Apendicitis Flashcards

(15 cards)

1
Q

Dx apendice

A

Clinico / LABS / IMAGEN

How well did you know this?
1
Not at all
2
3
4
5
Perfectly
2
Q

ABCDE rx

A

Apendicolito
Borramiento psoas
Asa centinela
Hiperdensidad sacroiliaca derecha
Escoliosis antialgica

How well did you know this?
1
Not at all
2
3
4
5
Perfectly
3
Q
A

Apendicolito y Escoliosis antialgica

How well did you know this?
1
Not at all
2
3
4
5
Perfectly
4
Q
A

Borramiento del psoas e hiperdensida articular

How well did you know this?
1
Not at all
2
3
4
5
Perfectly
5
Q

Ultil en niños
Apendicolito
Liquido libre

A

US en apendicitis

How well did you know this?
1
Not at all
2
3
4
5
Perfectly
6
Q

Por que US no descarta patólogia?

A

RETROCECAL

How well did you know this?
1
Not at all
2
3
4
5
Perfectly
7
Q

Apendice distendido en mm

A

> 7mm

How well did you know this?
1
Not at all
2
3
4
5
Perfectly
8
Q

Pared apendice ??

A

> 3mm

How well did you know this?
1
Not at all
2
3
4
5
Perfectly
9
Q
A
How well did you know this?
1
Not at all
2
3
4
5
Perfectly
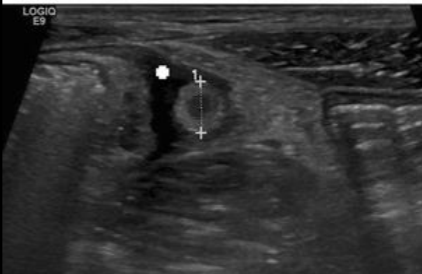
10
Q
A

de lado US

How well did you know this?
1
Not at all
2
3
4
5
Perfectly
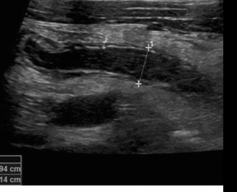
11
Q
A

De frente obstrucción luminal

How well did you know this?
1
Not at all
2
3
4
5
Perfectly
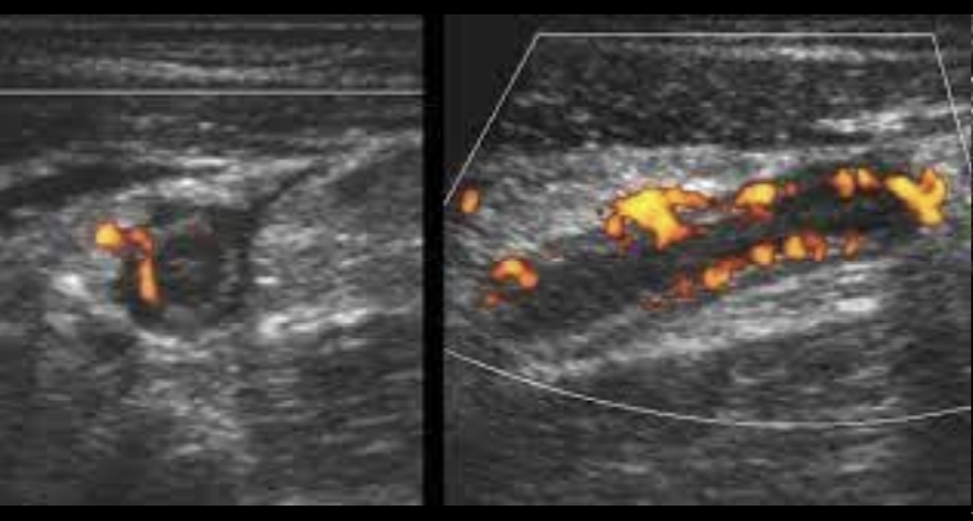
12
Q
A

