Muñeca Flashcards

(12 cards)

1
Q

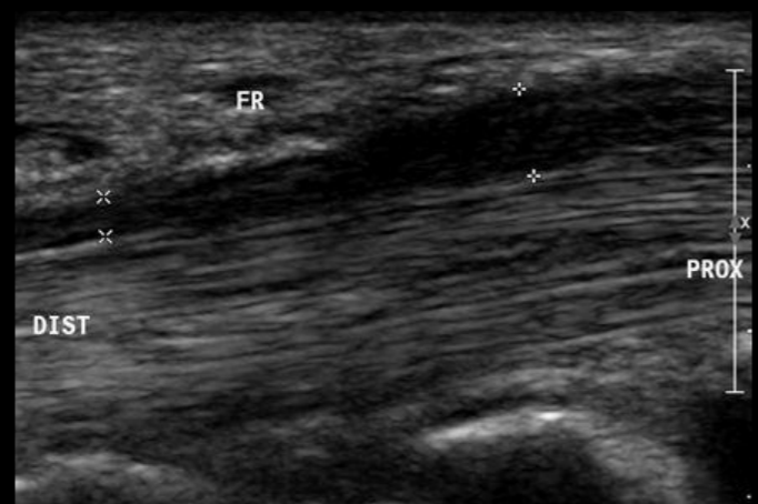
US en Sx del Tunel del Carpo

A

Engrosamiento del retinaculo

Aplanamiento del nervio –>Hipoecogenico

How well did you know this?
1
Not at all
2
3
4
5
Perfectly
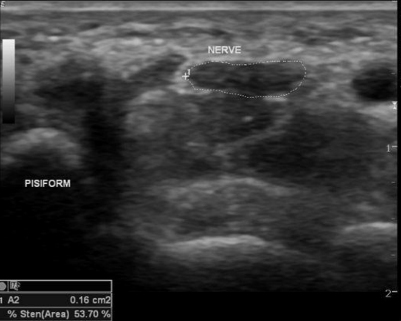
2
Q
A

Aplanamiento del nervio

How well did you know this?
1
Not at all
2
3
4
5
Perfectly
3
Q
A

Aplanamiento del nervio

How well did you know this?
1
Not at all
2
3
4
5
Perfectly
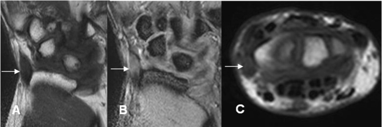
4
Q

RM Sx Tunel del Carpo

A

Nervio aplanádo hiperintenso

Captación de contraste

How well did you know this?
1
Not at all
2
3
4
5
Perfectly
5
Q
A

Nervio aplanádo hiperintenso

How well did you know this?
1
Not at all
2
3
4
5
Perfectly
6
Q

Inflamación del primer compartimiento de tendones extensores de la muñeca

A

Tenosinovitis de Quervain

APL ECP

How well did you know this?
1
Not at all
2
3
4
5
Perfectly
7
Q

US tenosinovitis de Quervain

A

Engrosamiento de tendones y retinaculo

Liquido en su vaina

How well did you know this?
1
Not at all
2
3
4
5
Perfectly
8
Q
A

Tenosinovitis de Quervain

How well did you know this?
1
Not at all
2
3
4
5
Perfectly
9
Q
A

Tenosinovitis de Quervain

How well did you know this?
1
Not at all
2
3
4
5
Perfectly
10
Q

RM Tenosinovitis de quervain

A

Hiperintensidad T2 tendon
Edema subcutáneo peritendinoso

Captación del contraste

How well did you know this?
1
Not at all
2
3
4
5
Perfectly
11
Q
A

RM tenosinovitis

How well did you know this?
1
Not at all
2
3
4
5
Perfectly
12
Q
A

Hiperintensidad en T2

How well did you know this?
1
Not at all
2
3
4
5
Perfectly