Órbita Flashcards

(24 cards)

1
Q

Agrandamiento BILATERAL de los músculos extraoculares

A

Graves en Imagen

How well did you know this?
1
Not at all
2
3
4
5
Perfectly
2
Q

Para que TC en graves?

A

Plantear cirugía

How well did you know this?
1
Not at all
2
3
4
5
Perfectly
3
Q

Para qué RM en graves?

A

Compromiso NII

How well did you know this?
1
Not at all
2
3
4
5
Perfectly
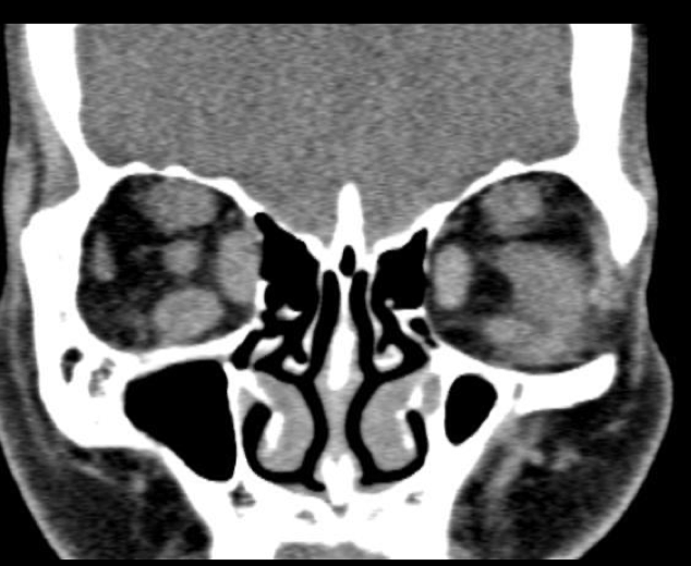
4
Q

Agrandamiento de los músculos extraoculares

Exoftalmos

Nervio óptico estirado

A

TC en Orbitopatia tiroidea

How well did you know this?
1
Not at all
2
3
4
5
Perfectly
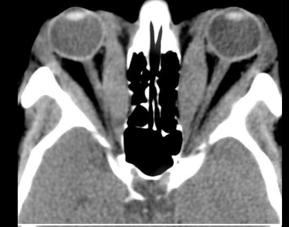
5
Q
A

TC en orbitopatia tiroidea

How well did you know this?
1
Not at all
2
3
4
5
Perfectly
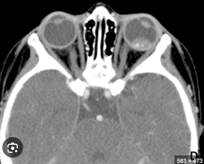
6
Q
A

TC en orbitopatia tiroidea

How well did you know this?
1
Not at all
2
3
4
5
Perfectly
7
Q

T1: Agrandamiento de músculos
extraoculares.

T2: Aumento de señal en músculos extraoculares en fases agudas.

A
How well did you know this?
1
Not at all
2
3
4
5
Perfectly
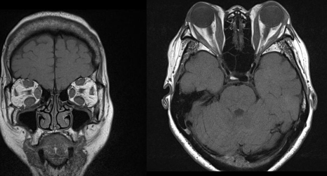
8
Q
A

Orbitopatia tiroidea en RM

How well did you know this?
1
Not at all
2
3
4
5
Perfectly
9
Q

Disociación índice globo ocular- línea intercantal /zigomàtica /bimalar

Masas ocupativas retrooculares

A

Exoftalmos

How well did you know this?
1
Not at all
2
3
4
5
Perfectly
10
Q
A

Exoftalmos en TC

How well did you know this?
1
Not at all
2
3
4
5
Perfectly
11
Q
A

Exoftalmos en RM

How well did you know this?
1
Not at all
2
3
4
5
Perfectly
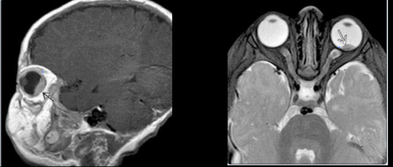
12
Q

