ERGE Flashcards

(8 cards)

1
Q

Fisiopatologia

A

Incompetencia esfínter esofágico inferior

How well did you know this?
1
Not at all
2
3
4
5
Perfectly
2
Q

ERGE en lactantes que estudio pides

A

US

How well did you know this?
1
Not at all
2
3
4
5
Perfectly
3
Q

Mejor metodo dx

A

Trago de bario por fluoroscopia

How well did you know this?
1
Not at all
2
3
4
5
Perfectly
4
Q

Que muestra el SEGD?

A

Engrosámiento de pliegues
Ulceras o Cancer

How well did you know this?
1
Not at all
2
3
4
5
Perfectly
5
Q

Qué se evalua por imagen en ERGE?

A

Complicaciones y patologias asociadas

How well did you know this?
1
Not at all
2
3
4
5
Perfectly
6
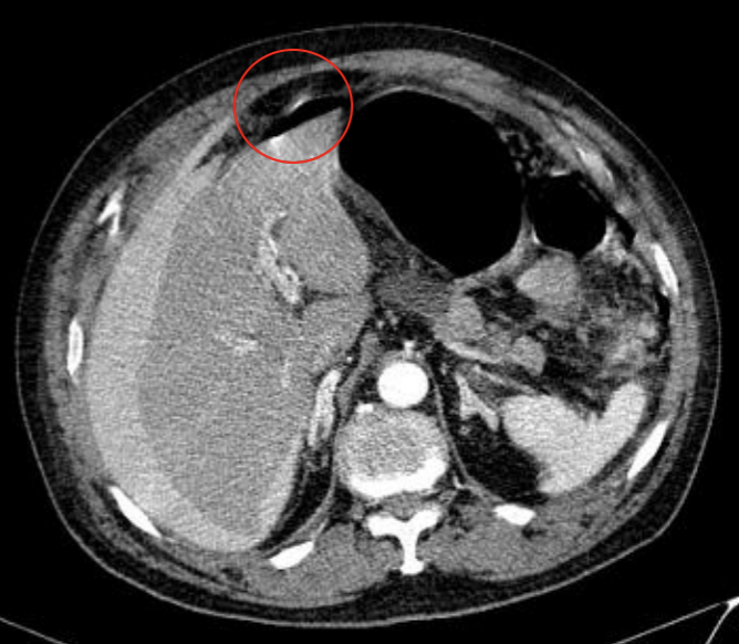
Q
A

Pneumopericardio

Perforación

How well did you know this?
1
Not at all
2
3
4
5
Perfectly
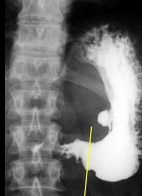
7
Q
A

Ulcera

How well did you know this?
1
Not at all
2
3
4
5
Perfectly
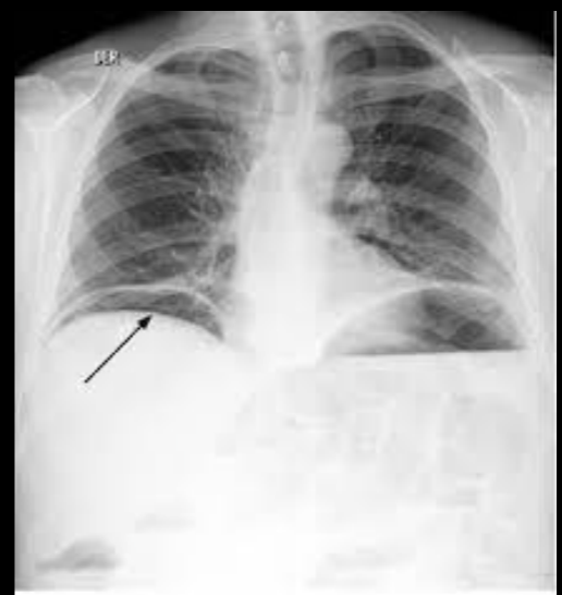
8
Q
A

TC de neumoperitoneo

How well did you know this?
1
Not at all
2
3
4
5
Perfectly