Opsummering Flashcards

(477 cards)

1
Q

Hjertebank
Differentialdiagnoser:

A
  • Kardiale årsager: arytmier (AFLI, AFLA, SVT, VT, VF), akut koronart syndrom (AKS)
  • Systemiske årsager: anæmi, infektion/sepsis, lungeemboli (LE), elektrolytforstyrrelser (hypo- og hyperkaliæmi)
  • Endokrinologiske årsager: hypertyreose, hypoglykæmi, diabetes, fæokromocytom
  • Psykiske årsager: angst, stress, depression, tilpasningsreaktion, akut belastning, PTSD, misbrug af stimulantia (kokain, amfetamin, koffein, nikotin)

VIGTIGST AT UDELUKKE KARDIALE OG SYSTEMISKE ÅRSAGER!

How well did you know this?
1
Not at all
2
3
4
5
Perfectly
2
Q

Hjertebank
Anamnese:

A

Hovedsymptom:
* Uddybning af symptomer, inkl. varighed, hyppighed, forværrende/lindrende faktorer
* Udløsende/provokerende faktorer

Associerede symptomer:
* CP: brystsmerter + andre smerter, åndenød (dyspnø), træthed, synkope
* UG: tørst, vandladning, vægttab
* Endokrinologisk/metabolisk: varmeintolerance, svedtendens, indre uro
* B-symptomer: svedtendens, feber, vægttab, træthed

Psykisk og social anamnese:
* Psykisk anamnese herunder stress og angst
* Humør (tristhed, nedsat interesse, koncentration og hukommelse)
* Søvn
* Socialt netværk
* Funktionsniveau

Medicin, livsstil og misbrug:
* Medicin
* KRAM: kost, rygning, alkohol, motion
* Misbrug

How well did you know this?
1
Not at all
2
3
4
5
Perfectly
3
Q

Hjertebank
Objektiv us.:

A
  • AT: hud (farver), ET
  • Stemningsleje
  • Lymfeknudestatus
  • Tremor
  • Øjne
  • St.c.
  • St.p.
  • Collum: thyroidea
  • Abdomen
  • Vitale værdier: BT, puls, SAT, RF
How well did you know this?
1
Not at all
2
3
4
5
Perfectly
4
Q

Hjertebank
Parakliniske us.:

A

EKG
Blodprøver:
* Hæmatologi: Hgb
* Infektionstal: CRP, leuk + diff
* Væsketal: Na, K
* Nyretal: kreatinin, eGFR
* Levertal: ALAT, BASP
* TSH, HbA1c, BS

How well did you know this?
1
Not at all
2
3
4
5
Perfectly
5
Q

Atrieflimren (AFLI):
- Tromboembolirisiko: CHA2DS2-VASc-score
- Blødningsrisiko: HAS-BLED score
- Behandling: 1
- Henvisning: alle patienter med nyopdaget atrieflimmer skal ses på kardiologisk afdeling

A

1:
AK-behandling: DOAK (1.valg: Apixaban [Eliquis], Rivaroksaban [Xarelto]), Warfarin [Marevan] (obs. INR)

Frekvenskontrollerende behandling: 1.valg: betablokker (fx metoprolol) (ekkokardiografi før opstart), digoxin

Rytmekontrollerende behandling: antiarytmika, DC-stød, ablation

How well did you know this?
1
Not at all
2
3
4
5
Perfectly
6
Q

Atrieflimren (AFLI):
- AKUT behandling: 1

A

1:
1) Hæmodynamisk ustabil: DC-konvertering
2) Hæmodynamisk stabil – frekvenskontrol: digoxin, betablokker (fx metoprolol)
3) AK-behandling: DOAK (Apixaban [Eliquis], Rivaroksaban [Xarelto])

How well did you know this?
1
Not at all
2
3
4
5
Perfectly
7
Q

Lungeemboli (LE) (blodprop i lungerne):
- Udredning: 1

A

1: klinisk vurdering, inkl. Wells score –> D-dimer –> CT pulmonal angiografi (CTPA)

How well did you know this?
1
Not at all
2
3
4
5
Perfectly
8
Q

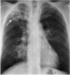
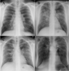
Lungeemboli (LE) (blodprop i lungerne):
- Behandling: 1

A

1:
* Akut: ilt og kredsløbsunderstøttende behandling
* Standard: AK-behandling med Heparin (fx Fragmin) – (alternativt DOAK [fx Xarelto, Eliquis] hos stabile patienter)
* Ved højrisiko LE (shock/hypotension): trombolyse (Alteplase)
* Ved refraktært shock: ECMO-behandling

How well did you know this?
1
Not at all
2
3
4
5
Perfectly
9
Q

Angst:
- Diagnose (karakteristiske symptomer):

A

Autonome symptomer: hjertebanken, sveden, rysten (tremor), mundtørhed

+ Andre angstsymptomer: (<– generelt spørg om symptomer fra top til tå)

How well did you know this?
1
Not at all
2
3
4
5
Perfectly
10
Q

Angst / Depression / PTSD:
- Behandling:

A

Kognitiv adfærdsterapi (KAT) ± SSRI (fx Sertralin)

How well did you know this?
1
Not at all
2
3
4
5
Perfectly
11
Q

Depression:
- Diagnose:

A

Grundliggende kriterier:
- Varighed > 2 uger
- Somatisk årsag udelukket

Kernesymptomer:
- Nedtrykthed
- Nedsat lyst/interesse
- Nedsat energi eller øget trætbarhed

How well did you know this?
1
Not at all
2
3
4
5
Perfectly
12
Q

Opsamling – hjertebanken:

A
How well did you know this?
1
Not at all
2
3
4
5
Perfectly
13
Q

Svimmelhed:
- Årsager:

A

Perifere årsager (problem i øret): BPPV (50%), Menières sygdom (18%), Neuritis vestibularis (14%), etc.

Centrale årsager (problem i hjernestammen): apopleksi/TCI, hjernetumor, migræne, etc.

Andre årsager: medicin – intoxikationer/bivirkninger, kardiovaskulære problemer, elektrolytforstyrrelser, ortostatisk hypotension, etc.

How well did you know this?
1
Not at all
2
3
4
5
Perfectly
14
Q

Svimmelhed:
- Anamnese:

A

Debut:
- Akut eller kronisk
- Episodisk eller konstant

Type:
- Rotatorisk (gyratorisk) svimmelhed: ”som at køre i karrusel”
- Nautisk svimmelhed: ”som at være på et skib, der gynger”

Ledsagende symptomer:
- kvalme, opkast, tinnitus (øresusen), høretab, nystagmus
- fokale neurologiske udfald, hovedpine
- positionsændring (fra liggende til siddende/stående stilling)

Medicin: bivirkninger, intoksikationer
Misbrug: alkohol, narkotika

How well did you know this?
1
Not at all
2
3
4
5
Perfectly
15
Q

Svimmelhed – Anamnese:

Debut:
- Akut eller kronisk
- Episodisk eller konstant

Type:
- Rotatorisk (gyratorisk) svimmelhed: ”som at køre i karrusel” –> tænk 1
- Nautisk svimmelhed: ”som at være på et skib, der gynger” –> tænk 2

Ledsagende symptomer:
- Overvej 3 ved: kvalme, opkast, tinnitus (øresusen), høretab, nystagmus
- Overvej 4 ved: fokale neurologiske udfald, hovedpine
- Overvej 5 ved: positionsændring (fra liggende til siddende/stående stilling)

Medicin: bivirkninger, intoksikationer
Misbrug: alkohol, narkotika

A

1: perifere årsager (problem i øret)
2: centrale årsager (problem i hjernestammen)

3: perifer årsag (problem i øret)
4: central årsag (problem i hjernestammen)
5: ortostatisk eller cirkulatorisk betinget hypotension

How well did you know this?
1
Not at all
2
3
4
5
Perfectly
16
Q

Svimmelhed:
- Undersøgelse af akut monosymptomatisk svimmelhed:

A
How well did you know this?
1
Not at all
2
3
4
5
Perfectly
17
Q

Svimmelhed:
- Udredning:

A
How well did you know this?
1
Not at all
2
3
4
5
Perfectly
18
Q

Diagnose og Behandling?
- Symptomer: pludselig kortvarig rotatorisk (gyratorisk) svimmelhed ved STILLINGSÆNDRING – hoveddrejning
- Varighed: MINUTTER – varer ca. 1 min og forsvinder igen

A

BPPV (benign positionel paroxysmal vertigo) (øresten)

  • Behandling: Epleys manøvre
How well did you know this?
1
Not at all
2
3
4
5
Perfectly
19
Q

Diagnose og Behandling?
Symptomer:
* Typisk triade: anfald med rotatorisk (gyratorisk) svimmelhed + høretab + tinnitus (øresusen)
* Initialt ENSIDIG (90%)

Varighed: 2-12 TIMER

A

Menières sygdom (Mb. Meniére)

  • Behandling: ingen effektiv behandling
How well did you know this?
1
Not at all
2
3
4
5
Perfectly
20
Q

Diagnose?
- Symptomer: PLUDSELIGT/AKUT opstået rotatorisk (gyratorisk) svimmelhed + kvalme og opkast
- Varighed: DAGE til UGER

A

Neuritis vestibularis (virus på balancenerven)

  • Behandling: antihistaminer (fx cyclizin), evt. prednisolon
How well did you know this?
1
Not at all
2
3
4
5
Perfectly
21
Q

Synkope:
- Årsager:

A

Refleks (neuralt medieret) synkope (60%) (”ufarlig tilstand”)
- Vasovagal, Sinus caroticus, Situationsbestemt

Ortostatisk hypotension ledende til synkope (10%) (”ufarlig tilstand”)

Kardiel synkope (15%) (”farlig tilstand”):
- Fx arytmier, AKS, LE, aortadissektion, etc.

How well did you know this?
1
Not at all
2
3
4
5
Perfectly
22
Q

Synkope:
- Anamnese:

A

Refleks synkope:
* Prodromer (symptomer før synkope / forvarsel): fx svimmelhed/hovedpine, kvalme, koldsved
* Udløsende forhold: fx stress, vandladning, hoste, etc.
* Stående stilling
* Hovedvridning
* EFTER anstrengelse
* Siddende stilling MED prodromer

Ortostatisk synkope:
* Stillingsændring

Kardiel synkope:
* INGEN prodromer eller prodrom = hjertebanken
* Liggende stilling
* UNDER anstrengelse
* Siddende UDEN prodromer

How well did you know this?
1
Not at all
2
3
4
5
Perfectly
23
Q

Synkope:
- Behandling:

A

Refleks/Ortostatisk synkope (”ufarlig tilstand”):
- Refleks synkope: undgå triggers (fx varme bade, store måltider, emotionelle stimuli)
- Ortostatisk synkope: undgå pludselig stillingsskift; Støttestrømper; medicingennemgang (fx diuretika, antihypertensiva)

Kardiel synkope (”farlig tilstand”): behandling målrettes den udløsende årsag til synkope

How well did you know this?
1
Not at all
2
3
4
5
Perfectly
24
Q

Ledsmerter:
- Anamnese:

A

Inflammationstegn: varme, rødme, hævelse, ømhed/smerte, funktionsstab

Debut:
- Akut
- Kronisk

Led involveret:
- Monoartikulær (1 led)
- Oligoartikulær (2-4 led)
- Polyartikulær (≥4 led)