Disociación índice globo ocular- línea intercantal

Masas ocupativas retrooculares

A

Exoltalmos en RM

How well did you know this?
1
Not at all
2
3
4
5
Perfectly
13
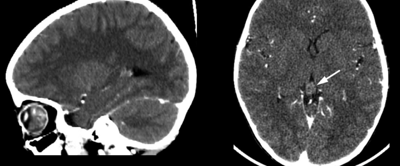
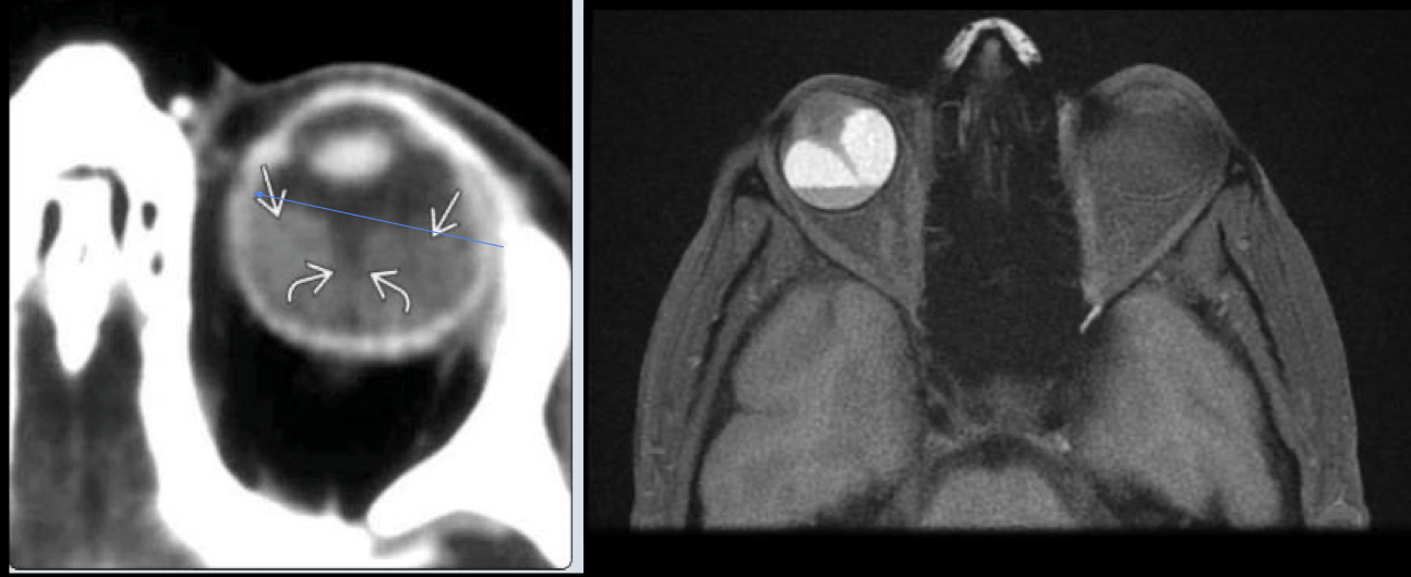
Q

