Linfadenitis Flashcards

(7 cards)

1
Q

Niveles ganglionares del cuello

A

Submandibular
Yugular superior
Yugular medio
Yugular inferior
Triangulo posterior
Compartimiento central
Mediastinal

How well did you know this?
1
Not at all
2
3
4
5
Perfectly
2
Q

Dx imagen para linfadenitis

A

US

How well did you know this?
1
Not at all
2
3
4
5
Perfectly
3
Q

características ganglio benigno

A

Preservación hilio hiperecoico
Forma reniforme
Pared menor a 3mm

How well did you know this?
1
Not at all
2
3
4
5
Perfectly
4
Q

Características malignidad

A

Hipervascularidad
Perdida de morfología

How well did you know this?
1
Not at all
2
3
4
5
Perfectly
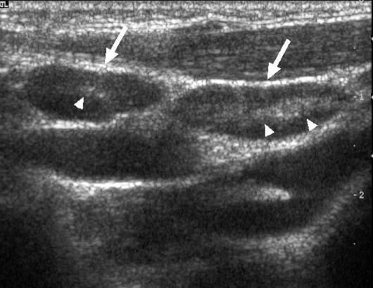
5
Q
A

Normal

How well did you know this?
1
Not at all
2
3
4
5
Perfectly
6
Q
A

Linfadenitis

How well did you know this?
1
Not at all
2
3
4
5
Perfectly
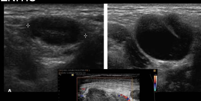
7
Q
A

Probablemente malignos

How well did you know this?
1
Not at all
2
3
4
5
Perfectly