Hovedpine Flashcards

(40 cards)

1
Q

Hovedpine:
- Anamnese:

A

Tidsforløb:
- Debut: AKUT: < 4 uger; SUBAKUT: > 4 uger til < 3 mdr.; KRONISK: > 3mdr.
- Varighed og hyppighed af anfald
- Episodisk eller konstant
- Alder ved debut af hovedpine

Karakter:
- Lokalisation: uni-/bilateralt
- Intensitet
- Type: pulserende, trykkende, stikkende
- Døgnvariation
- Ledsagende symptomer: kvalme/opkast, synsforstyrrelser, lys-/lydfølsomhed, autonomiske symptomer (tåreflåd, næseflåd, hængende øjenlåg), rastløshed (klyngehovedpine)

Årsager / Udløsende forhold:
- Triggere: stress, søvn, menstruation, fødevarer, alkohol, infektion
- Forværrende/lindrende faktorer: fysisk aktivitet, valsalva, stilling
- Familiære dispositioner (fx migræne)

Medicingennemgang

How well did you know this?
1
Not at all
2
3
4
5
Perfectly
2
Q

Hovedpine:
- Objektive us.:

A
  • Almentilstand: VKO, akut/kronisk påvirket, adfærd, bevidsthedsniveau
  • TOKS: BT, puls, RF, SAT, temperatur, GCS
  • Øjenundersøgelse
  • Palpation af a. temporalis
  • Nakkestivhed (NRS)
  • Neurologisk undersøgelse
How well did you know this?
1
Not at all
2
3
4
5
Perfectly
3
Q

Hovedpine:
- Parakliniske us.:

A
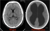
  • CT-/MR-cerebrum med/uden angiografi: ved mistanke om sekundær årsag (fx SAH, tumor, hydrocephalus, CVT, dissektion), uklar anamnese, objektive neurologiske udfald
  • MR med/uden angiografi: ALTID indiceret ved ansigtssmerter
  • Lumbalpunktur: ved mistanke om meningitis/encefalitis, SAH med normal CT, idiopatisk intrakraniel hypertension (tryk + CSV)
  • Blodprøver: CRP og SR ved mistanke om arteritis temporalis, infektion; elektrolytter, Hb, TSH ved systemiske årsager
How well did you know this?
1
Not at all
2
3
4
5
Perfectly
4
Q

Hovedpine:
- Udredning: hovedpinedagbog (i almen praksis) ved kroniske/recidiverende hovedpiner (IKKE AKUT!)

A
How well did you know this?
1
Not at all
2
3
4
5
Perfectly
5
Q

Hovedpine:
Henvisning:
Usikkerhed omkring diagnose efter grundig anamnese

Klyngehovedpine - specialistbehandling

Alarmsymptomer:
- Alder >50 år, smerte/ømhed i tindingeregionen/hårbund, tyggeclaudicatio, høj CRP. Obs. synspåvirkning (akut synstruende) –> obs. 1
- Pludselig intens ensidig hoved-/nakkesmerte, kan ligne migræne. Obs. neurologiske udfald (fx Horner syndrom [ptose og miosis]; TIA/slag symptomer) –> obs. 2
- Pludseligt indsættende voldsom hovedpine, der gik over igen (warning leak) –> obs. 3

A

1: arteritis temporalis (kæmpecellearteritis)
2: dissektion af a. carotis eller a. vertebralis
3: subarachnoidal blødning (SAH)

How well did you know this?
1
Not at all
2
3
4
5
Perfectly
6
Q

Hovedpine:
- Primær hovedpine – differentialdiagnoser:

A

(primær = funktionelle hovedpiner)

EPISODISK HOVEDPINE:
- Spændingshovedpine
- Migræne +/- aura
- Klyngehovedpine (Hortons hovedpine, clusterhovedpine)
- Trigeminusneuralgi

KRONISK HOVEDPINE:
- Kronisk migræne +/- aura
- Kronisk spændingshovedpine
- Medicinoverforbrugshovedpine (MOH)