Symmetri:
- Symmetrisk
- Asymmetrisk

How well did you know this?
1
Not at all
2
3
4
5
Perfectly
25
Ledsmerter – **Anamnese**: **Inflammationstegn**: varme, rødme, hævelse, ømhed/smerte, funktionsstab **Debut**: - **Akut**: tænk **1** - **Kronisk**: tænk **2** **Led involveret**: - **Monoartikulær (1 led)**: tænk **3** - **Oligoartikulær (2-4 led)**: tænk **4** - **Polyartikulær (≥4 led)**: tænk **5** **Symmetri**: - **Symmetrisk**: tænk **6** - **Asymmetrisk**: tænk **7**
1: infektiøs (septisk) artrit, postinfektiøs (reaktiv) artrit, artritis urica (urinsyregigt) 2: reumatoid artrit, psoriasis artrit, osteoartrose (slidgigt) 3: infektiøs (septisk) artrit, artritis urica (urinsyregigt), osteoartrose (slidgigt) 4: postinfektiøs (reaktiv) artrit, psoriasis artrit 5: reumatoid artrit 6: reumatoid artrit 7: postinfektiøs (reaktiv) artrit, psoriasis artrit
26
**Infektiøs (septisk) artrit**: - **Lokalisation**: **1** - **Årsag**: **2** - Udredning: **3** - Behandling: **4**
1: oftest i store led – hofte, knæ, fod 2: hyppigst infektion med S. aureus (40%) 3: * Diagnose: ledpunktur til celletælling, mikroskopi (inkl. krystal) og dyrkning * Øvrige parakliniske us. 4: * Akut AB-behandling * Kirurgisk revision (drænage)
27
**Postinfektiøs (reaktiv) artrit**: - Forekomst: ofte 1-3 uger efter GI- eller UG-infektion - Lokalisation: **1** - Udredning: **2** - Behandling: **3**
1: UE (hyppigst) 2: bl.p. med positiv HLA-B27 (60-80%) 3: * Behandle udløsende faktor * Ofte selvlimiterende * NSAID
28
**Artritis urica (urinsyregigt)**: **Lokalisation**: **1** **Udredning**: **2** **Behandling**: * Akut anfald: **3** * Recidiverende og kronisk behandling: **4**
1: hyppigst optræder anfaldet i storetåens grundled (podagra) 2: * Bl.p.: ↑ P-urat (hyperurikæmi) * Diagnostisk: påvisning af uratkrystaller i ledvæsken ved polarisationsmikroskopi 3: - Medikamentel behandling: NSAID, colchicin eller glukokortikoider (fx Prednisolon) - Ikke-medikamentel behandling: aflastning, ispakning på leddet og stort væskeindtag 4: Allopurinol (1. valg)
29
**Reumatoid artrit (RA)**: - Lokalisation: **1** Udredning og Diagnose: se billede for klassifikationskriterierne – (6 point --> RA) * Bl.p.: **2** **Behandling**: **3**
1: MCP, PIP 2: ↑anti-CCP (ACPA) og/eller ↑IgM-RF 3: 1) Methotrexat (DMARD) + (Folinsyre (forebygger bivirkninger)) 2) Tripple-terapi: Methotrexat + Sulfasalazin + Hydroxychlorokin 3) Biologisk behandling + (Methotrexat)
30
Psoriasis artrit (PsA): Lokalisation: **1** **Behandling**: **2**
1: DIP 2: 1) Methotrexat (DMARD) + (Folinsyre (forebygger bivirkninger)) 2) Biologisk behandling + (Methotrexat)
31
Osteoartrose (slidgigt) (også bare kaldt artrose): **Forekomst**: den hyppigst forekommende ledsygdom Lokalisation: **1** **Symptomer og Kliniske fund**: **2** **Rtg. bækken**: afsmalnet ledspalte (brusken reduceret), subkondral sklerosering (kompakt knogle), osteofytter, subkondrale cyster, deformering Behandling: primært symptomatisk behandling
1: hyppigst i hofteleddet 2: * Belastningsrelaterede smerter * Evt. smertetriade (igangsætningssmerter, lindring ved bevægelse og forværring ved øget belastning)
32
Rygsmerter – Anamnese: - **Nævn alarmsymptomer som skal udelukkes**:
- Cauda equina (paræstesi i ridebuksområde, distal parese, fæces inkontinens og urinretention, nedsat sphintertonus) - Udbredte neurologiske udfald
33
Diagnose og Behandling (akut)? Symptomer: * AKUT opståede flankesmerter – stærke smerter i flanken, strålende ned mod lysken * Hæmaturi – oftest mikroskopisk
Nyresten (Urolithiasis): **Akutbehandling**: * Smertebehandling: Voltaren 75 mg i.m. (NSAID) + Buscopan 20 mg i.m. Ved manglende effekt: Morfin depot 5-15 mg i.m. * Væskerestriksjon så længe smerteanfaldet varer
34
Abdominal aortaaneurisme: - Forekomst: hyppigste aortaaneurisme (80%) - Symptomer: vedvarende ryg- og mavesmerter - Udredning og Diagnose: UL, CT eller MR - **Behandling**: **1**
1: se billede
35
**1**: infektion i columna vertebralis **2**: en kronisk, inflammatorisk tilstand i columna vertebralis
1: Spondylodiskit 2: Spondylartrit
36
Diagnose, Årsag, Udredning og Behandling? - Definition: primær infektion i columna vertebralis
Spondylodiskit - Årsag: S. aureus (hyppigste årsag) - Udredning og Diagnose: bloddyrkning, MR columna - Behandling: AB-behandling
37
Diagnose og Behandling? Definition: en kronisk, inflammatorisk tilstand Kendetegn: - * Affektion af columna og SI-led (sacroilitis) + store led * Natlige smerter og morgenstivhed
Spondylartrit (Rygsøjlegigt) **Klassificering**: * Aksial spondylartritis (AxSpA) * Ankyloserende spondylitis (AS) (Mb Bechterew) Behandling: fysioterapi, NSAID og evt. biologisk behandling
38
Cauda equina: Definition: hvis en diskusprolaps i lænderyggen er stor, kan den trykke på mange nerverødder. Dette kaldes cauda equina syndrom **Symptomer**: **1** **Udredning og Diagnose**: **2** **Behandling**: **3**
1: * Nedsat følelse i ridebuksområde (omkring endetarmens åbning og kønsorganerne) * Distal parese * Fæces inkontinens * Urinretention * Nedsat sphintertonus 2: MR af columna totalis 3: AKUT operation
39
Medullær tværsnitssyndrom: Definition: læsion af medulla spinalis Lokalisation: * Cervikalt (10%) * Thorakalt (70%) * Lumbalt (20%) **Udredning og Diagnose**: **1** **Behandling**: **2**
1: MR af columna totalis – (metastatisk forandring Th8) 2: * Akut behandling: **Prednisolon (højdosis)** * Operation og/eller strålebehandling * Relevant smertebehandling
40
Diagnose og Behandling? - **Karakteristisk**: anæmi, nyreinsufficiens, knoglesygdom, hyperkalcæmi, amyloidose
Myelomatose (Knoglemarvskræft) Behandling: * **1.valg**: **immunmodulerende behandling + proteasomhæmmere + steroider + evt. kemoterapi** * Bisfosfonater for knoglesundhed * Højrisikopatienter: højdosiskemoterapi + stamcelletransplantation * Avanceret/refraktær sygdom: målrettet (antistofbehandling) og palliativ behandling
41
Myelomatose – blodprøver:
- IgG, IgA, IgM - M-komponent - Frie lette kæder (kappa/lambda)
42
Diskusprolaps og Spinalstenose: - Hvad er forskellen mellem Diskusprolaps (**ve.**) og Spinalstenose (**hø.**)?: **1** - Behandling: **2**
1: **Diskusprolaps** (**ve.**): - Symptomerne er ”AKUT” indsættende - Hyppigst lumbal discusprolaps (80%) **Spinalstenose (forsnævring af rygmarvskanalen)** (**hø.**): - Symptomerne er ”LANGSOMT” indsættende - Kardinalsymptom: reduceret gangdistance 2: * Konservativ behandling: fysioterapi, smertelindrende medicin * Operation: ved manglende effekt
43
Billeddiagnostik for at påvise Diskusprolaps og Spinalstenose:
MR af columna (pga. MR viser nerver og bløddele)
44
**Hvad kan man bruge til vurdering til identifikation og graduering af skrøbelighed?**
**Clinical Frailty Scale (CFS)** – (VURDER PATIENTCASES MED AT STARTE FRA NR. 9 – [BAGFRA])
45
**Neurologi – neurologisk udfald ved objektiv us. – algoritme**: **Debut**: Akut (sek. – timer), Subakut (dage til uger), Kronisk (mnd. – år) **Lokalisation**: * Er det fokalt (forårsaget af én læsion, ét sted)? Eller * Er det diffust (en isoleret læsion kan ikke forklare fund)? **Eksempler på differentialdiagnoser**: (obs. ikke udtømmende liste): **1**
1: se billede
46
Diagnose? Symptomer: FAST * F: Fjes – facialisparese (hængende mundvig, asymmetri i ansigtet) * A: Arm – parese/-paralyse (nedsat kraft eller lammelse i arm) * S: Sprog – motorisk/sensorisk afasi (kan ikke tale eller forstå tale) * T: Tale – dysartri (sløret eller utydelig tale)
Apopleksi (stroke) og TCI (transitorisk cerebral iskæmi)
47
Apopleksi (stroke) og TCI (transitorisk cerebral iskæmi): **Definition**: pludseligt indsættende fokale neurologiske udfald forårsaget af forstyrrelser i hjernens blodcirkulation … - **TCI**: < 24 timer - **Apopleksi**: > 24 timer Årsag: - Infarkt - **Iskæmisk apopleksi (80-85%)** - Hjerneblødning - **Hæmoragisk apopleksi (10-15%)** Udredning og Diagnose: **CT cerebrum (CTC)** **Behandling**: **1**
1: **Akut behandling**: - **Iskæmisk apopleksi/TCI**: trombolyse (Alteplase), evt. trombektomi - **Hæmoragisk apopleksi**: symptomatisk behandling og evt. kirurgisk behandling **Sekundær profylakse**: 1.valg: Clopidogrel 75 mg x1; KRAM-faktorer, etc. Tidsvindu for trombolyse: < 4,5 t (evt. op til 9 t med billeddiagnostik) Tidsvindu for trombektomi: < 6 t (evt. op til 24 t med billeddiagnostik)
48
**Blodfortyndende**: * **Nævn eksempler på Antikoagulantia (AK-behandling)**: **1** * **Nævn eksempler på Trombocythæmmere**: **2** Hvilken type blodfortyndende medicin er det vigtigst at pausere ved blødning?: **3**
1: fx Marevan (warfarin), Heparin, Rivaroxaban (Xarelto), Apixaban (Eliquis) 2: fx Acetylsalicylsyre (ASA), Clopidogrel, Ticagrelor 3: Antikoagulantia (AK-behandling)
49
Diagnose? **Symptomer (hyppigste)**: sensoriske forstyrrelser (35%), spastisk parese (20%), **synsfeltdefekt – nedsat syn (15%)**, øjenmuskel parese (5%), cerebellar ataksi (5%)
Multiple sklerose (MS)
50
Multiple sklerose (MS): Definition: kronisk immunmedieret demyeliniserende sygdom i CNS **Udredning og Diagnose (+ typiske fund)**: **1** **Behandling**: **2** **Differentialdiagnoser**: * MS: symptomer udviklet over minutter til dage * ALS: symptomer udviklet over måneder
1: **påvises ved kombination af klinik, MR cerebrum + medulla totalis og lumbalpunktur (CSV)** MRC + MR medulla totalis: - **Spredning i sted (DIS)** - **Spredning i tid (DIT)** Lumbalpunktur (CSV): **oligoklonale bånd (95%)** eller forhøjet IgG-indeks (80%) 2: * **Akut attak (anfald)**: **Methylprednisolon** * **Profylakse**: **β-interferon** (immunmodulerende behandling) * Symptomatisk behandling: Baklofen (for spasticitet), Botox (ved fokale symptomer) * Genoptræning og rehabilitering
51
Amyotrofisk lateral sklerose (ALS): Definition: en progressiv, degenerativ neuromuskulær sygdom Behandling: ingen kurativ behandling. Riluzol har en beskeden livsforlængende effekt **Differentialdiagnoser**: * ALS: symptomer udviklet over måneder * MS: symptomer udviklet over minutter til dage
52
Diagnose? **Symptomer og Kliniske fund**: * Tetraparese: en lettere, delvis lammelse af alle 4 ekstremiteter * Facialisparese: hos ca. 50% * Arefefleksi: gradvis bortfald af dybe reflekser * Bulbær påvirkning: påvirkning af respiration + synkefunktion * Distale paræstesier: føleforstyrrelser (brændende, stikkende, prikkende, nummenhet, sovende) * Radikulære rygsmerter
Guillain Barre Syndrom (GBS)
53
Guillain Barre Syndrom (GBS): Forekomst: den mest almindelige akutte polyneuropati, der kræver intensiv behandling Diagnose: klinisk diagnose. Støttende paraklinik: nerveledning (ENG), spinalvæske **Behandling**: 1) Indlæggelse og monitorering: vitale parametre (BT, puls, SAT, RF, temp.), respiration (vitalkapacitet, frekvens, dybde), muskelstyrke med MRC score 2) Medicinsk behandling: **1** 3) Støttende behandling: symptombehandling, mobilisering, forebyggelse af komplikationer
1: højdosis i.v. immunglobulin (IVIG) eller plasmaferese (PE) – (indikation: ophørt gangfunktion)
54
Diagnose? Definition: forbigående fokalt motorisk udfald umiddelbart efter et epileptisk anfald Karakteristisk / Typiske fund: * Sygehistorie med epilepsi * Opstår typisk efter generaliseret tonisk-klonisk anfald * CTC normal * A-gas: lav pH + høj laktat Differentialdiagnose: kan forveksles med iskæmisk apopleksi
**Postiktal lammelse (Todds parese)**
55
**Hvad skal du mistænke ved AKUT synsnedsættelse?**
- Anterior iskæmisk opticusneuropati (AION): typisk ved **arteritis temporalis** - Amaurosis fugax: retinal TCI
56
**Hvad skal du mistænke ved SUBAKUT/KRONISK synsnedsættelse?**
- MS: påvises med MRC og MR af columna totalis - NMOSD (Neuromyelitis Optica Spectrum Disorder): påvises med bl.p. **AQP4-IgG** - MOGAD (MOG antibody-associated disease): påvises med bl.p **MOG-IgG**
57
Akut nyresvigt (AKI): **Årsag**: * Prærenalt (70%): **1** * Renalt (25%): **2** * Postrenalt (5%): **3**
1: - Hypovolæmi (dehydrering, blodtab) - Hypotension (hjertesvigt, sepsis) - Shock 2: ATN (akut tubulær nekrose) – (fx kontrast, aminoglykosider) ATIN (akut tubulo-interstitiel nefropati) – (fx medicinudløst – penicillin, NSAID) Glomerulonefritis: * Nefritisk sygdom – (fx IgA‐nefropati, ANCA‐vaskulitis, anti‐GBM) * Nefrotisk sygdom – (fx MCD, FSGS, membranøs nefropati) 3: - Prostatahypertrofi - Obstruktion/afløbshindring (sten, cancer, retroperitoneal fibrose)
58
Akut nyresvigt (AKI): **Udredning**: - Prærenalt (70%): **1** - Renalt (25%): **2** - Postrenalt (5%): **3**
1: **Prærenalt**: - Klinisk vurdering af væskestatus (fx BT, ødemer) - Diuresemåling 2: **Renalt**: - Urinprøver: urinstix (protein/albumin), urinmikroskopi (casts), albumin/kreatinin-ratio - Blodprøver: ANCA, ANA, anti-GMB, immunglobulin (IgG, IgA og IgM), komplement (C3, C4) - **Diagnostisk: nyrebiopsi** 3: **Postrenalt**: - UL nyrer, urinveje og blære - Blærescaning: residualmåling (hvor meget urin der er tilbage efter vandladning)
59
Akut nyresvigt (AKI): - **Behandling af prærenalt (70%) årsag**: **1**
1: væsketerapi (NaCl eller Ringer), kredsløbsstabilisering
60
Akut nyresvigt (AKI): - **Behandling af renalt (25%) årsag**: **1**
1: afhænger af årsag. Fx immunsuppression (Prednisolon)
61
Akut nyresvigt (AKI): - **Behandling af postrenalt (5%) årsag**: **1**
1: Aflastning af urinveje (blærekateter, JJ‐kateter, nefrostomi) Husk koagulationstal før nefrostomi - **JJ-kateter**: aflastning af nyre med et plastikkateter fra pelvis til blære - **Nefrostomi**: aflastning af nyre med et kateter gennem huden
62
Kronisk nyresvigt (CKD): **Paraklinik – typiske laboratorieværdier ved kronisk nyresvigt**: **1**
1: Øget (↑): - PTH (hyperparathyroidisme) - Fosfat (hyperfosfatæmi) - K (hyperkaliæmi) Nedsat (↓): - Hb (anæmi) - Ca (hypocalcæmi) - Bikarbonat (HCO3-) (metabolisk acidose)
63
Kronisk nyresvigt (CKD): - **Behandling**:
**Symptomatisk behandling**: - Inkl. behandle elektrolytforstyrrelser **Progressionshæmmende behandling**: - Behandle grundsygdom - Behandle livsstilssygdomme (HT, hyperkolesterolæmi, DM) - Behandle KRAM-faktorer - Medicinjustering - Diætvejledning **Aktiv behandling**: - Dialyse - Nyretransplantation
64
**Nævn hvordan man kan skille mellem Akut nyresvigt eller Kronisk nyresvigt:**
65
**Hvad kan U-albumin/kreatinin ratio fortælle os?**
Tegn på akut/kronisk nyresygdom Tegn på nefrotisk syndrom
66
Nævn indikation for akut Dialyse:
- **Hyperkaliæmi** (p-kalium > 6-7 mmol/l, især med EKG-forandringer) - **Lungeødem** (især ved anuri [manglende urinproduktion]) - **Svær metabolisk acidose** (pH < 7,2) - Svære uræmiske symptomer (uræmisk encefalopati, kvalme/opkast, perikarditis, blødningstendens, svær kløe) – ofte p-Karbamid > 40 mmol/l - Forgiftninger (fx lithium, methanol, ethylenglykol)
67
NEFROTISK syndrom: - **Defineret ved**: **1** - Sygdomme/Årsager: **2**
1: tænk lav S-albumin og høj U-albumin * **Hypoalbuminæmi < 30 g/l** * **Proteinuri > 3.5 g/døgn (sv.t. albuminuri > 2,2 g/døgn)** * Deklive ødemer * (Evt. hyperlipidæmi) 2: * Primær (typisk akut debut): minimal change disease (MCD), fokal segmental glomerulosklerose (FSGS), membranøs nefropati * Sekundær (typisk kronisk debut): diabetisk nefropati, amyloidose
68
NEFRITISK syndrom: - **Defineret ved**: **1** - Sygdomme/Årsager: **2**
1: * **Hæmaturi** * **Hypertension** * Ødemer (orbitale/universelle) * (Proteinuri < 3.5 g/døgn) (sv.t. albuminuri < 2,2 g/døgn) * (Evt. Oliguri / azotermi) 2: (glomerulonefritis = GN) * Immunkompleksmedierede (nefritiske): postinfektiøs (poststreptokok) GN, IgA nefropati, lupus nefritis, membranoproliferativ GN * Halvmåne GN (hurtigt progredierende GN): ANCA-associeret vaskulitis, anti-GBM GN (Goodpasture) * Arvelig: Alport syndrom
69
Mønstergenkendelse: - **NYRESVIGT OG Lungepåvirkning (hæmoptyse)**
Goodpasture syndrom (anti-GBM) ANCA associeret vaskulitis (ANCA)
70
Mønstergenkendelse: - **NYRESVIGT OG Leverpåvirkning (høj bilirubin – icterus)**
Leptospirose Levercirrhose Hepatorenalt syndrom (HRS)
71
Mønstergenkendelse: - **NYRESVIGT OG Hypercalcæmi (højt calcium)**
Myelomatose Sarcoidose Vitamin D forgiftning Lymfom / anden malingitet Granulomatøse sygdomme
72
Mønstergenkendelse: - **NYRESVIGT OG Trombocytopeni (lave trombocytter)**
Hæmolytisk uræmisk syndrom (HUS) Hantavirus Systemisk lupus erythematosus (SLE) Sepsis / Dissemineret Intravaskulær Koagulation (DIC)
73
Mønstergenkendelse: - **NYRESVIGT OG Knoglesmerter, anæmi, øget infektionstendens**
Myelomatose
74
Ødemer (hævede ben): **Diagnostisk tankegang**: * Ensidigt ødem skyldes oftest lokale tilstande * Dobbeltsidigt ødem skyldes som regel systemiske tilstande **Differentialdiagnoser**:
75
Hyponatriæmi: Natriumkorrektion (VIGTIG): * **Akut hyponatriæmi (< 48 timer)**: kræver **HURTIG korrektion af natrium** * **Kronisk hyponatriæmi (> 48 timer, vanligst)**: kræver **LANGSOMT korrektion af natrium** Behandling: - **AKUT hyponatriæmi** med alvorlige symptomer (påvirket bevidsthed/konfusion, kramper, respirationssvigt, koma): **1** - Kronisk hyponatriæmi: **2**
1: 1) **Hyperton NaCl 3 %** 2) Følg algoritme 2) Behandle udløsende årsag 2: **Hypovolæmisk hyponatriæmi**: 1) **Isoton NaCl (0,9 %)** 2) Følg algoritme 2) behandle udløsende årsag **Normovolæmisk/Hypervolæmisk hyponatriæmi**: 1) **Væskerestriktion 800–1000 ml/dag** 2) Loop-diuretika (Furix) 3) Behandle udløsende årsag
76
Hypernatriæmi: **Årsager**: **1** Behandling: **2**
1: dehydrering indtil andet er bevist 2: 1) **Hvis hemodynamisk ustabil (shock, hypotension)**: i.v. NaCl eller Ringer-Acetat 2) **Hvis/Når hemodynamisk stabil**: p.o. vand og/eller i.v. glukose 5 % (50 mg/ml) 3) Behandle udløsende årsag
77
Hypokaliæmi: Hyppigste årsag: **1** Behandling: **1**
1: * Kaliumtab pga. loop- og tiaziddiuretika (fx Furix) * Andre hyppige årsager: GI-tab (diarré, opkast) og laksantia (fx Movicol) overforbrug 2: 1) Behandle udløsende årsag 2) Kaliumtilskud 3) Evt. magnesiumtilskud
78
**Hyperkaliæmi**: **Hyppigste årsager**: **1** **Behandling af SVÆR hyperkaliæmi (K = > 6,5, EKG-forandringer)**: **2**
1: **Nedsat nyrefunktion**: --> nedsat udskille af kalium **Lægemidler med hyperkaliæmisk virkning**: - Kaliumbesparende diuretika (fx Spironolacton, Eplerenon) - ACE-hæmmere (fx Ramipril) - AT2-antagonister (fx Losartan) - NSAID (fx Ibuprofen) 2: 1) **Stabiliser hjertet**: i.v. Kalsium 2) **Skift K⁺ ind i cellerne (midlertidig sænkning)**: * Insulin + Glukose inf. (mål BS) * Salbutamol inh. * Evt. i.v. Bikarbonat ved acidose 3) **Fjern K⁺ fra kroppen (permanent sænkning)**: * Resonium * Loop-diuretika (fx Furix) hvis bevaret diurese * Evt. dialyse (ved svær nyresvigt eller livstruende hyperkaliæmi) 4) **Overvågning**: * Telemetri og EKG-monitorering * Gentagne K+-målinger
79
Ascites: **Udredning og Diagnose (vigtigst)**: **1** **Årsager**: **2** **Behandling for cirrosebetinget ascites**: **3**
1: Diagnostisk ascitespunktur til: 1) Analyse af ascitesvæske 2) SAAG (= albumin (serum) – albumin (ascites)) - [> 11 g/dl eller < 11 g/dl?] Andre us.: - Bl.p.: INR, ALAT, albumin - Billeddiagnostik: UL/CT abdomen ± fibroskanning - Urin-protein - Evt. ekkokardiografi og gastroskopi 2: **> 90% af tilfældene pga.**: - **Levercirrhose --> portal hypertension** - **Malignitet** - **Hjertesvigt** 3: * **Diuretika (Spirix + evt. Furix)** * **Tømning af ascitesvæske (Paracentese) + i.v. Albumin** * **Saltrestriktion** * Shunts (TIPS) * Levertransplantation
80
Hovedpine: - **Anamnese**:
**Tidsforløb**: - Debut: akut (< 4 uger), kronisk (> 3mdr.) - Varighed og hyppighed af anfald - Episodisk eller konstant **Karakter**: - Lokalisation: uni-/bilateralt - Intensitet (NRS/VAS) - Type: pulserende, trykkende, stikkende - Døgnvariation **Ledsagende symptomer**: - Kvalme/opkast - Synsforstyrrelser - Lys-/Lydfølsomhed - Autonomiske symptomer (tåreflåd, næseflåd, hængende øjenlåg) - Rastløshed Forværrende/lindrende faktorer Familiær disposition Medicingennemgang
81
Hovedpine: - **Objektive us.**:
* Almentilstand: VKO, akut/kronisk påvirket, adfærd, bevidsthedsniveau * TOKS: BT, puls, RF, SAT, temperatur, GCS * Øjenundersøgelse * Palpation af a. temporalis * Nakkestivhed (NRS) * **Neurologisk undersøgelse**
82
Hovedpine: **Hvad skal du mistænke ved**: - Alder >50 år, smerte/ømhed i tindingeregionen/hårbund, tyggeclaudicatio, høj CRP. Obs. synspåvirkning (akut synstruende)
Arteritis temporalis (kæmpecellearteritis)
83
Hovedpine: **Hvad skal du mistænke ved**: - Pludselig intens ensidig hoved-/nakkesmerte, kan ligne migræne. Obs. neurologiske udfald (fx Horner syndrom [ptose og miosis]; TIA/slag symptomer)
Dissektion af a. carotis eller a. vertebralis
84
Hovedpine: **Hvad skal du mistænke ved**: Pludseligt indsættende voldsom hovedpine, der gik over igen (warning leak)
subarachnoidal blødning (SAH)
85
Hovedpine: - **Primær hovedpine – differentialdiagnoser**:
(primær = funktionelle hovedpiner) **EPISODISK HOVEDPINE**: - Spændingshovedpine - Migræne +/- aura - Klyngehovedpine (Hortons hovedpine, clusterhovedpine) - Trigeminusneuralgi **KRONISK HOVEDPINE**: - Kronisk migræne +/- aura - Kronisk spændingshovedpine - Medicinoverforbrugshovedpine (MOH)
86
Hovedpine: - **Sekundær hovedpine– differentialdiagnoser**:
(sekundær = strukturel/systemisk sygdom) * Intrakraniel blødning: subarachnoidalblødning (SAH) * CNS-infektion: meningitis, encefalitis * Forhøjet intrakranielt tryk: tumor cerebri, idiopatisk intrakraniel hypertension (IIH), hydrocefalus * Sinusvenetrombose (CVT) * Arteritis temporalis (kæmpecellearteritis) * Medicinoverforbrugshovedpine (MOH)
87
Hovedpine (AKUT): **Anamnese – RED FLAGS**: * **Symptomer på øget intrakranielt tryk**: morgenhovedpine; forværres ved hoste, nys, brug af bugpresse; ændret syn (sløret, dobbeltsyn, papilødem) --> obs. **1**
1: tumor, hydrocephalus, idiopatisk intrakraniel hypertension (IIH), sinustrombose (CVT)
88
Hovedpine (AKUT): - **Differentialdiagnoser (farligste/akut)**:
Akut livstruende: - Intrakraniel blødning (subaraknoidal blødning (SAH)) - CNS-infektion (meningitis, encefalitis) - Sinustrombose (CVT) Akut synstruende: - Arteritis temporalis - Idiopatisk intrakraniel hypertension (IIH) Andre alvorlige: tumor med akut forhøjet ICP / hydrocephalus
89
Hovedpine (AKUT): **Anamnese – RED FLAGS**: * “Den værste hovedpine i livet” (tordenskraldshovedpine) --> obs. **1**
1: subaraknoidal blødning (SAH)
90
Mønstergenkendelse i almen praksis:
Migræne +/- aura (Aura: symptomer fra syns- eller følesansen)
91
Mønstergenkendelse i almen praksis:
Spændingshovedpine
92
Mønstergenkendelse i almen praksis:
Medicinoverforbrugshovedpine (MOH)
93
Mønstergenkendelse i almen praksis:
Klyngehovedpine (Hortons hovedpine, clusterhovedpine) - (HUSK: **HENVISNING ved klyngehovedpine - specialistbehandling**)
94
Diagnose og Behandling? Karakteristika: * Pressende hovedpine UDEN ledsagesymptomer eller medicinoverforbrug * Ofte bilateralt Forekomst: hyppigste form for hovedpine
Spændingshovedpine Behandling: * **Akut/Anfald**: paracetamol eller NSAID (Ibuprofen) * **Profylakse**: 1. valg: amitriptylin (TCA) (antidepressiva) (CAVE: vægtøgning, som vil forværre søvnapnø)
95
Diagnose og Behandling? **Karakteristika**: * Pulserende hovedpine * Ofte unilateral * Forværring ved fysisk aktivitet * Ledsagende symptomer: **kvalme/evt. opkastning, lys- og lydoverfølsomhed (fotofobi og fonofobi)**
Migræne +/- aura (Aura-symptomer: **reversible fokale neurologiske symptomer (fx SYNSforstyrrelser, sensorik, tale)** Behandling: **Anfaldsbehandling**: - 1.valg: Paracetamol eller NSAID (Ibuprofen) - Hvis ingen effekt: triptaner (Sumatriptan) **Forebyggende behandling**: 1.valg: betablokkere (Propranolol/Metoprolol) eller Candesartan
96
