Higado Flashcards

(27 cards)

1
Q

Metodo mas rapido y economico

A

US

How well did you know this?
1
Not at all
2
3
4
5
Perfectly
2
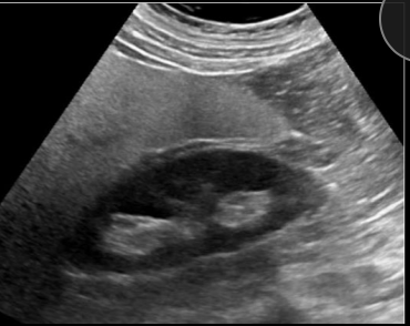
Q

Como se ve un hígado graso en US?

A

Infiltrácion difusa o local ( blanco)

How well did you know this?
1
Not at all
2
3
4
5
Perfectly
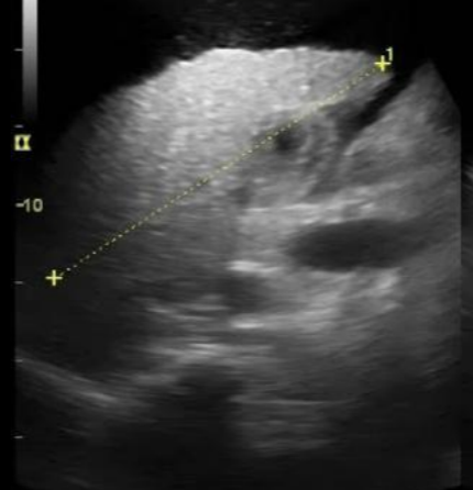
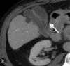
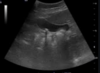
3
Q
A

probable hígado graso

How well did you know this?
1
Not at all
2
3
4
5
Perfectly
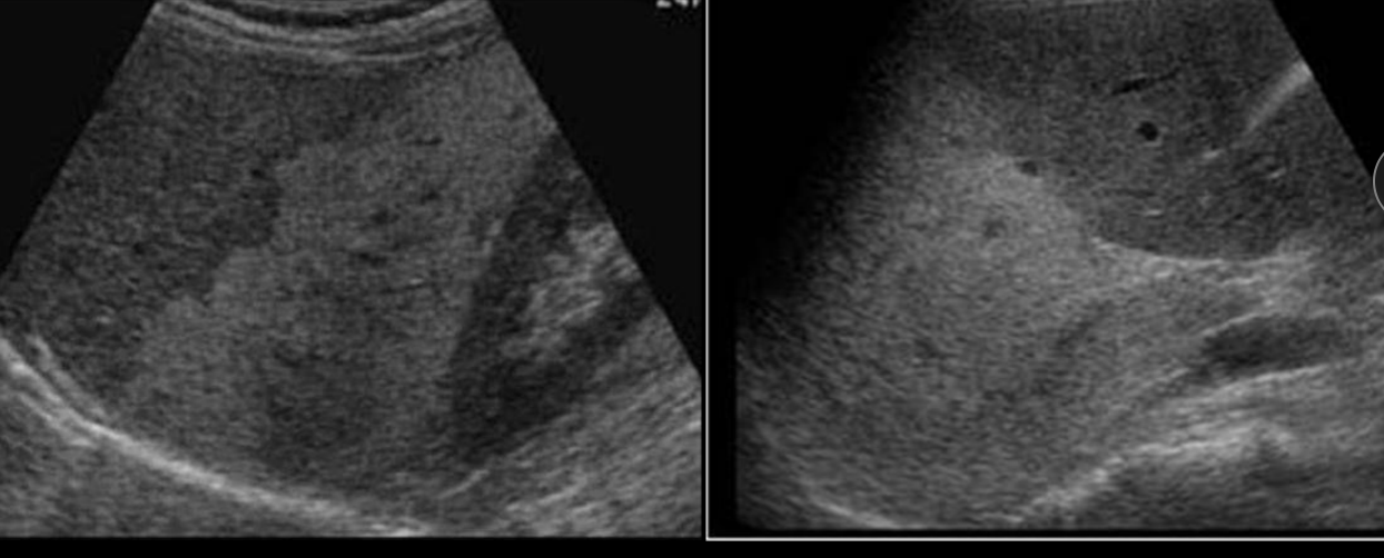
4
Q
A

Normal

How well did you know this?
1
Not at all
2
3
4
5
Perfectly
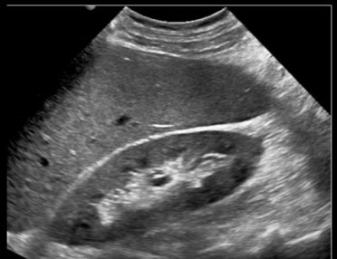
5
Q
A

