Conducto arterioso persistente Flashcards

(4 cards)

1
Q

Q se ve en rx

A

cortocircuito pequeño:normal
Cardiomegalia
Dilatacion arteria pulmonar
Incremento vasculatura pulmonar parahiliar

How well did you know this?
1
Not at all
2
3
4
5
Perfectly
2
Q

Datos de hipertension

A

corramiento ventana aortopulmonar
Arteria pulmonar drch engrosada
Cardiomegalia en caso cronico. En niños mas de 0.6

How well did you know this?
1
Not at all
2
3
4
5
Perfectly
3
Q
A
How well did you know this?
1
Not at all
2
3
4
5
Perfectly
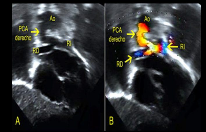
4
Q

Dx

A

eco cardio

How well did you know this?
1
Not at all
2
3
4
5
Perfectly