Diagnose og Behandling? **Karakteristika**: * Ensidig meget intens og voldsom hovedpine * **Ipsilaterale autonome symptomer i ansigt: tåreflåd, næseflåd, konjunktival rødme, ptose, miosis, øjenlågsødem** * **Stikkende/borende smerte bag/om øjet**
Klyngehovedpine (Hortons hovedpine, clusterhovedpine) (**Forekomst**: forekommer i ”klyngeperioder” (uger/måneder) med flere anfald dagligt) Behandling: * **Akut behandling**: iltbehandling, triptaner (Sumatriptan) * **Forebyggende behandling**: calciumantagonist (Verapamil) (HUSK: **HENVISNING ved klyngehovedpine - specialistbehandling**)
97
Diagnose og Behandling? **Karakteristisk**: * **Hyperakut, meget kraftig hovedpine (“tordenskraldshovedpine”)** * Kan ledsages af kvalme, fotofobi, nakkestivhed og neurologiske udfald * Ofte bevidsthedspåvirkning
Subaraknoidalblødning (SAH) **Udredning**: 1) CTC 2) Xanthochromi (gulfarvet misfarvning af CSV [nedbrydning til bilirubin]) bekræfter SAH 3) Hvis SAH er påvist --> CT-/MR-angiografi for at lokalisere aneurisme og planlægge coil/clip **Behandling**: * Kirurgi ved aneurisme: coil (1. valg) eller clip * Evt. Tranexamsyre for behandling og forebyggelse af blødning
98
Diagnose og Behandling? Karakteristika: * Ensidige, elektriske/stikkende jagende smerter af sekunders varighed * Anfaldene kan komme i serier * **Lokaliseret til én eller flere grene af n. trigeminus (CN 5)** * Ofte triggerzoner: fx berøring, barbering, tygning, tandbørstning, vind/træk
Trigeminusneuralgi Behandling: * 1. valg: antiepileptika (Carbamazepin/Oxcarbazepin) * Evt. kirurgi ved manglende effekt: mikrovaskulær dekompression eller glycerol injektion i trigeminusgangliet
99
Diagnose og Behandling? Karakteristika: * Hovedpine ≥ 15 dage pr. mdr. * Overforbrug i > 3 mdr. af: - Migræneanfaldsmedicin (ergotaminer, triptaner, opioider): ≥ 10 dage/mdr. - Simple analgetika (fx paracetamol, NSAID): ≥ 15 dage/mdr.
Medicinoverforbrugshovedpine (MOH) Behandling: seponering af udløsende medicin
100
Diagnose? **Karakteristika**: * **Feber**, hovedpine, **nakkestivhed**, evt. kvalme/opkast, fotofobi, **petekkier**
Meningitis (hjernehindebetændelse)
101
Diagnose? **Karakteristika**: * **Feber**, hovedpine + **bevidsthedspåvirkning/neurologiske udfald**, kramper, adfærdsændring
Encefalitis (hjernebetændelse)
102
Diagnose og Behandling? **Forekomst**: sjældent og næsten **udelukkende hos fertile overvægtige kvinder** **Karakteristika**: * Hovedpine, pulssynkron tinnitus * **Papilødem og synsforstyrrelser (fx forbigående synstab)** * Normal neurologisk us. i øvrigt
Idiopatisk intrakraniel hypertension (IIH) **Behandling**: * Vægttab (essentielt) * Diamox (Acetazolamid) * Topiramat (antiepileptikum) * Evt. shunt (behandling af vand i hjernen) (**Vigtig**: ubehandlet IIH kan føre til permanent synstab/blindhed)
103
Diagnose og Behandling? - Definition: "vand i hovedet". Udvidede hjerneventrikler på grund af øget mængde intraventrikulær cerebrospinalvæske (CSF)
Hydrocephalus Behandling: * **Akut hydrocefalus**: ekstern ventrikeldrænage (EVD), behandle udløsende årsag (fx tumor, blødning, infektion) * **Kronisk hydrocefalus**: shunt (ventrikulo-peritoneal shunt) eller kirurgi (endoskopisk 3. ventrikulostomi)
104
Diagnose og Udredning? Definition: en septisk tilstand, hvor hjerteklapper og/eller tilgrænsende væv er inficeret med mikroorganismer
Infektiøs endokarditis (IE) Udredning: bloddyrkning + ekkokardiografi
105
Diagnose? Symptomer og Kliniske fund: DIARE, mavesmerter, kvalme/opkast, feber
Gastroenterit
106
Diagnose? Karakteristisk: klassisk klinisk billede med et skarpt afgrænset varmt, hævet og rødligt udslæt * Akut udviklet * Ensidigt * Hyppigste lokalisation er ben og ansigt
Erysipelas (rosen): Hyppigste årsag: Streptococcus pyogenes
107
Hvad skal du tænke ved?: * **Mistænkt/Bekræftet infektion**: fx feber, forhøjede infektionstal (CRP, leuko) * **Organpåvirkning**: der kan forekomme symptomer fra alle organsystemer
**Sepsis (blodforgiftning)**
108
**Sepsis (blodforgiftning)**: **Udredning**: **1**
1: - **Cerebral påvirkning**: ændret mentalstatus (**GCS < 15**), konfusion, desorientering, etc. - **Hud**: bleghed, kolde ekstremiteter, marmorering, perifer cyanose - **Kredsløb**: hypotension (**SBT ≤ 100 mmHg**), takykardi (↑ puls) - **Respiration**: takypnø (**RF ≥ 22/min**) - **Nyrefunktion**: oliguri (nedsat urinproduktion) (< 0,5 ml/kg/time) / Anuri (ingen urinproduktion) **EKSTRA**: A-gas: **laktat > 2mmol/l** **qSOFA**: (0-3 p; ≥ 2 p --> mistænk sepsis): - **SBT ≤ 100 mmHg** - **RF ≥ 22/min** - Ændret mentalstatus (**GCS < 15**) SOFA-score: (0-24 p; ≥ 2 p --> mistænk sepsis) (bruges til at bedømme og beskrive organpåvirkning)
109
**Sepsis (blodforgiftning)**: **Behandling**: **1**
1: **AB for sepsis med ukendt fokus**: - Ampicillin 2g x4 + Gentamicin 5mg/kg x1 (+ evt. Metronidazol 500mg x3) - Alternativ: Tazocin 4+0,5g x4 **Væskebehandling ved SBT < 100 mmHG**: - 30 ml/kg isoton NaCl/Ringer-laktat over de første 3 timer - Herefter standard væskebehandling iht. effektmål **O2-behandling ved SAT < 92%**: - Ilt-tilskud til SAT > 92%
110
**Sepsis (blodforgiftning)**: **Monitorering**: **1**
1: * Observeres hver 15 min: BT, puls, RF, SAT * Observeres hver 1 time: timediurese, A-punktur inkl. laktat, bevidsthedsniveau (GCS)
111
**Sepsis (blodforgiftning)**: Hvis behandlingsmål ikke er nået: fortsat SBT < 90 + laktat > 2 mmol/l på trods af adækvat væsketerapi (30 ml/kg) --> **1**
1: **SEPTISK SHOCK** * **Kontakt intensiv afdeling** mhp. vasopressorbehandling (noradrenalin) og intensiv monitorering * Skift AB-behandling til: Tazocin 4+0,5g x4 + Gentamicin 5mg/kg x1 * Overvej Hydrocortison ved refraktært/vedvarende shock
112
Diagnose og Behandling? **Symptomer og Kliniske fund**: * Stærke smerter (morfinresistente smerter) – «pain out of proportion» * Hurtig progredierende erytem/udslæt * Henflydende/Vævsopløst nekroser med gråligt, tyndt, "opvaskevandslignende" ekssudat/væske
**Nekrotiserende bløddelsinfektioner (NSTI)** Behandling: akut kirurgi + AB
113
Diagnose, Udredning og Behandling? **Biokemi, Symptomer og Kliniske fund**: sygehistorie oftest på 1-4 uger * Anæmisymptomer – fx slaphed, træthed, hjertebanken (**↓ hæmoglobin**) * Hyppige infektioner (**↓ neutrocytter**) * Blødningstendens i hud og slimhinder (**↓ trombocytter**) * Evt. hepatosplenomegali, knoglesmerter, lymfadenopati, CNS-symptomer
**Akut leukæmi (akut blodkræft)** Forekomst: * **Akut myeloid leukæmi (AML)**: typisk hos voksne * **Akut lymfatisk leukæmi (ALL)**: typisk hos børn **Udredning**: 1) Knoglemarvsbiopsi: **blaster ≥ 20 %** --> akut leukæmi 2) Flowcytometri --> AML eller ALL **Behandling**: **Intensiv kemoterapi**
114
Kronisk leukæmi (kronisk blodkræft): Inddeling: * **Kronisk myeloid leukæmi (CML)** * **Kronisk lymfocytær leukæmi (CLL)** **Biokemi**: * CML: **1** * CLL: **2** **Symptomer og Kliniske fund**: **3**
1: ↑ leukocytter, **↑ neutrocytter** 2: ↑ leukocytter, **↑ lymfocytter** 3: * B-symptomer: vægttab, nattesved, feber, træthed * Knoglesmerter typisk for CML * Lymfadenopati typisk for CLL
115
Infektiøs mononukleose: **Årsag**: * Epstein Barr virus (EBV) – **80%** * Cytomegalovirus (CMV) – **20%** **Symptomer**: **1** Diagnose: - **EBV**: monospot (hurtigtest; heterofile antistoffer) eller EBV-serologi (IgM/IgG) - **CMV**: CMV-serologi (IgM/IgG) **Behandling**: **2**
1: * EBV giver typisk halssymptomer (synkesmerter, hævede tonsiller, rødme) * CMV giver typisk feber og hævede lymfeknuder * Andre symptomer: muskel- og ledsmerter, hepatosplenomegali 2: symptomatisk behandling: paracetamol/NSAID, væske, hvile
116
HIV (--> AIDS): Udredning og Diagnose: * 1.valg: 4. generations HIV-test (kombinationstest: antistof og antigen, ELISA) * Resultatet bekræftes med: HIV RNA PCR Behandling: kombination af 3 antiretrovirale lægemidler (HAART/cART)
117
Hepatitis B (HBV) og Hepatitis C (HCV): Udredning og Diagnose: * **HBV**: påvisning af HBsAg eller HBV-DNA * **HCV**: påvisning af anti-HCV og HCV-RNA Behandling: * **HBV**: nukleosid-/nukleotidanaloger * **HCV**: direkte virkende antivirale midler (DAA)
118
Feber efter rejse: - **Differentialdiagnoser**: **1** - **Anamnese og Objektiv us.**: **2**
1: * Malaria * Akutte virale infektioner: Dengue feber, (Chikungunya, Zika), Hepatitis A-B, HIV * Typhoid fever (tyfus) * Leptospirose * Rickettsiose: afrikansk plet tyfus * Schistosomiasis * Amøbe lever abscess 2: se billede
119
Hvad skal du mistænke ved?: Kliniske fund: * Feber efter ophold i endemisk område * Evt. hepato-/splenomegali, ikterus, anæmi, trombocytopeni, sepsis-lignende billede
**Malaria**
120
Malaria: Udredning og Diagnose: **1** Behandling: **2**
1: mikroskopi af **perifert blodudstrygningspræparat (guldstandard)** 2: ”generelt antimalaria middel” * **Malaria forårsaget af P. falciparum**: Artesunat (svær), Atorvaquon/Proguanil (ukompliceret) * **Malaria forårsaget af Non-falciparum**: Hydroxycholorquin
121
**Lav en patologirekvisition for forstørret lymfeknude**:
Tentativ diagnose: Lymfom / metastase Fremsendt materiale (og mængde): Lymfeknudebiopsi fra hals/axil Klinisk information: Persisterende uøm lymfeknudesvulst uden infektion
122
**Lav en patologirekvisition for postmenopausal blødning**:
Tentativ diagnose: Endometriecancer Fremsendt materiale (og mængde): Endometriebiopsi (pipelle) Klinisk information: Postmenopausal vaginal blødning. UL viser fortykket endometrium
123
**Lav en patologirekvisition for blod i afføringen**:
Tentativ diagnose: Kolorektal cancer Fremsendt materiale (og mængde): Kolonbiopsi Klinisk information: Hæmatochezi og ændret afføringsmønster
124
**Lav en patologirekvisition for ascites**:
Tentativ diagnose: Malign ascites Fremsendt materiale (og mængde): Ascitesvæske til cytologi Klinisk information: Nytilkommen ascites uden kendt leversygdom. CT viser peritoneale forandringer
125
**Lav en patologirekvisition for hudforandring**:
Tentativ diagnose: Malignt melanom / non-melanom hudkræft Fremsendt materiale (og mængde): Hudbiopsi fra [lokalisation] Klinisk information: Pigmenteret hudforandring med ABCDE-tegn
126
**Træthed – Differentialdiagnoser**:
**Livsstil**: misbrug, søvnmangel, stress, inaktivitet, dårlig kost **Psykosocialt**: arbejdsforhold, belastninger, angst, depression, PTSD, søvnforstyrrelser, tab/sorg **Medicinsk**: medicinbivirkning, infektion, anæmi, hjertesvigt, nyresvigt, diabetes, KOL, inflammatorisk sygdom (RA, IBD), malignitet, hypothyroidisme, søvnapnø, menopause, graviditet, multipel sklerose, myasteni **Funktionelt**: forbigående symptom uden identificerbar årsag, langvarige funktionelle lidelser
127
Træthed: **Vigtigste anamnestiske spm og parakliniske us?**
**Anamnese**: * Hvad tror patienten selv? * **Organisk årsag er mere sandsynlig, hvis trætheden er nyopstået** * Ledsagesymptomer leder os ofte på vej **Parakliniske us.**: * HbA1c, BS * TSH, T4/T3 * S-hCG, U-hCG: hvis mistanke om graviditet * EKG * Urinstix
128
Anæmi: **Klassifikation efter MCV – Differentialdiagnoser**: (normalområde: 80-100): **1** **Udredning**: se billede * Måling af MCV er nøglen til rationel anæmiudredning * **Hæmolytisk anæmi**: DAT test (direkte antiglobulin test) Behandling: afhænger af årsagen til anæmien * **Anæmi er et fund, hvor den bagvedliggende årsag skal findes!**
1: se billede * **Klinisk huskeregel**: anæmi = jernmangel (hyppigst, ca. 50%), indtil andet er bevist * **Jernmangelanæmi**: påvist anæmi og nedsat ferritin er diagnostisk. Årsagen til jernmangel skal altid efterforskes * **Talassæmi**: ofte start fra barnets andet halvår, hyppigst blandt mennesker fra middelhavslande og ækvatorområdet. Genetisk betinget * **Hæmolytisk anæmi**: typisk: **↑ reticulocyttal, LDH, bilirubin + ↓ haptoglobin** * Vitamin B12 = cobalamin
129
Anæmi: - **Nævn årsager til jernmangel**:
**Fysiologisk jernmangel**: kraftige vækstperioder, **menstruationsblødninger**, **graviditet**, særlige kostvaner – vegetarer **Patologisk jernmangel**: **GI-blødning**, **malabsorption (cøliaki)**, langvarig metrorrhagia, langvarig hæmaturi, hæmoglobinuri
130
Anæmi: - **Nævn årsager til vitamin B12 mangel**:
**Mangel på intrinsic faktor**: **perniciøs anæmi**, gastrektomi, genetiske defekter i intrinsic faktor **Malabsorption**: **fødemiddelmalabsorption**, sygdomme i ileum (Mb Crohn), tarmresektion, kronisk pankreatitis, lægemidler (metformin, PPI), familiær form (Imerslund-Grasback syndrom), kongenit mangel på transcobalamin **Manglende indtagelse af vitamin B12**: **veganere**, misbrug af lattergas
131
Hvad skal du tænke ved: ↓ Hb ↑ reticulocyttal, LDH, bilirubin ↓ haptoglobin
Hæmolytisk anæmi
132
Diagnose og Behandling? **Karakteristisk**: (eksklusionsdiagnose) * Alder > 50 år * Varighed > 1 mdr. * Bilaterale smerter i skulder og/eller bækkenregion * Morgenstivhed > 30 min ( patienten har problemer med at komme ud af sengen, klæde sig på, samt løfte armene over skulderniveau/hoved) * Bl.p.: CRP > 50, SR > 40
**Polymyalgia reumatica (PMR)** Behandling: * Akut / Tilbagefald: Prednisolon * Vedligeholdsbehandling: Methotrexat (MTX) **Udredning og Diagnose**: PMR er en udelukkelsesdiagnose (se billede) Andet: ofte associeret med arteritis temporalis (kæmpecelle arteritis)
133
**Ved psykiatriske symptomer – udeluk sygdomme i denne rækkefølge**:
**ALTID START MED AT VURDERE SELVMORDSRISIKO!** 1) Delir (somatisk først) 2) Intoksikation/abstinens/misbrug 3) Psykose (primær vs. sekundær) 4) Affektiv lidelse (depression/bipolar) 5) Angstlidelser 6) Personlighedsforstyrrelser
134
Psykiatrisk anamnese: - **Anamnese**:
Hvordan fremstår patient: god/dårlig hygiejne, samarbejdsvillig/afvisende, ruspåvirket? AT: VKO, akut/kronisk påvirket, GCS Psykomotorik: agitation / hæmning Stemningsleje Selvmordstanker- eller planer? Realitetsbrist: vrangforestillinger, hallucinationer Kognition: opmærksomhed, hukommelse Indsigt i egen sygdom Abstinenssymptomer: * Fysiske: tremor, svedtendens, hjertebanken, kvalme/opkast * Psykiske: angst, uro, irritabilitet, søvnløshed
135
Diagnose og Behandling? - Definition: en kronisk sygdom med tilbagevendende episoder af **mani/hypomani og depression**
Bipolar lidelse - Behandling: psykoedukationen + medicinsk forebyggende behandling (fx Lithium [1.valg])
136
Diagnose og Behandling? - **Definition**: sindssygdom – en psykiatrisk tilstand med svækket realitetssans pga. sygdom eller forgiftning
**Psykose** - Behandling: miljøterapeutiske tiltag + antispsykotika (fx Aripiprazol, Risperidon)
137
Diagnose og Behandling? - Definition: en neuropsykiatrisk lidelse karakteriseret ved tilbagevendende tvangsTANKER (obsessioner) og tvangsHANDLINGER (kompulsioner)
OCD (tvangslidelse) - Behandling: kognitiv adfærdsterapi ± SSRI (fx Sertralin)
138
Demens: - **Demensformer (3 hyppigste)**: **1** - Udredning: se billede - Behandling: **2**
1: 1) Alzheimers sygdom (AD) 2) Vaskulær demens (VaD) 3) Blandet Alzheimers og vaskulær demens (AD+VaD) 2: afhænger af den underliggende sygdom - Fx midler mod Alzheimers sygdom (fx **Donepezil**)
139
Diagnose og Behandling? Karakteristik: * **Bradykinesi (langsomme bevægelser)** * Muskelrigiditet * Hviletremor * Postural instabilitet (sent symptom)
Parkinsons sygdom (PS) Behandling: * < 70 år: dopaminagonist (fx Pramiprexol) * > 70 år: Levodopa
140
**Aspiration har 2 betydninger**: 1) Indånding af fremmedlegemer (mad, væske, ventrikelindhold) i lungerne --> fx aspirationspneumoni 2) Udsugning af væske/væv med kanyle som diagnostisk eller terapeutisk procedure
141
Perioperativ medicinhåndtering: Generelt fortsættes det meste faste medicin på operationsdagen Peroral medicin kan ved behov erstattes parenteralt Visse lægemidler skal dog pauseres eller justeres før operation: **1**
1: * Blodfortyndende medicin (antikoagulantia og trombocythæmmere) – **konf. med anæstesi/kirurg/kardiolog** * Insulin – **konf. med anæstesi/kirurg/endokrinolog** * ACE-hæmmere / ARB * Diuretika * Metformin * SGLT-2-hæmmere * NSAID
142
**Nævn årsager/differentialdiagnoser til hoste og åndenød**:
**Lunger**: LE, pneumothorax, astma i eksacerbation, KOL i eksacerbation, pneumoni, etc. **Hjerte**: AKS, arytmier, lungestase, hjertesvigt **Andre**: allergisk reaktion (anafylaksi)
143
Noninvasiv ventilation (NIV): - **Indikation**: **1**
* Akut hyperkapnisk respiratorisk acidose (pH < 7,35 og PaCO2 > 6 kPa) * RF > 25 * Forværring i dyspnø * Hypoksi, der ikke korrigeres med ilt alene
144
Spirometri: - **Hvordan differentiere mellem KOL og astma?**: **1**
1: Både KOL og astma har obstruktiv lungefunktion = **FEV1/FVC-ratio < 0,7 (70 %)** Reversibilitetstest kan bruges til differentiering: - **KOL**: ingen forbedring af FEV1, FVC, FEV1/FVC-ratio - **Astma**: stigning i FEV1 ≥ 12% OG ≥ 200ml
145
KOL (kronisk obstruktiv lungesygdom): **Behandling**: **1**
1: **Non-farmakologisk**: **KRAM**, reduktion af andre risikofaktorer **Farmakologisk**: 1) Mild KOL (GOLD A): **LABA (fx Formoterol)** eller LAMA (fx Umeclidinium) 2) Moderat KOL (GOLD B): LABA + LAMA 3) Alvorlig KOL (GOLD E): LABA + LAMA + ICS (fx Budenosid)
146
Astma: **Behandling**: **1**
1: 1.valg: ICS (Budesonid) + LABA (formoterol)
147
**KOL / Astma i eksacerbation**: **Behandling**: **1**
1: * **Prednisoloin 37,5 mg x1 i 5 dage** * Iltbehandling (SAT-mål for KOL: 88-92 %; SAT-mål for astma: 93-95 %) * SABA (fx Ventoline), evt. SAMA (fx Atrovent) * Evt. AB * Evt. NIV (noninvasive ventilation)
148
**Pneumothorax**: Årsager: * Traumatisk * Iatrogen (fxved bioptering, anlæggelse af CVK e.l.) * Spontan **Symptomer og Kliniske fund ved trykpneumothorax**: **1** **Behandling**: **2**
1: * Hud: kold, klamtsvedende * Vitalia: ↑ puls (takykard), ↑ RF (takypnøisk), ↓ BT (hypotensiv) * Halsvenestase * Cyanose * Sideforskel i respirationsbevægelser * Trakeal deviation 2: **Små asymptomatiske tilfælde**: kan ofte behandles med observation under indlæggelse **Større sammenfald / symptomatiske tilfælde**: kræver anlæggelse af pleuradræn **Trykpneumothorax (akut intervention!)**: 1) Anlæggelse af tykt PVK midtklavikulært i 2. interkostalrum (alternativt midtaxillært i 5.-7. intercostalrum) 2) Herefter anlægges konventionelt pleuradræn
149
**Pleuraeffusion (Pleuravæske)**: **Huskeregel**: * **Pleuraeffusion** = væske UDEN for lungen * **Lungeødem** = væske INDEN i lungen **Hyppigste årsager**: **1** **Behandling**: **2**
1: hjertesvigt, pneumoni, lungeemboli, malignitet 2: 1) Observation 2) Pleuracentese (tømning af pleuravæske) ved behov 3) Behandle udløsende årsag **Huskeregel**: - Væske i pleura (**Pleuraeffusion**) --> tap den - Væske i lunger (**Lungeødem**) --> driv den væk (diuretika + nitrat)
150
**Lungeødem/stase**: **Huskeregel**: * **Lungeødem** = væske INDEN i lungen * **Pleuraeffusion** = væske UDEN for lungen **Hyppigste årsager**: **1** **Udredning og Diagnose**: 1) **Rtg. thorax**: for at afklare om der er lungeødem eller ej 2) **Ekkokardiografi**: for at afklare om årsagen til lungeødemet (kardiogent eller ikke-kardiogent) **Behandling**: **2**
1: * **Kardiogent lungeødem (hyppigst)**: **fx hjertesvigt (hyppigst)**, etc. * **Ikke-kardiogent lungeødem**: fx pneumoni, sepsis, etc. 2: 1) - Iltbehandling - **Furix** - **Nitroglycerin** 2) Evt. CPAP/NIV ved respirationssvigt 3) Behanlde udløsende årsag **Huskeregel**: - Væske i lunger (**Lungeødem**) --> driv den væk (diuretika + nitrat) - Væske i pleura (**Pleuraeffusion**) --> tap den
151
Diagnose, Udredning og Behandling? **Forekomst**: **høj forekomst blandt indvandrere i Norden** Karakteristisk: * **Kernesymptomer**: B-symptomer (feber, vægttab, nattesved), langvarig (purulent) hoste, hæmoptyser, glandelsvulst * **Rtg. thorax**: kavitet og infiltrative forandringer
Tuberkulose (TB) **Mikrobiologi**: dyrkning for **Mycobacterium tuberculosis** (”guld standard”) Behandling: (6 mdr. totalt) * **2 første mdr.**: Isoniazid (INH), Rifampicin (RIF), Ethambutol (EMB), Pyrazinamide (PZA) * **Neste 4 mdr.**: Isoniazid (INH), Rifampicin (RIF)
152
Diagnose, Udredning og Behandling? Definition: en systemisk granulomatøs systemsygdom, som kan angribe alle organer. Pulmonale symptomer ses i > 90% af tilfældene **Rtg. thorax**: hilusadenitis (forstørrelse af lymfeknuder i lungehilus) ± lungeinfiltrater
Sarkoidose **Biopsi**: påvisning af ikke-nekrotiserende granulomer i et eller flere organer – ofte bronkoskopi med biopsi **Behandling**: * Der findes ingen helbredende behandling, men aktiv sygdom behandles med **prednisolon** * Størstedelen af patienterne (50-70%) behøver ingen behandling og oplever spontan remission indenfor få år
153
Blodprøve som kan bruges ved mistanke om og kontrol af sarkoidose:
ACE
154
Skarp vold: - **SELVMORD (Suicidale) (selvmordsforsøg/ selvskade)** vs. **DRAB (Homocidale)**:
155
Kvælning: - Definition: kvælning skyldes iltmangel - **Hvilke symptomer skal du ved anamneseoptagelsen spørge ind til, og hvilke objektive fund er vigtige ved undersøgelse af patienter som angiveligt er blevet grebet om halsen? Hvordan kan det afgøres om den pågældende har været i livsfare?**
**Relevante anamnæstiske oplysninger**: - Hvor længe varede halsgrebet? - Hvordan blev halsgrebet foretaget? - Var der lufthunger eller vejrtrækningsbesvær? - Sortnen for øjnene? - Bevidstløshed? - Urinafgang? - Efterfølgende smerter eller ømhed af struben, synkesmerter, hæshed **Objektive fund**: - Læsioner på halsen (neglemærker, fingermærker, rødme) - Dyspnø - Punktformede blødninger i øjnenes bindehinder, på øjenlågene, andre steder i ansigtet, bag ørene, i mundhulen. **Forekomsten af punktformede blødninger på de anførte steder viser at halsgrebet har været langvarigt og kraftigt og dermed livsfarligt**
156
Person der har været udsat for vold: - Lægelige opgaver i akutmodtagelsen/skadestuen: **1**
1: * Behandle patient * Grundig beskrivelse af læsion i journal (+ evt. fotodokumentation) * Udfylde evt. en politiattest hvis du bliver bedt om det
157
Læsionsbeskrivelse: (FELT 5 i politiattest) * **Beskriv læsionen**
”På venstre overarms yderside 6 cm over albuebøjningen, sås et svagt blåviolet blodunderløbet mærke, målende 2 x 1,5 cm” * **Lokalisation (hvor på kroppen og hvor på legemsdelen?)**: fx på venstre overarms yderside * **Udmåling fra fixpunkt**: fx 6 cm over albuebøjningen * **Udseende (farve) og Læsionstype**: fx sås et svagt blåviolet blodunderløbet mærke * **Mål**: fx målende 2 x 1,5 cm * **Fotodokumentation med målestok**
158
Hvornår og hvordan læsionen kan have være opstået: (felt 9 i politiattest) * **Beskriv læsionen**
"Læsionen vurderes som frisk (baseret på rød farve) og kan være opstået på det angivne gerningstidspunkt. Læsionen vurderes at skyldes stump vold og kan være forårsaget af fx en skosål (tramp/spark)" - **Hvornår – tidsbestemmelse af læsionen**: fx læsionen vurderes som frisk (baseret på rød farve) og kan være opstået på det angivne gerningstidspunkt - **Hvordan – hvilken type vold / mekanisme**: fx læsionen vurderes at skyldes stump vold og kan være forårsaget af fx en skosål (tramp/spark) - **ALDRIG udtal skråsikkert om noget**
159
Læsionsbeskrivelse: - Hvilke type læsion (+ stump/skarp vold):
Stump vold * Kvæstningssår: vævsbroer i såret
160
Læsionsbeskrivelse: - Hvilke type læsion (+ stump/skarp vold):
Skarp vold * Snitsår: INGEN vævsbroer i såret
161
Læsionsbeskrivelse: - Hvilke type læsion (+ stump/skarp vold):
Skarp vold * Stiksår: linseformet stiksår
162
Læsionsbeskrivelse: - Hvilke type læsion (+ stump/skarp vold):
Stump vold * Hudafskrabning
163
Læsionsbeskrivelse: - Hvilke type læsion (+ stump/skarp vold):
Stump vold * Blodunderløbent mærke: rød – blå – violet – brun – grøn – gul
164
