de LCR

A

tumor de plexos coroides

How well did you know this?
1
Not at all
2
3
4
5
Perfectly
5
Q

explicame la patología

A

obstrucción de LCR->ventriculos se expanden->liquido periventricular aumenta

How well did you know this?
1
Not at all
2
3
4
5
Perfectly
6
Q

tipos

A

NO comunicante: intraventricular
Comunicante: extra ventricular

How well did you know this?
1
Not at all
2
3
4
5
Perfectly
7
Q

Cx no comunicante

A

PIC se eleva
Niños: papiledema y agrandamiento circunferencia cabeza
Ojos en puesta de sol
Estenosis acueductal

How well did you know this?
1
Not at all
2
3
4
5
Perfectly
8
Q

causa mas comunes de la NO comunicante

A

estenosis acueductal

How well did you know this?
1
Not at all
2
3
4
5
Perfectly
9
Q

signos de q PIC esta elevada

A

cefalea
Náusea
Vomito

How well did you know this?
1
Not at all
2
3
4
5
Perfectly
10
Q

imagen para no comunicante

A

RM
TC
USG

How well did you know this?
1
Not at all
2
3
4
5
Perfectly
11
Q

Mejor imagen para ver LCR x obstrucción

A

RM

How well did you know this?
1
Not at all
2
3
4
5
Perfectly
12
Q

q se ve en RM no comunicante

A

dilatación proximal a la obstrucción

How well did you know this?
