Doppler Flashcards

(22 cards)

1
Q

Cambios en la frecuencia representados en escala de tiempo y velocidad

A

Doppler Espectral

How well did you know this?
1
Not at all
2
3
4
5
Perfectly
2
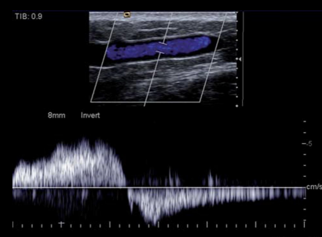
Q
A

Espectral

X: tiempo Seg
Y: velocidad Cm

How well did you know this?
1
Not at all
2
3
4
5
Perfectly
3
Q

Aspecto de la onda afectado por:;

A

Contracción cardiaca
Estenosis
RVP

How well did you know this?
1
Not at all
2
3
4
5
Perfectly
4
Q

Indicaciones de Doppler arterial periferico

A

Isquémia
Pie diabetico
Claudicación
Aneurismas
Ateroesclerosis

How well did you know this?
1
Not at all
2
3
4
5
Perfectly
5
Q

Hallazgos principales en dopple art periferico

A

Placas de ateroma
Ausencia de flujo
Cambios en la onda

How well did you know this?
1
Not at all
2
3
4
5
Perfectly
6
Q
A

Cambios en la onda

Estenosis vascular

How well did you know this?
1
Not at all
2
3
4
5
Perfectly
7
Q

Indicaciones para doppler periferico venoso

A

TBP
Insuficiencia venosa : varices

How well did you know this?
1
Not at all
2
3
4
5
Perfectly
8
Q

Hallazgos TVP

A

Vaso no compresible
Vena ecogenica
Ausencia de flujo

How well did you know this?
1
Not at all
2
3
4
5
Perfectly
9
Q
A

Normal

Patologíco

TVP

How well did you know this?
1
Not at all
2
3
4
5
Perfectly
10
Q
A

TVO vena subsartorial

How well did you know this?
1
Not at all
2
3
4
5
Perfectly
11
Q

Hallazgos IV

A

Varices
Reflujo con valsalva
Estasis
venas dilatadas

How well did you know this?
1
Not at all
2
3
4
5
Perfectly
12
Q
A

Dilatación venosa

How well did you know this?
1
Not at all
2
3
4
5
Perfectly
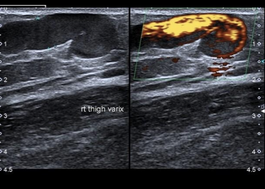
13
Q
A

Varice en Doppler

How well did you know this?
1
Not at all
2
3
4
5
Perfectly
14
Q

Clinica de patología arterial

A

Extremidad fria
Edema ligero o nulo
Perdida de sensibilidad
Dolor
Necrosis en ortejos
Pulsos debiles o ausentes

How well did you know this?
1
Not at all
2
3
4
5
Perfectly
15
Q

Clinica de patologia venosa

A

Extremidad caliente
Edema severo
Eritematosa
Godet
Varices
Telangectasias

How well did you know this?
1
Not at all
2
3
4
5
Perfectly
16
Q

Utilidad doppler en Arteria olftalmica

A

Preeclampsia
Falla cardiaca

17
Q

Utilidad doppler en carotida

A

Estenosis
Vértigo
Sincope

18
Q

Utilidad doppler en arteria renal

A

Hipertensión en jovenes

19
Q

Utilidad doppler en aorta abdominal y cava

A

Aneurismas y Trombosis

20
Q

Utilidad Doppler en porta

A

Hipertensión

21
Q

Utilidad doppler en arterias uterinas

22
Q

Utilidad doppler en testiculos