Børnemishandling: - Børnemishandling kan tage mange former, der alle er vigtige at være opmærksomme på. **Nævn de 4 overordnede kategorier for børnemishandling**:
1. Fysisk børnemishandling 2. Psykisk børnemishandling 3. Seksuelle overgreb 4. Medicinsk børnemishandling (Münchhausen by proxy)
165
Børnemishandling: - Ved mistanke og ved sikre tilfælde af børnemishandling, skal man:
**Underrette de sociale myndigheder**
166
Fysisk børnemishandling: - **Hvornår skal man som læge mistænke, at et barn kan have været udsat for fysisk børnemishandling**:
Læsioner på børn under 4 år efter huskereglen **TEN-4-FACESp** Uforklarlige læsioner uanset lokalisation på børn under 4 mdr. Læsioner omkring genitalia Generelt frakturer i forhold til alder: - **’Bucket handle’ (metafyseskiverne) brud** distalt i femur - **Spiralfraktur** af de lange rørknogler - **Ribbensfrakturer** (specielt bagre og multiple) Ved **skiftende forklaring fra forældrene om traumemekanismen**, hos et mindre barn med svære skader Sen henvendelse til sundhedsvæsnet Tidligere lignende forløb eller flere/talrige henvendelser til skadestue
167
Fysisk børnemishandling: - **LÆGELIGE OPGAVER (i akutmodtagelsen/skadestuen) ved mistanke om fysisk børnemishandling**:
* Behandling af evt. skader * Sikre barnet mod yderligere skader (evt. indlæggelse på børneafdeling) * Underretning til de sociale myndigheder (evt. politianmeldelse) * Dokumenterer skader (sikre bevis): grundig læsionsbeskrivelse og fotodokumentation
168
Fysisk børnemishandling: - **Udredning på BØRNEAFDELINGEN – udredningsprogram for battered child syndrome**:
* **Objektiv børneundersøgelse ved børnelæge** * **Objektiv retsmedicinsk undersøgelse (bestilles af politiet)** * **Øjenlægeundersøgelse** * **Klinisk foto** * **Helkropsrøntgen x2** * **CT/MR scanning af cerebrum** * **Biokemiske undersøgelser (blod, urin mm.)** * **Underretning til DE SOCIALE MYNDIGHEDER**
169
Seksuel børnemishandling: - **Hvis man som en almindelig læge (skadestuelæge, vagtlæge, almen mediciner eller anden speciallæge), møder et barn, der har været udsat for et overgreb, skal man**:
- **Henvise AKUT til en børneafdeling**, hvor en **børnelæge** tager sig af den akutte behandling, og den **retsmedicinske læge** inddrages i det videre forløb - Lave en **underretning til de sociale myndigheder** - Rådgive (om fx politianmeldelse) samt sørge for sporsikring
170
Voldtægt / Seksuelle overgreb (eller forsøg): - **Voldtægtsofre < 15 år**: --> **1** - **Voldtægtsofre ≥ 15 år**: --> **2**
1: lave en underretning til de sociale myndigheder 2: send/henvise til Center for Voldtægtsofre (CfV)
171
Voldtægt / Seksuelle overgreb (eller forsøg): - **Din opgave som læge (i akutmodtagelsen/skadestuen)**:
* Kontakt **Center for Voldtægtsofre (CfV) [≥ 15 år]** ELLER **de sociale myndigheder [< 15 år]** * **En voldtægtsundersøgelse er en specialist opgave - Undersøgelse skal foretages af en retsmediciner (+ evt. en børnelæge ved børn)** * Begræns anamnese optag * Ingen behandling med mindre det er strengt nødvendigt * Ingen GU med mindre de bløder meget voldsomt/nærmest vital indikation * Er behandling nødvendig fotodokumenteres læsioner inden behandling – Foto inden evt. læsioner syes sammen (Kan altid returnere til skadestue for yderligere behandling efter endt retsmedicinsk undersøgelse)
172
Voldtægt / Seksuelle overgreb (eller forsøg): Center for Voldtægtsofre (CfV): * Åbent 24/7, modtager alle mænd og kvinder fra 15 år – men alderen er flyende. Det kræver selvfølgelig man har været udsat for et overgreb * Hvem kan henvise til CfV: kræver ikke henvisning, alle kan henvende sig ved behov * **Tilbyder**: **1**
1: - **Undersøgelse af retsmediciner** + **Sporsikring (aftørring for DNA)** - Samtale med specialiseret sygeplejerske og/eller gynækolog – Opfølgning og sexologisk rådgivning - Test for kønssygdomme – Undersøgelse/behandling for STD - Graviditetstest + fortrydelsespille - Psykologhjælp – Psykologsamtaler - Råd vedrørende kontakt til politiet - Politiafhøring på center med en sygeplejerske tilstede
173
Nævn den generelle rækkefølge for lægens opgaver ved dødsfald:
1) **Dødskonstatering** 2) **Syning af lig** 3) **Ligsyn**: Almindeligt ligsyn; Retslægeligt ligsyn 4) **Obduktion**: Lægevidenskabelig obduktion; Retslægelig obduktion 5) **Dødsattest**
174
1) DØDSKONSTATERING: - **Opgave/Formål**: **1**
1: 1) At fastslå døden (2 forskellige måder): - **Fravær af respirations- (st.p.) og hjertelyd (st.c.)** - **Ophør af al hjernefunktion** (<-- egne fastlagte regler) 2) Registrerer døds-/findetidspunktet
175
2) SYNING AF LIG: - **Opgave/Formål**: **1** - **Nævn de sene sikre dødstegn / postmorten (PM) forandringer**: **2**
1: - At sikre sig, at personen er død, herunder ved påvisning af mindst 1 af de sene sikre dødstegn, for at kunne gå videre med ligsyn - At flytte den afdøde til et egnet lokale, fx morgue/kølerum/lighus - At overveje, om dødsfaldet er indberetningspligtigt til politiet jf. sundhedslovens § 179 2: - **Ligpletter (livores)** - **Dødsstivhed (rigor mortis)** - **Forrådnelse (cadaverositas)** - **Udblødning hos dødfødte (maceratio)** - ”**Forandringer uforenelige med livets opretholdelse (fx forkulning, halshugning)**”
176
3) LIGSYN: - **Definition**: **1** - **Opgave/Formål**: **2**
1: - Ligsyn er den formelle konstatering (juridisk dokumenteringen) af døden og muliggør efter underskrift af dødsattesten, at liget kan begraves mm. - 2 former for ligsyn: Almindeligt ligsyn og Retslægeligt ligsyn 2: - At fastlægge kendsgerningerne omkring dødsfaldet - At sikre, at alle dødsfald registreres - At sikre identiteten af den afdøde - Om muligt: at fastslå dødsårsag og dødsmåde - At udfærdige en dødsattest
177
3) LIGSYN: **Retslægeligt ligsyn**: - **Ved hvilke dødsmåder er retslægeligt ligsyn obligatorisk?**: **1** - **Hvornår kan politiet afstå fra retslægeligt ligsyn i tilfælde anmeldt efter Sundhedslovens §179, stk. 1, punkt 1, og hvilke kriterier skal være opfyldt derfor?**: **2**
1: drab/(strafbart forhold) og selvmord 2: politiet kan ved ulykker afstå fra retslægelig ligsyn – HVIS; der er hengået ”nogen tid” (ifm. undervingen er angivet ”en uges tid”) og sagen skal være uden politimæssig interesse
178
3) LIGSYN: **Retslægeligt ligsyn**: - **Nævn de 7 punkter hvor dødsfald ifølge sundhedslovens §179 skal anmeldes til politiet**:
1. Når dødsfaldet **skyldes et strafbart forhold, selvmord eller ulykkestilfælde** 2. Når en person **findes død** 3. Når døden er indtrådt pludseligt og ikke er forudset af lægefaglige grunde – (**pludselig og uforudset død**) 4. Når der er grund til at antage, at dødsfaldet kan skyldes en erhvervssygdom, der er omfattet af lov om arbejdsskadesikring – (**mulig erhvervssygdom**) 5. Når døden kan være **en følge af fejl, forsømmelse eller ulykkelig hændelse i forbindelse med behandling eller forebyggelse af sygdom** 6. Når dødsfald forekommer **i Kriminalforsorgens institutioner** 7. Når det i øvrigt ikke med sikkerhed kan udelukkes, at dødsfaldet skyldes et strafbart forhold, selvmord eller ulykkestilfælde ("**punkt 1**"), eller dødsfaldet af andre grunde skønnes at kunne have **politimæssig interesse**
179
4) OBDUKTION: - **Opgave/Formål**: **1**
1: **Hospitalsobduktion**: - At give klinikere og de pårørende viden om dødsårsag - Kræver pårørendes tilladelse **Regionsobduktion**: - At diagnosticere arvelige sygdomme - Kræver pårørendes tilladelse **Retslægelig obduktion**: - At afklare både dødsårsag og dødsmåde - Afdødes eller de pårørendes tilladelse er ønskelig, men et afslag kan omgøres af domstolene
180
5) DØDSATTEST: (SIDE 1) - Sendes til: **1** - **Rubrik A**: underskrives af **2** ... - **Rubrik B**: underskrives af **3** ... - **Rubrik C**: underskrives af **4** ...
1: Begravelsesmyndighed 2: lægen, hvis dødsfaldet ikke er anmeldt til politiet 3: lægen, hvis dødsfaldet er anmeldt til politiet med henblik på retslægeligt ligsyn (jf. Sundhedslovens §179), og politiet har afstået fra et sådant 4: retslægen, og politiets repræsentant påtegner i **Rubrik D** ved det retslægelige ligsyn
181
5) DØDSATTEST: (SIDE 2) - Sendes til: **1** - **På side 2 registreres dødsmåde og dødsårsag**. Nævn mulige dødsmåder, dødsmekanismer og dødsårsager: **2** - **Hvad er den tilgrundliggende dødsårsag**: **3** - **Hvor mange diagnoser skal der som minimum udfyldes på dødsattestens Afsnit I i tilfælde af ikke-naturlig død og hvad angiver de?**: **4**
1: Sundhedsstyrelsen 2: **Dødsmåde**: naturlig død, ulykke, selvmord, eller drab/vold **Dødsmekanisme**: neurologisk død, respiratorisk død, eller kardiovaskulær død **Dødsårsag**: uendeligt antal (fx hjerteinfarkt, lungebetændelse eller forblødning pga. stiklæsion i hjertet) 3: * Det felt på dødsattesten der **ALTID skal udfyldes** * **Ved naturlig død**: den sygdom der var den sandsynlige start-tilstand, der førte til døden i sidste ende * **Ved ikke-naturlig død**: er det ydre årsag til den skade der ledte til døden * Den tilgrundliggende dødsårsag er den der mest interessant i forhold til statistik 4: - Der skal altid udfyldes mindst 2 diagnoser ved ikke-naturlig død på dødsattestens side 2, dødsårsag I - Der skal anføres; den udefrakommende påvirkning og den deraf opståede skade
182
Hvem udfylder dødsattest ved: - Naturlig død: **1** - Ikke-naturlig død (selvmord, ulykke, drab): **2**
1: egen læge (fx KBU-læge) skal udfylde dødsattest 2: dødsfaldet anmeldes til politiet --> retslægeligt ligsyn --> retsmedicinsk læge skal udfylde dødsattest
183
Misbrugsstoffer / Narkotika: - **CNS-Stimulanser (mest anvendte i DK)**: **1**
1: **Kokain**, **Amfetamin**
184
Misbrugsstoffer / Narkotika: - **CNS-Hæmmere (mest anvendte i DK)**: **1**
1: Cannabis, **Opiater (Heroin, Morfin, Kodein)**
185
**Brystsmerter – Differentialdiagnoser**:
**Kardiologisk**: AKS, stabil angina, LE, aortadissektion, perikarditis **Respiratorisk**: pneumothorax, pneumoni **Gastrointetinalt**: GERD, ulcus **Muskuloskeletalt**: myalgi **Hud**: herpes zoster **Psykisk**: angst, stress
186
**Hyppigste kardiovaskulære og ikke-kardiovaskulære årsager til (akut indsættende) brystsmerter**:
187
**Brystsmerter – Anamnese**:
**Smertekarakter**: **(START ANAMNESE ALTID MED KARAKTER!)** * Klemmende/trykkende/pressende * Ulidelig/kraftig/skærende/stikkende/rivende * Respirationssynkrone smerter (forværres ved dyb inspiration og hoste) * Skarp/stikkende * Anstrengelsessmerter (forværres ved anstrengelse/fysisk aktivitet) * Brændende/sviende * Udløses ved tryk på ”tender points” (forværres ved palpation/bevægelse) **Symptomdebut**: akut eller gradvis **Hyppighed**: konstant eller episodisk **Lokalisation og Udstråling**: * Retrosternalt; udstråling til ve. arm, hals, underkæbe * Forsiden af brystet; udstråling til ryg * Sternum/apex; udstråling til nakke og ve. skulder * Under hø. kurvatur / epigastriet * Retrosternale epigastrielle/opadstigende smerter **Varighed**: * Svinder ved hvile, < 10 min * 10-30 min * > 30 min **Forværrende faktorer**: * Forværres ved anstrengelse/fysisk aktivitet (anstrengelsessmerter) * Forværres ved dyb inspiration/hoste (respirationssynkrone smerter) * Forværres ved positionsændring * Forværres ved indtag af fed mad (fx kød, fisk, ost) * Forværres ved palpation/bevægelse **Lindrende faktorer**: * Lindres ved nitroglycerin * Lindres ved PPI (fx pantoprazol) eller madindtag **Andre symptomer**: * Udslæt langs et dermatom på den ene kropshalvdel * Smerte opstået ifm. traume * Intense koliksmerter (anfald af mavesmerter, der kommer i ture) * Smerter ledsaget af halsbrand og evt. sure opstød / fremoverbøjning
188
**Brystsmerter – Anamnese**: * **Risikofaktorer for AKS / LE**: **1** **Karakteristisk**: * **Kardielle smerter**: **2** * Mulige kardielle eller sandsynligt non-kardielle smerter: anden smertetype og/eller lokalisation, sekunders varighed
1: - Livsstilssygdomme (HT, DM, hyperkolesterolæmi) - KRAM (specielt rygning) - Tidligere AKS / LE, e.l. - Familiær disposition 2: centrale, retrosternale, trykkende/pressende/knugende, udstråling, varighed 15-20 minutter
189
**Brystsmerter – Anamnese**: **Smertekarakter: (START ANAMNESE ALTID MED KARAKTER!)** * **Klemmende/trykkende/pressende** --> obs. **1** * **Ulidelig/kraftig/skærende/stikkende/rivende** --> obs. **2** * **Respirationssynkrone smerter (forværres ved dyb inspiration og hoste)** --> obs. **3** * Skarp/stikkende --> obs. **4** * Anstrengelsessmerter (forværres ved anstrengelse/fysisk aktivitet) --> obs. **5** * Brændende/sviende --> obs. **6** * Udløses ved tryk på ”tender points” (forværres ved palpation/bevægelse) --> obs. **7**
1: **AKS**, stabil angina 2: **aortadissektion** 3: **LE, pneumothorax**, pneumoni, perikarditis 4: perikarditis 5: stabil angina 6: GERD, ulcus, etc. 7: myalgi (muskuloskeletale smerter)
190
**Brystsmerter – Anamnese**: **Lokalisation og Udstråling**: * **Retrosternalt; udstråling til ve. arm, hals, underkæbe** --> obs. **1** * **Forsiden af brystet; udstråling til ryg** --> obs. **2** * Sternum/apex; udstråling til nakke og ve. skulder --> obs. **3** * Under hø. kurvatur / epigastriet --> obs. **4** * Retrosternale epigastrielle/opadstigende smerter --> obs. **5**
1: AKS, stabil angina 2: aortadissektion 3: perikarditis 4: galdesten 5: GERD, ulcus, etc.
191
**Brystsmerter – Anamnese**: **Varighed**: * Svinder ved hvile, < 10 min --> obs. stabil angina * 10-30 min --> obs. **AKS** * > 30 min --> obs. **AKS** eller ikke-kardial årsag
192
**Brystsmerter – Anamnese**: **Forværrende faktorer**: * Forværres ved anstrengelse/fysisk aktivitet (anstrengelsessmerter) --> obs. **1** * Forværres ved dyb inspiration/hoste (respirationssynkrone smerter) --> obs. **2** * Forværres ved positionsændring --> obs. **3** * Forværres ved indtag af fed mad (fx kød, fisk, ost) --> obs. **4** * Forværres ved palpation/bevægelse --> obs. **5**
1: stabil angina, AKS 2: LE, pneumothorax, pneumoni, perikarditis 3: perikarditis 4: galdesten 5: myalgi (muskuloskeletale smerter)
193
**Brystsmerter – Anamnese**: **Lindrende faktorer**: * Lindres ved nitroglycerin --> obs. **1** * Lindres ved PPI (fx pantoprazol) eller madindtag --> obs. **2**
1: stabil angina 2: GERD, ulcus, etc.
194
**Brystsmerter – Anamnese**: **Andre symptomer**: * Udslæt langs et dermatom på den ene kropshalvdel --> obs. **1** * Smerte opstået ifm. traume --> obs. **2** * Intense koliksmerter (anfald af mavesmerter, der kommer i ture) --> obs. **3** * Smerter ledsaget af halsbrand og evt. sure opstød / fremoverbøjning --> obs. **4**
1: herpes zoster 2: pneumothorax, myalgi (muskuloskeletale smerter) 3: galdesten 4: GERD
195
**Brystsmerter – Objektiv us.**:
- Eyeballing – ABCDE - Vurder hudfarve, bevidsthedsniveau (GCS), respirationsarbejde - Vitalparametre: BT, puls, RF, SAT, temp., kapillærrespons - Inspektion og palpation af thorax og øvre ryg: thorax stabilt? Ømhed? - Auskultation: st.c. og st.p.
196
**Brystsmerter – Paraklinisk us.**:
**EKG** **Blodprøver**: * **Troponiner (TnT og Tnl)**: obs. AKS * **D-dimer**: kun ved klinisk mistanke om LE (ikke rutinemæssigt!) * **Andre**: Hb, infektionstal (CRP, leuko + diff.) væsketal, nyretal, levertal, lipase, TSH, CK-MB/myoglobin **A-gas** **Rtg. thorax** **UL**: FAST (traume), FHUS (hjerte), ekkokardiografi **Andet billeddiagnostik (efter klinisk vurdering)**: * **CT-thorax/CT-angiografi**: obs. LE, aortadissektion, malignitet * **KAG (koronarangiografi)**: obs. AKS * **Andre**: MR-hjerte, Myokardiescintigrafi / PET-CT **Mikrobiologi (kun ved mistanke om infektion)**: * Ekspektorat til dyrkning + resistens (D+R) * PCR (fx influenza, atypiske pneumonier, COVID-19)
197
**Akut koronart syndrom (AKS)**: **Inkluderer**: * Akut myokardieinfarkt (AMI): STEMI, NSTEMI * Ustabil angina pectoris (UAP) **Udredning og Diagnose**: **1**
1: **Akut myokardieinfarkt (AMI) – STEMI, NSTEMI**: * **Bl.p.: ↑ troponin (TnT og TnI)** * Iskæmiske symptomer * Diagnostiske EKG-forandringer: ST elevation --> STEMI; ST depression --> NSTEMI **Ustabil angina pectoris (UAP)**: * Iskæmiske symptomer * Bl.p.: N troponin (TnT og TnI)
198
Akut koronart syndrom (AKS): **Inkluderer**: * Akut myokardieinfarkt (AMI): STEMI, NSTEMI * Ustabil angina pectoris (UAP) **Behandling**: **1**
1: 1) **AKUT / Præhospitalfasen**: **MONA**: * Morfin * Oksygen (ilt) * Nitroglycerin (NTG) * Acetylsalicylsyre (ASA) **AK-behandling**: * STEMI: ufraktioneret **heparin** (UFH) * NSTEMI / UAP: fondaparinux **Symptomatisk behandling ved behov** 2) **Hospitalsfasen**: **STEMI**: akut KAG (koronararteriografi) **+ PCI (perkutan koronar intervention)** **NSTEMI / UAP**: akut (hæmodynamisk ustabil) KAG eller subakut (hæmodynamisk stabil, < 24 t) KAG **± PCI (perkutan koronar intervention)** 3) **Efter KAG**: ASA livslangt + Prasugrel/Ticagrelor **Begreper**: * Koronararteriografi (KAG): en røntgenundersøgelse af kranspulsårerne * Perkutan koronar intervention (PCI): en ballonbehandling, som udbedrer eller fjerner en forsnævring eller blokering af arterien, som følge af åreforkalkning eller blodprop
199
Diagnose, Udredning og Behandling? **Karakteristisk**: * Retrosternal trykken < 15 min varighed * Provokeres af fysisk aktivitet, kulde eller emotionel stress * Svinder for nitroglycerin eller hvile
Stabil angina (angina pectoris) - Hvis mistanke om obstruktiv koronarsygdom --> Videre udredning: **hjerte-CT (1. valg)** - **Behandling**: Nitroglycerin p.n., betablokker (1. valg) ± calciumantagonist, ASA og statin
200
Diagnose, Typer, Udredning og Behandling? **Karakteristisk/Kardinalsymptom**: - Pludseligt indsættende kraftige smerter i bryst, ryg og/eller abdomen, som ofte beskrives rivende eller skærende - Der kan være ledsagende neurologiske udfald
**Aortadissektion** * **Type A-dissektion**: alle dissektioner, der involverer aorta ascendens * **Type B-dissektion**: dissektion distalt for afgangen af venstre arteria subclavia Udredning: 1) **CT thorax/abdomen (CT-aortografi)** 2) **Ekkokardiografi (TTE)**: kan evt. påvise dissektionsmembran 3) Bl.p. med D-dimer: **Anbefales ikke**. Er d-dimer negativ, kan aortadissektion formentlig udelukkes **Behandling**: * **Type A-dissektion**: behandles primært **kirurgisk – akut operation** er vanligvis nødvendig – kontakt thoraxkirurg/hjertecenter * **Type B-dissektion**: behandles primært **medicinsk** alternativt **endovaskulært (indsættelse af stentgraft)**
201
**Perikarditis**: infektion i hjertets ydre (hjertesækken) – typisk virus **Endokarditis**: infektion i hjertets indre (hjerteklapperne) – typisk bakterie
202
**Knude på halsen – Differentialdiagnoser**:
”KITTA” **Kongenit**: * Lateral halscyste * Median halscyste **Infektiøs**: * **Reaktiv lymfadenitis** (typisk efter ØLI) * EBV * CMV **Tumor**: * Metastase på hals * **Lymfom** * Thyroideacancer * Leukæmi * Larynxcancer * Pharynxcancer * Mundhulecancer * Spytkirteltumor **Traume**: * Hæmatom **Andet**: * Sarkoidose
203
**Knude i mamma og aksil – Differentialdiagnoser**:
- **Brystkræft (mammacancer)** - Fibroadenom - Cyste - Absces - Reaktiv lymfadenitis (typisk efter ØLI)
204
**Patologisk udfyldning i abdomen – Differentialdiagnoser**:
- Tyktarmskræft (kolorektal cancer) - Hepatomegali - Splenomegali - Cyste - Ascites
205
**Knude på underkroppen – Differentialdiagnoser**:
- **Hernier (brok)** - Testiscancer - **Tumor i bevægelsesapparatet: bløddelssarkom, knoglesarkom** - Absces - Hæmatom
206
Palpable knuder – **Tegn på kræft (malignitetssuspekte fund)**:
- Hurtig vækst - Fiksation: fikseret til hud / dybere strukturer (ikke forskydelig) - Hård konsistens og uøm - Uregelmæssige kanter / dårlig afgrænset - Hudforandringer over knuden: fx rødme, sår, misfarving - Nerveudfald: fx føleforstyrrelse - B-symptomer: vægttab, nattesved, træthed, feber **Huskeregel**: * Smerte taler ofte imod malignitet * Bløde, mobile, ømme knuder er typisk benigne
207
Palpable knuder – **Anamnese**:
**Knudespecifik anamnese**: * Lokalisation: ensidig eller dobbeltsidig * Debut og varighed * Udvikling: vokser den? hurtig/langsom progression? * Smerter: øm/uøm? Konstant/intermitterende? * Inflammationstegn: rødme, varme, hævelse, smerte **Ledsagende symptomer**: * B-symptomer: træthed, vægttab, nattesved, feber * Infektionssymptomer: nylig ØLI, tandinfektion, hudinfektion, sår **Risikofaktorer**: * KRAM * Ekspositioner **Sygdomshistorie**: * Kendte sygdomme * Medicin * Dispositioner **Patientens egne overvejelser og bekymringer**
208
Palpable knuder – **Objektiv us.**:
**Inspektion**: * Lokalisation * Hudforandringer: rødme, sår, misfarving * Symmetri eller asymmetri (fx mellem bryst eller UE) **Palpation – Knudebeskrivelse**: * Størrelse * Konsistens: blød, hård, elastisk, flukturerende * Afgrænsning: velafgrænset eller uregelmæssig * Mobilitet: forskydelig eller fikseret til hud / dybt væv * Relation til dybden: subkutan (over fascien) --> ofte benign; dyb (under fascien) --> øget malignitetsrisiko * Inflammationstegn: rødme, varme, hævelse, smerte * Ømhed * (Ved knude i mamma: beskriv med klokkeslæt fra papillen) **Lymfeknude us.**: hals, axiller, inguinae
209
**Håndtering af forstørrede lymfeknuder på hals i almen praksis**: - Lille, blød, elastisk lymfeknude; nylig infektion; upåvirket patient --> **1** - Øm, rød, varm lymfeknude --> **2** - Forstørrede lymfeknuder på hals uden infektiøs/benign forklaring --> **3**
1: formentlig **reaktiv lymfadenitis** --> se an, giv tid til kontrol 2: obs. **akut lymfadenitis** --> tage bl.p. og evt. opstart AB 3: obs. **cancer** --> henvis til ØNH i pakkeforløb
210
**Kræftpakkeforløb – OUH**: - Mistanke om hoved-hals kræft --> henvis til **1** i kræftpakkeforløb - Mistanke om brystkræft (mammacancer) -> henvis til **2** i kræftpakkeforløb - Mistanke om øvrige kræftformer -> henvis til **3** i kræftpakkeforløb
1: ØNH-afd. 2: Bryst- / Plastikkirurgisk afd. 3: Diagnostisk Center
211
Reaktiv lymfadenitis (typisk efter ØLI): Definition: forstørrede/hævede lymfeknuder på inflammatorisk/infektiøs basis. Optræder sekundært til infektion i hoved-halsområdet Forekomst: **hyppigste årsag til forstørrede lymfeknuder på hals** **Årsag og Behandling**: **1**
1: **Unilateral (akut/kronisk)**: - Årsag: typisk ”**bakterie**” (fx S. aureus) - Behandling: AB (fx dicloxacillin/penicillin) **Bilateral (akut/kronisk)**: - Årsag: typisk ”**virus**” (fx EBV, CMV) - Behandling: observation
212
**Lymfomer**: - **Hodgkin vs. Non-Hodgkin**:
213
**Lymfomer**: Inddeling: - **Lavmalign (indolent)**: give 2 eksempler + karakteristika: **1** - **Høj-malign (aggressiv)**: give 2 eksempler + karakteristika: **2** Ann-Arbor stadieinddeling: se billede **Behandling**: **3**
1: - Hodgkin lymfom (HL) - Follikulært lymfom (FL) Sygdomsnatur: - **Kronisk IKKE-kurable** - **Langsom progression** - Langt forløb, flere recidiver - Oftest nodale - Mucosa associerede (MZL MALT) 2: - Diffust storcellet B-celle lymfom (DLBCL) - Burkitt lymfom (BL) Sygdomsnatur: - **Potentielt kurable** - **Hurtig progression** - Dårlig prognose ved recidiv - Nodale og ekstranodale - CNS-involvering 3: behandling afhænger af lymfomtype og stadieinddeling. Generelt: **kemoterapi + evt. andre behandlingsformer (fx strålebehandling)** * **Lav-malign (indolent)**: sygdomskontrol, ikke helbredelse * **Høj-malign (aggressiv)**: potentielt kurable
214
Hoved-hals kræft: - **Faresignaler i almen praksis**: generelt henvis patient AKUT til kræftpakkeforløb til ØNH-speciallæge (evt. ØNH-afd.) ved uforklarlig: **1** - Behandling: **2**
1: hæshed, synkebesvær, forstørrede lymfeknuder 2: "generelt" * **Kirurgi**: mundhule, kæbe, spytkirtler, thyroidea * **Strålebehandling**: pharynx, larynx, * **Kirurgi + strålebehandling**: næse-bihule, metastaser på hals
