Esclerosis múltiple Flashcards

(16 cards)

1
Q

Que es

A

enf desmielinizante degenerativa

How well did you know this?
1
Not at all
2
3
4
5
Perfectly
2
Q

es la enf discapacitante de SNC mas comun en

A

adulto joven

How well did you know this?
1
Not at all
2
3
4
5
Perfectly
3
Q

Causa

A

autoinmune o viral

How well did you know this?
1
Not at all
2
3
4
5
Perfectly
4
Q

Cx

A

neuritis óptica aguda
Debilidad
Demencia
Parestesia, entumecimiento
Alt marcha

How well did you know this?
1
Not at all
2
3
4
5
Perfectly
5
Q

Dx

A

Cx mas imagen

How well did you know this?
1
Not at all
2
3
4
5
Perfectly
6
Q

mejor de imagen

A

RM

How well did you know this?
1
Not at all
2
3
4
5
Perfectly
7
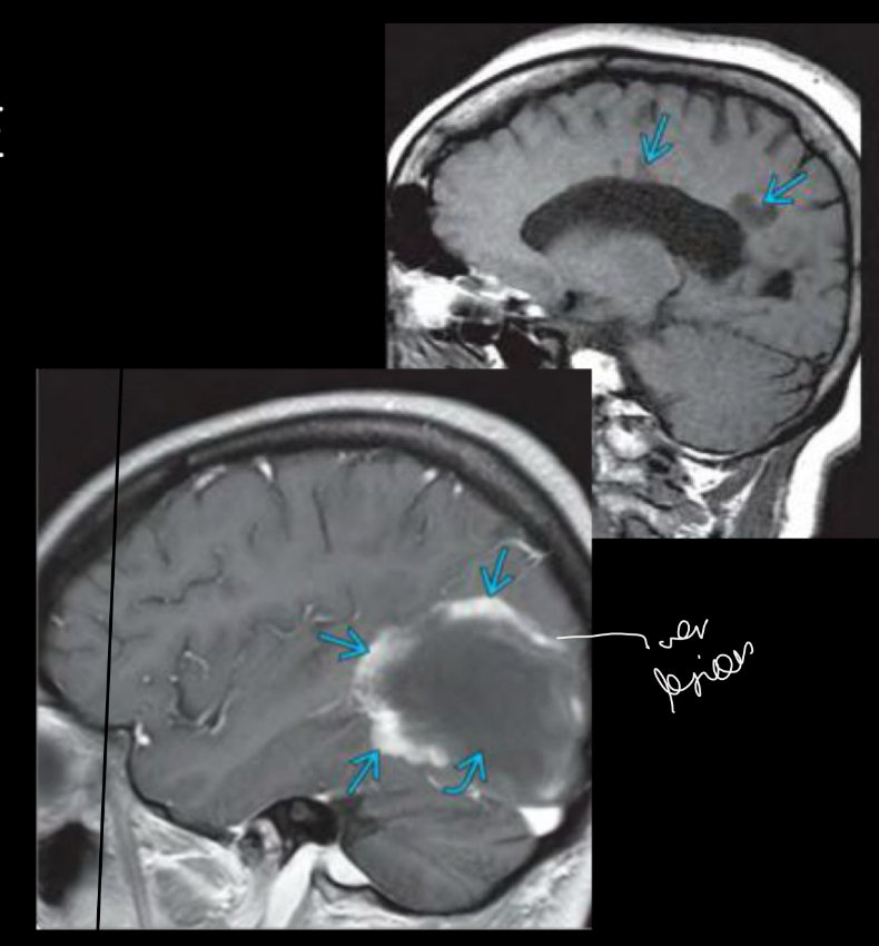
Q

q ves en imagen

A

hiperintensidades calloseptales en T2 Y FLAIR
Peque, lineales, ovoide
Periventriculares
Dedos dawson

How well did you know this?
1
Not at all
2
3
4
5
Perfectly
8
Q

en q plano ves DEDOS DAWSON EXAMEN

A

Plano sagital

How well did you know this?
1
Not at all
2
3
4
5
Perfectly
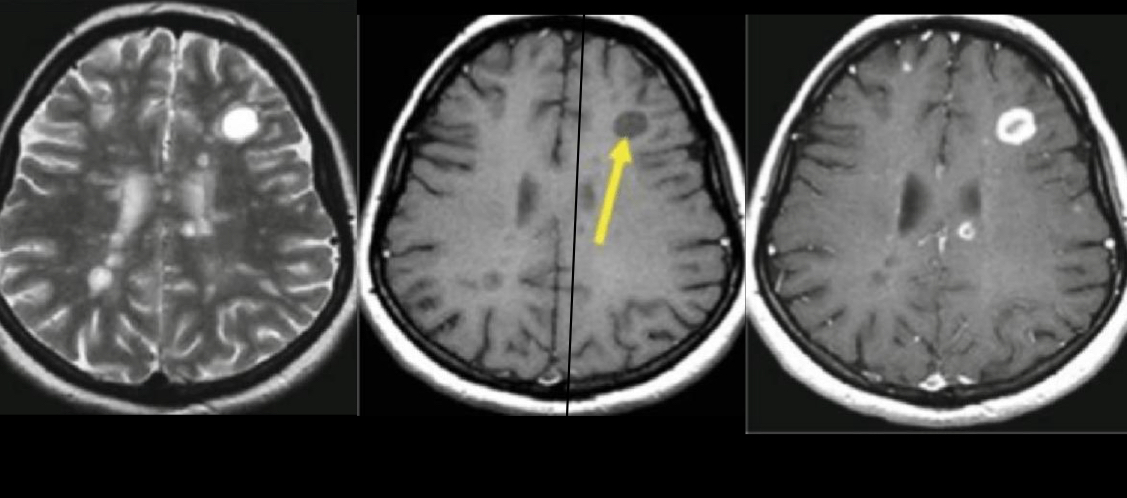
9
Q

en t1 q verías

A

hipointenso-> BLACK HOLES: crónica

How well did you know this?
1
Not at all
2
3
4
5
Perfectly
10
Q

Para q se usa t1 mas galodinio

A

ver captación: aguda: activa

How well did you know this?
1
Not at all
2
3
4
5
Perfectly
11
Q

involucra a la medula esta enf

A

yes queen

How well did you know this?
1
Not at all
2
3
4
5
Perfectly
12
Q

En q edad hay pico y en quien es mas comun

A

mujer mas
Pico a los 30
20-40

How well did you know this?
1
Not at all
2
3
4
5
Perfectly
13
Q

variantes diagnosticables x RM

A

devic
Balo
Marburg

How well did you know this?
1
Not at all
2
3
4
5
Perfectly
14
Q
A

Dedos de dawson se ven

How well did you know this?
1
Not at all
2
3
4
5
Perfectly
15
Q
A
How well did you know this?
1
Not at all
2
3
4
5
Perfectly