EPOC Flashcards

(31 cards)

1
Q

El EPOC es un proceso

A

obstructivo y restrictivo

How well did you know this?
1
Not at all
2
3
4
5
Perfectly
2
Q

Cx

A

disnea
Tos crónica
Esputo
Sibilancias
Dolor torácico

How well did you know this?
1
Not at all
2
3
4
5
Perfectly
3
Q

Es la inflamación de paredes con moco lo q causa una obstrucción del flujo

A

bronquitis crónica

How well did you know this?
1
Not at all
2
3
4
5
Perfectly
4
Q

Que se ve en RX y TC de bronquitis crónica

A

patrón intersticial grueso
Imagen riel o tranvía
Manguitos peribronquiales

How well did you know this?
1
Not at all
2
3
4
5
Perfectly
5
Q

De q nos habla la imagen riel o tranvía

A

inflamación de pared bronquial
Bronquiectasia

How well did you know this?
1
Not at all
2
3
4
5
Perfectly
6
Q

De q nos habla y como se ven los manguitos peribronquiales

A

Engrosamiento visto de frente
Mancha blanca con punto negro en medio
Inflamación

How well did you know this?
1
Not at all
2
3
4
5
Perfectly
7
Q

Que es el rompimiento de paredes de alveolo y se unen y forman muchas bullas

A

enfisema

How well did you know this?
1
Not at all
2
3
4
5
Perfectly
8
Q

Que se ve en la RX de enfisema

A

aplanamiento diafragma
Menos marcas broncovasculares periféricas
Hiperlucidez pulmonar
Bullas
Corazón en gota

How well did you know this?
1
Not at all
2
3
4
5
Perfectly
9
Q

Porq hay aplanamiento de diafragma en enfisema

A

x hiperexpansion

How well did you know this?
1
Not at all
2
3
4
5
Perfectly
10
Q

Porq hay menos marcas broncovasculares periféricas en enfisema

A

Porq la vascularidad no se ve tanto

How well did you know this?
1
Not at all
2
3
4
5
Perfectly
11
Q

Porq en el enfisema el pulmón se ve negro

A

x las bullas

How well did you know this?
1
Not at all
2
3
4
5
Perfectly
12
Q

Como se ve un corazón en gota

A

como caído

How well did you know this?
1
Not at all
2
3
4
5
Perfectly
13
Q

Para q sirve la TC en enfisema

A

diagnostico y distinguir la distribución

How well did you know this?
1
Not at all
2
3
4
5
Perfectly
14
Q

Q se puede ver en la TC para enfisema

A

distribución
Engrosamiento bronquial
Atrapamiento de aire

How well did you know this?
1
Not at all
2
3
4
5
Perfectly
15
Q

cuando se ve un patrón de enfisema panlobulillar

A

cuando hay deficiencia de alfa 1 antitripsina

How well did you know this?
1
Not at all
2
3
4
5
Perfectly
16
Q

Cuando se ve un patrón de enfisema centrolobulillar y paraseptal

A

px con EPOC fumador

17
Q

Que pasa si la salida del diafragma esta mas por abajo del espacio 10

A

esta hiperinsuflado

18
Q

Que se ve cuando hay diafragma hiperinsuflado

A

mayor espacio intercostal
Arcos intercostales
Aplanamiento de diafragma

19
Q

Si hay vidrio despullido mas empedrado loco q hay

A

proteinosis alveolar

20
Q

Si hay patrón de empedrado loco en q pensamos

A

COVID avanzado
Pneumocysti j
Proeinosisi alveolar

21
Q

A quienes principalmente les da penumocysti j

A

inmunosuprimidos

22
Q

A quienes les d aproteinosis alveolar

A

Px fumador
Inf o no

23
Q

Que es y como sabes

A

RX de enfisema x q hay hiperlucidez pulmonar
Se señala el corazón en GOTA

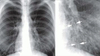
24
Q

Q tipo de enfisema es

A

Centrolobulillar

25
Q enfisema es
paraseptal
26
Que enfisema es
panlobulillar
27
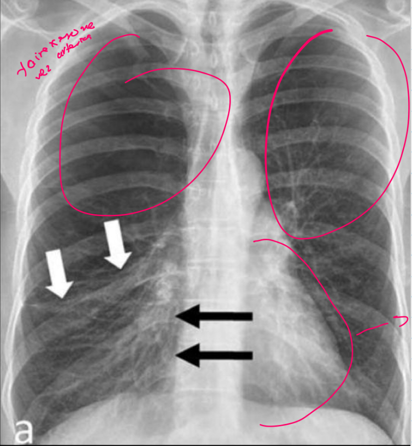
Que es y como sabes
bronquitis crónica Señala el sign del manguito peribronquiales->mancha blanca con punto negro
28
Q enfisema es
Centrolobulillar
29
Q enfisema es
Panlobulillar
30
Q enfisema es
paraseptal
31
Q es y como sabes
bronquitis crónica x la imagen en tranvía q habla de bronquiectasia