215
**Hvad skal du mistænke ved? (+ videre plan)**: * Palpatorisk suspekt tumor * Nytilkommen papilretraktion * Nytilkommen hudindtrækning * Papil-areolaeksem/ulceration * Klinisk suspekte aksillære lymfeknuder * Ukendt primær tumor med bioptisk verificerede axilmetastaser * Billeddiagnostisk suspekt forandring, som kræver yderligere udredning * Papilsekretion hos mænd udløser pakkeforløb
Brystkræft (mammacancer) - Henvis til Bryst- / Plastikkirurgisk afd. i kræftpakkeforløb
216
Brystkræft (mammacancer): Befolkningsscreeningen: mammografi hvert 2. år for kvinder fra 50-69 år **Udredning (i kræftpakkeforløb)**: **1** Behandling: **1**
1: **Tripletesten** er basis for mammaudredning og omfatter: * Klinisk us. af mammae * Billeddiagnostik (mammografi, UL og evt. MR) * Biopsi og histologi bekræfter diagnose 2: **Primærbehandling**: kirurgi + evt. adjuverende behandling (fx kemoterapi, strålebehandling) **Hvis også metastase**: indgreb i aksillen * **Lille knude**: lumpektomi (brystbevarende operation) * **Mellemstor knude**: onkoplastisk lumpektomi * **Stor knude**: mastektomi (fjernelse af hele brystet)
217
Sarkom: **Inddeling**: * Bløddelssarkom * Knoglesarkom **Henvis for sarkomudredning til ortopædkirurgisk afd. i kræftpakkeforløb ved følgende fund**: * Tumor > 5 cm i diameter * Tumor beliggende i eller under fascieniveau * Hurtigt voksende tumor (få måneder) * Palpabel knogletumor * Vedvarende knoglesmerter (ikke relateret til traume) Udredning: først rtg. så MR (optimale diagnostiske modalitet) Behandling: kirurgi
218
**Hernier (brok)**: **Placering**: se billede. Typisk: * Umbilikalhernie * Inguinalhernie (direkte og indirekte): over ligamentum inguinale * Femoralhernie: under ligamentum inguinale
219
Testikelkræft: Udredning og Diagnose: **1** Behandling: orkiektomi (fjernelse af syge testikel) Opfølgning: * Kontrol af tumormarkører * CT af thorax + abdomen (stadieinddeling efter orkiektomi) * Henvises til opfølgning på onkologisk afdeling
1: Objektiv us.: palpation af testis og lymfeknuder UL af skrotum Sæddeponering hvis fertilitetsønske Tumormarkører (før orkiektomi): - Alfa-føtoprotein (**AFP**) - Beta-human choriogonadotropin (**beta-hCG**) - **LDH**
220
**Nævn hyppigste årsager til ØVRE abdominalsmerter**:
- Ventrikel/duodenal ulcus - Funktionel dyspepsi - Reflukssygdom - Galdeblæresten - Akut cholecystit - Koledokussten - Akut/Kronisk pankreatitis - Pneumoni, pleuritis - AMI, angina pectoris
221
**Nævn hyppigste årsager til NEDRE abdominalsmerter**:
- Diverticulitis - Appendicitis - Gynækologisk lidelse (endometriose) - Cancer coli
222
**Hvad skal du mistænke ved? (+ videre plan)**: * Pludseligt indsættende, meget kraftig smerte (“knivstik”), ofte epigastrielt * Hurtig udvikling af peritoneale tegn (defense, slipømhed) * CT-abdomen: fri luft (diagnostisk)
**Perforeret ulcus** Videre plan: - **Akut kontakt til gastrokirurgisk vagthavende mhp. operation** - Preoperativt: akut ABCDE, iv. væske + AB + PPI
223
**Hvad skal du mistænke ved? (+ videre plan)**: * Konstante, diffuse smerter * Slipømhed og defense (spændt abdomen) * Ingen tarmlyde * Patienten ligger helt stille
**Peritonitis** Videre plan: * ABCDE * I.v. væske + bredspektret i.v. AB * **Akut kontakt til gastrokirurgisk vagthavende mhp. CT og operation**
224
**Hvad skal du mistænke ved? (+ videre plan)**: - Pludselige, dybe abdominalsmerter - Smerteudstråling til ryg - Kredsløbspåvirkning: synkope, hypotension, shock
**Aortaaneurisme (AAA / ruptur)** Videre plan: * ABCDE * **Akut kontakt til karkirurgisk/thorax-kirurgisk vagthavende mhp. CT og operation**
225
**Hvad skal du mistænke ved?**: - Tarmpassagen er ophørt (ingen afføring/luft) - Turevise/kolikagtige smerter - Metalliske/klingende tarmlyde ELLER ingen tarmlyde (senere forløb) - Ofte abdominal distension og opkast
**Ileus (tarmobstruktion)**
226
Ileus (tarmobstruktion): Hyppigste årsag: * Tyndtarmsileus: **adhærencer (sammenvoksninger af arvæv)** efter tidligere operation * Colonileus: cancer Udredning: **CT-abdomen** **Behandling**: **1** **Opsummering**: Stol aldrig på røntgenbilleder alene Klinikken er det afgørende: - Hvis patienten ikke kan smertedækkes --> alvorligt faresignal - Frisk blødning per rectum --> alvorligt faresignal --> tarmgangræn/iskæmi
1: * **Tyndtarmsileus**: primært konservativ behandling (sonde, væske, observation); kirurgi ved manglende bedring * **Colonileus**: typisk kirurgi, evt. stent
227
**Mavesmerter – Lokalisation**: **Afgrænsede smerter**: tyder på lokal proces, ofte organisk sygdom **Diffuse / generaliserede smerter**: er ofte en **funktionel tilstand**, men kan også skyldes udbredt **peritonitis (bughindebetændelse)**. Andre årsager: irritabel tyktarm, forstoppelse, cøliaki, gastroenteritis, diabetisk ketoacidose, mesenterisk iskæmi, tarmobstruktion
228
**Mavesmerter – Lokalisation**: - Hyppigste årsager ifm. abdominalregion: Øvre hø. kvadrant
Galdevejslidelse (galdesten, kolecystitis, koledokussten)
229
**Mavesmerter – Lokalisation**: - Hyppigste årsager ifm. abdominalregion: Epigastriet
- Sygdom fra ventrikel, øsofagus - Fx ulcussygdom, funktionel dyspepsi, GERD
230
**Mavesmerter – Lokalisation**: - Hyppigste årsager ifm. abdominalregion: Øvre ve. kvadrant
- Sygdom fra pankreas, ventrikel, milt - Fx akut pankreatitis, pancreascancer
231
**Mavesmerter – Lokalisation**: - Hyppigste årsager ifm. abdominalregion: Periumbilikalt
- Tidlig appendicitis - Sygdom i ventrikel, tyndtarm, obstruktion - Fx gastroenteritis, ileus
232
**Mavesmerter – Lokalisation**: - Hyppigste årsager ifm. abdominalregion: Nedre hø. kvadrant
- Akut appendicitis - Ekstrauterin graviditet (hos kvinder)
233
**Mavesmerter – Lokalisation**: - Hyppigste årsager ifm. abdominalregion: Suprapubisk
- Cystitis (UVI) - Urinretention
234
**Mavesmerter – Lokalisation**: - Hyppigste årsager ifm. abdominalregion: Nedre ve. kvadrant
- Divertikulitis - Ekstrauterin graviditet (hos kvinder)
235
**Akutte mavesmerter – Anamnese**:
**START ALTID MED AT SPØRGE HVAD PATIENT TROR HAN/HUN FEJLER!** **Smerteanamnese**: Lokalisation Smertekronologi: - Debut: pludselig/akut opstået eller gradvis opstået - Konstant eller turevis/episodisk - Varighed på smerterne Udstråling Intensitet: NRS / VAS Smertetype: neuropatiske og/eller nociceptive smerter Forværrende og lindrende faktorer Associerede faktorer: - Ledsagersymptomer - Medicin - Tidligere lignende mavesmerter - Tidligere kirurgi - Dispositioner - Etc.
236
**Akutte mavesmerter – Anamnese**: Udstråling: Til lysken: obs. **1**
1: ureterkolik. Undersøg altid for hernier
237
**Akutte mavesmerter – Anamnese**: Udstråling: Til ryggen: obs. **1**
1: galdevejslidelse (galdesten, kolecystitis, koledokussten), pankreatitis, aortaaneurisme / aortadissektion
238
**Akutte mavesmerter – Anamnese**: Udstråling: Til hø. skapula: obs. **1**
1: galdevejslidelse (galdesten, kolecystitis, koledokussten), ekstrauterin graviditet
239
**Akutte mavesmerter – Anamnese**: Udstråling: Til ve. skapula: obs. **1**
1: miltruptur, ekstrauterin graviditet
240
**Akutte mavesmerter – Anamnese**: Provokerende faktorer: * Smerteforværring ved fødeintag: obs. **1** Lindrende faktorer: * Smertelindring ved fødeintag: obs. **2** * Smertelindring ved afføring: obs. **3**
1: galdesten, pankreatitis 2: ulcersygdom 3: irritabel tyktarm (IBS)
241
**Akutte mavesmerter – Objektiv us.**:
**Vitalia**: BT, puls, RF, SAT, temp. **Abdominal us**.: **Inspektion**: - Patienten ligger helt stille: obs. peritonitis - Patienten kan IKKE ligge stille: obs. koliksmerter (galde-/nyresten) **Auskultation**: - Ingen tarmlyde (efter 1 min) --> paralytisk ileus - Metalliske/klingende tarmlyde som kommer i bølger --> mekanisk ileus **Perkussion** **Palpation**: - Direkte ømhed + indirekte ømhed + slipømhed --> obs. perforeret ulcus, peritonitis - Maksimum smerte ved McBurneys punkt --> obs. appendicitis **Rektaleksploration**: indiceret ved mistanke om GI-blødning, ileus eller obstipation **Gynækologisk undersøgelse (GU)**: indiceret ved nedre mavesmerter hos kvinder
242
**Akutte mavesmerter – Parakliniske us.**:
(Den eneste blodprøve, der kan bruges diagnostisk i mave-tarmkirurgien: **P-amylase**. Alle andre benyttes til give en idé om, hvad pt. fejler og til at vurdere patientens tilstand) **Blodprøver**: Hb, leuko m. diff., trombo, CRP, elektrolytter, kreatinin, ALT, ALP, GGT, bilirubin, LD, INR, **amylase (obs. akut pankreatitis)** **Billeddiagnostik**: * CT-abdomen er standard * UL: bruges formentlig kun ved mistanke galdevejslidelse (galdesten, kolecystitis **Andre prøver ved mistanke**: - Kvinder i fertil alder: S-HCG - Ved UVI-symptomer: urinstix og urindyrkning - Ved feber: bloddyrkning x2 - Ved diarré: fæcesprøve for tarmpatogener + C. difficile, F-calprotectin - Ved påvirket patient: blodgas med laktat, cøliakiserologi, hepatitisserologi - Ved mistanke om blødning: gastroskopi / koloskopi
243
**Indikation for AKUT operation ved akut abdomen**:
- Diffus peritoneal reaktion eller defence (spændt abdomen) – (Undtagelse: forhøjet S-amylase x5 --> obs. akut pancreatit) - Fri luft i abdomen (--> mistanke om hulorganperforation) - Shock (--> mistanke om skjult blødning, sepsis, tarmiskæmi eller perforation)
244
Diagnose? * Smerteanfald under højre ribbenskant med udstråling til højre skulder/skulderblad * Af timers varighed * Evt. kvalme/opkastninger * Nogle gange efter "fed" mad
Galdesten
245
**Galdesten**: Udredning og Diagnose: UL **Behandling**: **1** **Præoperativ information til patient, der indstilles for laparoskopisk kolecystektomi**: **2**
1: * **1-2 anfald sidste 5 år; asymptomatisk patient**: symptomlindring (Voltaren [NSAID], Buscopan) * **Flere anfald; recidiverende gener**: laparoskopisk kolecystektomi (fjernelse af galdeblære) 2: * Risiko for blødning og infektion * Risiko for skade på dybe galdeveje * Risiko for vedvarende smerter efter operation
246
Diagnose? Symptomer på galdesten + feber, positiv Murphy's tegn, forhøjede infektionstal
Kolecystitis (galdeblærebetændelse)
247
**Kolecystitis (galdeblærebetændelse)**: Årsag: skyldes næsten altid sten i galdeblæren Udredning og Diagnose: UL (typisk: galdesten, fortykket lagdelt galdeblærevæg og ødem af galdeblærevæg) **Behandling**: **1**
1: laparoskopisk kolecystektomi (fjernelse af galdeblære)
248
Diagnoser? Nyopstået ikterus og øvre abdominalsmerter: **1** Nyopstået ikterus og øvre abdominalsmerter (+ feber): **2**
1: Koledokussten/Koledokolitiasis (sten i dybe galdeveje) 2: Kolangitis (betændelse i galdegangene)
249
Koledokussten/Koledokolitiasis (sten i dybe galdeveje): **Behandling**: **1**
1: ERCP med stenekstraktion
250
Diagnose? 1) Akutte, persisterende, svære epigastriske smerter (ofte udstråling til ryggen) 2) >3 gange forhøjet amylase/lipase 3) Karakteristiske fund ved CT (evt. UL eller MR)
Akut pankreatitis (akut bugspytkirtelbetændelse)
251
Akut pankreatitis (akut bugspytkirtelbetændelse): **Behandling**: **1**
1: symptomatisk behandling efter ABCDE-principperne
252
Diagnose? Nyopstået ikterus, øvre abdominalsmerter, B-symptomer (vægttab, nattesvede, feber, træthed)
Pancreascancer (kræft i bugspytkirtlen)
253
Pancreascancer (kræft i bugspytkirtlen): Udredning og Diagnose: CT-abdomen Behandling: **1** **Prognose**: sandsynlighed for at være i live om 5 år efter en radikal operation for pancreascancer: ca. 30%
1: kirurgi/operation * Whipples operation (hyppigst) * Distal/Total pancreasresektion (sjælden)
254
Diagnose? * AKUT opståede flankesmerter – stærke smerter i flanken, strålende ned mod lysken * Hæmaturi – oftest mikroskopisk
Nyresten (Urolithiasis)
255
Nyresten (Urolithiasis): Forekomst: hyppigst hos 30-40 årige mænd Udredning og Diagnose: **non-kontrast-CT-skanning (NCCT) af nyrer og urinveje** **Akutbehandling**: **1**
1: * Smertebehandling: Voltaren 75 mg i.m. (NSAID) + Buscopan 20 mg i.m. Ved manglende effekt: Morfin depot 5-15 mg i.m. * Væskerestriksjon så længe smerteanfaldet varer
256
Diagnose? * Smertevandring fra umbilicus til højre fossa * Alment medtaget patient * Ofte febrilia og forhøjede infektionsparametre
Akut appendicitis (akut blindtarmsbetændelse)
257
Akut appendicitis (akut blindtarmsbetændelse): **Behandling**: **1**
1: laparoskopisk appendektomi [fjernelse af blindtarmen] (ukompliceret < 24 timer; kompliceret < 8 timer)
258
Diagnose? * Smerter i nedre venstre kvadrant (vigtigst!) * Feber * Ømhed ved palpation * Forhøjede infektionstal * Evt. ændret afføringsmønster (diarré eller obstipation)
Akut divertikulitis
259
Akut divertikulitis: Definition (se billede næste slide): en betændelse eller infektion i små udposninger (divertikler) i tyktarmens væg Forekomst: findes **hyppigst i sigmoideum** Udredning og Diagnose: **CT-abdomen** **Behandling**: **1**
1: * Ukompliceret: observation ± AB * Kompliceret: AB ± perkutant dræn * Svær / Peritonitis: akut kirurgi
260
Ekstrauterin graviditet (ektopisk graviditet): Definition og Forekomst: graviditet uden for livmoderen. **Hyppigst i én af æggelederne (95%)** **Udredning og Diagnose**: **1** **Behandling**: **2**
1: * Graviditetstest: S-hCG / U-hCG * GU: lateraliserede smerter – smerter på det ene adnex * Menostasi/uregelmæssig blødning/pletblødning * Transvaginal UL (<-- diagnostisk) 2: * **Upåvirket patient**: vurdere behandling med methotrexat samt tæt observation * **Påvirket patient**: akut kirurgi (**salpingektomi** – fjernelse af den ene æggeleder)
261
**Diagnose og Behandling?** Karakteristisk: * Pludseligt indsættende, meget voldsomme abdominalsmerter, ofte periumbilikalt – Smerter ude af proportion * Kvalme, opkastning og evt. diarré * Efter 6–12 timer: peritoneal reaktion, blodig diarré, alment påvirket, præshock/septisk shock
**Akut tarmiskæmi (mesenteriel iskæmi)** Behandling: * Akut stabilisering: behandling af hypovolæmi, kredsløbssvigt, sepsis og evt. arytmier * Konf. karkirurgisk vagthavende – skal foretages akut CT-angiografi * Revaskularisering inden 6–12 timer (endovaskulært eller åben kirurgi) * Ved nekrose: tarmresektion ± AK-behandling
262
Diagnose, Udredning og Behandling? - Definition: en tilstand, hvor der er unormalt mange bakterier i tyndtarmen, hvilket normalt skal have meget få, og fører til symptomer som oppustethed, mavesmerter, diarré eller forstoppelse
Bakteriel overvækst - Udredning og Diagnose: **pusteprøve (Breath Test)**: måler produktion af brint (og/eller methan) efter indtagelse af sukker, da bakterierne fermenterer sukkeret - Behandling: AB (fx Rifaximin)
263
**Nævn de hyppigste årsag til halssmerter**:
- **70%**: virus (rhinovirus, adenovirus, parainfluenzavirus, CMV-virus, coxsackievirus, etc.) - **30%**: gruppe A streptokokker (GAS) - **2%**: mononukleose (EBV / CMV)
264
Halssmerter i almen praksis: - **Objektiv us.**:
* Inspektion af mundhule og svælg * Palpation af ydre hals * Otoskopi * Tympanometri * Stetoskopi: st.c. og st.p.
265
Halssmerter i almen praksis: - **Parakliniske us.**:
* **Strep A-test**: ved mistanke om bakteriel tonsillitis – Centor-kriterier * **Monospot (EBV)**: ved mistanke om mononukleose * **Bl.p.**: CRP, leuko m. diff.
266
**Tonsillitis (halsbetændelse)**: **Årsag**: virus (hyppigst), bakterielt (GAS – gruppe A streptokokker) **Udredning og Diagnose**: **1** **Behandling**: **2**
1: se billede. CENTOR-kriterierne (vurderer sandsynlighed for halsbetændelse pga. GAS). Ved ≥ 2 point --> tag Strep A-test 2: AB (p.o. penicillin) ved påvist GAS
267
**Mononukleose (kyssesyge)**: **Årsag**: * Epstein Barr virus (EBV) – **80%** * Cytomegalovirus (CMV) – **20%** **Symptomer**: * EBV giver typisk **1** * CMV giver typisk **2** * Andre symptomer: muskel- og ledsmerter, hepatosplenomegali **Udredning og Diagnose**: **3** **Behandling**: **4**
1: halssymptomer (synkesmerter, hævede tonsiller, rødme) 2: feber og hævede lymfeknuder 3: * EBV: **monospot** (hurtigtest; heterofile antistoffer) eller EBV-serologi (IgM/IgG) * CMV: CMV-serologi (IgM/IgG) 4: symptomatisk behandling: paracetamol/NSAID, væske, hvile
268
Diagnose? * Hyppigste komplikation til akut tonsillitis (halsbetændelse) * Ensidige smerter, feber, påvirket AT * **Trismus (nedsat gabeevne – kan ikke åbne munden)** * Synkesmerter, kraftige øresmerter * Kartoffeltale * **Uvula devierer mod rask side**
**Peritonsillær absces**
269
**Peritonsillær absces**: Komplikationer: **potentiel luftvejstruende tilstand** pga. kan give voldsomt ødem i larynx --> respirationsbesvær --> kvælning **Behandling**: **1**
1: * 1.valg: drænage + i.v. AB (penicillin + metronidazol) * Ved indikation: tonsillektomi
270
Diagnose og Behandling? * Kraftige øresmerter * Rød ydre øregang * Normal tympanometri
**Otitis externa (øregangsbetændelse)** Behandling: 1: * Smertestillende medicin (Pamol) * Øreskylning med saltvand * Øredråber (AB og kortikosteroid)
271
Diagnose og Behandling? * Akut debut, ofte efter forkølelse * Rød frembulende trommehinde * Tympanometri: flad kurve (B-kurve)
**Akut otitis media (akut mellemørebetændelse)** Behandling: primært smertelindring. Ved ingen bedring kan AB gives
272
Diagnose og Behandling? * Efterforløbet af akut otitis media * Oftest få eller ingen symptomer (ingen feber/smerter) * Væske i mellemøret * Retraheret og gullig trommehinde * Tympanometri: flad kurve (B-kurve)
**Sekretorisk otitis media (sekretorisk mellemørebetændelse)** Behandling: 1: * Afvent behandling (spontan remission hos 80% ila. 3 mdr.) * Give kontroltime om 3 mdr. – hvis samme tilstand --> henvisning til ØNH-læge --> indlæggelse af trommmehindedræn
273
Diagnose og Behandling? * Feber, påvirket AT * Rødme, hævelse, ømhed, fluktuation bag øret * Kan være en komplikation til akut otitis media (sjælden komplikation)
**Akut mastoidit** Behandling: 1) AB og smertelindring 2) Kirurgisk drænage (paracentese/mastoidektomi) ved manglende effekt eller komplikationer
274
Diagnose og Behandling? - Påvisning af trommehindeperforation > 3 mdr. varighed (kronisk)
Kronisk otitis media (kronisk mellemørebetændelse): - Behandling: 1) rengøring af øregangen; 2) ciprofloxacin øredråber
275
Diagnose og Behandling? * Kronisk øreflåd (”ørevoks”) * Ofte ildelugtende * Hvidligt debris i øregangen
Kolesteatom (benæder): - Behandling: kirurgisk behandling (fjernelse af alt kolesteatom-materiale)
276
Diagnose og Behandling? * Kronisk hørenedsættelse * INGEN øresmerter eller øreflåd
Otosklerose: - Behandling: kirurgisk behandling (stapedotomi)
277
Diagnose og Behandling? * Kalkaflejring i trommehinden * Ofte efter mange infektioner over tid (kronisk)
Myringosklerose: - Behandling: høreapparat, evt. kirurgisk behandling (mht. forbedring af hørelse)
278
Diagnose og Behandling? - Forudgående ØLI efterfulgt af typiske symptomer som: ansigtssmerter eller tandsmerter, næsesekret, næsetæthed og nedsat lugtesans, natlig tør hoste og øm hals
**Sinuitis (bihulebetændelse)** Behandling: saltvandsskylning, nasalt steroid, Zymelin/Otrivin
279
**Næsefraktur**: - Anamnese og Objektiv us.:
**Næsefraktur**: **Fokuseret anamnese**: * Skadesmekanisme/traume * Epistaxis (næseblødning), nasalstenose * Tidligere næsetraume/-kirurgi eller deformitet * Nytilkommen malokklusion (forkert sammenbidning af tænderne) (obs. kæbefraktur) **Objektiv us.**: * ABCDE: vurder lufvej (obs. posterior blødning ned i svælget) * Inspektion/palpation af ansigt: deformitet, konturspring, krepitation, sensibilitet * Øjne: visus, dobbeltsyn, øjenbevægelighed (obs. blow out-fraktur) * Tænder: løshed, fraktur Næseinspektion (speculum/endoskopi): - Fjern koagler, slimhindedetumescering (fx lidocainadrenalin) - Vurder septum for fraktur, deviation og septumhæmatom - Vurder luftpassage og behandl epistaxis
280
Næsefraktur: **Vurdering og Behandling**: * **Septumhæmatom**: **1** * Åben fraktur eller svær deformitet --> konf. vagthavende ØNH-læge --> akut operation
1: rød, fluktuerende septumhævelse --> konf. vagthavende ØNH-læge --> akut incision + AB (inden for 24 timer)
281
**Nævn 3 differentialdiagnoser til stridor**:
- Akut epiglottitis (strubelågsbetændelse) - Akut laryngitis – Pseudocroup (falsk strubehoste) - Fremmedlegeme i luftvejene
282
Diagnose og Behandling? * Højfebril, påvirket AT * Dyspnø med inspiratorisk stridor * Synkebesvær, savlen, spytflåd * Udtalt ømhed ved palpation af larynx
**Akut epiglottitis (strubelågsbetændelse)** Forekomst: sjælden i Danmark pga. vaccination mod H. influenzae type B (Hib) Behandling: * Livreddende behandling med sikring af frie luftveje * Steroid for at forhindre ødem * I.v. AB
283
Diagnose og Behandling? * Hyppig hos børn * Kortvarig forkølelse, hæshed og let feber * Typisk anfald aften/nat efter kort tids søvn, hvor barnet vågner med søløvelignende hoste og inspiratorisk stridor * Vejrtrækningsbesvær med indtrækninger
**Akut laryngitis – Pseudocroup (falsk strubehoste)** Årsag: parainfluenza-virus (op mod 75%) Behandling: * Trin 1: sidde op, berolige, fugtet og kølig lufte * Trin 2: adrenalin inh. og/eller glukokortikoid inh., iltbehandling, intubation
284
Fremmedlegeme i luftvejene: Lokation: hyppigst i hø. hovedbronkie Karakteristisk: * Umiddelbare symptomer: pludselig kraftig hoste, dyspnø, kortvarig cyanose * Sene symptomer: upåvirket barn, varierende grad / ingen hoste og feber Udredning og Diagnose: rtg. thorax **Behandling**: **1**
1: * Upåvirket: bronkoskopi med fjernelse af fremmedlegeme * Påvirket: AKUT – FØRSTEHJÆLP ALGORITME
285
Hypertension: **Definition og graduering af hypertension**: se billede Årsag (90-95%): polygen arvelighed + livsstil **Udredning og Diagnose**: **1**
1: * Alle med nydiagnosticeret hypertension bør før behandlingsstart have udført en **hjemme-BT-måling**, alternativt en 24-timers døgn-BT-måling * Hvis klinik-BT er ≥ 180/110mmHg og/eller ved hypertensionsmedieret organskade kan behandling påbegyndes uden forudgående hjemme-/døgnmåling
286
Hypertension: **Behandling**: **1** **Behandlingsmål**: **2** **Opfølgning**: **1**
1: **Non-farmakologisk behandling (VIGTIGST!)**: KRAM-faktorer (kost, rygestop, alkohol, motion) **Farmakologisk behandling**: 1.valg: - ACE-hæmmer (Ramipril) / AT2-antagonisk (Losartan) - Calciumantagonist (Amlodipin) - Thiazid (Centyl) **Supplement af statiner**: overvej/indikation for at behandle LDL ved SCORE2: * For yngre: ≥ 2,5% * For ældre: ≥7,5% 2: **Blodtryk**: - Patienter 18-80 år: 120-135/70-85 mmHg - Patienter > 80 år: SBT 130-145 mmHg **Statin**: - LAV-risikopatienter: LDL < 2,6 mmol/l - HØJ-risikopatienter (aterosklerotisk kardiovaskulær sygdom, diabetes, apopleksi/TIA, nedsat nyrefunktion [eGFR < 30]): LDL < 1,8 mmol/l
287
Hypertension: **Opfølgning**: **1** **Overvej henvisning / indlæggelse**: se billede
1: * **I opstartsfasen**: kontrol hver 3.-4. uge i 3-6 måneder * **Efter stabilisering**: kontrol 2-3 ganger per år, herefter årskontroller
288
**Shock**: **Definition**: utilstrækkelig vævs- og organperfusion * BT-fald: SBT < 90 mmHg ELLER et fald i SBT på ≥ 40 mmHg * HUSK: shock er ikke betinget af hypotension men derimod hypoperfusion af vitale organer **Inddeling**: **1** **Karakteristisk**: **2** **Anamnese og Behandling**: * ALTID først ABCDE-gennemgang * HUSK: sygehistorien er afgørende for at identificere årsag * Vigtigt at kortlægge funktionsniveau * Det er afgørende at blive klar over tidligere hjertesygdom, GI-sygdom, medicinforbrug og forekomst af type 1 allergi * Behandlingen målrettes de enkelte former for shock
1: * Hypovolæmisk shock * Kardiogent shock * Septisk shock * Obstruktivt shock * Anafylaktisk shock 2: tegn på utilstrækkelig organperfusion **CNS**: konfusion, nedsat bevidsthed, bevidstløshed **Respiratorisk**: - ↑ RF (takypnø), dyspnø, cyanose - Udtalt dyspnø: obs. obstruktivt shock, anafylaktisk shock **Circulatorisk**: - ↓ BT (hypotension), ↑ puls (takykardi) - Tegn på blødning? - Tegn på stase? - Kold, bleg og fugtig hud: obs. hypovolæmt shock, kardiogent shock - Varm og blussende hud: obs. septisk shock, anafylaktisk shock **Renalt**: nedsat/ingen diurese
