CT Flashcards

(28 cards)

1
Q

Systematisk gennemgang af CT:

  1. Patientidentifikation:
    1) Modalitet og skanningsområde: fx CT thorax og abdomen
    2) Kontrastfase: med/uden kontrast (i.v. eller p.o.), én eller flere faser (tom/arteriel/venøs)
    3) Plan: aksial (transversal) / coronal (frontalt) / sagittal (longitudinal)
    4) Skanningsvindue: bløddelsvindue / lungevindue / knoglevindue / anden
  2. Systematisk gennemgang af organer/strukturer
  3. Konklusion / Diagnose
A
How well did you know this?
1
Not at all
2
3
4
5
Perfectly
2
Q

Kontrastfaser:
- De fleste CT-skanninger er venøse. CTC bruger dog tom-skanning pga. blødningsmistanke
- Aorta og nyrernes kontrastopladning kan bruges til at skelne mellem de forskellige kontrastfaser

  • Tom-kontrastfase: 1
  • Arteriel-kontrastfase: 2
  • Venøse-kontrastfase: 3
A

1: ingen kontrast (fx CTC)
2: tydelig lys aorta
3: mere ensartede (lyse) nyrer

How well did you know this?
1
Not at all
2
3
4
5
Perfectly
3
Q

Skanningsorientering – Planer:
- Aksial (transversal): op/ned
- Coronal (frontalt): for/bag
- Sagittal (longitudinal): højre/venstre

A
How well did you know this?
1
Not at all
2
3
4
5
Perfectly
4
Q

Skanningsvindue:
- De fleste CT-skanninger er i bløddelsvindue

  • Bløddelsvindue: altid
  • Lungevindue: ved thorax
  • Knoglevindue: ved traume / mistanke om knoglepatologi
A
How well did you know this?
1
Not at all
2
3
4
5
Perfectly
5
Q

Nævn basale organer på CT:

A
How well did you know this?
1
Not at all
2
3
4
5
Perfectly
6
Q

Nævn basale organer på CT:

A
How well did you know this?
1
Not at all
2
3
4
5
Perfectly
7
Q

Akut appendicitis:

A
How well did you know this?
1
Not at all
2
3
4
5
Perfectly
8
Q

Diagnose?

A

Akut appendicitis

How well did you know this?
1
Not at all
2
3
4
5
Perfectly
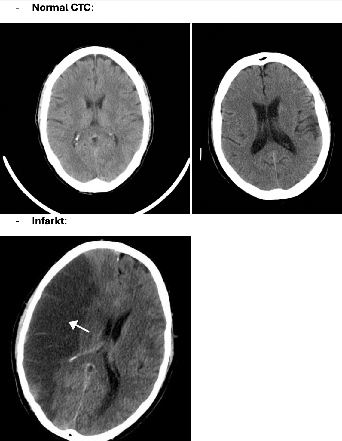
9
Q

Infarkt (apopleksi/TCI):

A
How well did you know this?
1
Not at all
2
3
4
5
Perfectly
10
Q

Diagnose?

A

Infarkt (apopleksi/TCI)

How well did you know this?
1
Not at all
2
3
4
5
Perfectly
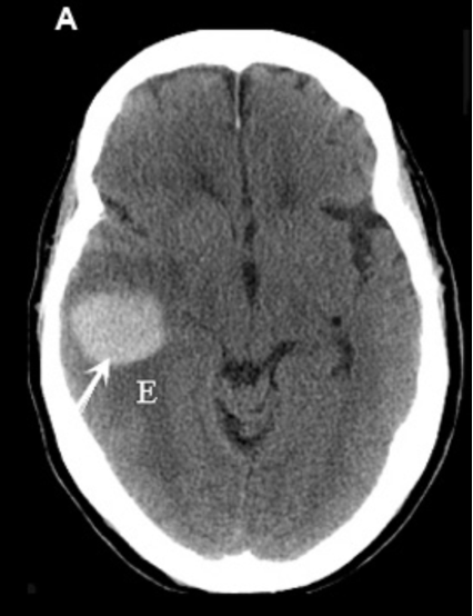
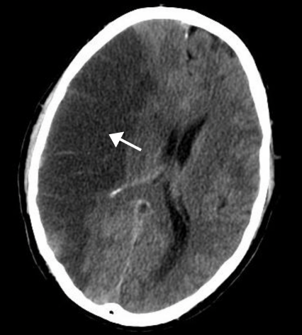
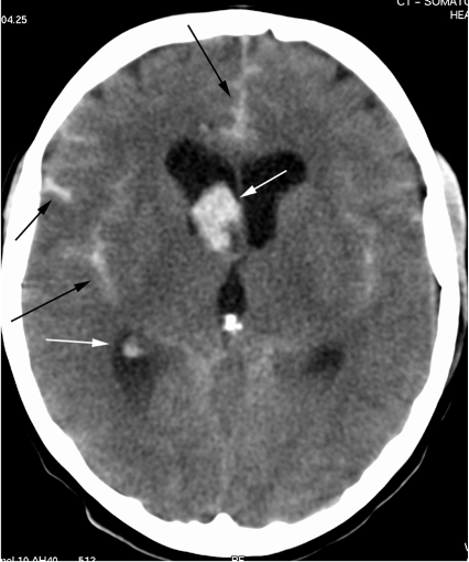
11
Q

