Tuberculosis Flashcards

(22 cards)

1
Q

Xq bacteria es

A

mycobacteria tuberculosis

How well did you know this?
1
Not at all
2
3
4
5
Perfectly
2
Q

Sx constitutivos

A

fiebre
Pérdida de peso
Sudoración nocturna

How well did you know this?
1
Not at all
2
3
4
5
Perfectly
3
Q

Mayor riesgo de TB

A

drogas y hacinamiento

How well did you know this?
1
Not at all
2
3
4
5
Perfectly
4
Q

Dx por imagen q se usa

A

RX y TC

How well did you know this?
1
Not at all
2
3
4
5
Perfectly
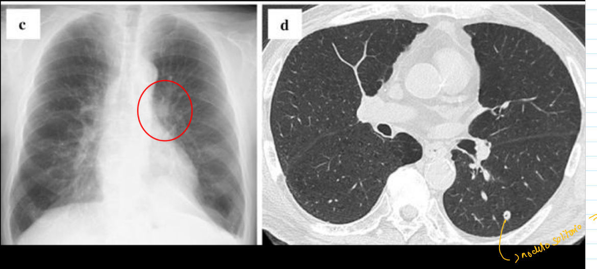
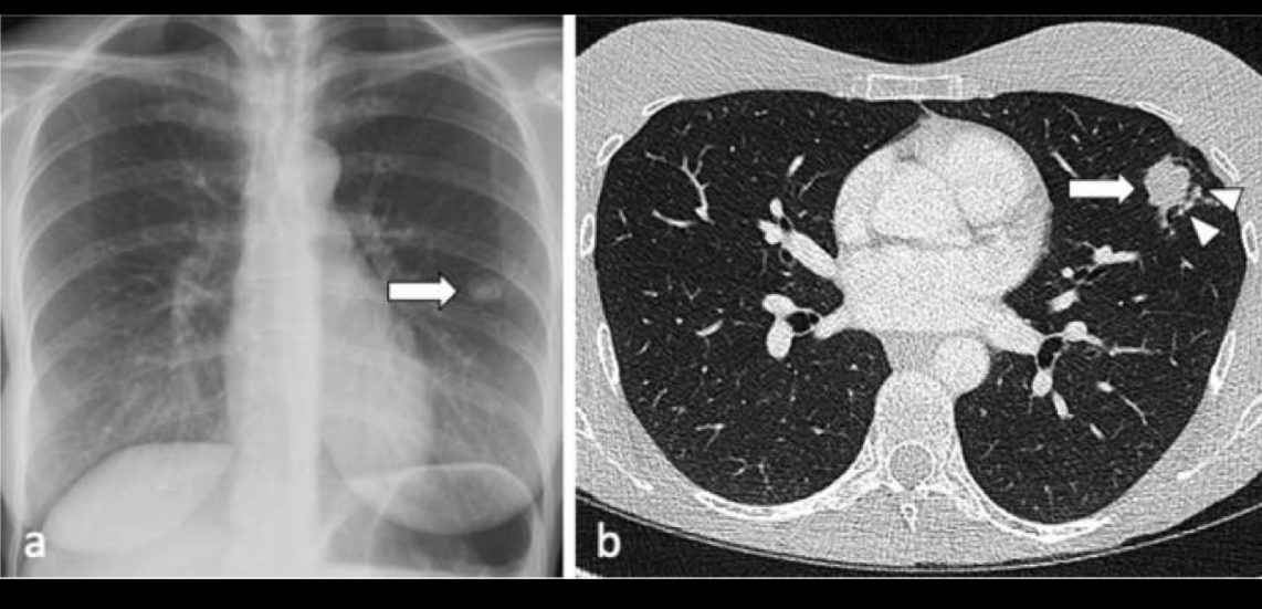
5
Q

Que se ve en la primoinfecion

A

Nódulo solitario

How well did you know this?
1
Not at all
2
3
4
5
Perfectly
6
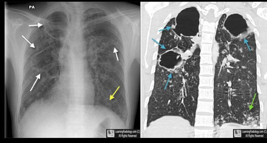
Q

Que se ve en la reactivación

A

consolidación parcheada
Cavitaciones

How well did you know this?
1
Not at all
2
3
4
5
Perfectly
7
Q

Que se ve en la miliar

A

muchos nódulos pequeños
Es rara y peor pronostico

How well did you know this?
1
Not at all
2
3
4
5
Perfectly
8
Q

Q piensas si ves árbol en brote o miliar

A

tb en inmunosuprimidos
Q es x vía hematogena
Puede ser febril o no

How well did you know this?
1
Not at all
2
3
4
5
Perfectly
9
Q

Si ves a un px con muchas costras en q piensas

A

neumonía asociada a varicela

How well did you know this?
1
Not at all
2
3
4
5
Perfectly
10
Q

Patrón miliar da metástasis a

A

1: tiroides
2: renal
3: mama

How well did you know this?
1
Not at all
2
3
4
5
Perfectly
11
Q

Patrones q se ven en RX y TC

A

primoinfecion
Reactivación
Miliar

How well did you know this?
1
Not at all
2
3
4
5
Perfectly
12
Q

Si ves calcificaciones en periferia o anillo

A

1: TB
2: Linfoma
3: sarcoidosis

How well did you know this?
1
Not at all
2
3
4
5
Perfectly
13
Q

si ves un nódulo solitario en q piensas

A

CÁNCER

How well did you know this?
1
Not at all
2
3
4
5
Perfectly
14
Q

SI VES cavernas en q piensas

A

1: tb
2: cancer

How well did you know this?
1
Not at all
2
3
4
5
Perfectly
15
Q

ToS x 2 semanas q piensas

A

tb

How well did you know this?
1
Not at all
2
3
4
5
Perfectly
16
Q

si hay ganglios calcificados y nódulo en q piensas

17
Q

Complejo de Ranke

A

nódulo de ghon q se asocia a ganglios calcificados en mediastino
Se ve en la reactivación

18
Q

que es

19
Q

que es y como sabes

A

Tb x nódulo de ghon

20
Q

que es y Como sabes

A

tb en inmunosuprimidos
Se ve el árbol en brote o miliar

21
Q

Que patrón de tb es

22
Q

q es y como sabes

A

Tb x las cavernas de aire