How well did you know this?
1
Not at all
2
3
4
5
Perfectly
7
Q

Hovedpine:
- Sekundær hovedpine– differentialdiagnoser:

A

(sekundær = strukturel/systemisk sygdom)

  • Intrakraniel blødning: subarachnoidalblødning (SAH)
  • CNS-infektion: meningitis, encefalitis
  • Forhøjet intrakranielt tryk: tumor cerebri, idiopatisk intrakraniel hypertension (IIH), hydrocefalus
  • Sinusvenetrombose (CVT)
  • Arteritis temporalis (kæmpecellearteritis)
  • Medicinoverforbrugshovedpine (MOH)
How well did you know this?
1
Not at all
2
3
4
5
Perfectly
8
Q

Hovedpine (AKUT):
Anamnese – RED FLAGS:
* Ændret hovedpinemønster –> obs. 1

A

tumor, sinustrombose (CVT), øget intrakranielt tryk

How well did you know this?
1
Not at all
2
3
4
5
Perfectly
9
Q

Hovedpine (AKUT):
Anamnese – RED FLAGS:
* Feber –> obs. 1

A

1: meningitis, encefalitis

How well did you know this?
1
Not at all
2
3
4
5
Perfectly
10
Q

Hovedpine (AKUT):
Anamnese – RED FLAGS:
* Kramper / epileptiske anfald –> obs. 1

A

1: tumor, infektion (meningitis/encefalitis), subaraknoidal blødning (SAH), sinustrombose (CVT)

How well did you know this?
1
Not at all
2
3
4
5
Perfectly
11
Q

Hovedpine (AKUT):
Anamnese – RED FLAGS:
* Personlighedsændring –> obs. 1

A

1: tumor, encefalitis, øget intrakranielt tryk

How well did you know this?
1
Not at all
2
3
4
5
Perfectly
12
Q

Hovedpine (AKUT):
Anamnese – RED FLAGS:
* Symptomer på øget intrakranielt tryk: morgenhovedpine; forværres ved hoste, nys, brug af bugpresse; ændret syn (sløret, dobbeltsyn, papilødem) –> obs. 1

A

1: tumor, hydrocephalus, idiopatisk intrakraniel hypertension (IIH), sinustrombose (CVT)

How well did you know this?
1
Not at all
2
3
4
5
Perfectly
13
Q

Hovedpine (AKUT):
Anamnese – RED FLAGS:
* “Den værste hovedpine i livet” (tordenskraldshovedpine) –> obs. 1

A

1: subaraknoidal blødning (SAH)

How well did you know this?
1
Not at all
2
3
4
5
Perfectly
14
Q

Hovedpine (AKUT):
Anamnese – RED FLAGS:
* Neurologiske udfald –> obs. 1

A

1: tumor, subaraknoidal blødning (SAH), encefalitis, sinustrombose (CVT)

How well did you know this?
1
Not at all
2
3
4
5
Perfectly
15
Q

Hovedpine (AKUT):
- Differentialdiagnoser (farligste/akut):

A

Akut livstruende:
- Intrakraniel blødning (subaraknoidal blødning (SAH))
- CNS-infektion (meningitis, encefalitis)
- Sinustrombose (CVT)

Akut synstruende:
- Arteritis temporalis
- Idiopatisk intrakraniel hypertension (IIH)

Andre alvorlige: tumor med akut forhøjet ICP / hydrocephalus

How well did you know this?
1
Not at all
2
3
4
5
Perfectly
16
Q

Mønstergenkendelse i almen praksis:

A

Migræne +/- aura
(Aura: symptomer fra syns- eller følesansen)

How well did you know this?
1
Not at all
2
3
4
5
Perfectly
17
Q

Mønstergenkendelse i almen praksis:

A

Spændingshovedpine

18
Q

Mønstergenkendelse i almen praksis:

A

Medicinoverforbrugshovedpine (MOH)

19
Q

Mønstergenkendelse i almen praksis:

A

Klyngehovedpine (Hortons hovedpine, clusterhovedpine)

20
Q

Hovedpine:
HUSK:
- Du kan ikke stille en pålidelig hovedpinediagnose, så længe der foreligger medicinoverforbrug
- Du kan ikke stille en pålidelig hovedpinediagnose eller starte en effektiv behandling så længe patienten ikke er udredt for red flags
- Udredningen må ikke tage længere end hovedpinesygdommen
- En hurtig udvikling af hovedpine kræver prompte handling, en langsom udvikling af hovedpinen kræver tid

21
Q

Hovedpine:
HUSK – opsummering:
1) Hovedpineanamesen er afgørende
2) Red flags?
3) MOH?
4) Diagnose? (hovedpinedagbog)
5) Akut behandling?
6) Forebyggende behandling? (hovedpinekalender)

22
Q

Diagnose?

Karakteristika:
* Pressende hovedpine UDEN ledsagesymptomer eller medicinoverforbrug
* Ofte bilateralt

Forekomst: hyppigste form for hovedpine

A

Spændingshovedpine

23
Q

Spændingshovedpine:
- Behandling: 1

A

1:
* Akut/Anfald: paracetamol eller NSAID (Ibuprofen)
* Profylakse: 1. valg: amitriptylin (TCA) (antidepressiva) (CAVE: vægtøgning, som vil forværre søvnapnø)

24
Q

Diagnose?

Karakteristika:
* Pulserende hovedpine
* Ofte unilateral
* Forværring ved fysisk aktivitet
* Ledsagende symptomer: kvalme/evt. opkastning, lys- og lydoverfølsomhed (fotofobi og fonofobi)

A

Migræne +/- aura

(Aura-symptomer: reversible fokale neurologiske symptomer (fx SYNSforstyrrelser, sensorik, tale)

