Hombro Flashcards

(16 cards)

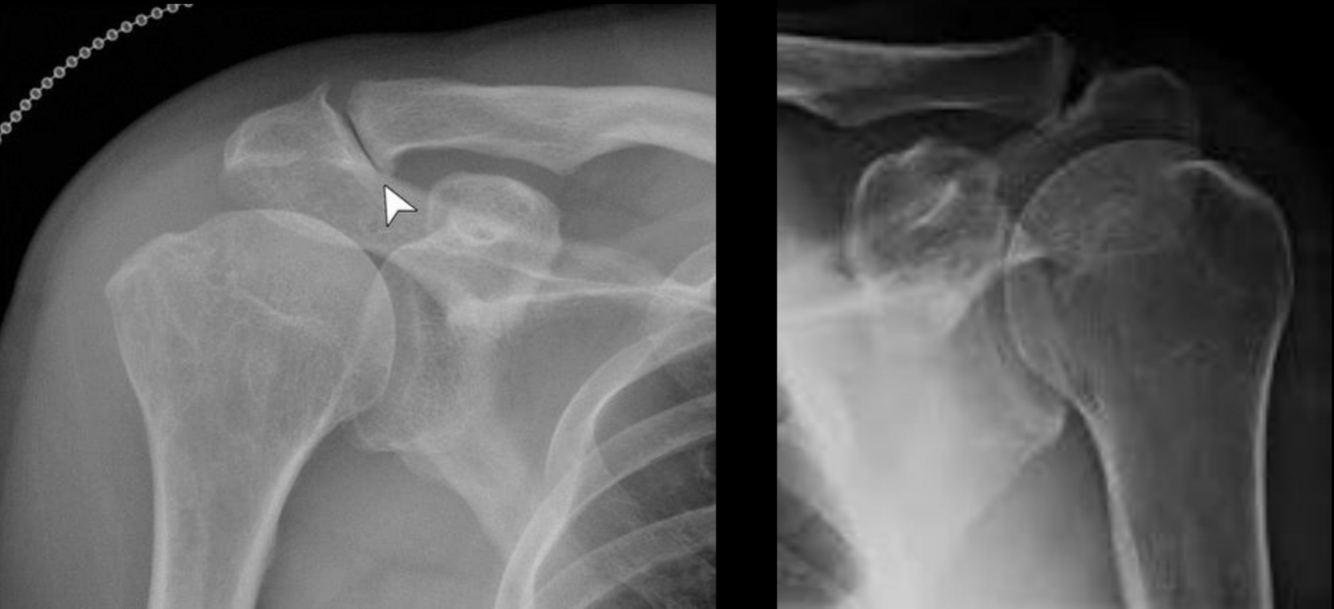
1
Q

Rx para hombro

A

AP y Oblicua en Y

How well did you know this?
1
Not at all
2
3
4
5
Perfectly
2
Q

Datos rx que sugieren desgarro del manguito retador

A

Osteófitos acromioclaviculares
Disminución <7mm espacio subacromial
Irregularidad cabeza humeral

How well did you know this?
1
Not at all
2
3
4
5
Perfectly
3
Q
A

Disminución del espacio

How well did you know this?
1
Not at all
2
3
4
5
Perfectly
4
Q

90% sensibilidad y especificidad
Diagnóstica rotura y pinzamiento

A

US

How well did you know this?
1
Not at all
2
3
4
5
Perfectly
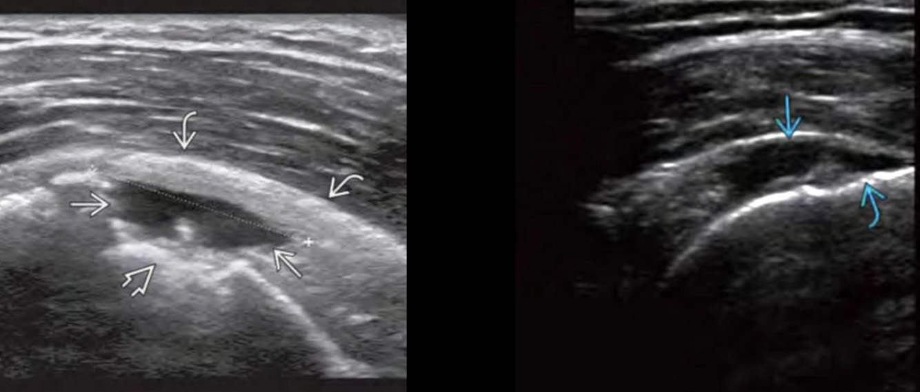
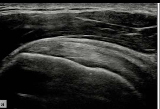
5
Q
A

Normal

Deltoides
Bursa
Supraespinoso
Cartilago
Humero

How well did you know this?
1
Not at all
2
3
4
5
Perfectly
6
Q
A

Rotura tendon supraespinosos

How well did you know this?
1
Not at all
2
3
4
5
Perfectly
7
Q
A

Rotura tendon supraespinoso

How well did you know this?
1
Not at all
2
3
4
5
Perfectly
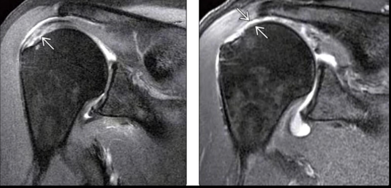
8
Q

Hiperintenso en T2
Detecta lesiones asociadas y desgarros pequeños

A

RM manguito rotador

How well did you know this?
1
Not at all
2
3
4
5
Perfectly
9
Q
A

Normal

How well did you know this?
1
Not at all
2
3
4
5
Perfectly
10
Q
A

Desgarro del manguito

How well did you know this?
1
Not at all
2
3
4
5
Perfectly
11
Q

Mejor metodo para evaluar

A

RM

How well did you know this?
1
Not at all
2
3
4
5
Perfectly
12
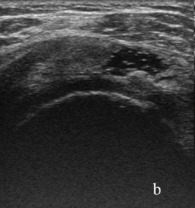
Q

Datos de desgarro muscular en US

A

Edema y liquido
Disrupción fibrilar

How well did you know this?
1
Not at all
2
3
4
5
Perfectly
13
Q
A

Desgarro muscular

How well did you know this?
1
Not at all
2
3
4
5
Perfectly
14
Q

Grado desgarro en RM

A

1: hiperseñal pluma de ave
2: disrupcion de fibras
3: disrupciones completa y retracción

How well did you know this?
1
Not at all
2
3
4
5
Perfectly
15
Q
A

Grado 1 pluma de ave

How well did you know this?
1
Not at all
2
3
4
5
Perfectly
16
Q
A

Disrupción de fibras