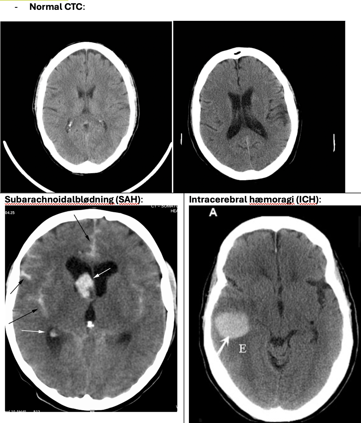
Hjerneblødning:

A
How well did you know this?
1
Not at all
2
3
4
5
Perfectly
12
Q

Diagnose?

A

Subarachnoidalblødning (SAH)

How well did you know this?
1
Not at all
2
3
4
5
Perfectly
13
Q

Diagnose?

A

Intracerebral hæmoragi (ICH)

How well did you know this?
1
Not at all
2
3
4
5
Perfectly
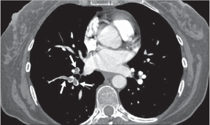
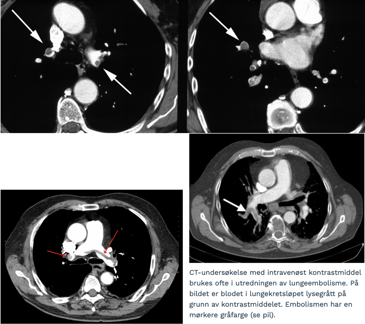
14
Q

Lungeemboli:
- Embolier (mørke) omsluttet af blod (lyst)

A
How well did you know this?
1
Not at all
2
3
4
5
Perfectly
15
Q

Diagnose?

A

Lungeemboli

How well did you know this?
1
Not at all
2
3
4
5
Perfectly
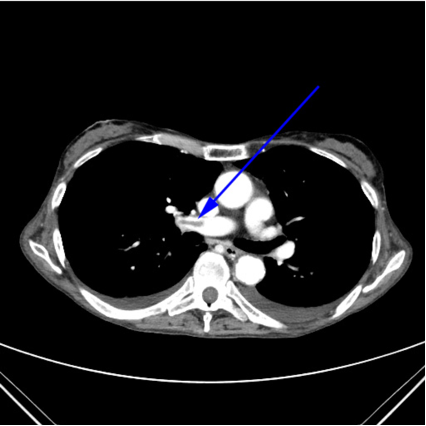
16
Q

Diagnose?

