Rtg. thorax Flashcards

(35 cards)

1
Q

Systematisk gennemgang af rtg. thorax:

A

Eksempel på beskrivelse:
Rtg. thorax, stående i 2 plan (PA og lateral). Der er normale forhold ved hjerte og mediastinum. Der ses infiltrat basalt i venstre lungefelt, med sløring af diaphragma. Ingen pleurale forandringer. Knogler og bløddele uden patologiske forandringer. Konklusion: foreneligt med venstresidig basal pneumoni

How well did you know this?
1
Not at all
2
3
4
5
Perfectly
2
Q

Systematisk gennemgang af rtg. thorax:

1) Patientidentifikation: navn, CPR, korrekt billede

2) Beskriv modaliteten: rtg. thorax, stående/liggende, planer
* Fx rtg. thorax, stående i 2 plan (PA og lateral)
* Stående rtg.: PA og lateral
* Liggende rtg.: AP
* (Gastric bubble på rtg. thorax –> stående rtg.)
* (Ingen gastric bubble på rtg. thorax –> liggende rtg.)

3) Vurder billedkvalitet:
Eksponering:
- Hvis columna (rygmarven) kan ses –> FIN eksponering
- Hvis columna (rygmarven) IKKE kan ses –> DÅRLIG eksponering
- UNDEReksponeret = lyst
- OVEReksponering = mørkt

Inspiration: pt. skal holde vejret når rtg. thorax tages – skal ses gerne minimum 9 costae (ribben)

Centrering: begge lungefelter skal ses

Positionering: sørg for at rtg. ikke er forvrænget (”skævt”) eller har en unormal form

Overlejring: tjek om der er ting der dækker for dele af lungefelterne (fx pacemaker)

A

4) Systematisk beskrivelse: inside-out approach (starter med centrale strukturer og udvikler sig udad)
Mediastinum: vurder bredde og konturer
- Normalt: smalt mediastium

Hjerte: vurder størrelse
- Normalt: hjerte skal være < 50 % av hele bredden

Hili og Lungekartegning: (lungekartegning = lungekar (blodkar) i lungefeltet)
- Normalt: ve. hilum højere end hø. hilum
- Normalt: karrene i lungerne strækker sig helt lateralt
- Forstørrede, tydelige kar –> obs. lungestase (= tegn på hjertesvigt)
- Manglende perifere kar –> obs. pneumothorax

Kanter af hjerte, diaphragma og pleura:
- Normalt: tydelige kantede linjer
- Uskarpe kanter –> obs. infiltrat, pleuraeffusion (pleuravæske), atelektase

Lungefelter:
- Normalt: costophrenic vinkel skal være tydelig – (ved sløring –> obs. pleuraeffusion (pleuravæske))
- Normalt: hø. diafragmakuppel står højere end ve. diafragmakuppel

Knogler og øvrige bløddele:
- Normalt: 8-10 ribben skal som regel ses (ved inspiration)

(Ekstra: lateral plan/projektion):
- Se efter retrokardialt mørkt rum (“den sorte trekant”) som normalt ligger centralt inferiort – (ved sløring –> obs. pneumoni, pleuraeffusion (pleuravæske))

5) Konklusion og diagnose:
Husk at sammenligne med tidligere optagelser!

Husk altid at sammenholde med klinikken! Fx:
- Pt. har feber –> tænk pneumoni
- Pt. er hjertesyg / har ødem –> tænk stase

Dexter/Dex = HØJRE
Sinister/Sin = VENSTRE

Lokalisation:
- Hø. / Ve.
- Apikalt / Centralt / Basalt

How well did you know this?
1
Not at all
2
3
4
5
Perfectly
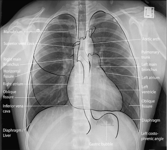
3
Q

Normal rtg. af thorax:
- PA:

A

Normal rtg. af thorax:
- Lateral:

How well did you know this?
1
Not at all
2
3
4
5
Perfectly
4
Q

Pneumothorax:
- Viser en luftlomme med en synlig visceral pleuralinie (konveks mod brystvæggen)

A
How well did you know this?
1
Not at all
2
3
4
5
Perfectly
5
Q

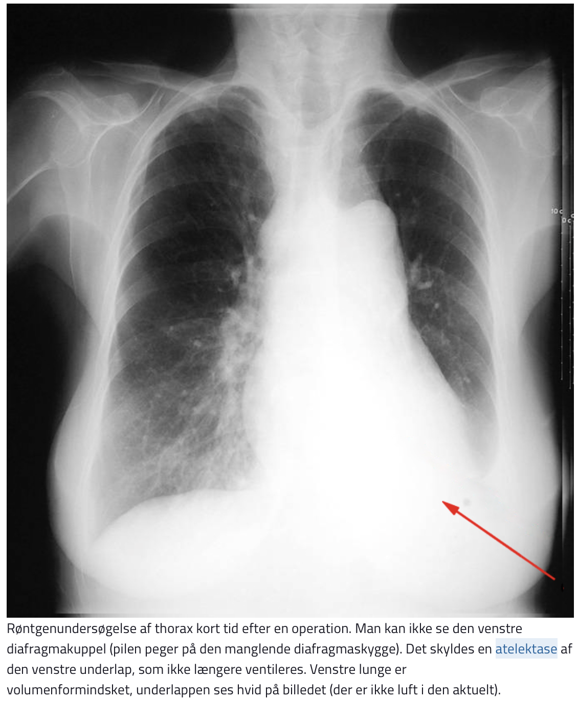
Atelektase:
- Det klassiske billede er en kileformet homogen skygge med spidsen mod hilus – (”unormale linjer”)