289
Hypovolæmisk shock: Årsag: * Tab af blod: fx GI-blødning * Tab af plasma: fx brandsår * Tab af væske og elektrolytter: fx dehydrering, opkastning, diarre **Behandling**: **1**
1: * ABCDE: ilt (15 l/min), væske (NaCl) * Ved mistanke om aktiv blødning: tidlig blodtransfusion og Tranexamsyre * Ved massiv transfusion eller hypocalcæmi: Calcium
290
Kardiogent shock: Årsag: fx AKS, arytmier, hjertesvigt, etc. **Behandling**: **1**
1: * ABCDE: ilt (15 l/min) * **Ved ustabile arytmier**: DC-konvertering ± amiodaron/magnesium * **Ved lungestase og sufficient BT**: Furix ± Nitroglycerin * **Ved hypotension og lav diurese**: Noradrenalin (1. valg)
291
Septisk shock: - Definition: sepsis med vedvarende hypoperfusion (fortsat SBT < 90 + laktat > 2 mmol/l), på trods af adækvat væsketerapi (30 ml/kg) **Behandling**: **1**
1: * **Kontakt intensiv afdeling** mhp. vasopressorbehandling (noradrenalin) og intensiv monitorering * Skift AB-behandling til: Tazocin 4+0,5g x4 + Gentamicin 5mg/kg x1 * Overvej Hydrocortison ved refraktært/vedvarende shock
292
Obstruktivt shock: Årsag: lungeemboli, hjertetamponade, trykpneumothorax Behandling: **1**
1: behandlinger retter sig mod at ophæve obstruktionen, dvs. hhv.: * **Lungeemboli**: trombolyse ved shock (ikke shock: --> AK-behandling) * **Hjertetamponade**: akut perikardiocentese, efterfulgt af dræn eller evt. operation (thorakotomi eller sternotomi) * **Trykpneumothorax**: akut nåledekompression, så anlæggelse af pleuradræn
293
Anafylaktisk shock: Årsag: fx stik (vepse, bie), mad (nødder, mælk), medicin (AB) Karakteristisk reaktion: **angioødem (Quinckes ødem)** – hævelser hyppigt i ansigtet, rundt om øjne, læber og mund **Behandling**: **1** **Videre plan og opfølgning**: **2**
1: 1) Primærbehandling: **i.m. 0.3 mg Adrenalin (EpiPen) (lår)** 2) ABCDE: ilt (15 l/min), væske (NaCl) 3) Supplerende behandling: - Antihistamin - Glukokortikoid 2: * Personer, der har udviklet anafylaktisk shock, skal fremover have recept udleveret og bære en adrenalinpen * De, som har haft anafylaktiske reaktioner, skal henvises til allergispecialist
294
**Forklar hvilke prætransfusionsanalyser som skal foreligge inden udlevering af blodkomponenter**
Udlevering af blodkomponenter forudsætter at der foreligger blodprøve for: * **Blodtypebestemmelse (ABO, RhD)**, og * **Forligelighedsundersøgelse (BAC-test eller BF-test)** Blodtypebestemmelsen (ABO, RhD) skal være baseret på 2 uafhængige blodprøver, taget ved to separate identitetskontroller, for at minimere risiko for identitetsfejl BAC-test og BF-test har en gyldighed på op til 4 døgn
295
Blodtypebestemmelse: - Hvem kan modtage RhD positivt blod?: **1** - Hvem kan modtage RhD negativt blod?: **2**
1: Kun RhD positive recipienter 2: Alle
296
Forligelighedsundersøgelse: - Hvad er BAC-test?: **1** - Hvad er BF-test?: **2**
1: konfirmation af patientens AB0- og RhD-type + undersøgelse for irregulære erytrocytantistoffer 2: anvendes kun ved fund af irregulære erytrocytantistoffer (ved BAC-test)
297
**Foreligger INGEN prætransfusionsanalyser udleveres**
* Erytrocytkomponenter af **blodtype 0** (RhD-negativ til kvinder i fertil alder [≤ 50 år]) * Plasma af **blodtype AB** * Trombocytkomponenter af **blodtype 0** (kan dog udleveres uafhængigt af AB0- og RhD-type i akutte situationer)
298
**Nævn vigtige faktorer som indgår i den kliniske vurdering af den enkelte patients transfusionsbehov**
- Kliniske anæmisymptomer: brystsmerter, ortostatisk hypotension eller takykardi, der ikke responderer på væskebehandling - Patientens alder, diagnose og komorbiditet, herunder hjerte-, kar- og lungelidelser - Pågående blødning - Anæmiens årsag og varighed, herunder om anæmien er opstået akut eller kronisk - Andre parakliniske værdier, fx arteriel iltmætning - Hensyn til planlagte procedurer / kirurgi
299
**Vejledende retningslinjer for blodkomponentterapi til patienter med kontrollabel blødning (blødning og stabilt kredsløb)**:
**Overvej erytrocyttransfusion når**: * **Hb < 5,6 mmol/l** og samtidig livstruende blødning (præget af kredsløbssvigt) eller akut koronart syndrom (AKS) i iskæmisk fase * **Hb < 4,7 mmol/l** og samtidig kronisk hjertesygdom (fx atrieflimmer, hypertension, stabil angina, etc.) * **Hb < 4,3 mmol/l** og/eller symptomer på anæmi, der ikke responderer på væskebehandling (”til alle øvrige patienter”) Den videre behandling af kontrollabel blødning omfatter transfusion af plasma og trombocytter afhængig af sværhedsgraden. Enten vejledt af tromboelastometri (ROTEM) eller efter følgende princip: * Efter 4 erytrocytkomponenter gives erytrocytter og plasma i forholdet 1:1 * Efter 10 transfusioner (7 erytrocytkomponenter + 3 plasmakomponenter) gives erytrocytter, plasma og trombocytter i forholdet **4:4:1**
300
**Vejledende retningslinjer for blodkomponentterapi til patienter med livstruende blødning (hæmodynamisk instabilitet, dvs. svigtende kredsløb med utilstrækkelig vævsgennemblødning/-oxygenering og laktatdannelse)**:
Fra den tidligste fase gives balanceret blodkomponentbehandling i forholdet: **Erytrocytter 4 : FFP 4 : trombocytter 1 (4:4:1 princippet)** Videre behandling kan ske vejledt af tromboelastometri (ROTEM) Behandlingsmål: at opnå Hb-niveau på 5,0-6,0 mmol/l samt normal hæmostase evalueret ved ROTEM/TEG
301
**Forventet effekt af blodkomponenter** (voksen patient ca. 75 kg): - 1 erytrocytsuspension: **1** - 1 trombocytsuspension: **2** - 1 frisk frosset plasma (FFP): **3**
1: stigning i Hb på ca. 0,5 mmol/L 2: stigning i trombocytter på ca. 30 x 109/L 3: stigning i koagulationsfaktorer på ca. 20-30%
302
**Forholdsregler ved akutte transfusionskomplikationer – Umiddelbare handlinger ved enhver transfusionskomplikation**:
1) Stop transfusionen umiddelbart. Bevar i.v. adgangen og giv NaCl i samme venflon 2) ABCDE-gennemgang: * Vurder AT * Mål vitale parametre: BT, puls, RF, SAT, temp. * Behandl akutte symptomer (ilt, væske, etc.) 3) Kontakt vagthavende læge / bagvagt om nødvendigt 4) Tjek blodkomponent, patient ID og følgeseddel for uoverstemmelse 5) Kontakt blodbanken: Registrér transfusionskomplikation Følg blodbankens instruks for transfusionskomplikationsudredning. Tage relevante prøver: - Blodprøver (fx Hb, LDH, haptoglobin, bilirubin, etc.) - Urinprøve (hæmoglobinuri) - Rtg. thorax (ved mistanke om TRALI/TACO) - Blod- og urindyrkning (ved mistanke om feber/sepsis) Returner blodkomponentrester til blodbanken til undersøgelse
303
**Blodtransfusion – årsag/patomekanisme**:
- Leukocytantistoffer hos recipient der reagerer med donorleukocytter og fører til cytokinfrigørelse - Frigørelse af cytokiner under opbevaring af blodkomponenten
304
Transfusionskomplikationer: - Hyppigst forekommende transfusionsreaktion: **1** - Hyppigste årsag til transfusionsrelateret død: **2**
1: febril non-hæmolytisk transfusionskomplikation (FNHTK) 2: transfusionsrelateret akut lungeskade (TRALI)
305
Akutte transfusionskomplikationer - **Febril non-hæmolytisk transfusionskomplikation (FNHTK)**: Opstår ≤ 4 timer efter transfusion **Nævn symptomer, sandsynlig årsag og klinisk handlingsplan**:
**Symptomer**: en eksklusionsdiagnose * Definition: temperatur ≥ 38 °C og/eller temperaturstigning ≥ 1 °C fra udgangsværdien * Evt. ledsagende symptomer: kulderystelser, hovedpine, varmefornemmelse, kvalme, opkastning **Sandsynlig årsag**: * Leukocyt (HLA)-antistoffer hos recipient der reagerer med donorleukocytter og fører til cytokinfrigørelse * Frigørelse af cytokiner under opbevaring af blodkomponenten **Klinisk handlingsplan**: symptomatisk behandling med paracetamol. Risikoen for FNHTK kan mindskes ved at nedsætte transfusionshastigheden. Ca. 15% oplever gentagne episoder af FNHTK og i de tilfælde kan der gives paracetamol før transfusion
306
Akutte transfusionskomplikationer - **Akut hæmolytisk reaktion (AHTR)**: Opstår ≤ 24 timer efter transfusion **Nævn symptomer, sandsynlig årsag og klinisk handlingsplan**:
307
Akutte transfusionskomplikationer - **Respiratorisk reaktion (TRALI / TACO)**: Opstår ≤ 6 timer efter transfusion **Nævn symptomer, sandsynlig årsag og klinisk handlingsplan**:
308
Akutte transfusionskomplikationer - **Allergisk reaktion**: Opstår ≤ 4 timer efter transfusion **Nævn symptomer, sandsynlig årsag og klinisk handlingsplan**:
309
Syg uden oplagt forklaring: **Differentialdiagnoser**: **1** **Anamnese**: **2**
1: * Mistænkt alvorlig sygdom (MAS) * Elektrolytforstyrrelser * Vaskulitis * Systemisk bindevævssygdom * Hjertesvigt * Nyresygdom * Stofskiftelidelse * Psykisk lidelse, herunder depression * Alkoholmisbrug * Livskrise 2: * **Udeluk faresignaler**: fx svimmelhed, dyspnø, kronisk hoste/hæshed, brystsmerter, kvalme/opkastninger, stærke mavesmerter, ændret afføring, etc. * **Udeluk B-symptomer**: vægttab, nattesved, træthed, feber
310
**Funktionelle lidelser**: **Eksempler**: se billede **Anamnese**: **1** **Behandling**: **2**
1: se billede 2: **Psykoedukation**: - Forklar sammenhængen mellem: krop ↔ stress ↔ nervesystem - Forklar at symptomerne er: almindelige, ufarlige, reversible **Kognitiv adfærdsterapi (KAT)**: (henivs til psykolog/psykiater) - Sygdomsforståelse - Dysfunktionelle antagelser - Alternative forklaringsmodeller - Sygdomsadfærd **Medicinsk behandling**: - Symptomlindring - Forebyg iatrogene skader (fejlbehandling af læge eller medicinbivirkning) Redskaber til funktionelle lidelser: symptomoverblik + ugeskema
311
Geriatrisk vurdering – Comprehensive Geriatric Assesment (CGA): Definition og Formål: * Multidimensionel og tværfaglig vurdering af svækkede ældre * Vurderer medicinske, fysiske og funktionelle evner * Hjælper med at lave en koordineret plan for behandling, opfølgning og forbedring af patientens samlede situation, med respekt for patientens ønsker Indeholder vurdering af: * Akutte og kroniske sygdomme * Medicin (medicingennemgang) * Ernæringstilstand * Mobilitet og styrke * ADL (almindelig daglig levevis): tidligere og nuværende funktion (egenomsorg og plejebehov) * Fysiske og kognitive problemer Mål: * Helbrede den akutte tilstand * Stabilisere kroniske tilstande * Forebygge (gen)-indlæggelser * Optimere funktionsniveau * Sikre patientens autonomi * Øge livskvaliteten * Sikre en værdig med patient og afslutning pårørende i samråd med patient og pårørende
312
Skrøbelighed: Definition: nedsat evne til at komme sig efter selv mindre sygdomsepisoder – et stadie med sårbarhed, hvor selv mindre sygdomsepisoder kan forårsage funktionstab og øget risiko for en række negative sundhedsudfald Vurdering til identifikation og graduering af skrøbelighed: **1**
1: **Clinical Frailty Scale (CFS)** – (VURDER PATIENTCASES MED AT STARTE FRA NR. 9 – [BAGFRA])
313
Diagnose? Definition: en kronisk, recidiverende, potentielt fatal inflammatorisk bindevævssygdom med symptomer fra mange organsystemer som hud, bevægeapparat, blodårer, nyrer og CNS
Systemisk lupus erythematosus (SLE)
314
Systemisk lupus erythematosus (SLE): Forekomst: **hyppigst kvinde 25-35 år (ca. 90%)** **Udredning og Diagnose**: der findes ingen diagnostiske kriterier for SLE - nævn karakteristika: **1** Kliniske fund (hyppigst): "sommerfugle-udslæt" og/eller diskoide hudforandringer, artritis, evt. neurologiske udfald **Behandling**: **2**
1: * Forekomst af **antinukleære antistoffer (ANA)**, og * Tegn på systemsygdom med mindst 2 organsystemer påvirket (hud, led, nyrer, serøse hinder, blod, lunger, nervesystem), og * Fravær af en anden diagnose, der bedre kan forklare patientens symptomer 2: der er ingen kurativ behandling **Basisbehandling for alle med SLE**: **Hydroxyklorokin (Plaquenil)** – antimalariamiddel **Symptomatisk behandling**: - **Ibuprofen (NSAID) for mildere manifestationer** (fx hudaffektion, ledsmerter og ledhævelser) - **Prednisolon for alvorligere sygdom** (fx renale, hæmatologiske eller neuropsykiatriske manifestationer)
315
**Vaskulitis (karbetændelse)**: Definition: en kronisk betændelse i blodkarrene – inflammation i karvæggen Patologi: inflammation i karvæggen --> iskæmi --> funktionstab i de afficerede væv og organer Udredning og Diagnose: afhænger af typen af vaskulitis, men oftest baseret på **sygehistorie, kliniske fund og biopsier** fra afficerede organer som understøtter diagnosen **Behandling**: **1**
1: * **Akut / Tilbagefald**: **Prednisolon (GC)** * **Vedligeholdsbehandling**: **Rituximab (RTX)** – eller Methotrexat (MTX), Azathioprin (AZA), Mykofenolat (MMF)
316
**Vaskulitis (karbetændelse)**: Inddeling: Primære vaskulitter og Sekundære vaskulitter Primære vaskulitter inkluderer: **Storkars vaskulitis**: arteritis temporalis (kæmpecelle arteritis); Takayasus arteritis **Mellemkars vaskulitis**: polyarteritis nodosa (PAN); Kawasakis syndrom **Småkars vaskulitis**: - **ANCA associerede vaskulitter**: granulomatose med polyangiitis (GPA); eosinofil granulomatose med polyangiitis (EGPA); mikroskopisk polyangiitis (MPA) - **Immunkompleks associerende vaskulitter**: Schönlein-Henochs purpura Sekundære vaskulitter inkluderer: fx infektionssygdomme, kræftsygdomme, bindevævssygdomme
317
Diagnose? Forekomst: - **Den hyppigste systemiske vaskulit sygdom** - Hyppigst hos personer >50 år Karakteristisk: - Nyopstået hovedpine - **Ømhed i hovedbunden (typisk temporalt)** - **Tyggesmerter (tyggeklaudicatio)** - **Øjensymptomer (pludseligt synstab)** - B-symptomer: træthed, feber, nattesved, vægttab - Typisk forhøjet CRP og SR
**Arteritis temporalis (AT) – kæmpecelle arteritis**
318
Diagnose og Behandling? Forekomst: den næsthyppigste vaskulitis hos børn Diagnose: **feber ≥ 5 dage** + 4 ud af følgende: 1) Bilateral konjunktivit 2) Udslæt (erytematøst, polymorft) 3) Cervikal lymfadenopati (forstørrede lymfeknuder) 4) Forandringer i mundhule, tunge, læber – (laklæber, jordbærtunge) 5) Forandringer på hænder og fødder (hævelse/afskalning)
Kawasakis sygdom Behandling: - 1.valg: i.v. immunoglobulin (IVIG) + Aspirin (acetylsalicylsyre) - Ved manglende effekt: højdosis steroidbehandling (Prednisolon)
319
Diagnose? Symptomer og Kliniske fund (karakteristisk): - **Øvre og/eller nedre luftveje (90%)**: klassisk initialfase: sinusitis, næseflåd, næseblødninger (epistaxis) - **Nyreaffektion (75%)**: hæmaturi, kreatininstigning eller som akut glomerulonefritis - Øvrige organsymptomer kan være fra led, hud, øjne, CNS, m.m.
Granulomatose med polyangiitis (GPA)
320
Diagnose? Definition og Karakteristisk: - Granulomatøs inflammation i luftveje hos patient med **astma** - Typisk meget høj eosinofil-tal i blodet (**eosinofili**) Symptomer og Kliniske fund: nerver og lunger er hyppigst involveret, men også hjerte, GI-kanalen, lever, nyrer, hud og andre organsystemer kan blive afficeret
Eosinofil granulomatose med polyangiitis (EGPA)
321
Diagnose? Symptomer og Kliniske fund: - Glomerulonefritis (80-100%) - Lungeforandringer (25-55%) - Andre organsystemer: hud, GI-kanalen, CNS, m.m.
Mikroskopisk polyangiitis (MPA)
322
Diagnose? Forekomst: den hyppigste vaskulitis i barnealderen Karakteristisk: **Kliniske fund (tetraden)**: * **Klassisk udslæt med palpabel purpura/petekkier deklivt/UE** * Artritis / Ledsmerter * Mavesmerter * Nyrepåvirkning (hæmaturi eller proteinuri) **Biokemi**: fravær af trombocytopeni eller koagulopati
Henoch-Schönleins purpura
323
Funktionel dyspepsi og Gastroøsofageal reflukssygdom (GERD): Definition og Karakteristika: **GERD**: opstår ved refluks af mavesyre til øsofagus - Kardinalsymptomer: **halsbrand, sure opstød** - Typisk forværring i liggende stilling, efter måltider eller ved fysisk aktivitet **Funktionel dyspepsi**: - En eksklusionsdiagnose - Smerter/Ubehag i øvre del af maven uden påviselig organisk sygdom Udredning og Behandling: **1** Diagnose: * Normal gastroskopi --> funktionel dyspepsi (hyppigst) * Unormal gastroskopi --> organisk sygdom: ulcussygdom, erosiv reflukssygdom, cancer
1: se billede * **INGEN alarmsymptomer og alder < 45 år** --> H. pylori test (urea-breath-test [”pusteprøve”] eller fæces-antigentest) * **Alarmsymptomer eller alder ≥ 45 år** --> gastroskopi
324
Inflammatorisk tarmsygdom (IBD): Inddeling: Crohns sygdom (CD), Colitis ulcerose (UC) **Placering**: - **Crohns sygdom (CD)**: kan forekomme i hele GI-kanalen – hyppigst: ileocaecal region - **Colitis ulcerose (UC)**: forekommer i colon – starter fra endetarm **Symptomer**: **1** **Udredning og Diagnose**: **2** **Behandling**: **3**
1: mavesmerter, etc. + * Crohns sygdom (CD): typisk vandig diarre * Colitis ulcerose (UC): typisk blodig diarre 2: F-kalprotektin, koloskopi med biopsi, m.m. 3: sygdomskontrollerende behandling **Profylaksebehandling**: **Crohns sygdom (CD)**: 1) Immundæmpende medicin (fx **Imurel** [Azathioprin], **Metex** [Methotrexat]) 2) Biologisk behandling (fx **Infliximab** [anti-TNFα]) **Colitis ulcerose (UC)**: 1) 5-aminosalicylsyre (**Mesalazin**) 2) Immundæmpende medicin (fx **Imurel** [Azathioprin], **Metex** [Methotrexat]) 3) Biologisk behandling (fx **Infliximab** [anti-TNFα]) **Anfaldsbehandling**: **Prednisolon**
325
Irritabel tyktarm (IBS, colon irritabile): Definition: * En eksklusionsdiagnose * Smerter/Ubehag i nedre del af maven uden påviselig organisk sygdom Forekomst: den mest almindelige GI-sygdom **Karakteristisk**: **1** **Udredning og Diagnose**: **2** **Behandling**: **3**
1: * Intermitterende mavesmerter * Ændrede afføringsvaner (diarré, obstipation eller skiftende) 2: **Rom IV-kriterierne**: Symptomdebut ≥ 6 mdr. siden Abdominalsmerter ≥ 1 dag/uge de sidste 3 mdr. + mindst 2 af følgende: - Relateret til defækation - Ændret afføringshyppighed - Ændret afføringsform/konsistens 3: symptomrettet behandling * **Diarre**: Loperamid (**Imodium**) * **Obstipation**: osmotiske laksantia (fx **Lactulose, Movicol**) + evt. peristaltikfremmende laksantia (fx **Laxoberal**) * **Abdominalsmerter**: antispasmodika (fx **Buscopan**)
326
(Multi)traume – initial håndtering: 1) **ABCDE-vurdering (ATLS)** 2) **Find og stop blødning ved mistanke om blødningsshock**: **4 primære blødningskilder**: * Ekstern blødningskilde: ekstremitetsfraktur (**rørknogler**) * Okkult blødningskilde: **thorax** (lunge-/kar-læsion, hæmothorax, aorta), **abdomen** (milt, lever, tarm, blære), **bækken** (fraktur, arterier/venøs blødning) 3) **Damage control ved betydende systemisk traume**: tidlig blødningskontrol, begrænset kirurgi, varme, transfusion, intensiv behandling
327
**Knoglebrud - Typer**: * **1**: et tværgående brud på knoglen * **2**: bruddet ligger skråt på knoglen * **3**: knoglen er blevet vredet * **4**: knoglen er splintret i mange stykker * **5**: en sammentrykning af en ryghvirvel * **6**: et ufuldstændigt brud hos børn * **7**: knoglebrud, men hvor der også er skade på ledflader, bindevæv og sener
1: Tværbrud 2: Skråbrud 3: Spiralbrud/drejningsbrud (torsionsbrud) 4: Splintringsbrud/knusningsbrud (komminut fraktur) 5: Kompressionsbrud 6: Green stick-fraktur 7: Lednære brud
328
**Hvad er forskellen mellem udisloceret og disloceret fraktur?**
**Udisloceret fraktur**: brud uden væsentlig forskydning --> typisk konservativ behandling (fx gips, bandage, armslyng) **Disloceret fraktur**: brud med væsentlig forskydning (i uacceptabel stilling) --> typisk reposition ± kirurgi (fx osteosyntese)
329
Typer af knoglebrud: * **1**: bruddet går gennem hele knoglen * **2**: bruddet går ikke gennem hele knoglen * **3**: huden er intakt over bruddet * **4**: sår i huden, som er opstået ifm. bruddet
1: Komplet knoglebrud 2: Inkomplet knoglebrud 3: Lukket knoglebrud 4: Åbent knoglebrud
330
**Knoglebrud - Behandling**: Det primære mål med behandlingen af et knoglebrud er, at bruddet sættes så nøjagtigt på plads som muligt (**reposition**): - Udisloceret brud: **1** - Disloceret brud: **2**
1: typisk konservativ behandling (fx armslynge, gips, skinne) 2: typisk kirurgi: - **Intern fiksation**: "invendig" operation (fx metalskinner, marvsøm, skruer, ståltråd) - **Ekstern fiksation**: "udvendig" operation (fx påsætting af en udvendig fiksationsanordning)
331
**Hvad er forskellen mellem Intra- og Ekstraartikulære frakturer?**
332
**Hvad er forskellen mellem stabil- og ustabil columnafraktur? (+ behandling)**
* **Stabil fraktur**: brud af 1 søjle. Behandling: konservativ * **Ustabil fraktur**: brud af ≥ 2 søjler. Behandling: operation
333
Diagnose og Behandling? - Karakteristisk: diagnosen skal mistænkes ved underbensskader/underarmsskader, med vedvarende kraftige smerter sv.t. muskelloger – ” smerter ude af proportion”
**Kompartmentsyndrom** - Behandling: akut fasciotomi (kirurgisk spaltning af muskelloger)
334
Børnefrakturer: Komplette frakturer: - Tværfraktur - Skrå- og spiralfraktur - Komminut fraktur Inkomplette frakturer: (**klassisk hos børn pga. elastisk knogle**) - Greenstick fraktur - Infraktion (torus) fraktur - Bowing (bøjningsfraktur) fraktur
335
Børnefrakturer – **Epifysefraktur**: **Beskriv Salter-Harris (SH) frakturerne**:
* **SH 1**: fraktur genom fysen * **SH 2**: fraktur genom fysen + METAfysært fragment (”innover”) (**hyppigst**) * **SH 3**: fraktur genom fysen + EPIfysært fragment (”udover”) * **SH 4**: fraktur genom fysen + metafysært og epifysært fragment * **SH 5**: kompressionsskade af fysen
336
Nævn sensorisk innervation af hænder:
**N. medianus**: - volart (palmart): 1-3 finger **N. ulnaris**: - volart (palmart): 4-5 finger - dorsalt: 4-5 finger **N. radialis**: - dorsalt: 1-3 finger
337
**Hovedtraume**: - **Udredning**: algoritme fra de skandinaviske retningslinjer – (Scandinavian Neurotrauma Committee – SNC)
338
**Abdominal traume**: Inkluderer bl.a.: milttraume, levertraume, nyretraume Udredning og Diagnose: **1** Gradering: **AAST (American Association for the Surgery of Trauma)** Behandling: behandling afhænger af AAST-grad og hæmodynamisk stabilitet
1: 1) FAST-UL 2) CT-abdomen
339
Splenektomi – forebyggende behandling:
- **Pneumokokvaccine** (VIGTIGT!): pga. forhøjet forhøjet risiko for pneumokoksepsis og andre typer sepsis (Neisseria meningitidis og Haemophilus influenzae) - AB-profylakse
340
**Utilsigtet vægttab – Differentialdiagnoser**:
Rækkefølge iht. hyppighed - **Malignitet (20-40%)**: GI (50%), luftveje, hæmatologisk, urogenital - **Non-malign GI-sygdom (20%)**: sygdomme i mundhule/svælg, ulcussygdom, IBD, leversygdom, pancreasinsufficiens, øvrige malabsorptionstilstande - **Psykisk / Neurologisk (15%)**: depression, demens, apoplexi, Parkinsons sygdom - **Endokrin (metabolisk)**: diabetes, stofskifte, binyrebark insufficiens, hypofysesygdom - **Hjerte / Lunge**: hjertesvigt, KOL, etc. - **Andet**: inflammation/infektion, rusmiddel, alkohol, medicininduceret, isolation, ensomhed, fattigdom - **Ukendt (15%)**
341
**Utilsigtet vægttab – Årsager (mekanismer)**:
**Nedsat energiindtag**: fx ved nedsat appetit, problemer med fødeindtag (tandstatus, synkebesvær, dysfagi), anorexi, smerter, medikamenter, psykisk betinget (depression, anorexia nervosa, misbrug), inflammation **Øget metabolisme (forbrug/tab)**: * Tænk på sygdomsprocesser, der påvirker absorption, væsketab, opkast, tab af fedtvæv, muskelmasse, medicin, fysisk aktivitet (op/ned) * Fx hyperthyroidisme, diabetes mellitus, kronisk feber, terminal hjerte/lungeinsufficiens, opkastning, malassimilation **Kombination af ovenstående**: fx malignitet, kronisk infektion
342