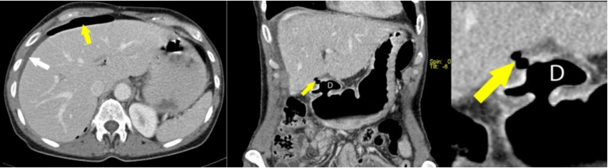
17
Q

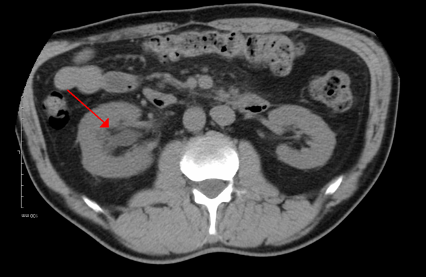
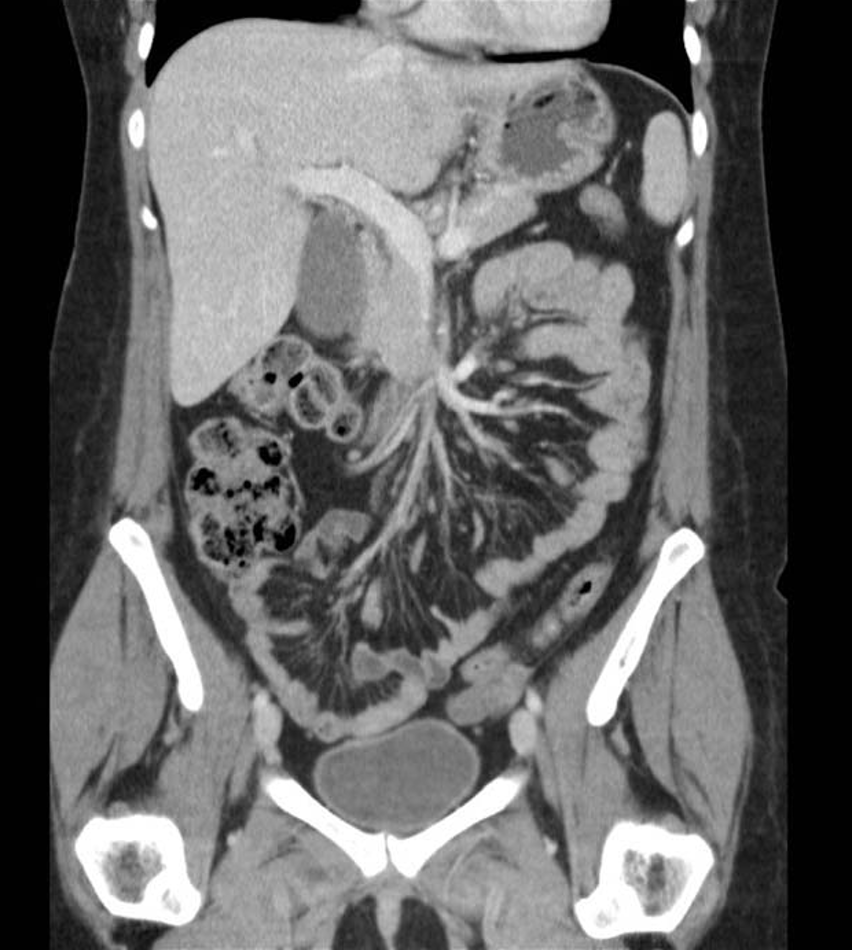
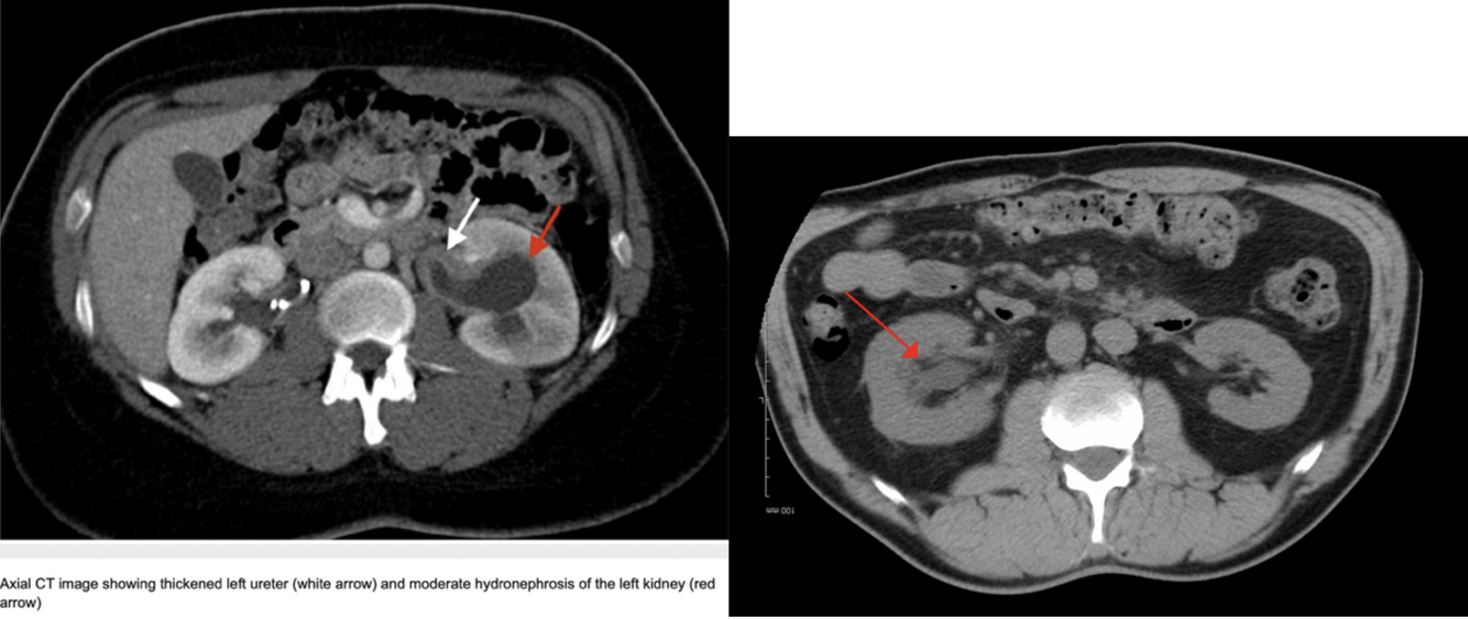
Hydronefrose:

18
Q

Diagnose?