A
How well did you know this?
1
Not at all
2
3
4
5
Perfectly
6
Q

Pneumoni:
- Generelt et nytilkommet infiltrat på thorax

A
How well did you know this?
1
Not at all
2
3
4
5
Perfectly
7
Q

Pleuraeffusion (pleuravæske):
Kan bestå af:
* Serøs væske – Hydrothorax
* Blod – Hæmothorax
* Lymfe – Chylothorax
* Pus – Empyem

A
How well did you know this?
1
Not at all
2
3
4
5
Perfectly
8
Q

Tuberkulose:
- Kavitet og infiltrative forandringer

A
How well did you know this?
1
Not at all
2
3
4
5
Perfectly
9
Q

Sarkoidose:
- Forstørrede hilar lymfeknuder

A
How well did you know this?
1
Not at all
2
3
4
5
Perfectly
10
Q

Lungecancer:

A
How well did you know this?
1
Not at all
2
3
4
5
Perfectly
11
Q

Lungestase/ødem:
Karakteristisk:
* Alveolært ødem
* Kerley B lines (septale linjer, horisontale, aldrig længere end 2 cm, ses bedst perifert i lungerne)
* Pleural effusion
* Kardiomegali
* Fremtrædende kar i overlapperne

A
How well did you know this?
1
Not at all
2
3
4
5
Perfectly
12
Q

Diagnose?

A

Venstresidig basal pneumoni

How well did you know this?
1
Not at all
2
3
4
5
Perfectly
13
Q

Diagnose?

A

Hjertesvigt

How well did you know this?
1
Not at all
2
3
4
5
Perfectly
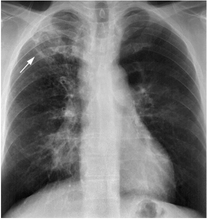
14
Q

Diagnose?

A

Centralt lokaliseret lungecancer (obs malign tumor i højre hilus)

How well did you know this?
1
Not at all
2
3
4
5
Perfectly
15
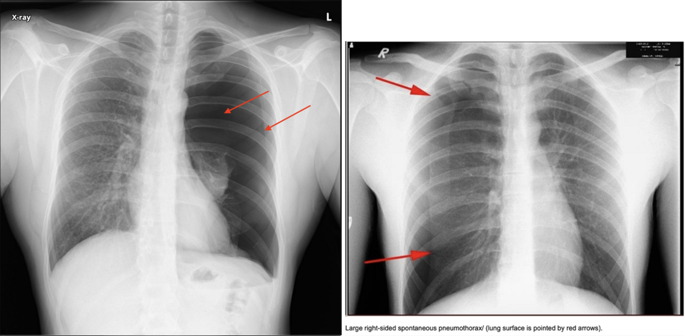
Q

Diagnose?

A

Højresidig pneumothorax

How well did you know this?
1
Not at all
2
3
4
5
Perfectly
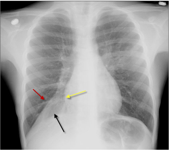
16
Q

Diagnose?

A

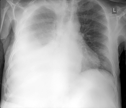
Højresidig basal pneumoni

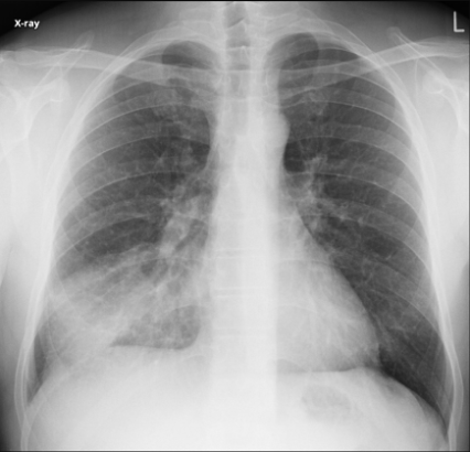
17
Q

Diagnose?

18
Q

Diagnose?

A

Tragtbryst (pectus excavatum)

19
Q

Diagnose?

A

Venstresidig pneumothorax

20
Q

Diagnose?

A

Venstresidig hæmothorax

21
Q

Diagnose?

A

Bilateral pneumoni

25
26
27
28
29
30
31
32
33
34
35