Codo Flashcards

(10 cards)

1
Q

Tendón lastimado en epicondilitis lateral

A

Extensor común

How well did you know this?
1
Not at all
2
3
4
5
Perfectly
2
Q

Tendón lastimado en epicondilitis medial

A

Flexor común

How well did you know this?
1
Not at all
2
3
4
5
Perfectly
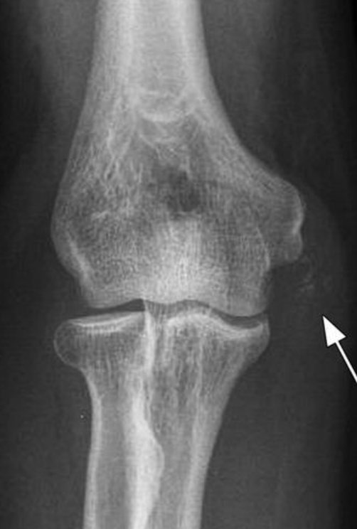
3
Q

Rx en ambas patologias

A

Aumento de la densidad y volumen en epicondilo medial o lateral en tejidos blandos

How well did you know this?
1
Not at all
2
3
4
5
Perfectly
4
Q

Que significan las calcificaciones?

A

Lesiones crónicas

How well did you know this?
1
Not at all
2
3
4
5
Perfectly
5
Q
A

Epicondilitis medial

How well did you know this?
1
Not at all
2
3
4
5
Perfectly
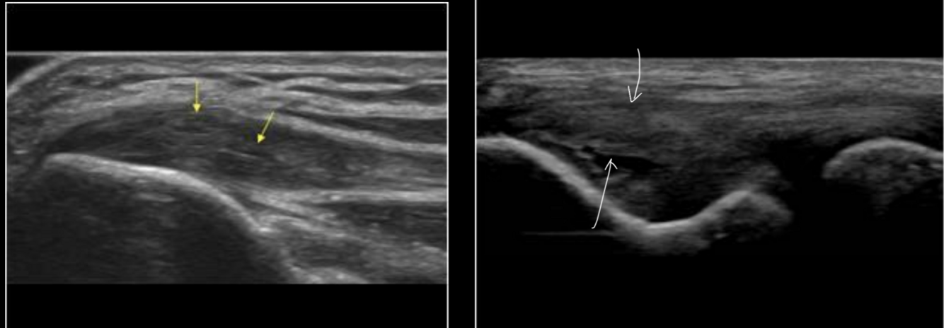
6
Q

US Epicondylitis

A

Tendón engrosádo hipoecogenico

How well did you know this?
1
Not at all
2
3
4
5
Perfectly
7
Q
A

Epicondilitis

Tendón engrosádo hipoecogenico

How well did you know this?
1
Not at all
2
3
4
5
Perfectly
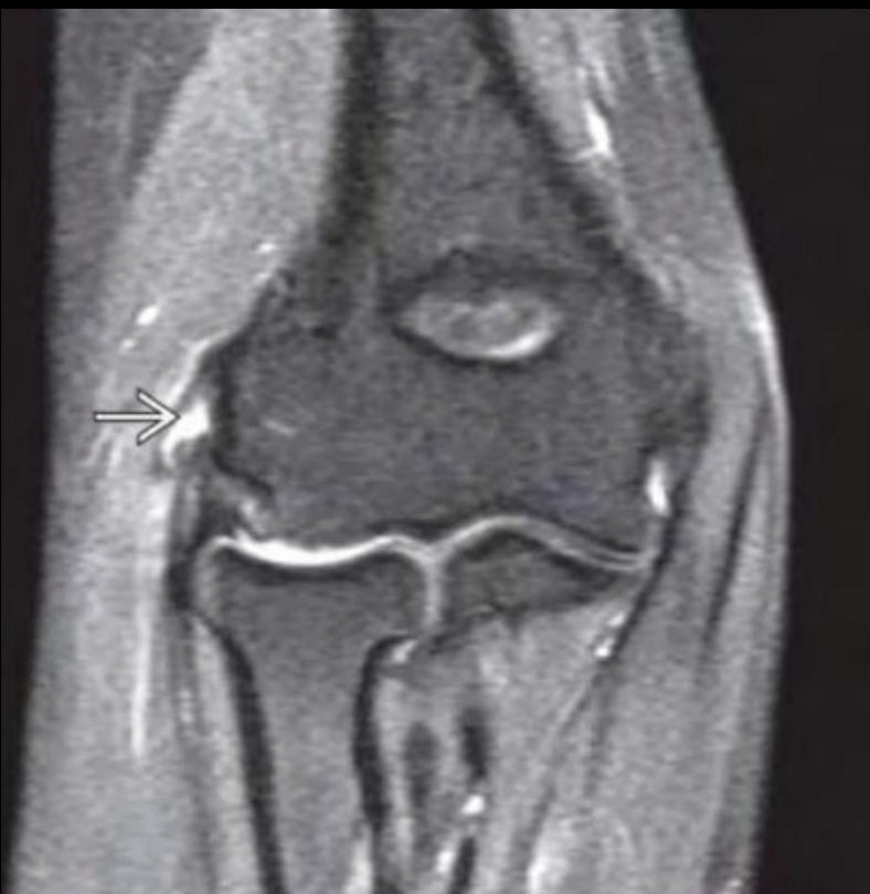
8
Q

RM en epicondilitis

A

Hiperintensidad y engrosámiento del tendon

Lesiones asociadas

How well did you know this?
1
Not at all
2
3
4
5
Perfectly
9
Q
A

Epicondilitis

How well did you know this?
1
Not at all
2
3
4
5
Perfectly
10
Q
A

Epicondilitis

How well did you know this?
1
Not at all
2
3
4
5
Perfectly