Asma Flashcards

(7 cards)

1
Q

Broncoespasmo paroxístico reversible

A

Asma

How well did you know this?
1
Not at all
2
3
4
5
Perfectly
2
Q

La imagen hace dx?

A

NO, solo es apoyo

How well did you know this?
1
Not at all
2
3
4
5
Perfectly
3
Q

Porcentaje de Rx normales en asma

A

75%

How well did you know this?
1
Not at all
2
3
4
5
Perfectly
4
Q

Complicaciones asma en rx

A

Derrame Pleural
Consolidación

How well did you know this?
1
Not at all
2
3
4
5
Perfectly
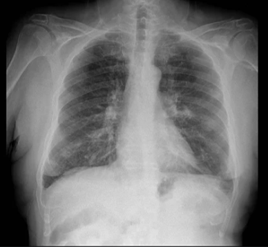
5
Q

Rx de asma

A

Hiperclaridad
Engrosamiento bronquial

How well did you know this?
1
Not at all
2
3
4
5
Perfectly
6
Q
A

Rx asma

How well did you know this?
1
Not at all
2
3
4
5
Perfectly
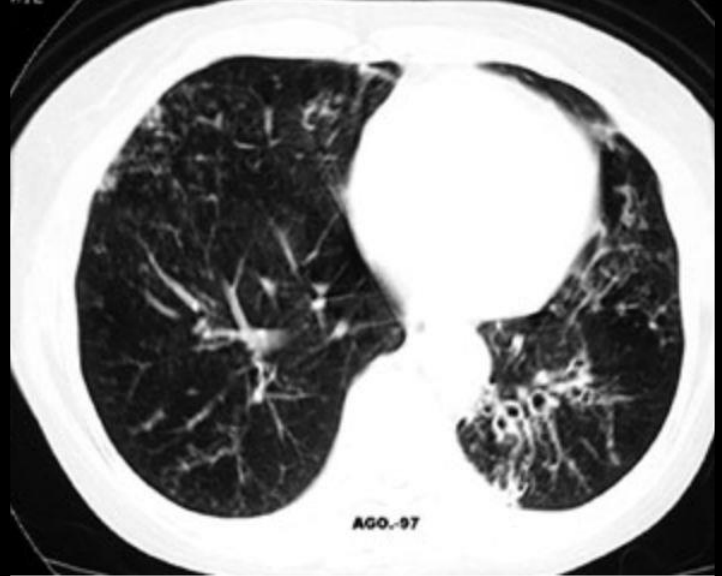
7
Q
A

TC

Engrosamiento bronquial e hiperclaridad

SOLO PARA ENF: asociadas (aspergilosis o neumonías)

How well did you know this?
1
Not at all
2
3
4
5
Perfectly