Osteosarcoma Flashcards

(14 cards)

1
Q

Es el tumor maligno mas comunes productor de matriz osteoide

A

siii super destructivo

How well did you know this?
1
Not at all
2
3
4
5
Perfectly
2
Q

en q parte del hueso es mas comun el osteosarcoma

A

metafisis de huesos largos

How well did you know this?
1
Not at all
2
3
4
5
Perfectly
3
Q

en q edad es mas comun el osteosarcoma

A

jovenes 2da decada y mas comun en hombres

How well did you know this?
1
Not at all
2
3
4
5
Perfectly
4
Q

Clinica del osteosarcoma

A

dolor
Masa de tejidos blandos
Edema
Asoc a fx patologica

How well did you know this?
1
Not at all
2
3
4
5
Perfectly
5
Q

Localizacion mas frec del osteosarcoma

A

Mas frecuente en femur distal y tibia proximal

How well did you know this?
1
Not at all
2
3
4
5
Perfectly
6
Q

que le parte del cuerpo encanta al osteosarcoma

A

rodilla

How well did you know this?
1
Not at all
2
3
4
5
Perfectly
7
Q

a donde le gusta hacer metastasis al osteosarcoma

A

pulmon

How well did you know this?
1
Not at all
2
3
4
5
Perfectly
8
Q

q se ve en rx de osteosarcoma

A

destruccion osea
Reac periostica:
-rayos de sol
-piel de cebolla
-traingulo de codman
Masa de tejidos blandos

How well did you know this?
1
Not at all
2
3
4
5
Perfectly
9
Q

Q se ve y para q sirve tc de osteosarcoma

A

se ve lo mismo q rx
- Para biopsia y estadificacion
- detectar Metastasis a pulmon

How well did you know this?
1
Not at all
2
3
4
5
Perfectly
10
Q

Q podemos ver

A

rayos de sol: reac periostica

How well did you know this?
1
Not at all
2
3
4
5
Perfectly
11
Q

q se ve q tiene

A

Engrosamiento de la cortical
Reac periostica: como q se levanta el periostico
Triangulo de codman

How well did you know this?
1
Not at all
2
3
4
5
Perfectly
12
Q

Q se ve y para q sirve rm

A

estadificacion
Determinar conservacion de extremidad
Extension intraosea y a tejido blando
Contraste

How well did you know this?
1
Not at all
2
3
4
5
Perfectly
13
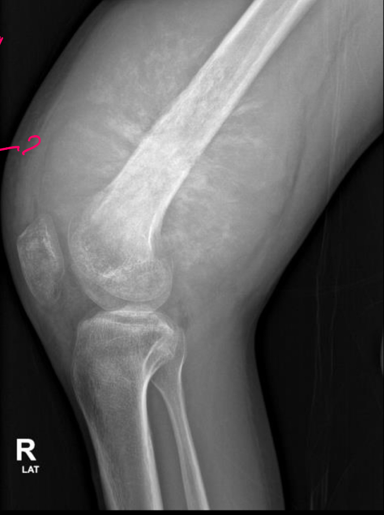
Q

Q tiene

A

Osteosarcoma y FX en condilo lat

How well did you know this?
1
Not at all
2
3
4
5
Perfectly
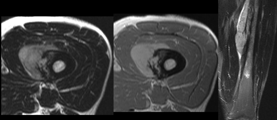
14
Q

Otro ejemplos de osteosarcoma

A
How well did you know this?
1
Not at all
2
3
4
5
Perfectly