Thyroideas (skjoldbruskkirtlens) sygdomme: De vigtigste enheder inden for thyroideas sygdomme: * **Struma**: forstørret thyroidea (diffus eller nodøs) * **Hypertyroidisme**: lav TSH, høj T4/T3 (subklinisk: lav TSH, normal T4/T3) (relateret til vægttab) * **Hypotyroidisme**: høj TSH, lav T4/T3 (subklinisk: høj TSH, lav T4/T3) **Udredning**: **1** **Skintigrafi-tolkning**: * Varm knude (”lille”) på scintigrafi: **2** * Kold knude (”stor”) på scintigrafi: **3**
1: 1) Bl.p.: TSH, T4/T3, TRAb, TPO 2) UL: ved knuder/struma 3) Skintigrafi: for differentialdiagnostiske overvejelser ved hyperthyreose 4) FNA: ved malignitetsmistanke 2: tænk benign årsag 3: malignitetesmistanke
343
Diagnose? ↓ TSH, ↑ T4/T3 POSITIV TRAb
**Graves sygdom**
344
Diagnose? ↓ TSH, ↑ T4/T3 NEGATIV TRAb
Multinodøs toksisk struma Solitært toksisk adenom Subakut thyroidit Medikamentel/Jod betinget thyroidit (sygdommene kan differentieres ved brug af skintigrafi)
345
Diagnose? ↑ TSH, ↓ T4/T3 POSITIV anti-TPO
**Autoimmun thyroiditis (Hashimoto sygdom)**
346
Diagnose? ↑ TSH, ↓ T4/T3 NEGATIV anti-TPO
Sekundært til lokal strålebehandling Radiojodbehandling Thyreoideakirurgi Medikamenter
347
**Hypertyroidisme (højt stofskifte)**: **Symptomer og Kliniske fund**: **1** **Udredning og Diagnose**: 1) ↓ TSH, ↑ T4/T3 2) TRAb (pos / neg) **Behandling**: **2** **Henvisning, Opfølgning og Videre plan**: **3**
1: ”modsat af hypothyreose” * **Vægttab**, hjertebanken, **varmeintolerance, tremor**, svedtendens, **diarré, psykisk uro** * **Takykardi, varm fugtig hud**, tremor, evt. struma/exophthalmus 2: **Antithyroid medicin**: 1.valg ved Graves sygdom - 1.valg: **Thiamazol/Carbimazol** - Alternativ/1.trimester: Propylthiouracil (PTU) **Radioaktiv jodbehandling**: 1.valg ved multinodøs toksisk struma og solitært toksisk adenom **Kirurgi/Thyreoidektomi** 3: Henvis patient til endokrinologisk afd. Når diagnosen er stillet: - Sikre god compliance i relation til medicinindtag - Opfordre patient til rygeophør Behandlingsmål: normal TSH-værdi Patienten bør kontrolleres med 3-4 måneders mellemrum, når vedligeholdelsesdosis er nået
348
Hypothyreose (lavt stofskifte): (ikke relevant for vægttab) **Symptomer og Kliniske fund**: **1** **Udredning og Diagnose**: 1) ↑ TSH, ↓ T4 2) Anti-TPO (pos / neg) **Behandling**: **2** **Henvisning, Opfølgning og Videre plan**: **3**
1: ”modsat af hyperthyreose” * **Vægtøgning, kuldeintolerance, obstipation, træthed, depression/sløvhed** * **Bradykardi, tør hud**, hårtab, hes stemme, menstruationsforstyrrelser 2: Levothyroxin (L-thyroxin, L-T4) 3: De fleste patienter med hypothyreose kan håndteres i almen praksis – IKKE nødvendig med henvisning til endokrinologisk afd. Når diagnosen er stillet: sikre god compliance i relation til medicin indtag Behandlingsmål: normal TSH-værdi Patienter på vedligeholdelsesdosering skal have årlige status kontrol
349
Thiamazol – bivirkninger: **1** Levothyroxin – bivirkninger: **2**
1: **agranulocytose** (skal nævnes), kløende hududslæt, urticaria, artralgi, leverpåvirkning, pancreatitis 2: hjertebanken, indre uro, vægttab, diaré, svedtendens
350
Diagnose? ↓ kortisol, ↑ ACTH
Primær binyrebarkinsufficiens (Addisons sygdom)
351
Diagnose? ↓ kortisol, ↓/N ACTH
Sekundær/Tertiær binyrebarkinsufficiens
352
Diagnoser? ↑ kortisol, ↓ ACTH: **1** ↑ kortisol, ↑/N ACTH: **2**
1: Cushings syndrom - (problem i binyrerne) 2: Cushings syndrom - (problem i hypofyse/ektopisk)
353
**Binyrebarkinsufficiens**: **Inddeling**: * **Primær binyrebarkinsufficiens (Addisons sygdom)**: sygdom i binyrer * **Sekundær binyrebarkinsufficiens**: sygdom i hypofysen * **Tertiær binyrebarkinsufficiens**: sygdom i hypothalamus **Udredning og Diagnose**: baseres på en 30 min **Synacthen test (ACTH-test)**: Symptomer og Kliniske fund (hyppigste): **1** Henvisning: alle patienter med mistanke om binyrebarkinsufficiens skal henvises til endokrinologisk afd. **Behandling**: **2**
1: * Træthed/manglende energi, nedsat appetit, kvalme/opkastninger, mavesmerter, obstipation/diarré * Vægttab, hyperpigmentering (hud, slimhinder), hypotension, dehydrering 2: * Hydrokortison * Fludrokortison (kun ved primær) * Ved krise: i.v. hydrokortison + NaCl
354
Blodprøve som kan bruges til bekræftelse af primær binyrebarkinsufficiens (Addisons sygdom):
autoimmun-antistofanalyse (binyrebarkantistoffer)
355
**Diagnose og Behandling?** Karakteristisk: * Akut, livstruende tilstand med cirkulatorisk kollaps * Kliniske fund: hypotension, dehydrering, GI-symptomer, feber, konfusion, koma Mistænkes ved: * Akut sygdom hos patient med kendt binyrebarkinsufficiens * Akut sygdom hos patienter i eller efter steroidbehandling * Sepsis med behandlingsrefraktært shock * Uforklarlig hypotension + hyponatriæmi (± hyperkaliæmi)
**Akut binyrebarkinsufficiens (Addison krise)** - Behandling: i.v. Hydrokortison (Solu-Cortef), NaCl
356
Cushings syndrom (CS): (ikke relevant for vægttab) Udredning og Diagnose: 1) **Døgnurin for frit kortisol (UFC)** 2) **Dexamethason suppressionstests (DST)** 3) **P-ACTH** Symptomer og Kliniske fund (hyppigste): **1** Behandling: kirurgi
1: * Vægtøgning (især med trunkal fedme) * Adipositas lokaliseret til ansigt (moonface), nakke (buffalo hump) og abdomen * Ekstremiteterne er slanke * Tynd og skrøbelig hud (blåviolette striae, ekkymoser/hæmatomer)
357
**Diabetes mellitus (DM)**: **Definition**: * **DM1**: absolut insulinmangel --> livslang insulinbehandling * **DM2**: insulinresistens + relativ insulinmangel **Symptomer**: **1** **Udredning og Diagnose**: **2** **Differentiering af DM1 fra DM2**: **3** **Behandling**: **4**
1: **polydipsi (øget tørst), polyuri (hyppige vandladninger)**, træthed, vægttab, infektioner 2: * HbA1c ≥ 48 mmol/l * Random P-glukose (BS) ≥ 11,1 mmol/L * Faste P-glukose (BS) ≥ 7,0 mmol/L 3: * **DM1**: ung alder (< 35 år), lav BMI (< 25 kg/m2), ketoacidose, positiv GAD65, lav C-peptid (≤200 pmol/L) * **DM2**: ældre (>40 år), overvægt, negativ GAD65, forhøjet C-peptid (>600 pmol/L) 4: (ALTID insulin [basal-bolus regime] ved DM1) * 1.valg: livsstilsintervention (kost/væske, motion, vægttab) * 2.valg: Metformin * 3.valg: SGLT-2-hæmmere (fx Dapagliflozin) * 4.valg: GLP-1-receptoragonister (fx Semaglutid)
358
Diagnose? en potentielt livstruende komplikation, der kan opstå ved opstart af ernæringsterapi hos patienter, som er underernærede eller som gennem længere tid har haft et utilstrækkeligt ernæringsindtag
Reernæringssyndrom (RFS)
359
**Nævn GI-faresymptomer**:
- Debut > 40 år - Rektalblødning - Jernmangeanæmi / Blødningsanæmi - Utilsigtet Vægttab - Ændring i afføringsmønster > 4 uger - Nattesmerter - Familiær disposition til kolorektal cancer - Palpabel abdominal udfyldning - Vedvarende diarré eller obstipation uden forklaring - Feber + GI-symptomer
360
**Bristolskala**: - Type **1**: obstipation - Type **2**: normal afføring - Type **3**: diarré
1: Type 1-2 2: Type 3-4 3: Type 5-7
361
Diarré: **Definition**: fæces masse > 200 g/døgn eller ≥ 3 tynde afføringer per døgn (Bristolskala ≥ 5) **Inddeling**: * Akut diarré: < 2 ugers varighed * Kronisk diarré: > 4 ugers varighed **Behandling**: **1**
1: * Rehydrering p.o./i.v. (væske-og elektrolytbehandling) ved dehydrering * Evt. **motilitetshæmmende lægemidler (Loperamid [Imodium])** ved ingen feber / blodig diarré * Evt. AB-behandling om nødvendig ved svær bakteriel gastroenteritis * Isolation ved mistanke om viral gastroenteritis (fx norovirus, rotavirus)
362
Diarré: **Objektiv us. og Paraklinisk us.**: **1**
1: Bristolskala Afføringregistrering Objektiv us.: - Vurdering af hydreringstilstand: dehydrering? - Abdominal us. - Rektaleksploration (RE) Paraklinisk us.: - Fæcesprøver for tarmpatogener + C. difficile - F-calprotectin ved mistanke om IBD - F-elastase ved mistanke om eksokrin pankreassvigt Andre undersøgelser på indikation. Fx: - Ved mistanke om cøliaki: 1) cøliakiscreening; 2) gastroskopi m. biopsi - Ved mistanke om IBD, alarmtegn, kronisk diarré, ældre patienter: koloskopi
363
Akut diarré: - Definition: < 2 ugers varighed - **Årsager – Differentialdiagnoser**: **1**
1: * Akut infektiøs gastroenteritis (virus, bakterier, parasitter, toksiner – fødevareforgiftning) * Medikamentudløst diarré (fx AB, metformin, laksantia) * Kostudløst / fødevareintolerans * C. difficile (særligt efter AB-behandling)
364
Kronisk diarré: - Definition: > 4 ugers varighed - **Diagnostisk tankegang**: **1** - **Årsager – Differentialdiagnoser**: **2**
1: * Yngre patienter: --> obs. irritabel tyktarm (IBS), inflammatorisk tarmsygdom (IBD) * Ældre patienter: --> obs. kolorektal cancer, sterkoral diarré, mikroskopisk kolitis 2: se billede
365
Diagnose? Autoimmun sygdom udløst af gluten (i hvede, rug og byg), som medfører inflammation i tyndtarmens slimhinde med krypthypertrofisk villusatrofi --> malabsorption
**Cøliaki (glutenintolerans)**
366
Cøliaki (glutenintolerans): Årsag: **1** **Udredning og Diagnose**: **2** **Behandling**: **3**
1: genetisk disposition – **HLA-DQ2 (>90 %)** og HLA-DQ8 (< 10%) 2: * Serologi (cøliakiscreening): **IgA anti-transglutaminase (anti-TG2)** * Tyndtarmsbiopsi (hvis serologi positiv): Marsh III-forandringer: øget antal intraepitheliale lymfocytter (IEL´s) + krypthyperplastisk villus atrofi 3: livslang glutenfri diæt
367
Laktoseintolerans / Laktosemalabsorption: Definition: * Laktoseintolerans: kliniske symptomer (fx abdominalgener) pga. laktosemalabsorption * Laktosemalabsorption: manglende absorption af laktose pga. laktasemangel Udredning og Diagnose: **1** Behandling: **undgå indtagelse af laktose (mælkesukker)**
1: * 1.valg: **pusteprøve (H₂-udåndingstest)** * Laktosebelastning (blodsukkerstigning – BG-stigning < 1.2 mmol) * Laktasemåling i tyndtarmsbiopsi (sjældent brugt i dag)
368
Obstipation: **Definition**: * < 3 afføringer per uge eller < 35 g afføring per dag, og * Generende symptomer (smerter, blødning) **Årsager – Differentialdiagnoser**: **1** **Behandling**: **2**
1: * **Fiberfattig kost** * **Medicinbivirkning**: opioider (fx morfin), PPI (fx pantoprazol), calcium, calciumantagonister (fx verapamil), jern, NSAID, antiparkinsonmidler (fx levodopa), psykofarmaka/TCA (fx amitryptilin), ondansetron * **Endokrine/Metaboliske lidelser**: dehydrering, lavt væskeindtag, diabetes mellitus, hypothyroidisme, hyperkalcæmi, hypokalæmi * **Neurologiske sygdomme**: apopleksi, multipel sklerose, Parkinson, neuropati, Mb Hirschprung, rygmarvsskader * **Strukturelle abnormiteter**: strikturer (fx cancer), inflammatoriske tilstande, anorektale lidelser (fissur, proctitis) 2: **Non-farmakologisk**: rådgivning om livsstilsfaktorer herunder: - Fiberrig kost (25-35 g/dag): **loppefrøskaller (Psyllium Husk)** - Rigelig væske (≥ 2 liter/døgn) - Øget fysisk aktivitet - Fornuftige afføringsvaner **Farmakologisk**: - **Reduktion/Seponering af lægemidler, der giver obstipation**: fx opioider (fx morfin), psykofarmaka/TCA (fx amitryptilin), calciumantagonister (fx verapamil), jern - **1. valg / kronisk obstipation**: **osmotisk virkende laksantia (fx Laktulose, Movicol)** – virkning: øger tarmindholdets volumen - **2. valg (tilæg) / akut obstipation**: **peristaltikfremmende laksantia (fx Laxoberal)** – virkning: stimulerer tarmperistaltikken - **Obstipationsdiare**: **lokalvirkende laksantia i rektum (fx Klyx)** – virkning: blødgørende og fremkalder defækationsrefleks
369
Blod i afføringen: **Inddeling**: * **1**: friskt rødt blod (typisk nedre GI-blødning) * **2**: sort, tjæreagtig afføring (typisk øvre GI-blødning)
1: Hæmatochezi 2: Melæna
370
Blod i afføringen: - **Hyppigste årsager til Hæmatochezi – Differentialdiagnoser**: **1**
1: 1) Hæmorider (hyppigst) 2) Analfissur 3) Kolorektalcancer 4) Divertikulær blødning 5) Polypper 6) IBD (UC > Crohn)
371
Blod i afføringen: - **Hyppigste årsager til Melæna – Differentialdiagnoser**: **1**
1: 1) Ulcus ventriculi/duodeni (mavesår) (hyppigst) 2) Øsofagusvaricer 3) Erosiv gastritis 4) Mallory-Weiss-læsion 5) Øvre GI-cancer
372
**Smerteanamnese**:
- **Debut**: hvornår begyndte smerten? - **Lokalisation**: hvor gør det ondt? - **Intensitet**: hvor ondt gør det, vurderet ved fx NRS-skala (1-10)? - **Smertetype**: hvordan gør det ondt? - **Smertemønstre**: kontinuerlig, anfaldsvis, døgnvariation? - Udløsende, forstærkende og lindrende faktorer - Psyko-sociale forhold - Kan smerterne forklares med nuværende diagnostik? - Effekt og bivirkninger af evt. igangværende behandling
373
Smertetyper og Behandling: 1) Akutte smerter (< 3 mdr.), Subakutte smerter (3-6 mdr.), eller Kroniske smerter (> 6 mdr.) 2) Maligne smerter eller Non-maligne smerter 3) Nociceptive smerter og/eller Neuropatiske smerter
374
**Nociceptive smerter**: - **Smertekarakter**: **1** - **Behandling**: **2**
1: * **Somatisk**: **borende**, murrende, strammende, snurrende, **stikkende** * **Visceral**: **trykkende**, dybe, diffuse, kolikagtige, **dunkende** 2: * 1.valg: Paracetamol * Ved ikke tilstrækkelig effekt: tillæg Morfin depot (husk: **laksantia [fx Laxoberal dråber]**) * Ved inflammatoriske smerter: NSAID (Ibuprofen) – (obs. kortvarigt og husk: **PPI [fx Pantoprazol]**)
375
**Neuropatiske smerter**: - **Smertekarakter**: **1** - **Behandling**: **2**
1: **jagende**, **skærende**, elektriske, strammende, **brændende**, **sviende**, isnende kold 2: * Antiepileptika: Pregabalin, Gabapentin – (obs. nedsat nyrefunktion) * SNRI: Duloxetin – (obs. serotoninsyndrom, nedsat nyrefunktion) * TCA: Amitriptylin – (obs. QTc forlængelse, antikolinerge bivirkninger)
376
**Smertetyper og Behandling**:
377
**Palliation**: - **Formål**: **1** - Hvad kan bruges til at identificere palliative personer, og vurdere behov for understøttende og palliativ behandling, og planlægge pleje, omsorg og behandling?: **2**
1: * At fremme livskvaliteten hos patienter og familier, som står ovenfor livstruende sygdom (90% cancer, 10% andre sygdomme) * Behandle smerter og andre problemer af både **fysisk, psykisk, social og eksistentiel/åndelig art** 2: SPICT
378
**Hvad skal indgå i en lægesamtale med en palliativ patient?**
**Huskeliste**: Afklar sygdomsforståelse og mål Vurder symptomer (total pain – 4 aspekter) Vurder funktionsniveau (CFS / Performancestatus) Afklar behandlingsniveau: * Fuld behandling: livsforlængende behandling (behandling efter behov) * Udvalgt behandling: behandling af sygdomstilstand (sygdomsspecifik behandling) * Lindrende behandling: symptomlindring Afklar HLR-status Medicingennemgang (afmedicinering) Praktisk plan + Opfølgning: * Kontakt til palliativt team * Hjemmesygepleje / hospice * Terminalerklæring og terminaltilskud
379
Palliation: - **Aspekter**: **1** - **Det basale palliative teams samarbejdspartnere / Faggrupper**: **2** - **Behandling**: **3**
1: Symptomer (total pain) – 4 aspekter: 1) **Fysiske**: smerter, dyspnø, kvalme, træthed, appetitløshed, obstipation 2) **Psykiske**: angst, uro, søvnbesvær, depression, delir 3) **Sociale**: pårørende, børn, bolig, økonomi 4) **Eksistentielle/Åndelige**: mening, frygt for døden, tro 2: * Fysiske: fx fysioterapeut * Psykiske: fx psykolog * Sociale: fx socialrådgiver * Eksistentielle/Åndelige: præst 3: Fokus på afmedicinering: **seponér ikke-symptomlindrende medicin (fx statiner, vitaminer)** (brug gerne Seponeringslisten) Fokus på symptomlindring **Subkutan behandling i den terminale fase er ”best practice”**: - Smerter / Dyspnø: Morfin - Angst/uro: Midalozam - Delirium / Kvalme: Haloperidol - ”Dødsrallen”: Buscopan - Lungeødem: Furix
380
Samtale og kommunikationsværktøjer for palliativ patient:
- Den gode udskrivelse - Samtale om ønsker for fremtidig pleje og behandling - Den gode epikrise - Nedskrevne aftaler omkring behandlingsniveau
381
Palliation: - **Terminalerklæring**: **1** - **Terminaltilskud**: **2**
1: en lægefaglig erklæring til kommunen om, at patienten er uhelbredeligt syg og har forventet kort restlevetid. Formål: giver adgang til terminaltilskud 2: 100 % tilskud til al nødvendig lægeordineret medicin (receptudstedt medicin bliver så gratis), der anvendes i den terminale fase
382
**Konfusion og bevidstløshed – Differentialdiagnoser**:
- **Forgiftninger/intoksikationer**: alkohol, CNS-deprimerende medicin (fx benzodiazepiner, opioider) - **Metaboliske forstyrrelser**: hypoglykæmi, diabetisk ketoacidose (DKA), hyperosmolær hyperglykæmi, hepatisk encephalopati, svær uræmi - **Elektrolytforstyrrelser**: hypo-/hypernatriæmi, hypo-/hyperkaliæmi - **Infektioner**: sepsis, meningitis, encephalit - **Neurologiske årsager**: hovedtraume, intrakraniel blødning, apopleksi, tumor cerebri, forhøjet intrakranielt tryk, epilepsi (status epileptikus) - **Cirkulatoriske og respiratoriske årsager**: arytmier, hjertestop, svær hjerteinsufficiens, hypotension / shock, anoxi / hypoxi, hypercapni (CO₂-retention) - **Andre årsager**: delirium, narkose / sedation, terminalt stadie af sygdom
383
Forgiftninger / Intoksikationer: - **Hyppigste forgiftninger / intoksikationer**:
* Alkohol (ethanol) * Paracetamol * Benzodiazepiner (fx Oxazepam [Sobril], Diazepam [Valium]) * Opiater (fx Heroin, Morfin, Kodein) * Tricykliske antidepressiva (TCA) (fx Amitriptylin, Nortriptylin) * Acetylsalicylsyre (ASA)
384
Forgiftninger / Intoksikationer: - **Udredning og Diagnose**:
* Klinisk vurdering: bevidsthedsniveau (GCS), vitalia (BT, puls, RF, SAT, temp.) * Blodsukkermåling (BS) * Ethanolmåling * Paracetamolmåling og ALAT * EKG * Urin og blod til drug screening
385
Forgiftninger / Intoksikationer: - **Behandling**:
**Symptomatisk behandling**: - Ilt ved behov - I.v. væske ved dehydrering / hypotension - Thiamin og glukose ved hypoglykæmi - Diazaepam ved krampeanfald - Etc. **Naloxon (antidot)**: gives ved respirationsdepression ved opiatforgiftning **N-acetylcystein (NAC) (antidote)**: gives på mistanke om paracetamolforgiftning **Flumazenil (antidot)**: gives ved respirationsdepression ved benzodiazepin forgiftning
386
Diagnose, Årsag og Behandling? * Blodsukker (BS) < 4 mmol/l * Alvorlig tilfælde: bevidsthedspåvirkning, hvor personen skal have hjælp fra en anden person
Hypoglykemi Årsag (hyppigst): antidiabetika (insulin og sulfonylurinstoffer (SU)) Behandling: - Akut: p.o. kulhydrater (fx juice/rugbrød), i.m. glukagon, i.v. glukose - Behandle udløsende årsag
387
Diagnose og Behandling? **Symptomer**: polydipsi (øget tørst), polyuri (hyppig vandladning), vægttab pga. dehydrering og træthed, kvalme/opkastninger, mavesmerter, dyspnø **Paraklinisk**: * P-Keton ≥ 3 mmol/l eller U-Keton ≥ +2 * Metabolisk acidose (pH < 7,30 og/eller HCO₃- < 18 mmol/l) * Hyperglykæmi (oftest P-Glukose > 15 mmol/l)
Diabetisk ketoacidose (DKA) Behandling: 1) NaCl, 2) insulin, 3) kalium
388
Diagnose? * Episodiske (sekunder til få minutter varende) kaskader af neurologiske symptomer * For langt de fleste patienter betyder dette et kontroltab, hvor patienten kan have bevægelser eller handlinger, som er udenfor vilje og kontrol, og som patienten ofte ikke har erindring for
Epilepsi
389
Epilepsi: **Klassifikation**: **Generaliserede anfald: (involverer begge 2 hemisfærer)**: - Absencer - Myoklonier - Primært generaliseret tonisk-klonisk anfald - Atoniske/Astatiske anfald **Fokale/Partielle anfald: (involverer 1 hemisfære)**: - Simple anfald - Komplekse anfald - Sekundært generaliseret tonisk-klonisk anfald **Udredning og Diagnose**: **1** **Behandling**: **2** Henvisning: hvis der er mistanke om epilepsi, henvises patienten til udredning ved pædiater/neurolog Kørekortforbud: * Første uprovokerede anfald: mindst 6 mdr. * Diagnosticeret epilepsi: mindst 12 mdr. anfaldsfrihed
1: 1) Grundig anamnese 2) MRC (evt. CTC ved akut behov) 3) EEG 2: antiepileptika (fx Lamotrigin, Levetiracetam)
390
Epilepsi: **Generaliserede anfald: (involverer begge 2 hemisfærer)**: - **1**: få sekunder varende fjernhed med stirrende eller opaddrejede øjne - **2**: pludselige, korte (< 100 ms) uregelmæssige muskelryk - **3**: bevidsthedstab --> tonisk anfald (en vedvarende muskelsammentrækning) --> klonisk anfald (en rytmisk/rykvis anfald, som involverer samme muskelgruppe). Varighed 1-2 min. Objektive tegn: tungebid, ekskretafgang, konfusion - **4**: pludseligt tab af muskeltonus, kort bevidsthedstab og fald
1: Absencer 2: Myoklonier 3: Primært generaliseret tonisk-klonisk anfald 4: Atoniske/Astatiske anfald
391
Epilepsi: **Fokale/Partielle anfald: (involverer 1 hemisfære)**: - **1**: uden bevidsthedspåvirkning - **2**: med bevidsthedspåvirkning - **3**: overgangen fra et fokalt anfald til et sekundært generaliseret anfald. Ofte efterfølgende amnesi (hukommelsestab, fjernhed)
1: Simple anfald 2: Komplekse anfald 3: Sekundært generaliseret tonisk-klonisk anfald
392
Diagnose? En akut indsættende (timer til få dage), fluktuerende tilstand med opmærksomhedsforstyrrelse samt påvirkning af kognition eller tankemønster
Delir
393
Delir: **Årsag – Differentialdiagnoser**: **1** **Symptomer og Udredning**: **2** **Behandling**: **3**
1: udløses af en akut somatisk/organisk årsag – hyppigst hos ældre og kognitivt svækkede (se billede - "**PINCHME**") 2: * **Karakteristisk**: påvirket bevidsthedsniveau, nedsat opmærksomhed og hukommelse * **Vanlige symptomer**: søvnforstyrrelser, hallucinationer, vrangforestillinger * **Andre symptomer**: dysorganiseret tankegang, desorientering, psykomotorisk agitation, psykomotorisk hæmning 3: **Prioritet 1**: identificere og behandle den UDLØSENDE ÅRSAG **Prioritet 2 – Non-farmakologiske tiltag**: - Skærmning (enestue) - Optimering af sanser (syn/hørelse) - Undgå unødvendige katetre (KAD, venflon, ilt-kateter, sonde) - Stimulering af kognitive funktioner: re-orientering - Sikre basale behov: søvn, mobilisering, ernæring/væske, vandladning/afføring **Prioritet 3 – Farmakologiske tiltag**: farmakologisk symptomlindring (1.valg: **Risperidon**)
394
**Diagnose og Behandling?** Karakteristisk: konfus patient med: * Kendt alkoholoverforbrug * Leversstigmata * Asterixis (ufrivillige bevægelser)
**Hepatisk encefalopati (HE)** Behandling: 1.valg: **Laktulose (pga. reducerer ammonium i kroppen)** Profylakse: Rifaximin Andre behandlingsmuligheder: - Levertransplantation - Embolisering af porto-systemiske shunts
395
**Diabetes mellitus (MS) – almen praksis**: - **Ved debut + årsstatus vurderes**: **1** - **Behandling af komorbiditeter og Behandlingsmål**: **2** - **Potentielle komplikationer ved langvarig hyperglykæmi**: **3**
1: * Komplikationer: fx retinopati, nefropati, neuropati, CVD * Risikofaktorer: fx BT, LDL, rygning, BMI * Individuelle behandlingsmål i samarbejde med patienten * Medicingennemgang 2: **Livsstilsintervention (KRAM)**: rygeophør, regelmæssig motion, varieret kost, vægttab hos overvægtige, alkoholreduktion **Hyperglykæmi**: - Yngre, få komorbiditet: HbA1c ≤ 48 mmol/mol - Ældre, skrøbelige, megen komorbiditet: individualiseret, ofte HbA1c ≤ 53-38 mmol/mol **Blodtryk**: BT < 130/80 mmHg (evt. < 140/85 mmHg ved høj risiko) **Dyslipidæmi**: - LAV-risikopatienter: LDL < 2,6 mmol/l - HØJ-risikopatienter (aterosklerotisk kardiovaskulær sygdom, diabetes, apopleksi/TIA, nedsat nyrefunktion [eGFR < 30]): LDL < 1,8 mmol/l **Nyrefunktion**: - U-albumin/kreatinin-ratio: normalt < 30 mg/g - Fokus på at stabilisere og hindre progression af albuminurien og tab af nyrefunktion 3: HUSK: **”øjne – nyrer – nerver – hjerte – hjerne – fødder”** * Diabetisk retinopati – ØJNE * Diabetisk nefropati – NYRER * Diabetisk neuropati – NERVER * Andre: hjerte-kar sygdom, cerebrovaskulær sygdom, diabetisk fodsår, etc.
396
Ved nyopdaget DM kontrolleres/vurderes:
**Øjne**: øjenlægehenvisning (fundus/foto) for diabetisk retinopati **Hjerte**: * BT (hypertension) * EKG * LDL (hyperkolesterolæmi) * Glykæmisk status og livsstil (HbA1c, BMI, KRAM) **Nyrer**: * Urin albumin/kreatinin-ratio * P-kreatinin / eGFR **Fodstatus**: følesans og perifer puls
397