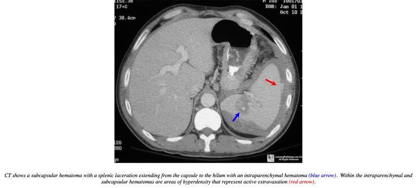
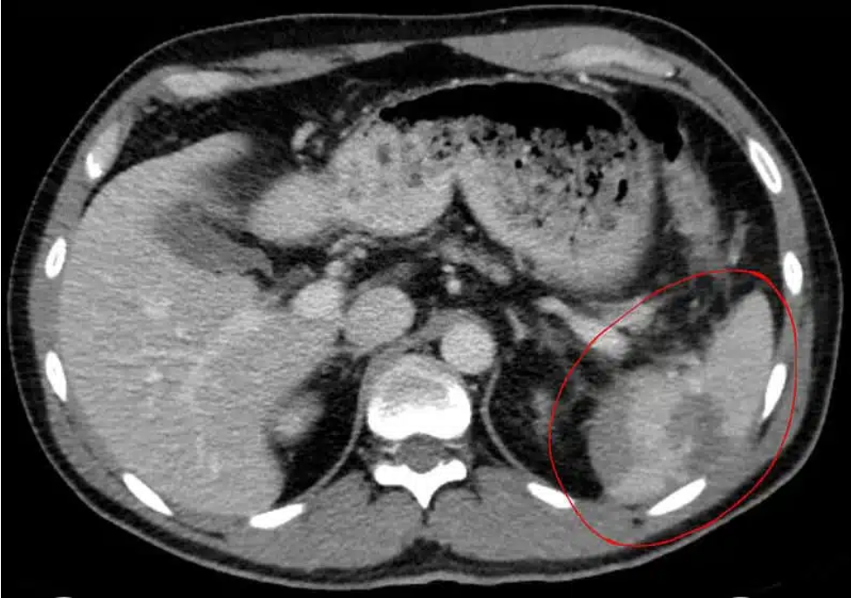
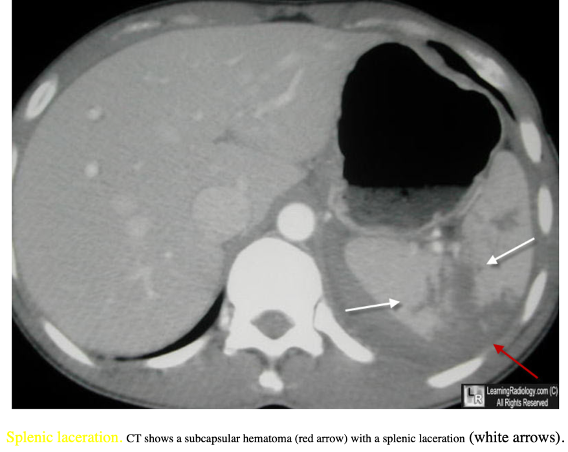
19
Q

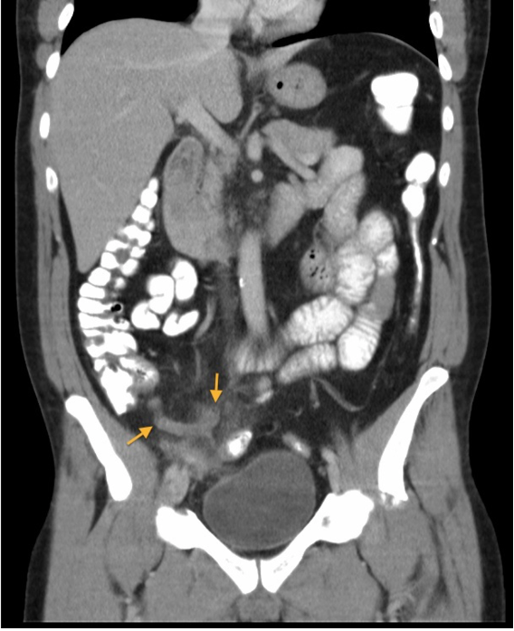
Miltraume:

20
Q

Diagnose?

21
Q

Perforeret ulcus:

A

Perforeret ulcus:

22
Q

Diagnose?

A

Perforeret ulcus

23
Q

Lungecancer:

24
Q

Diagnose?

25
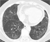
**Lungefibrose**: Karakteristisk: * **Bikagetegning (honeycombing)** (rød pil) * **Traktionsbronkiektasier** (rød cirkel) * Stribeformede fortætninger * Lokalisation: subpleuralt og basalt bilateralt
26
Diagnose?
Lungefibrose
27
**Sarkoidose**: - Uregelmæssige små knuder (granulomer) med hovedsagelig central fordeling
28
Diagnose?
Sarkoidose