25
Migræne +/- aura: - Behandling: **1**
1: **Anfaldsbehandling**: - 1.valg: Paracetamol eller NSAID (Ibuprofen) - Hvis ingen effekt: triptaner (Sumatriptan) **Forebyggende behandling**: 1.valg: betablokkere (Propranolol/Metoprolol) eller Candesartan
26
Diagnose? **Karakteristika**: * Ensidig meget intens og voldsom hovedpine * **Ipsilaterale autonome symptomer i ansigt: tåreflåd, næseflåd, konjunktival rødme, ptose, miosis, øjenlågsødem** * **Stikkende/borende smerte bag/om øjet**
Klyngehovedpine (Hortons hovedpine, clusterhovedpine) (**Forekomst**: forekommer i ”klyngeperioder” (uger/måneder) med flere anfald dagligt)
27
Klyngehovedpine (Hortons hovedpine, clusterhovedpine): - **Behandling**: **1**
1: * **Akut behandling**: iltbehandling, triptaner (Sumatriptan) * **Forebyggende behandling**: calciumantagonist (Verapamil)
28
Diagnose? Karakteristika: * Ensidige, elektriske/stikkende jagende smerter af sekunders varighed * Anfaldene kan komme i serier * **Lokaliseret til én eller flere grene af n. trigeminus (CN 5)** * Ofte triggerzoner: fx berøring, barbering, tygning, tandbørstning, vind/træk
Trigeminusneuralgi
29
Trigeminusneuralgi: - **Behandling**: **1**
1: * 1. valg: antiepileptika (Carbamazepin/Oxcarbazepin) * Evt. kirurgi ved manglende effekt: mikrovaskulær dekompression eller glycerol injektion i trigeminusgangliet
30
Diagnose? Karakteristika: * Hovedpine ≥ 15 dage pr. mdr. * Overforbrug i > 3 mdr. af: - Migræneanfaldsmedicin (ergotaminer, triptaner, opioider): ≥ 10 dage/mdr. - Simple analgetika (fx paracetamol, NSAID): ≥ 15 dage/mdr.
Medicinoverforbrugshovedpine (MOH) (**Behandling**: seponering af udløsende medicin)
31
Diagnose? **Karakteristisk**: * **Hyperakut, meget kraftig hovedpine (“tordenskraldshovedpine”)** * Kan ledsages af kvalme, fotofobi, nakkestivhed og neurologiske udfald * Ofte bevidsthedspåvirkning
Subaraknoidalblødning (SAH)
32
Subaraknoidalblødning (SAH): - **Udredning og Behandling**: **1**
1: **Udredning**: 1) CT cerebrum uden kontrast (akut for at påvise/udelukke blødning) 2) Hvis CT er negativ og klinisk mistanke fortsat høj  lumbalpunktur efter ≥ 12-24 timer. Xanthochromi (gulfarvet misfarvning af CSV [nedbrydning til bilirubin]) bekræfter SAH 3) Hvis SAH er påvist  CT-/MR-angiografi for at lokalisere aneurisme og planlægge coil/clip **Behandling**: * Kirurgi ved aneurisme: coil (1. valg) eller clip * Evt. Tranexamsyre for behandling og forebyggelse af blødning
33
Diagnose? **Karakteristika**: * **Feber**, hovedpine, **nakkestivhed**, evt. kvalme/opkast, fotofobi, **petekkier**
Meningitis (hjernehindebetændelse)
34
Diagnose? **Karakteristika**: * **Feber**, hovedpine + **bevidsthedspåvirkning/neurologiske udfald**, kramper, adfærdsændring
Encefalitis (hjernebetændelse)
35
CNS-infektion (meningitis, encefalitis): **Lumbalpunktur**: * Leukocytter: typisk 10–500 celler/µL (domineret af mononukleære celler (MN) --> **1** * Leukocytter: ofte >1000 celler/µL (domineret af polymorfonukleære celler (PMN) --> **2**
1: viral meningitis 2: bakteriel meningitis
36
CNS-infektion (meningitis, encefalitis): **Behandling**: * Meningitis (bakteriel): **1** * Meningitis (viral): **2** * Encefalitis: **3**
1: Ceftriaxon + Ampicillin + Dexamethason 2: symptomatisk (Aciclovir kun ved mistanke om HSV/VZV) 3: Aciclovir
37
Diagnose? **Forekomst**: sjældent og næsten **udelukkende hos fertile overvægtige kvinder** **Karakteristika**: * Hovedpine, pulssynkron tinnitus * **Papilødem og synsforstyrrelser (fx forbigående synstab)** * Normal neurologisk us. i øvrigt
Idiopatisk intrakraniel hypertension (IIH)
38
Idiopatisk intrakraniel hypertension (IIH): - Behandling: **1**
1: * Vægttab (essentielt) * Diamox (Acetazolamid) * Topiramat (antiepileptikum) * Evt. shunt (behandling af vand i hjernen) (**Vigtig**: ubehandlet IIH kan føre til permanent synstab/blindhed)
39
Diagnose? - Definition: "vand i hovedet". Udvidede hjerneventrikler på grund af øget mængde intraventrikulær cerebrospinalvæske (CSF)
Hydrocephalus
40
Hydrocephalus: Inddeling og Symptomer: * **Hos infantil/børn (ÅBNE suturer/fontaneller)**: øget hovedomfang, spændt fontanelle, nedsat øjenmotorik (solnedgangsblik), irritabilitet * **AKUT – Hos voksne (LUKKEDE suturer/fontaneller)**: hovedpine, kvalme/opkast, **bevidsthedspåvirkning (fald i GCS)**, papilødem * **Normaltrykshydrocephalus (NPH) – Hos ældre (> 60 år)**: triade: gangbesvær, demens, urininkontinens Behandling: * **Akut hydrocefalus**: ekstern ventrikeldrænage (EVD), behandle udløsende årsag (fx tumor, blødning, infektion) * **Kronisk hydrocefalus**: shunt (ventrikulo-peritoneal shunt) eller kirurgi (endoskopisk 3. ventrikulostomi)