**KOL – almen praksis**: - **Ved debut + årsstatus vurderes**: **1** - **Behandling af komorbiditeter og Behandlingsmål**: **2**
1: * Vurdering af: lungefunktion (spirometri), dyspnøgrad (MRC), rygestatus, eksacerbationsgrad, vægt og motion, medicin, risiko for komorbiditeter * Understøtte/medvirke til at fastholde opnåede adfærdsændringer * Forebygge sygdomsprogression ved at motivere til/fastholde rygestop * Sikre at den iværksatte rehabiliteringsindsats vedligeholdes 2: **Non-farmakologisk**: rygestop, KRAM, lungerehabilitering, vaccination (influenza, pneumokokker) **Farmakologisk**: 1) Mild KOL (GOLD A): **LABA (fx Formoterol)** eller LAMA (fx Umeclidinium) 2) Moderat KOL (GOLD B): LABA + LAMA 3) Alvorlig KOL (GOLD E): LABA + LAMA + ICS (fx Budenosid) **Exacerbation ved både KOL og astma**: **Prednisolon**, etc.
398
Ikterus (gulsot): Definition: gulfarvning af hud, sclerae og slimhinder pga. øget mængde galdepigment (bilirubin) – (klinisk synlig i sclerae når P-bilirubin >35 µmol/l) **Årsag og Diagnostiske overvejelser**: * **Præhepatisk**: øget hæmolyse eller konjugeringsdefekter * **Hepatisk**: leverparenkymskade. Fx akut viral hepatitis, alkoholisk leverskade * **Posthepatisk**: okklusion af galdevejene. Fx galdesten, malign sygdom Indlæggelse: ikterus bør som hovedregel medføre akut indlæggelse til nærmere udredning **Udredning og Diagnose**: **1**
1: 1) Blodprøver: - Hepatocellulært mønster: ALAT, ASAT - Kolestatisk mønster: basisk fosfatase (ALP), GGT - Leverfunktion: koagulationsfaktorer (INR, APTT), albumin - Andre: bilirubin, etc. 2) UL af abdomen 3) Cholangiografi (MRCP/ERCP/PTC/EUS) eller Fibroskanning/Leverbiopsi
399
Diagnose og Behandling? - Definition: skyldes aterosklerose i underekstremiteterne - Karakteristisk: anstrengelsesudløste smerter, som forsvinder ved hvile
Claudicatio intermittens Behandling: * Non-farmakologisk: rygestop, gangtræning, optimering af livsstilssygdomme (fx BT, DM, højt kolesterol) * Farmakologisk: trombocythæmmer (fx ASA) og statin (fx atorvastatin) * Akut (svære symptomer): endovaskulær behandling (PTA ± stent) eller kirurgi (bypass)
400
Alkoholafhængighed – behandlingsmuligheder: Farmakologisk behandling: **1**
1: - Acamprosat (Campral) - Naltrexon - Disulfiram (Antabus)
401
Alkoholabstinens – behandling:
1) Tiamin (vitamin B1): for at patient ikke udvikler Wernicke-Korsakoff syndrom 2) 1. valg: benzodiazepiner (Chlordiazapoxid, Lorazepam) (symptomstyret efter CIWA-score) 3) Glukose-infusion
402
**ABCDE-tilgang - Principper**: Patienten vurderes og behandles i prioriteret rækkefølge: ABCDE 1) Luftvejene (Airway) 2) Vejrtrækning (Breathing) 3) Kredsløb (Circulation) 4) Neurologisk funktion (Disability) 5) Patienten afklædes og undersøges fra top til tå (Exposure) Livstruende problemer behandles, før man fortsætter til næste punkt, altså behandles et A-problem før et B-problem, etc.
403
ABCDE: **A) Luftveje: Har patienten frie luftveje?** **Vurder**: **1** **Behandling**: **2** **Mulige årsager til Airway-problemer**: - Luftvejsobstruktion / Fremmedlegeme - Bevidsthedspåvirkning - Traume (obs. cervikalcolumna) - Blod, opkast, sekret - Infektion/inflammation - Larynxspasme
1: - Taler patienten frit? - Lyde: snorken, stridor - Tegn på obstruktion 2: - Skab frie luftveje: kæbeløft, sug, tungeholder - Ventilation: maskeventilation - Ved forværring: kald hjælp, endotrakeal intubation
404
ABCDE: **B) Vejrtrækning: Er vejrtrækningen sufficient?** **Vurder**: **1** **Mål**: **2** **Behandling**: **3** **Mulige årsager til Breathing-problemer**: - AKUT: trykpneumothorax, lungestase, bronkospasme - Andre: CNS-påvirkning, pneumoni, KOL, astma, lungeemboli, nedsat muskelkraft, smertebetinget respiration
1: SE-LYT-FØL - Thoraxbævegelser (symmetri, brug af accessoriske respirationsmuskler) - Thorax stabilitet (især ved traume) - Central cyanose 2: - RF, SAT, st.p. - A-gas ved mistanke om respirationssvigt - Sekundær gennemgang: evt. UL (FAST/FLUS), rtg. thorax 3: - Giv ilt (15 L/min på maske) - Aflast trykpneumothorax - Bronkodilaterende behandling (fx Ventoline) ved bronkospasme - Maskeventilation ved respirationsinsufficiens - Ved forværring: kald hjælp, endotrakeal intubation
405
ABCDE: **C) Kredsløb: Er kredsløbet sufficient?** **Vurder**: **1** **Mål**: **2** **Behandling**: **3** **Mulige årsager til Breathing-problemer**: - Shock: hypovolæmisk, kardiogent, septisk, obstruktivt, anafylaktisk - Kardiale årsager: AKS, arytmi - Andre årsager: hypoxi, hypotermi, forgiftning, elektrolyt-/syre-baseforstyrrelser
1: blødning, hud, perifer cyanose 2: - EKG, BT, puls, st.c., kapillærrespons, diurese - Sekundær gennemgang: evt. UL (FAST/FATE), ekkokardiografi 3: - Stop evt. blødning - Etabler 2 i.v. adgange - Væskebehandling efter klinisk vurdering - Ved mistanke om AKS: overvej MONA-behandling - Behandle udløsende årsag: fx arytmi, sepsis, tamponade, etc.
406
ABCDE: **D) Neurologisk status: Hvad er neurologisk status?** **Vurder**: **1** **Mål**: **2** **Behandling**: **3** **Mulige årsager til Neurologisk-problemer**: - Hypoglykæmi - Apopleksi - Krampeanfald - Meningitis/Encephalitis - Forgiftning
1: bevidsthedsniveau (AVPU, evt. GCS), pupiller **AVPU**: - A (Alert): vågen og spontant talende - V (Voiceresponsive): reagerer på tiltale - P (Pain): reagerer kun på smerte - U (Unresponsive): ingen reaktion **Pupiller**: - Små pupiller (miosis): fx pga. opioider (morfin, heroin) - Store pupiller (mydriasis): fx pga. stimulanser (kokain, amfetamin) - Forskel i pupilstørrelse (anisokori): fx pga. intrakraniel patologi (blødning, traume, tumor cerebri) 2: BS 3: - Glukose ved hypoglykæmi (BS < 4 mmol/l) - Naloxon ved mistanke om opioidforgiftning - Stabilt sideleje ved spontan respiration og ikke-sikrede luftveje
407
ABCDE: **E) Eksponering: Helkropsvurdering – patienten afklædes (så vidt muligt) og undersøges fra top til tå** **Vurder**: **1** **Mål**: **2** **Behandling**: **3** **Mulige årsager til Eksponering-problemer**: - Hypotermi / Hypertermi - Sepsis - Skjulte traumer eller blødninger
1: blødninger, hud, skader/abnormiteter 2: temp. 3: - Forebyg og behandl hypotermi (tæpper, varm væske) - Sikr patientens værdighed og komfort
408
**Hvad er fastereglerne før anæstesi?**
- 6 timer: fast føde - 2 timer: klare tynde væsker (fx vand, saft)
409
Perioperativ medicinhåndtering: Generelt fortsættes det meste faste medicin på operationsdagen Peroral medicin kan ved behov erstattes parenteralt Visse lægemidler skal dog pauseres eller justeres før operation: **1**
1: * Blodfortyndende medicin (antikoagulantia og trombocythæmmere) – **konf. med anæstesi/kirurg/kardiolog** * Insulin – **konf. med anæstesi/kirurg/endokrinolog** * ACE-hæmmere / ARB * Diuretika * Metformin * SGLT-2-hæmmere * NSAID
410
Hvordan skelne mellem mellem perifer facialisparese og central facialisparese?
* **Perifer facialisparese**: tænk ½ af ansigtet er rammet (IKKE bevaret motorik i panden og evne til at lukke øjet) * **Central facialisparese**: tænk ¼ af (nedre) ansigtet er rammet (bevaret motorik i panden og evne til at lukke øjet)
411
Hyppigste årsager til perifer facialisparese og central facialisparese?
* **Perifer facialisparese**: Bells parese (idiopatisk perifer facialisparese) (75%) (behandling: p.o. **Prednisolon**, øjenbeskyttelse); borrelia; herpes zoster * **Central facialisparese**: apopleksi; tumor cerebri
412
Diagnose? 1) Epistaxis (næseblod) – spontant og recidiverende 2) Telangiektasier – på særlige lokalisationer: læber, mundhule, fingerspidser, næseslimhinde 3) Arteriovenøse malformationer i indre organer: GI, lunger, lever, hjerne, spinalkanalen/rygmarv 4) Familieanamnese: en førstegradsslægtning med sygdommen
HHT (hereditær hæmorrhagisk telangiektasi) – Morbus Osler - Plan: henvisning til specialiseret HHT-center mhp. udredning og screening
413
Hvad skal du mistænke? (+ Behandling) * Uregelmæssig snorken (med pauser) og uforklarlig træthed * Opvågninger med kvælningsfornemmelser, åndenød og hjertebanken
Obstruktiv søvnapnø (OSA) Behandling: * 1.valg: **CPAP** (moderat/svær OSA) eller tandskinne (mild OSA) * Andet: vægtreduktion, positionstræner, kirurgi
414
**Nævn deviceterapi for bradyarytmier?**
**Pacemaker**
415
**Nævn deviceterapi for maligne takykardier**
**ICD-behandling**
416
**Akut hjertesvigt (AHF)**: Definition: hurtigt opståede symptomer og kliniske tegn på kardial dysfunktion. Tilstanden kan optræde de novo eller på baggrund af kronisk hjertesvigt Inddeling: (se billede) 1) Volumenstatus (våd vs. tør) 2) Perifer perfusion (varm vs. kold) **Udredning og Diagnose?**: **1** **Behandling?**: **2**
1: - Klinik - Bl.p. (**↑ pro-BNP**) - EKG - Rtg. thorax - **Ekkokardiografi** 2: Behandling ved ”våd” AHF: (95%) * Vasodilatation: **Nitroglycerin** (VIGTIG) * Diuretika: **Furix** (VIGTIG) * Symptomatisk behandling
417
- **AK-behandling – Indikation**: **1** - **Trombocythæmmende behandling – Indikation**: **2**
1: **venøse tromber** og kardielle tromber 2: **arterielle tromber** og aterosklerotisk sygdom
418
Diagnose og Behandling? * Artrit i ≥ 1 led (hævelse, smerte, nedsat bevægelighed) * Debut før 16-års alder * Varighed > 6 uger * Andre årsager udelukket
Juvenil idiopatisk artritis (JIA) – Børneleddegigt - **Behandling**: NSAID (Ibuprofen), intraartikulær steroidinjektion (fx Triamcinolon), Methotrexat, Biologiske lægemidler
419
Diagnose, Udredning og Behandling? - Definition: klonale stamcellesygdomme, der producerer for **MANGE blodceller i knoglemarven** (én eller flere myeloide cellelinjer) – (”tænk PANCYTOSE (↑)”)
**Myeloproliferative sygdomme (MPN)** - Udredning og Diagnose: knoglemarvsbiopsi - Behandling: ”tænk behandling for MANGE blodceller”. Fx reducere risiko for trombose og blødning
420
**Myeloproliferative sygdomme (MPN) inkluderer?**
* Polycytæmia vera (PV) ( den hyppigste form) * Essentiel trombocytose (ET) * Primær myelofibrose (PMF) * Kronisk myeloid leukæmi (CML)
421
Diagnose, Udredning og Behandling? - Definition: klonale stamcellesygdomme, der producerer for **LIDE blodceller i knoglemarven** (én eller flere myeloide cellelinjer) – (”tænk **PANCYTOPENI (↓)**”)
Myelodysplastiske syndromer (MDS) - Udredning og Diagnose: knoglemarvsbiopsi - Behandling: ”tænk behandling for LIDE blodceller”. Fx blodtransfusion, allogen stamcelletransplantation (kurativ behandling)
422
Diagnose, Udredning og Behandling? Definition: tilstand med nedsat knoglemasse (BMD) og forringet knoglestruktur, som medfører øget risiko for lavenergifrakturer
Osteoporose (knogleskørhed) Diagnostisk: * Lavenergifraktur af hofte eller columna (højdereduktion på minimum 20%), eller * DEXA-skanning: T-score ≤ -2,5 i ryg eller hofte Behandling: * Basisbehandling: **calcium og vitamin D** * 1.valg: **Bisfosfonat** (fx Alendronat) (alternativt: Denosumab) * Avanceret behandling gives varetages i hospitalsregi
423
- Den dominerende elektrolyt i ekstracellulær væske (ECV): **Natrium (Na+)** - Den dominerende elektrolyt i intracellulær væske (ICV): **Kalium (K+)**
424
Levertal – tolkning: **Hepatocellulær skade**: **1** * Fx akut viral hepatitis, toksisk leverskade, iskæmi **Kolestase**: **2** * Fx kolestase, **galdesten**, **pancreascancer**, infiltrerende sygdom **Leverfunktion (syntese)**: **3** * Fx **levercirrose**, akut leversvigt HUSK: **INR er den vigtigste prognostiske markør ved akut viral hepatitis**
1: ↑ ALAT, ASAT (± LDH) 2: ↑ basisk fosfatase (ALP), GGT, bilirubin 3: ↓ albumin, ↑ INR (faktor II, VII, X)
425
Blodprøve som kan bruges i udredningen af primær leverkræft (hepatocellulært carcinom [HCC]):
alfa-føtoprotein (AFP)
426
**Levercirrhose**: - **Kliniske fund**: spider-nævi, palmart erytem, caput medusae (øget abdominal venetegning), leukonyki (hvide negle), nedsat kropsbehåring, gynækomasti, testisatrofi - **Komplikationer**: **1**
1: Ascites (60%) Variceblødning (15%) Hepatisk encefalopati (5%) Infektioner (10%) Ikterus
427
Øsofagusvaricer: - **Behandling**: **1**
**Akut blødning**: 1) ABCDE 2) Volumenkorrektion (i.v. NaCl) og evt. blodprodukter (i.v. SAG-M) 3) **Terlipressin** i.v. – Glypressin 4) **Ciprofloxacin** i.v. – profylaktisk AB 5) Endoskopisk behandling med banding 6) TIPS ved refraktær blødning **Profylkase / Reblødning**: **betablokkere** (Propranolol), gentagen endoskopisk banding
428
**Hvad er karakteristisk for Supranukleær læsion?**
**Supranukleær læsion**: læsion mellem cortex og hjernenervekernen --> 1. motorneuronskade * (Atrofi) * **Spasticitet** * Parese * **HYPERrefleksi** * PATOLOGISK plantarrefleks – **Babinskis tåfænomen**
429
**Hvad er karakteristisk for Infranukleær læsion?**
**Infranukleær læsion**: læsion mellem hjernenervekernen og perifert (ud i kroppen) --> 2. motorneuronskade * Atrofi * Normal tonus * Parese * **HYPO-/Arefleksi** * NORMAL plantarrefleks
430
**Hjerneblødning – CTC-karakteristika**:
431
Demens: - Hyppigste typer: **1** - Farmakologisk behandling: **2**
1: 1) Alzheimers demens (AD) 2) Vaskulær demens (VaD) 3) Blandingsdemens (Alzheimers + Vaskulær) 2: midler mod Alzheimers sygdom (fx **Donepezil**)
432
Diagnose og Behandling? * Bradykinesi (langsomme bevægelser) * Muskelrigiditet * Hviletremor * Postural instabilitet (sent symptom)
**Parkinsons sygdom (PS)** Behandling: * < 70 år: dopaminagonist (fx Pramiprexol) * > 70 år: Levodopa
433
**Hva skal du mistænke? (+ Behandling)** - Karakteristisk: hovedpine (værst om morgenen/liggende) + andre commotio-symptomer
**Forhøjet intrakranielt tryk (ICP)** - Behandling: * Behandle udløsende årsag * **Eksternt ventrikeldræn (EVD)** ved svær ICP
434
**Hvad er krav til tvangsindlæggelse?**
**2 krav (”opsummeret version”)**: Psykisk tilstand: **patienten er sindssyg** Indikation for tvang – **1 af følgende**: det vil være uforsvarligt ikke at frihedsberøve patienten, fordi: 1) Udsigten til helbredelse vil blive forringet (**helbredsindikation --> “gule papirer”**) 2) Patienten frembyder en fare for sig selv eller andre (**fareindikation --> “røde papirer”**)
435
Tvangsindlæggelse: **Røde papirer**: * Tvangsindlæggelse på **fareindikation** --> AKUT indlæggelse indenfor 24 timer * På grundlag af: **1** **Gule papirer**: * Tvangsindlæggelse på **helbredsindikation** --> Indlæggelse indenfor 7 dage * På grundlag af: **2**
1: ”fordi han/hun frembyder en nærliggende og væsentlig fare for sig selv eller andre” 2: ”fordi udsigten til helbredelse eller en betydelig og afgørende bedring af tilstanden ellers vil blive væsentlig forringet”
436
**Udredning for blærefunktionsforstyrrelse**: - **Generelt skal du inkludere**:
* Væske- og vandladningsskema (VVS) * Symptomsskema (DAN-PSS og ICIQ)
437
**Hvordan udreder man for Prostatacancer / Benign prostatahyperplasi (forstørret prostata)**
1) Bl.p.: ↑ PSA 2) Rektaleksploration (RE) 3) MR-prostata 4) Biopsi ved mistanke om prostatacancer
438
LUTS (vandladningsproblemer): Definition: samlebetegnelse for symptomer fra de nedre urinveje Inkluderer: * Lagringssymptomer (blærefyldning): pludselig og stærk vandladningstrang (urgency), hyppig vandladning (pollakisuri), urininkontinens, etc. * Tømningssymptomer (vandladning): startbesvær, svag urinstråle, følelse af ufuldstændig blæretømning, etc. **Hyppigste årsag**: **1**
1: benign prostatahyperplasi (BPH)
439
**HUSK**: Hæmaturi + Proteinuri: ofte **nefrologisk** lidelse Hæmaturi – Proteinuri: ofte **urologisk** lidelse
440
**Strålebehandling – indikation**: - Tænk generelt ”**øvre del af kroppen**” og ”**lokal tumor**”. Fx hoved-hals cancer - Bruges for at behandle: lokal tumor **Kemoterapi – indikation**: - Tænk generelt ”**nedre del af kroppen**” og ”**systemisk sygdom**”. Fx GI-cancer - Bruges for at behandle: systemisk sygdom
441
**Diagnose?** Underlivssmerter hos seksuelt aktiv kvinde: * Adnexømhed – (bilateral ømhed) * Rokkeømhed af uterus * Feber >38°C * Purulent udflåd * Positiv test for klamydia / gonorre * Forhøjede infektionstal (CRP, leukocytter)
**Underlivsinfektioner – PID**: - PID dækker over endometritis, salpingitis, oophoritis, parametritis og tuboovariel absces (TOA)
442
Antikonception: Behandling: * Opstart med kontraception: **1** * Nødprævention: **2** Information, der skal gives til patienten: **3**
1: 1.valg: 2. generations p-pille (fx Levonorgestrel) 2: fortrydelsespille (Levonorgestrel, Ulipristalacetat), kobberspiral 3: * Informér om tromboembolisk risiko * Gør opmærksom på kontraindikationer * Anbefal kondom pga. STI-risiko * Antikonception påvirker ikke fremtidig fertilitet og er ikke forbundet med teratogenicitet
443
Diagnose, Udredning og Behandling? - Definition: endometrielignende væv uden for uterus, hyppigst i lille bækken (ovarier, peritoneum, ligamenter) - Karakteristisk: svære cykliske underlivssmerter, dysmenoré, dyspareuni, evt. infertilitet
Endometriose - Diagnose: bekræftes ved laparoskopi med biopsi og histologiundersøgelse - Behandling: kontinuerlig hormonel behandling (gestagen/p-pille) + smertelindring (fx Paracetamol, Ibuprofen)
444
**Hvad er behandling for urininkontinens?**
* **Stressinkontinens – 1. valg**: bækkenbundstræning/knibeøvelser * **Urgeinkontinens – 1. valg**: Antikolinergika (fx Tolterodin)
445
**Diagnose og Behandling?** Definition: overgangsperioden op til menopausen (sidste menstruation), hvor ovariefunktionen gradvist ophører – alder ca. 47-55 år Klimakterielle symptomer: * Uregelmæssige blødninger * Hedeture, nattesved * Vaginal atrofi → urogenitale gener * Psykiske symptomer, muskel-/ledsmerter, hjertebanken
Klimakteriet (Overgangsalderen) Behandling: **østrogentilskud** * Ved lokale symptomer (vagina, blære): vaginalt østrogen (ring eller vaginaltablet) * Ved systemiske symptomer: transdermalt østrogen (plaster, spray, eller gel) eller oralt østrogen (tabl.)
446
Øjne: - **Anamnese**:
447
**Hvilke type conjunctival øjenforandring skal du være obs. på?**
**Ciliær injektion (faretegn!)**: - Mistænk anterior uveitis (iritis, iridocyclitis), akut vinkellukning (akut glaukom), keratitis - Ciliær injektion tyder på øjensygdom i cornea eller forreste afsnit og det er et faretegn!
448
**Hvilken type hudkræft?**
Basocellulært karcinom (BCC)
449
**Hvilken type hudkræft?**
Planocellulært karcinom – SCC (Spinocellulært karcinom)
450
**Hvilken type hudkræft?**
Malignt melanom (MM) (modermærkekræft)
451
Seksuelt overførbare infektioner (SOI): **Hyppigste SOI**: Humant papillomavirus (HPV), herpes simplex og Chlamydia trachomatis **Oversigt over SOI baseret på kliniske manifestationer**: - Udflåd: **1** - Sår: **2** - Tumorer: **3** - Systemsygdom: **4** **Udredning og Diagnose**: **5**
1: **gonorre, klamydia** 2: **herpes genitalis, syfilis** 3: condyloma acuminatum 4: **HIV/AIDS, hepatitis A/B/C** 2: se billede
452
Typiske geriatriske problemstillinger: Fokus på: * **Polyfarmaci**: ≥ 5 lægemidler * **Multimorbiditet**: ≥ 2 kroniske sygdomme samtidigt uden en klar primær sygdom * **Komorbiditet**: 1 primær sygdom + ≥ 1 ledsagende sygdom(me) * **Funktionsniveau (CFS)**
453
**Nævn QT-forlængende lægemidler (QTc >480 ms)**:
454
**Hvad er karakteristisk for rhabdomyolyse?**
* Muskelømhed (↑ CK) * Akut nyresvigt (↓ eGFR)
455
Antikolinerg virkning: - **Centrale**: svimmelhed, faldtendens, hukommelsesbesvær, konfusion - **Perifere**: mundtørhed, urinretention, kvalme, obstipation, uskarpt syn
456
**Nævn behandlingsvalg ved søvnmangel:**
- Melatonin - Z-hypnotika (Zopiclon, Zolpidem) - Mirtazapin - Quetiapin (lav dosis) - Sederende antihistaminer (fx Promethazin [Phenergan]) - Benzodiazepiner (Oxazepam, Diazepam)
457
**Nævn behandlingsvalg (farmakologisk) ved hypertension:**
**1.valg**: * ACE-hæmmere eller Angiotensin II-antagonister * Thiazider * Calcium-antagonister **2. valg**: 2-stofsbehandling af ovennævnte lægemidler **3. valg**: tillæg α1-blokkere eller β-blokkere
458
**Nævn behandlingsvalg ved urininkontinens / overaktiv blæresyndrom (OAB):**
**1.valg**: Tolterodin (Detrusitol Retard) - (**obs. antikolinerg virkning**) **2.valg**: Mirabegron (Betmiga)
459
**Nævn behandlingsvalg ved benign prostatahyperplasi (BPH):**
Tamsulosin + Finasterid
460
**Nævn behandlingsvalg ved erektil dysfunktion (ED):**
**1.valg**: Sildenafil (Viagra)
461
**Nævn behandlingsvalg ved diabetes :**
- **1.valg**: Livstidsintervention - **2.valg**: Metformin - **3.valg**: SGLT-2-hæmmere (fx dapagliflozin) - **4.valg**: GLP-1-receptoragonister (fx semaglutid)
462
Statinbehandling – behandlingsmål: - **LAV-risikopatienter**: LDL **1** - **HØJ-risikopatienter (aterosklerotisk kardiovaskulær sygdom, diabetes, apopleksi/TIA, nedsat nyrefunktion [eGFR < 30])**: LDL **2**
1: LDL < 2,6 mmol/l 2: LDL < 1,8 mmol/l
463
**Nævn behandlingsvalg ved astma:**
**1.valg**: ICS + LABA: - **Pulver**: Budesonid + formoterol (Bufomix Easyhaler) - **Spray**: Budesonid + formoterol (Symbicort) "Ingen tilstrækkelig evidens til at anbefale et inhalationsdevice frem for andre". **Giv pulver som 1.valg pga. klima**
464
**Nævn behandlingsvalg ved KOL:**
**1.valg**: LABA: - **Pulver**: Formoterol (Formo Easyhaler) - **Spray**: Olodaterol (Striverdi Respimat) "Ingen tilstrækkelig evidens til at anbefale et inhalationsdevice frem for andre". **Giv pulver som 1.valg pga. klima**
465
Alkoholabstinens: - **Diagnose**: se billede - **Behandling**: **1**
1: * **1.valg**: benzodiazepiner (**Chlordiazapoxid**, Lorazepam) * **Tiamin-behandling**: for at patient ikke udvikler Wernicke-Korsakoff syndrom * **Glukose-infusion**
466
**Nævn behandlingsmuligheder ved alkoholafhængighed:**
**Acamprosat (Campral)** **Naltrexon** **Disulfiram (Antabus)**
467
Smertebehandling: - **Nociceptive smerter**: **1**
1: **1.valg**: Paracetamol **Ved ikke tilstrækkelig effekt**: tillæg Morfin depot (husk: **laksantia [fx Laxoberal dråber]**) **Ved inflammatoriske smerter**: NSAID (Ibuprofen) – (obs. kortvarigt og husk **PPI [fx Pantoprazol]**)
468
Smertebehandling: - **Neuropatiske smerter**: **1**
1: Antiepileptika: **obs. nedsat nyrefunktion** - Pregabalin - Gabapentin SNRI: Duloxetin - **obs. serotoninsyndrom, nedsat nyrefunktion** TCA: Amitriptylin - **obs. QTc forlængelse, antikolinerge bivirkninger**
469
**Thiazider (fx Centyl) kan give hyponatriæmi, især hos ældre**
470
Behandling af osteoporose?
471
Behandling af migræneanfald?
472
**Hospitalsinfektioner (HAI)**: - De hyppigste HAI (fx efter operation): **1** - Forebyggelse: **2**
1: * UVI * Postoperative sårinfektioner * Pneumoni * Bakteriæmi 2: * Generel hygiejne * Perioperativ infektionsprofylakse * Fjernelse af KAD og andre fremmedlegemer når muligt * Mobilisering * AB med omtanke
473
**Luftvejssymptomer – infektionshygiejniske forholdsregler**:
474
**Diarre – infektionshygiejniske forholdsregler**:
475
**Udslæt – infektionshygiejniske forholdsregler**:
476
Diagnose og Behandling? Karakteristisk: * Pludseligt indsættende stærke ensidige skrotalsmerter * Evt. ledsaget af kvalme og opkastninger * Evt. subfebrilia
**Testistorsion** Behandling: 1) Ved akut opståede skrotale smerter skal torsio testis altid mistænkes og diagnosticeres akut --> patienten skal indlægges AKUT til udredning 2) Hvis der ved indlæggelsen er tvivl om diagnosen, skal der foretages en akut UL 3) Kirurgisk eksploration: - Eksplorativ operation med detorkvering af testiklen - Fiksation af begge testes
477
Diagnose og Behandling? Karakteristisk: * Smerter samt rød og hævet skrotum * Palpabel hævelse og ømhed af epididymis (bitestikel) sv.t. testiklens bagside * Høj feber * UL kan understøtte diagnosen
Epididymitis Behandling * < 35 år eller seksuelt overført: azithromycin eller doxycyclin * > 35 år: ciprofloxacin