Osteomastoiditis Flashcards

(10 cards)

1
Q

Que es

A

Infeccion de la apofisis mastoides q puede ser aguda o cronica

How well did you know this?
1
Not at all
2
3
4
5
Perfectly
2
Q

Como es cronica

A

se complica con resorcion osea y desminerilizacion

How well did you know this?
1
Not at all
2
3
4
5
Perfectly
3
Q

comunmente se presenta en

A

niños

How well did you know this?
1
Not at all
2
3
4
5
Perfectly
4
Q

Asociada o complicacion de

A

otitis

How well did you know this?
1
Not at all
2
3
4
5
Perfectly
5
Q

mejor estudio dx

A

tc

How well did you know this?
1
Not at all
2
3
4
5
Perfectly
6
Q

mejor pista dx

A

opacificacion de las celdillas mastoideas mas coleccion de liquido

How well did you know this?
1
Not at all
2
3
4
5
Perfectly
7
Q

q se ve en tc

A

opacificacion de celdillas mastoideas mas coleccion
Cronico: esclerodiploico(engrosamiento oseo)

How well did you know this?
1
Not at all
2
3
4
5
Perfectly
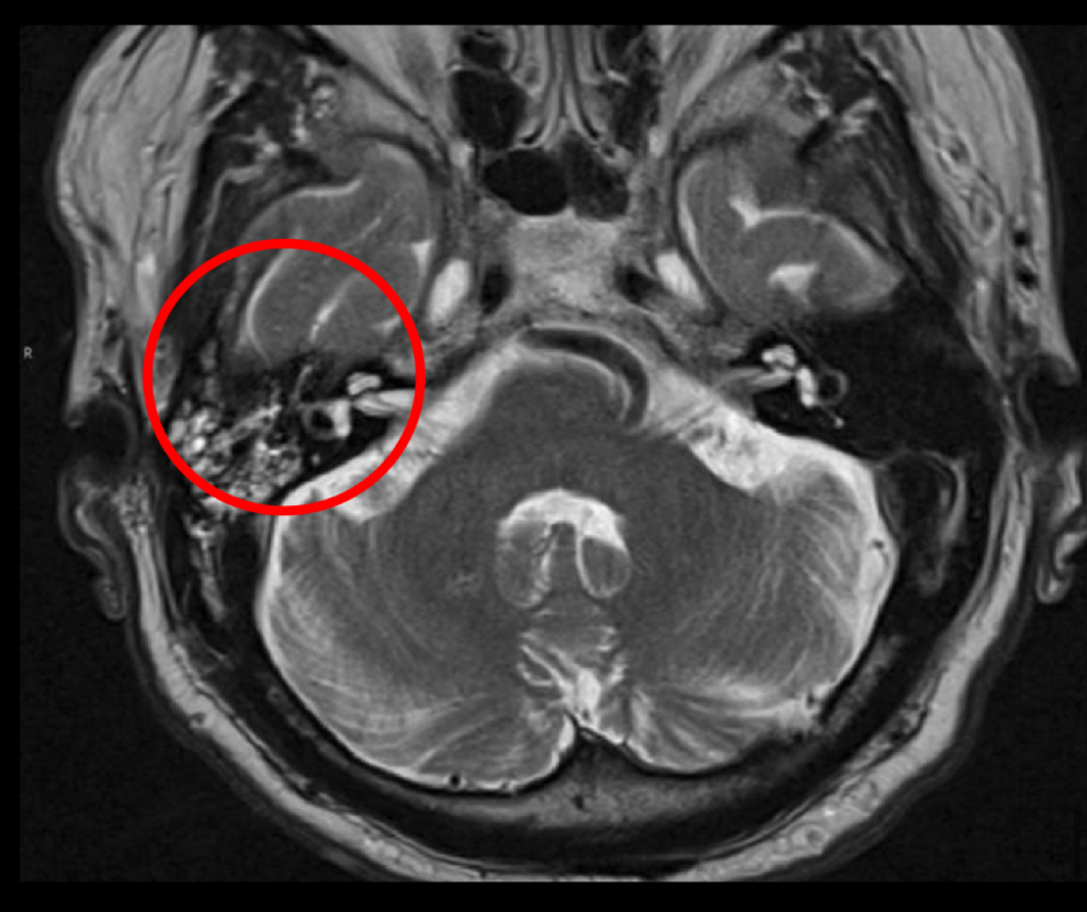
8
Q

como se ven los abscesos en tc opacificacion

A

pueden involucrar ECM(BEZOLD)
Pueden extenderse a fosa posterior y fosa craneal media