Signo del anillo de fuego

How well did you know this?
1
Not at all
2
3
4
5
Perfectly
13
Q

Grasa sucia
Apendicolito
Realce con contraste

Lo MEJOR

A

TC

How well did you know this?
1
Not at all
2
3
4
5
Perfectly
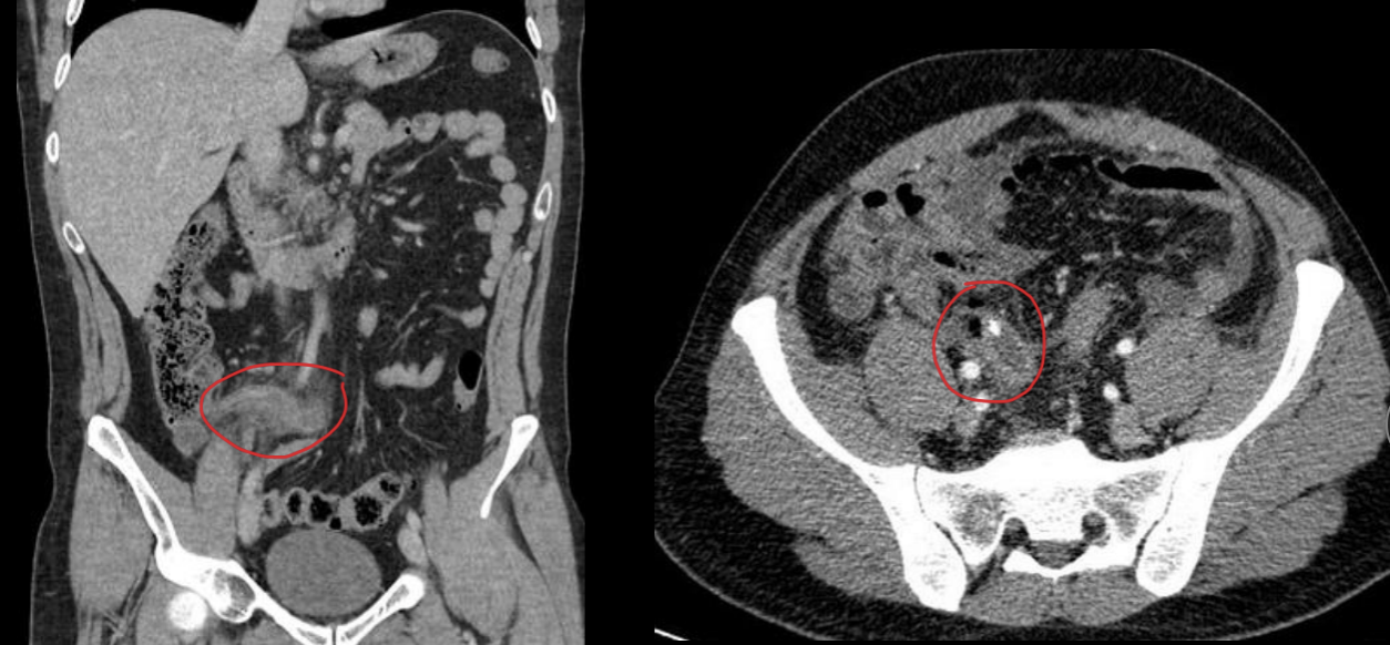
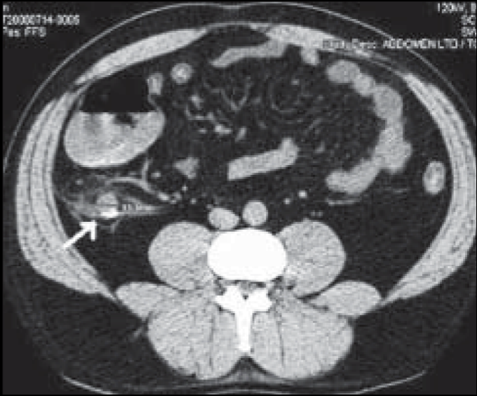
14
Q
A

Apendicitis

How well did you know this?
1
Not at all
2
3
4
5
Perfectly
15
Q
A

Grasa sucia con inflamación apéndice

How well did you know this?
1
Not at all
2
3
4
5
Perfectly