Calcificación “manchada” o punteada en globo ocular

Masa con densidad intermedia

Contraste

A

RB en TC

How well did you know this?
1
Not at all
2
3
4
5
Perfectly
14
Q
A

RB en TC

How well did you know this?
1
Not at all
2
3
4
5
Perfectly
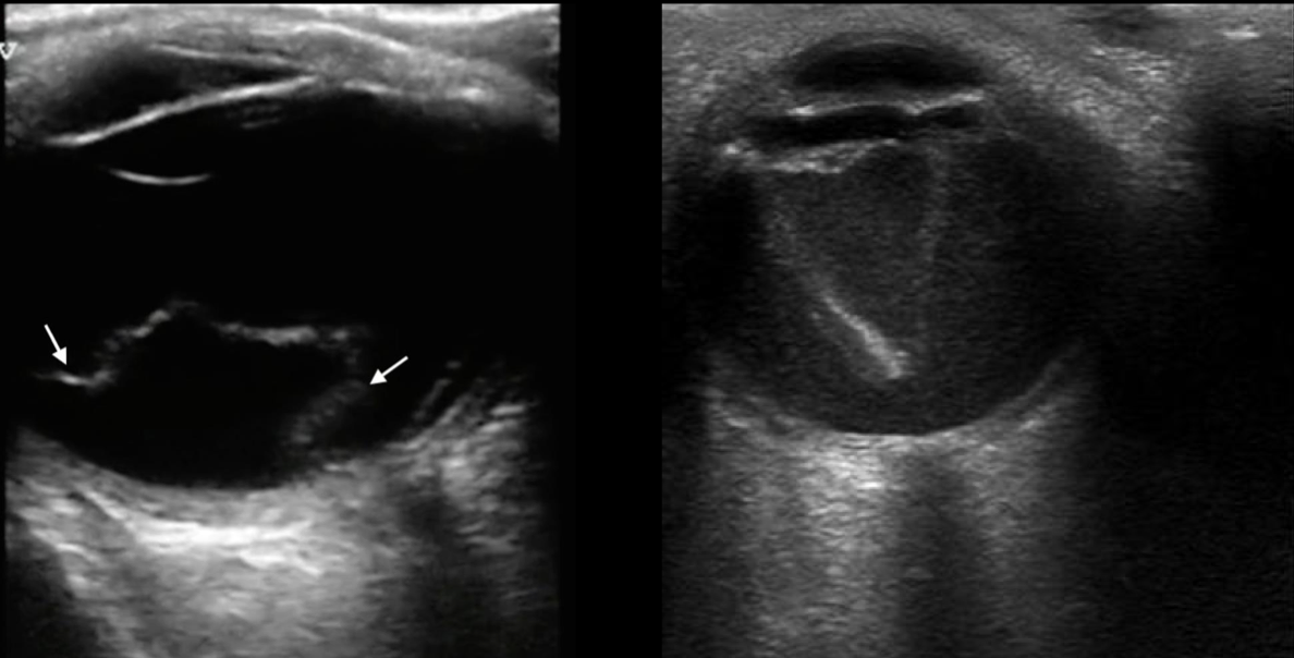
15
Q
A

RB trilateral

How well did you know this?
1
Not at all
2
3
4
5
Perfectly
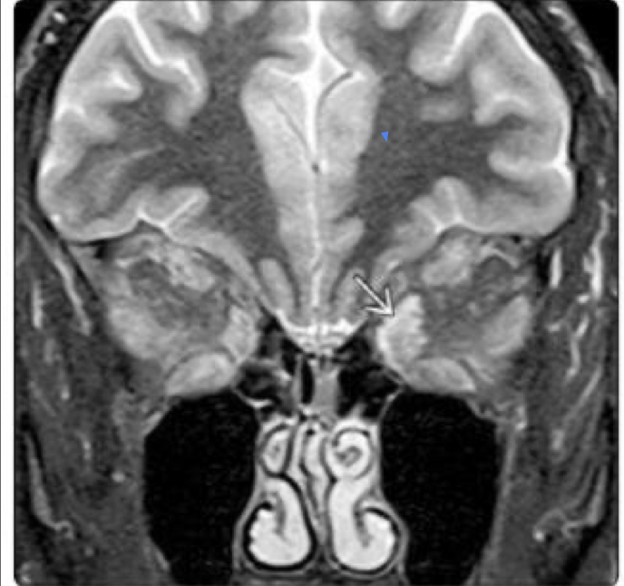
16
Q

Evaluar implicaciones intra
y extra oculares así como
intracraneales

Se puede identificar hemorragia
retinal

Mejor caracterizacion de lesion
pineal

18
Q
19
Q

Dx de desprendimiento de retina

A

Fondoscopia
US/Tc
Rm–> fondoscopia no concluyente o neoplasias

20
Q
21
Q

Retina doblada y brillante
Triangular
Movimientos disminuyen

A

US en desprendimiento de retina

22
Q
A

US desprendimiento de retina

23
Q

Hiperdensidad /intensidad

Fluido subretiniano

Retina triangulár

A

Desprendimiento retina en TC o rm

24
Q
A

Desprendimiento Retina Tm y RM