How well did you know this?
1
Not at all
2
3
4
5
Perfectly
9
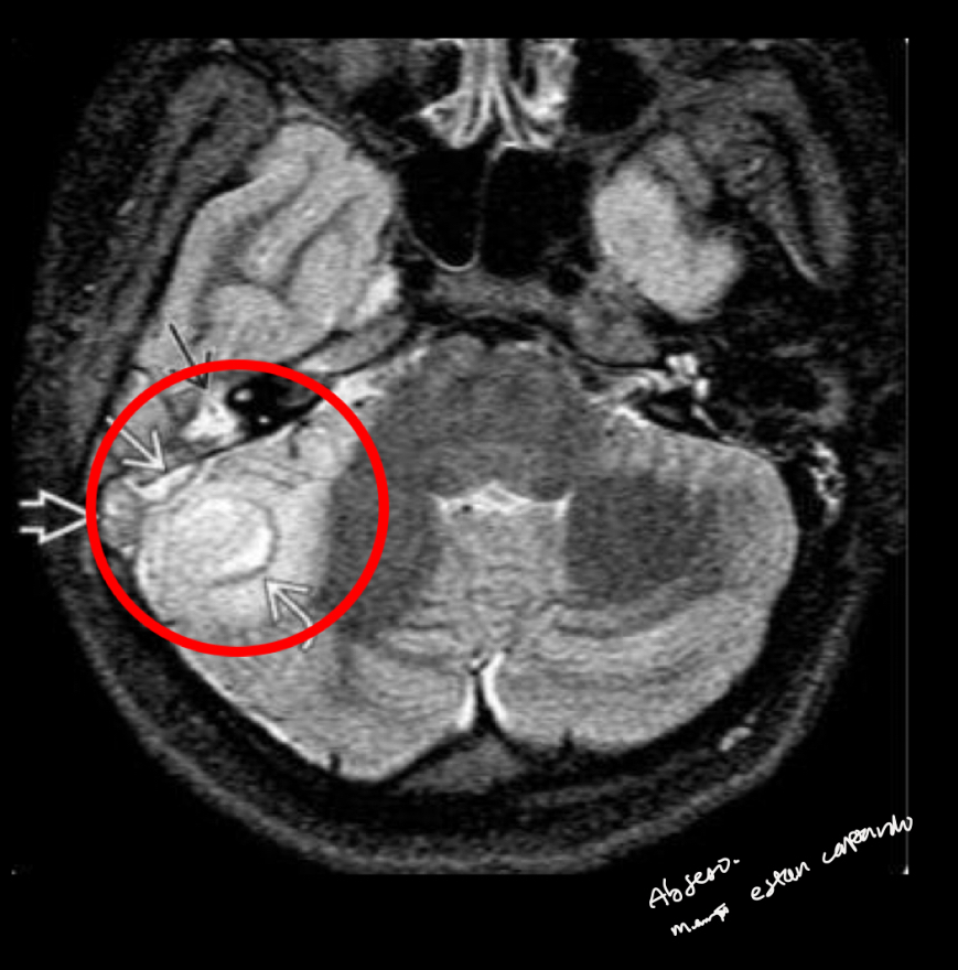
Q

Utilidad rm

A

ver extension intracraneal

How well did you know this?
1
Not at all
2
3
4
5
Perfectly
10
Q

en t2 q se ve

A

hiperseñal
Disminucion de señal en seno signoide
Capta contraste

How well did you know this?
1
Not at all
2
3
4
5
Perfectly