EVC Flashcards

(47 cards)

1
Q

% isquémico y hemorragico

A

i: 80%
H: 20%

How well did you know this?
1
Not at all
2
3
4
5
Perfectly
2
Q

q es el ictus

A

deficit neurologico d inicio súbito x causa vascular

How well did you know this?
1
Not at all
2
3
4
5
Perfectly
3
Q

2da causa d muerte

A

evc

How well did you know this?
1
Not at all
2
3
4
5
Perfectly
4
Q

imagen

A

TC y RM

How well did you know this?
1
Not at all
2
3
4
5
Perfectly
5
Q

porque se da el isquémico

A

tromboembolismo->disec arterial->menos perfusion
Interrupción flujo->necrosis licuefactiva

How well did you know this?
1
Not at all
2
3
4
5
Perfectly
6
Q

Q es la penumbra

A

tejido con menos sangre

How well did you know this?
1
Not at all
2
3
4
5
Perfectly
7
Q

q es el core

A

centro de evc
Es irreversible

How well did you know this?
1
Not at all
2
3
4
5
Perfectly
8
Q

el isquémico puede volverse hemorragcio?

A

si x reperfusion se frena poros en vaso y sangra

How well did you know this?
1
Not at all
2
3
4
5
Perfectly
9
Q

fases q se ven en TC del isquémico

A

hiperaguda
Aguda
Subaguda
Crónica

How well did you know this?
1
Not at all
2
3
4
5
Perfectly
10
Q

características fase hiperaguda EVC isquémico

A

0-6hrs
Hasta 60% sin datos s
ACM hiperdensa
Signo cintura insular

How well did you know this?
1
Not at all
2
3
4
5
Perfectly
11
Q

de q nos habla el signo de cintura insular

A

perdida de diferencia entre sustancia gris y blanca

How well did you know this?
1
Not at all
2
3
4
5
Perfectly
12
Q

características fase aguda EVC isquémico

A

7-24hrs
Edema
Borramiento giros y surcos->checa ventriculos y giros

How well did you know this?
1
Not at all
2
3
4
5
Perfectly
13
Q

características fase subaguda evc isquemico

A

24-72hrs
-edema
Mas hipodensidad
Pseudonormalizacion: fenómeno de empañamiento->parece normal

How well did you know this?
1
Not at all
2
3
4
5
Perfectly
14
Q

características fase crónica de evc isquemico

A

meses-años
Encefalomalacia
Hipodensidad->densidad liquido: se ve como ventrículos
Efecto masa

How well did you know this?
1
Not at all
2
3
4
5
Perfectly
15
Q

q es encefalomacia

A

cerebro ya es agua líquada

How well did you know this?
1
Not at all
2
3
4
5
Perfectly
16
Q

porq hay efecto de masa en fase crónica evc isquemico

A

retracion ventriculos

How well did you know this?
1
Not at all
2
3
4
5
Perfectly
17
Q

Otras técnicas imagen para evc isquemico

A

perfuTC
AngioTC

How well did you know this?
1
Not at all
2
3
4
5
Perfectly
18
Q

q evalúa perfuTC para evc isquemico

A

core y penumbra

How well did you know this?
1
Not at all
2
3
4
5
Perfectly
19
Q

q evalúa angioTC para evc isquemico

A

vaso trombosado y colaterales

20
Q

Características de RM para evc isquemico

A

alta sensibilidad y especificidad en fase aguda

21
Q

q permite detectar secuencia de difusión de RM

A

infarto en minutos evc isquemico

22
Q

tipos evc hemorragico

A

hemorragia intraparenquimatosa y subaracnoidea

23
Q

como se ve la sangre fresca en TC

24
Q

causas evc hemorragico

A

hipertensiva
Aneursmas
Trombosis venosa
Neoplasias

25
Causa mas comunes evc hemorragico
hipertensiva x los ganglios basales xq hay muchos vasos super peques
26
en quienes se dan mas los aneurismas
Px joven
27
q se puede ver con la angioTC en evc hemorrragico
aneurisma y MAVS
28
la has q signo da
falso realce
29
escala para evc hemorragico
FISHER
30
Q es cada nivel d escala fisher
1: no sangrado evidente 2: sangre difusa fina, capa <1mm 3: coágulo grueso cisternal >1mm 4: hematoma parenquimatoso, hemorragia intraventricular, sangrado difuso
31
En el grado 4 de escala de fisher hay q porcentaje de riesgo vasoespasmo
37%
32
rm para evc hemorragico
NO SIRVE hemorragia aguda Residuos crónico Estado degradación hemoglobina
33
algoritmo apréndetelo
34
Imagen primera elección para diferenciar entre si es hemorragico o isquemico
TC
35
para q sirve la RM aquí en general
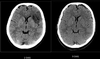
realizar seguimiento
36
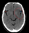
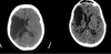
Que signo es el q se ve y de q tipo nos habla
ACM EVC isquemico en fase hiperaguda
37
Q es
evc isquemico
38
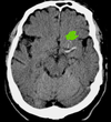
Q es y en q fase
evc isquemico en fase aguda x borramiento surcos
39
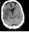
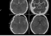
Q es
evc isquemico No se ven giros ni surcos
40
Como sabes q hay un evc isquemico
se ve hipodenso
41
Q evc isquemico es
subagudo Hay pseudo normalización
42
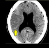
En q fase esta y pq
subagudo hay mas hipodensidad y menos edema
43
En q fase de evc isquemico es
crónica ya hay efecto de masa negativo
44
Fase evc isquemico
cronico
45
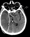
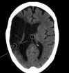
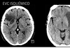
Q evc es y porque
hemorragico X HSA signo falso realce
46
Ve la escala de fisher y para q es
clasificar hemorragia subaracnoidea
47
Tipo evc
Hemorragico Falso realce