Cadera Flashcards

(20 cards)

1
Q

Recorrido anormal entre cabeza, acetabulo y cuello femoral

A

Pinzamiento femoroacetabular

How well did you know this?
1
Not at all
2
3
4
5
Perfectly
2
Q

Tipos de pinzamiento femoroacetabular

A

CAM: deformidad cuello femoral
PINCER: sobrecobertura del acetabulo

How well did you know this?
1
Not at all
2
3
4
5
Perfectly
3
Q

Rx que pedir para cadera

A

AP y Oblicua

DUNn

How well did you know this?
1
Not at all
2
3
4
5
Perfectly
4
Q
A

CAM: + en hombres jovenes

PINCER: mujeres

How well did you know this?
1
Not at all
2
3
4
5
Perfectly
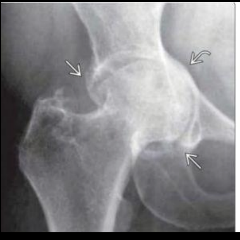
5
Q
A

CAM

How well did you know this?
1
Not at all
2
3
4
5
Perfectly
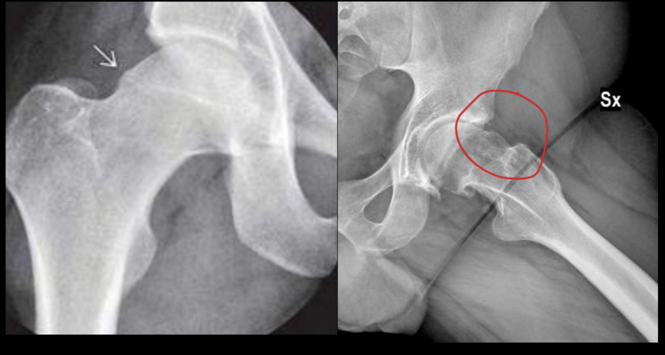
6
Q
A

PINCER

How well did you know this?
1
Not at all
2
3
4
5
Perfectly
7
Q

TC en pinzamiento femoroacetabular

A

Permite evaluación anatomica

Reconstrucción 3D

How well did you know this?
1
Not at all
2
3
4
5
Perfectly
8
Q
A

Reconstrucción 3D CAM

How well did you know this?
1
Not at all
2
3
4
5
Perfectly
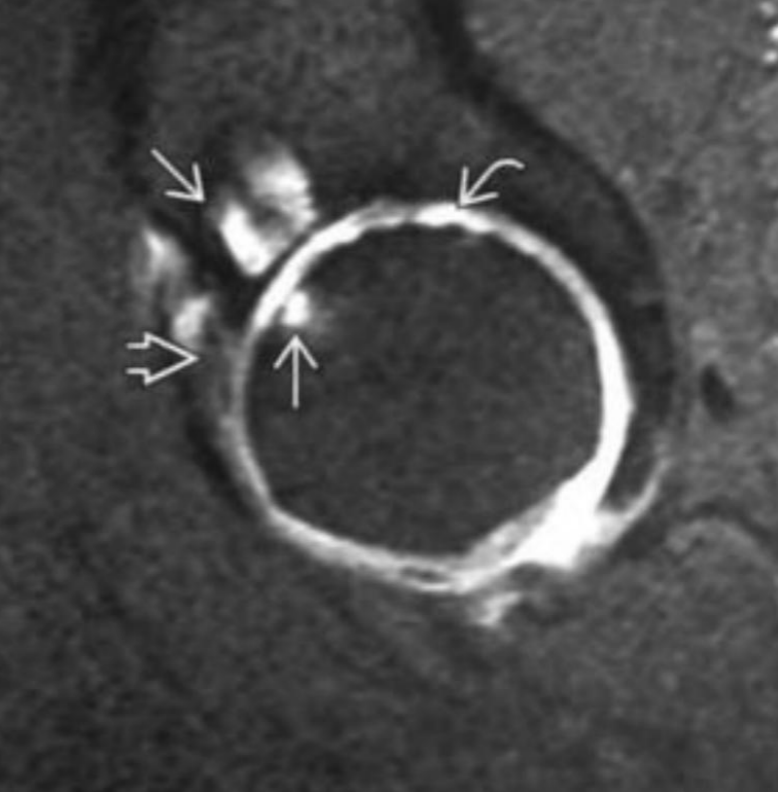
9
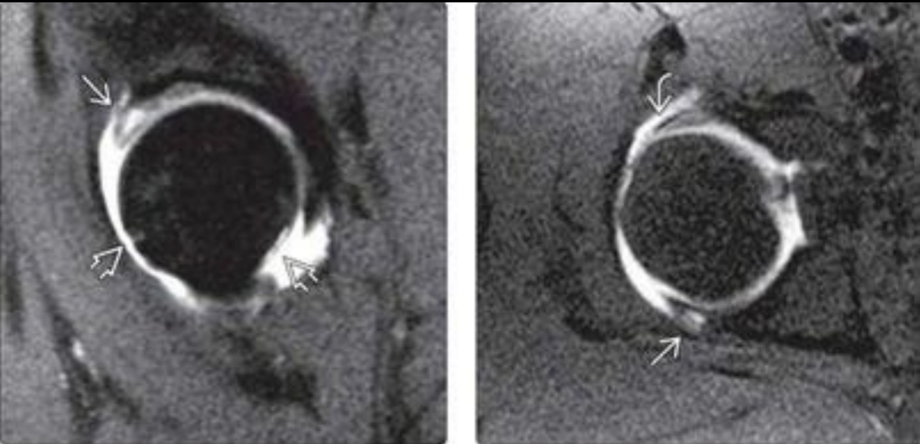
Q

RM pinzamienro femoroacetabular

A

Edema óseo hiperintenso
Pinzamiento leve
Lesión del labrum

How well did you know this?
1
Not at all
2
3
4
5
Perfectly
10
Q
A

MIXED

How well did you know this?
1
Not at all
2
3
4
5
Perfectly
11
Q
A

Edema hiperintenso

How well did you know this?
1
Not at all
2
3
4
5
Perfectly
12
Q

Datos de coxartrosis Rx

A

Disminución del espacio articular
Osteofitos
Esclerosis subcondral
Quistes subcontrates (geodas)
Deformidad

How well did you know this?
1
Not at all
2
3
4
5
Perfectly
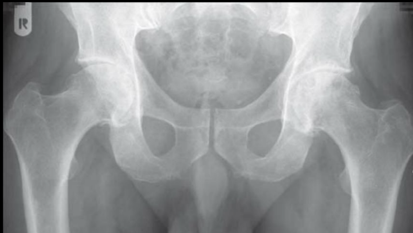
13
Q
A

Coxartrosis

How well did you know this?
1
Not at all
2
3
4
5
Perfectly
14
Q
A

Coxartrosis

How well did you know this?
1
Not at all
2
3
4
5
Perfectly
15
Q

Datos de coxartrosis en TC

A

Mismo que Rx:Disminución del espacio articular
Osteofitos
Esclerosis subcondral
Quistes subcontrates (geodas)
Deformidad

How well did you know this?
1
Not at all
2
3
4
5
Perfectly
16
Q
17
Q
18
Q

Datos de coxartrosis en RM

A

Permite evaluar cartílago
Edema óseo

Mismos datos que Rx y TC

19
Q
A

RM coxartrosis

20
Q
A

RM coxartrosis