Estatosis hepatica

How well did you know this?
1
Not at all
2
3
4
5
Perfectly
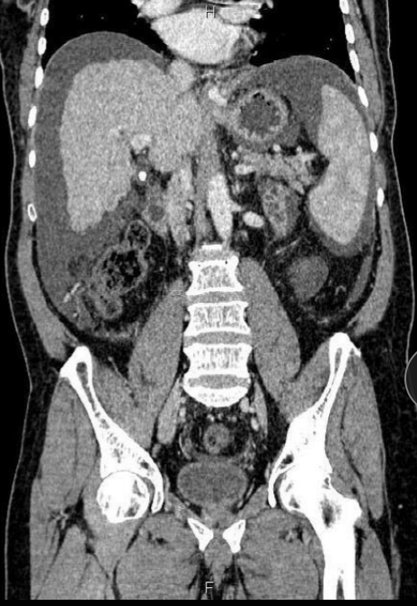
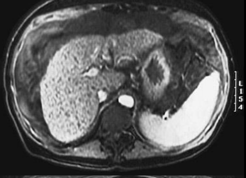
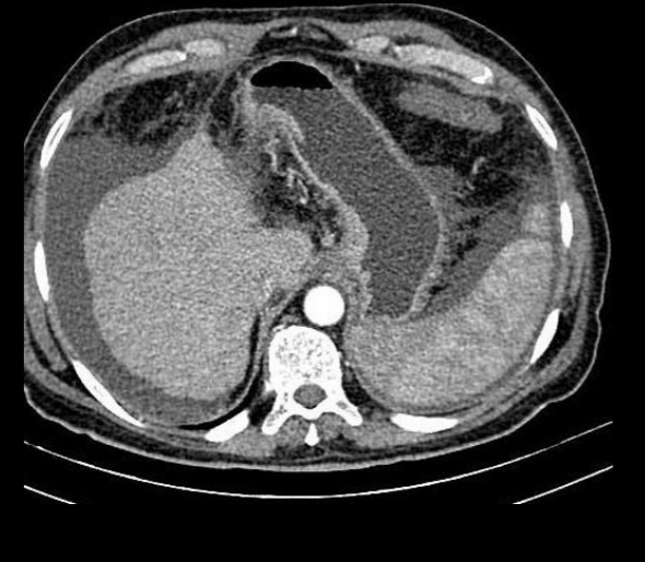
6
Q

y en tm como se ve?

A

Hígado hipodenso

Bazo mas hiperdenso

How well did you know this?
1
Not at all
2
3
4
5
Perfectly
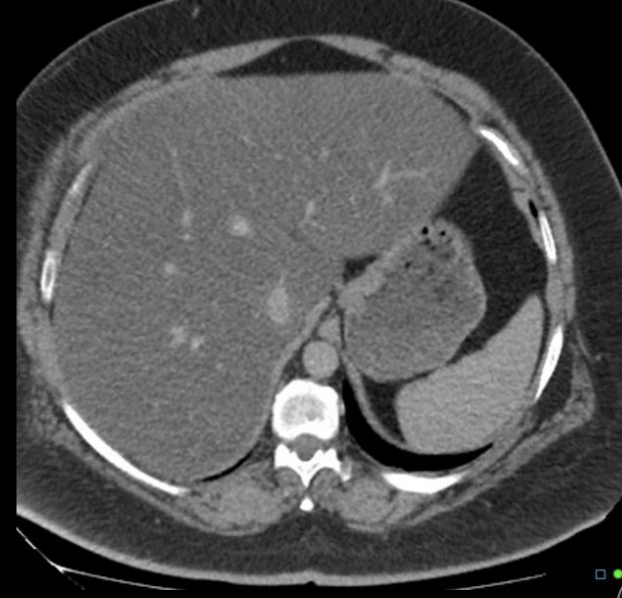
7
Q
A

Hígado graso

How well did you know this?
1
Not at all
2
3
4
5
Perfectly
8
Q

Detección y tamizaje

Seguimiento y biopsia

A

US en cirrosis

How well did you know this?
1
Not at all
2
3
4
5
Perfectly
9
Q

Que encontramos en US en cirrosis?

A

Hipertrofia / atrofia
Geso
Esplenomegalia
Margenes nodulares

How well did you know this?
1
Not at all
2
3
4
5
Perfectly
10
Q
A

Muy blanco y con textura gruesa en margenes

Cirrosis

How well did you know this?
1
Not at all
2
3
4
5
Perfectly
11
Q

En que me ayuda en dópales?

A

Hipertensión portal

Reflujo de venas suprahepaticas

How well did you know this?
1
Not at all
2
3
4
5
Perfectly
12
Q

Tamaño de vena porta

A

<12mm

How well did you know this?
1
Not at all
2
3
4
5
Perfectly
13
Q

Flujos portales

A

Hepatopeto->normal
Hepatofugo–> anormalmente

How well did you know this?
1
Not at all
2
3
4
5
Perfectly
14
Q

Poco útiles en fase temprana cirrotica

A

RM y Tc

How well did you know this?
1
Not at all
2
3
4
5
Perfectly
15
Q

Muy útil en búsqueda de cancer

LI RADS

A

Cirrosis

How well did you know this?
1
Not at all
2
3
4
5
Perfectly
16
Q
17
Q
18
Q
19
Q

Metodo de primera elección en litiasis vesicular

20
Q

Metodo de mayor sensibilidad litiasis vesicular

21
Q

Que característica hacen los Litos en US?

A

Sombra sonica

22
Q

Evalua grosor de pared
Prueba de boyden

A

US en litiasis vesicular

23
Q

No siempre muestran Litos por su composición

A

Hipodensos..> colesterol

Hipertensos–> calcico

24
Q

Duda dx o postqx
Litos hipointenson

Excelente para coledocolitiasis

A

RM litiasis renal

25
US LV
26
TC LV
27
RM LV