1
Not at all
2
3
4
5
Perfectly
13
Q

la comunicante a quien involucra

A

a todos los ventriculos y la no solo a algunos

How well did you know this?
1
Not at all
2
3
4
5
Perfectly
14
Q

en la comunicante la obstrucción del flujo del LCR es a nivel de

A

cisternas basales o espacio subaracnoideo

How well did you know this?
1
Not at all
2
3
4
5
Perfectly
15
Q

causa mas comun de la comunicante

A

HAS

How well did you know this?
1
Not at all
2
3
4
5
Perfectly
16
Q

otras causas de la comunicante

A

meningitis supurativas
Exudados inflamatorios neoplasicos

17
Q

patología de la comunicante

A

hemorragia->fbrosis->obstruccion espacio subaracnoideo

18
Q

Porq hay fibrosis en la comunicante

A

x q no permite q se absorbe e LCR

19
Q

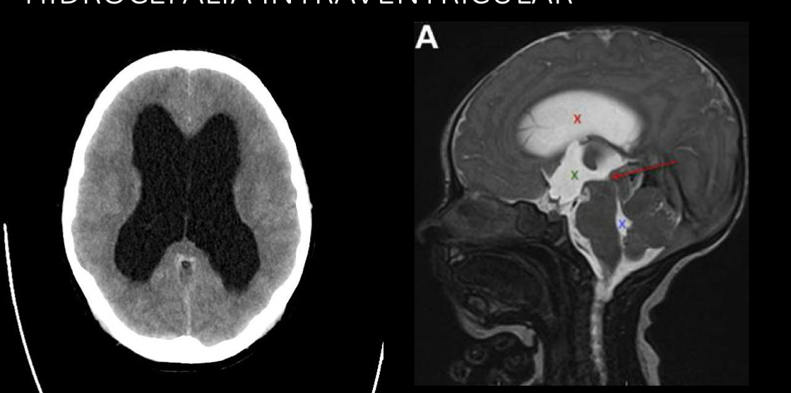
Q tipo tiene

A

NO comunicante

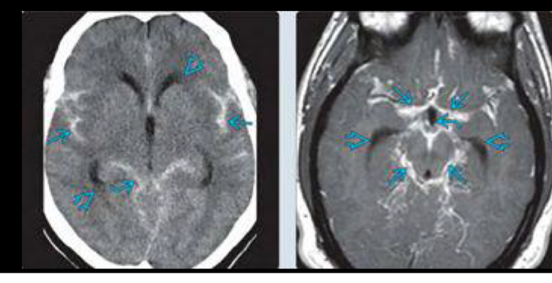
20
Q

Q tipo y causa

A

Intraventricular
Estenosis acueducto de Silvio

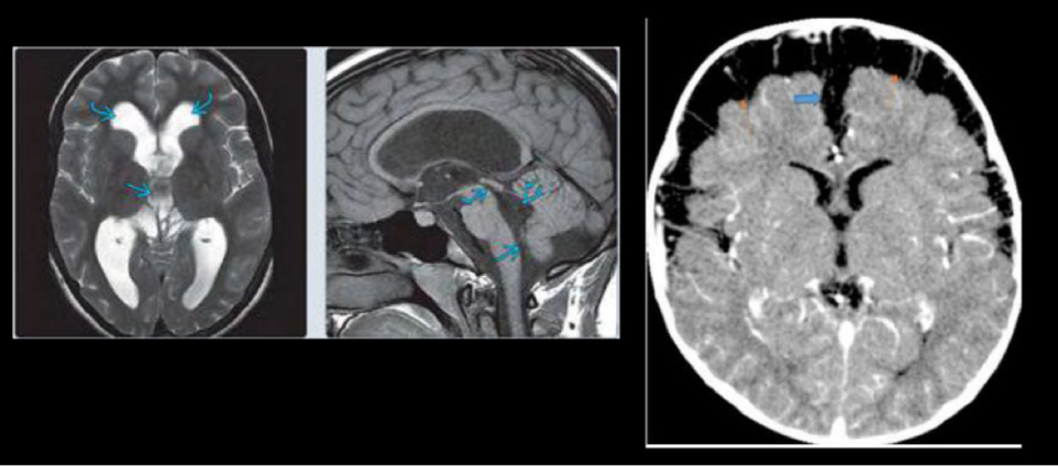
21
Q

Tipo

A

intraventricular

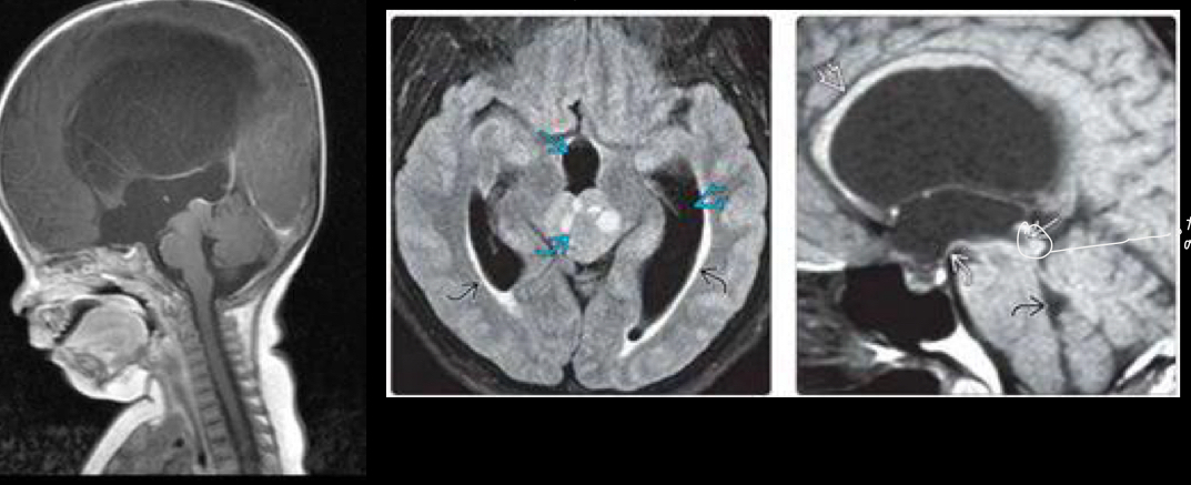
22
Q

Tipo

A

extra ventricular

23
Q

Tipo

A

extra ventricular

24
Q

Tipo

A

extra ventricular