Tobillo Flashcards

(15 cards)

1
Q

Lesión más frecuente de tobillo

A

Esguince talofibular anterior

How well did you know this?
1
Not at all
2
3
4
5
Perfectly
2
Q

Grados esguince

A
  1. Sin lesiones macroscopica
  2. Rotura parcial , edema y dolor moderado
  3. Rotura completa, hematoma, dolor, inestabilidad
How well did you know this?
1
Not at all
2
3
4
5
Perfectly
3
Q

Rx en esguince de tobillo

A

Edema de tejidos blandos

Aumento del espacio entre perone y astragalo

How well did you know this?
1
Not at all
2
3
4
5
Perfectly
4
Q

Como pedir Rx en esguince de tobillo?

A

Con estrés

How well did you know this?
1
Not at all
2
3
4
5
Perfectly
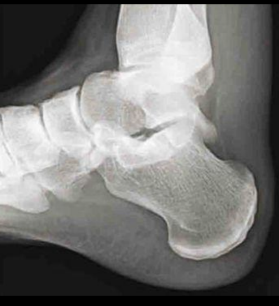
5
Q
A

Rx esguince

How well did you know this?
1
Not at all
2
3
4
5
Perfectly
6
Q

Utilidad US

A

Limitada
Permite evaluar ATFL

How well did you know this?
1
Not at all
2
3
4
5
Perfectly
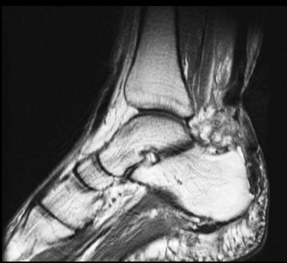
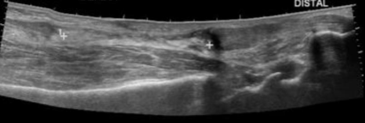
7
Q
A

Lesión ATFL

How well did you know this?
1
Not at all
2
3
4
5
Perfectly
8
Q
A

I, II y III

Grados Esguince

How well did you know this?
1
Not at all
2
3
4
5
Perfectly
9
Q

Datos de Rx y TC en rotura de tendón de Aquiles

A

Borramiento triangulo graso de Kager
Edema de tejidos blandos

Descartar avulsion calcanea

How well did you know this?
1
Not at all
2
3
4
5
Perfectly
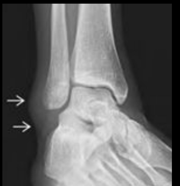
10
Q
A

Normal Triangulo de Kager

How well did you know this?
1
Not at all
2
3
4
5
Perfectly
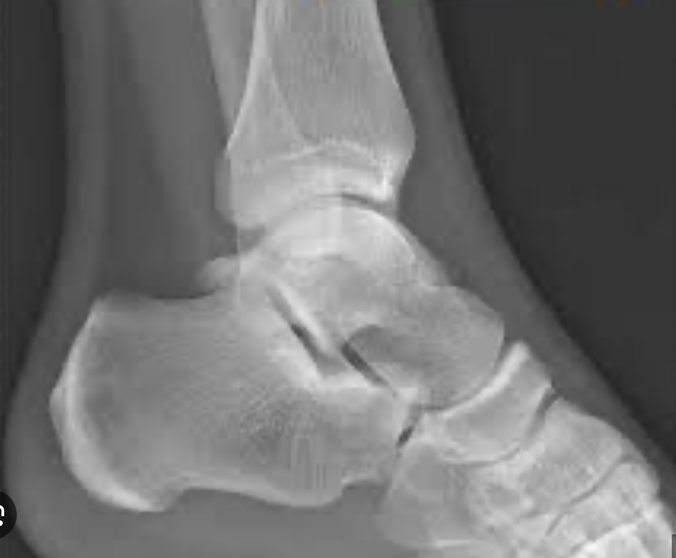
11
Q
A

Borramiento de Triangulo de Kager

How well did you know this?
1
Not at all
2
3
4
5
Perfectly
12
Q

Datos de Rotura de tendón de Aquiles

A

Tendón engrosádo e hipoecoico

Permite distinguir desgarro total o parcial

How well did you know this?
1
Not at all
2
3
4
5
Perfectly
13
Q
A

Tendón de Aquiles normal

How well did you know this?
1
Not at all
2
3
4
5
Perfectly
14
Q
A

Rotura tendón de Aquiles

How well did you know this?
1
Not at all
2
3
4
5
Perfectly
15
Q
A

Rotura tendón de aquiles

Edema Hiperintenso

How well did you know this?
1
Not at all
2
3
4
5
Perfectly