Oido Flashcards

(16 cards)

1
Q

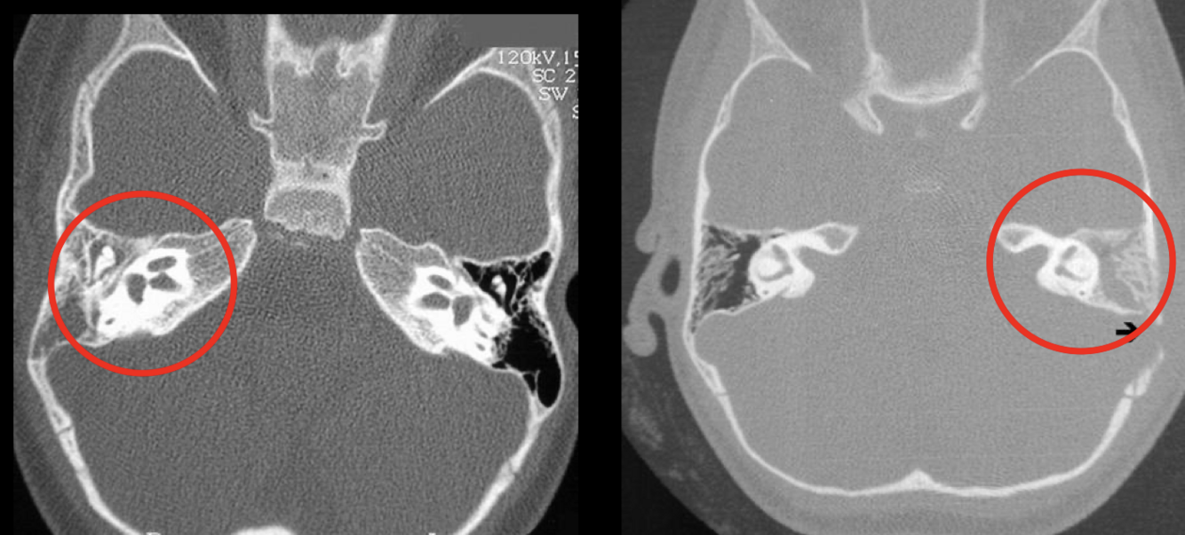
Estudio elecciones otitis media y mastoiditis

A

TC

How well did you know this?
1
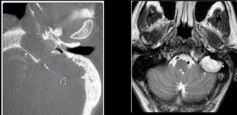
Not at all
2
3
4
5
Perfectly
2
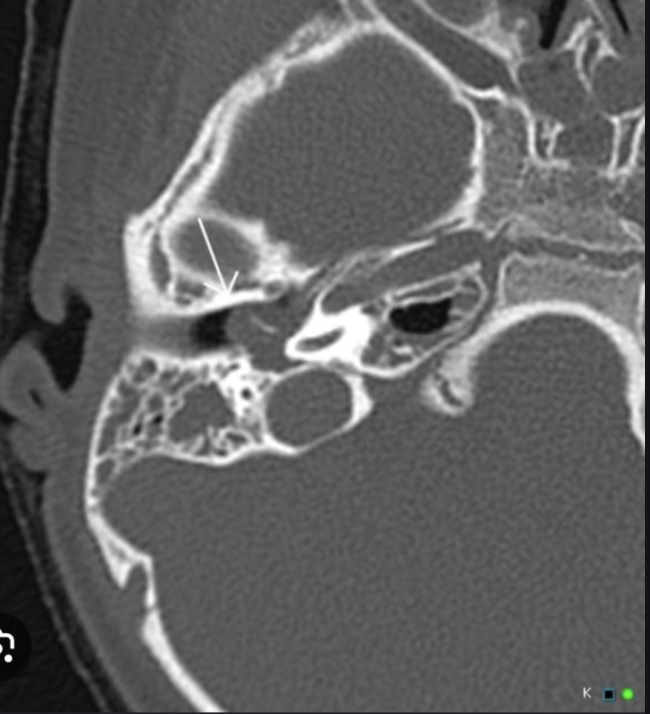
Q

Pista diagnóstica TC en otitis media

A

Masa bien definida en oido medio+ erosiones

How well did you know this?
1
Not at all
2
3
4
5
Perfectly
3
Q
  • T1
    Masa hipointensa en oído medio
    T2
    MASA HIPERINTENSA EN OIDO Y MASTOIDES
A

RM otitis media

How well did you know this?
1
Not at all
2
3
4
5
Perfectly
4
Q
A

Otitis media

How well did you know this?
1
Not at all
2
3
4
5
Perfectly
5
Q
A

Otitis media en RM

How well did you know this?
1
Not at all
2
3
4
5
Perfectly
6
Q

Pista dx para mastoiditis

A

Opaficacion en celdillas mastoideas + liquido

How well did you know this?
1
Not at all
2
3
4
5
Perfectly
7
Q
A

Otomastoiditis

How well did you know this?
1
Not at all
2
3
4
5
Perfectly
8
Q
A

Otomastoiditis

How well did you know this?
1
Not at all
2
3
4
5
Perfectly
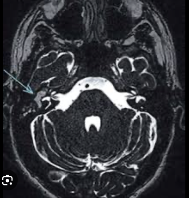
9
Q

Util para ver extension intracraneal

T2–> hiperseñal

A

RM en mastoiditis

How well did you know this?
1
Not at all
2
3
4
5
Perfectly
10
Q
A

RM mastoiditis

How well did you know this?
1
Not at all
2
3
4
5
Perfectly
11
Q

Neoplasia de tejido epidémico dentro del CA

A

Colesteatoma

How well did you know this?
1
Not at all
2
3
4
5
Perfectly
12
Q

Mejor pista dx colesteatomas

A

Masa que destruye hueso

How well did you know this?
1
Not at all
2
3
4
5
Perfectly
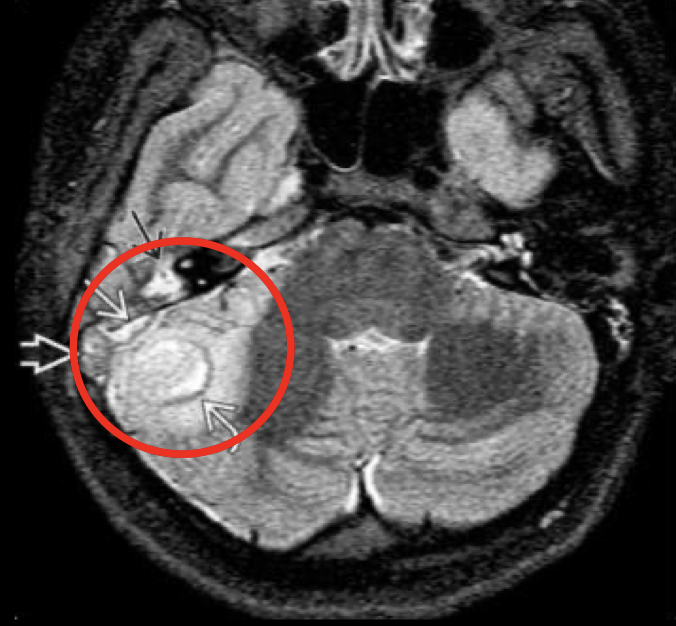
13
Q

RM diagnostica DWI

Hiperintensa T2

A

RM colestatoma

How well did you know this?
1
Not at all
2
3
4
5
Perfectly
14
Q
A

RM Colesteatoma

How well did you know this?
1
Not at all
2
3
4
5
Perfectly
15
Q
A

RM colesteatoma

How well did you know this?
1
Not at all
2
3
4
5
Perfectly
16
Q